提示
本期“浙二神外周刊”接收湖北省襄阳市中心医院,湖北文理学院附属医院神经外科投稿,审核后发表。欢迎各专业同道联系我们,分享精彩病例、研究热点或前沿资讯。投稿请联系:shishi74@163.com
病史简介
患者,女,25岁,因“右侧脑室内肿瘤切除术后2月,头痛、头晕伴行走不稳半月余”入院。
既往病史:2月余前因右侧侧脑室肿瘤,见(图1)行右侧顶枕三角区入路肿瘤切除术,术中见肿瘤呈灰白色、质地韧、血供一般,显微镜下全切除肿瘤,术后病检结果为脑膜瘤、WHOI级。

图1. 磁共振显示右侧侧脑室肿瘤,肿瘤大小约5.0 cm×6.5 cm,呈强化明显。
患者第一次肿瘤切除术后第1天复查头部CT无脑积水,于术后第4天拔出脑室外引流管,术后第14天复查头部MRI无异常(图2),后出院。术后第48天患者常规复查头部MRI(图3)提示右侧侧脑室颞角、后角扩张并周围脑组织水肿、中线轻度移位,由于患者无明显颅高压症状,予以观察并定期复查。患者于术后第62天开始出现头痛,恶心,在当地医院行甘露醇脱水治疗,治疗后症状稍改善,但停用脱水药物时患者头痛恶心呕吐症状就再出现。

图2. 术后第14天复查头部MRI无异常。

图3. 术后第48天患者常规复查头部MRI,提示右侧侧脑室颞角、后角扩张并周围脑组织水肿、中线轻度移位。
入院时专科检查:神志清楚,语言流利,精神较差,表情淡漠,记忆力、定向力以及计算力减退,双瞳等大等圆,直径2.5mm,光反射迟钝,双侧视乳头水肿,双眼球活动上视受限,伸舌居中,颈软,肌张力不高,四肢肢体肌力约4级,肢体深浅感觉减弱,生理反射减弱,双下肢巴氏征阳性。
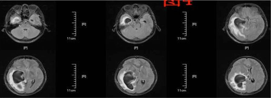
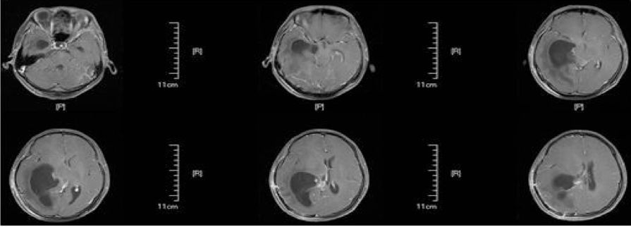
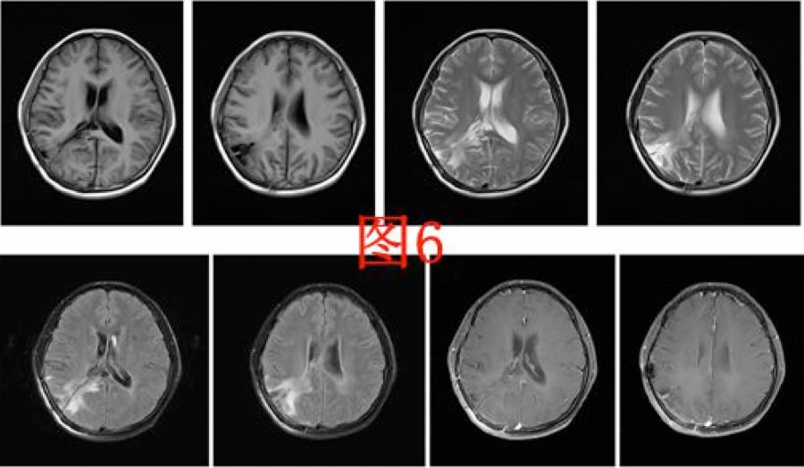
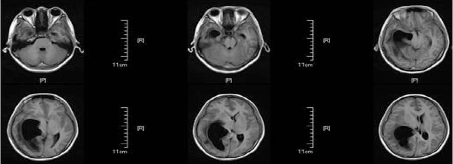
患者于术后第64天再次入院,入院后行头部MRI(图4)检查提示右侧侧脑室颞角、后角扩张并周围脑组织水肿、中线明显移位,并行腰穿测压为280cmH2O,诊断为右侧侧脑室三角区脑膜瘤切除术后孤立颞角综合征,遂于术后第68天行侧脑室颞角腹腔分流术,分流管为美敦力可调压力分流管,术中设定压力范围为105~125mmH2O,术后复查头部CT以及MRI(图5、6)。




图4. 磁共振检查提示右侧侧脑室颞角、后角扩张并周围脑组织水肿、中线明显移位。

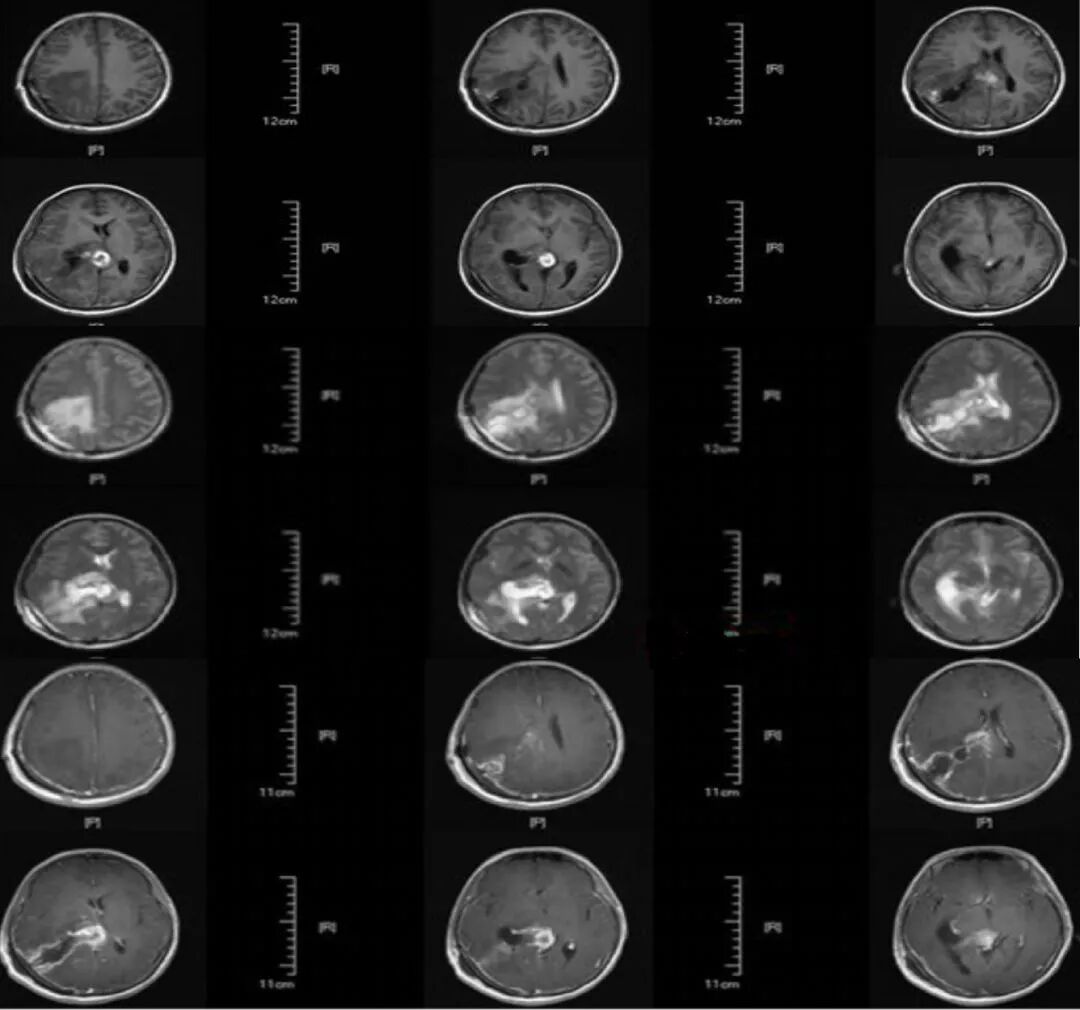
图5. 显示V-P分流术后复查头部CT。
图6.显示V-P分流术后复查头部MRI。
术后患者头痛恶心呕吐症状消失,恢复良好出院。
讨论
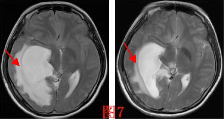
孤立颞角综合征(entrapped temporal hornsyndrome)在1947年由CAIRNS等首次报道[2],目前文献报道少[1, 3-7]。侧脑室三角区是颞角的流出道,解剖位置相对狭窄[8]。当因肿瘤、出血、感染等疾病导致三角区梗阻时,颞角的脉络丛仍持续分泌脑脊液,局部脑脊液积聚,引起颞角扩张,影像学上表现为侧脑室三角区呈气球样膨胀,周围的间质水肿明显,呈“日环征”[2]。本病例图7箭头所指。本病例考虑为手术切除肿瘤后侧脑室三角区少量出血后粘连,并局部脑室外引流管过度引流后导致三角区封闭后引起。

图7. 磁共振表现为侧脑室三角区呈气球样膨胀,周围的间质水肿呈“日环征”
该综合征的临床表现通常是颅高压的症状,如头痛、恶心呕吐等,如位于优势半球还可能出现失语、偏瘫等症状[3, 9]。
孤立颞角综合征的诊断条件:①患者存在引起三角区梗阻的原因,如肿瘤、出血、感染等疾病;②患者存在颅高压的症状;③患者影像学资料表现为侧脑室三角区扩张,周围的间质水肿明显,呈“日环征”,余脑室增大不明显。
孤立颞角综合征的治疗包括动态观察,脑室镜造瘘术,颞角腹腔分流术[2, 3]。对于无明显临床症状,颞角扩张不明显,周围间质水肿轻的急性期患者可动态观察,如急性期内颞角流出道重新开放,则无需治疗。2013年KRAHENBUHL等报道了他们通过脑室镜造瘘术治疗的4例颞角综合征的患者,其中2例术后再次出现颞角扩张,另1例术后合并颅内感染[10]。本例患者选择脑室腹腔分流术,因脑室镜操作费时,同时增加颅内感染机会,而侧脑室颞角腹腔分流术操作相对简单,效果相对可靠。
孤立颞角综合征一旦形成,增加住院时间、费用及影响术后康复,治疗较棘手,对于侧脑室三角区肿瘤术中应做到严密止血,术后早期避免过度脑室外引流形成孤立颞角综合征;对于术后恢复良好的患者出现头痛、恶心呕吐等症状时应予以重视,并及时行头部CT 或MRI检查,以早期发现该综合征并及时采取正确的治疗方式。
参考文献
[1] IACCARINO C, ROMANO A, RAMPONIV, et al. Entrapment of temporal horn: first case of bilateral occurrence andreview of literature[J]. Clin Neurol Neurosurg, 2013,115(10):2207-2212.
[2] 郝淑煜, 田润发, 于兰冰, 等. 孤立颞角综合征三例报告并文献复习[J]. 中华神经外科杂志,2016,32(12):1263-1265.
[3] CHEN C C, KASPER E M, ZINN P O,et al. Management of entrapped temporal horn by temporal horn to prepontinecistern shunting[J]. World Neurosurg, 2013,79(2):404-407.
[4] KAMALI N I, HUDA M F,SRIVASTAVA V K. Intraventricular hydatid cyst causing entrapped temporal hornsyndrome: Case report and review of literature[J]. Trop Parasitol,2011,1(2):113-115.
[5] SINGH S K, SRIVASTAVA C, OJHA BK, et al. An unusual cause of entrapment of temporal horn:Neurocysticercosis[J]. Neurol India, 2010,58(5):814-815.
[6] HANA T, TANAKA S, SHIN M, etal. Neuroendoscopic Ventriculocisternostomy with Stent Placement for TrappedTemporal Horn After the Resection of Glioblastoma[J]. World Neurosurg,2015,84(6):2075-2078.
[7] ABDERRAHMEN K, GDOURA Y, KALLELJ, et al. [Trapped temporal horn, an unusual form of obstructive hydrocephalus:5 case-reports][J]. Neurochirurgie, 2016,62(2):108-112.
[8] 刘辉, 岳树源, 杨树源, 等. 侧脑室颞角显微解剖与相关手术入路的研究[J]. 中国神经精神疾病杂志, 2009(12):747-748.
[9] WANG Y, LIN Z, LI Z, et al. TheIncidence and Risk Factors of Postoperative Entrapped Temporal Horn in TrigoneMeningiomas[J]. World Neurosurg, 2016,90:511-517.
[10] KRAHENBUHL A K, BALDAUF J, GAABM R, et al. Endoscopic temporal ventriculocisternostomy: an option for thetreatment of trapped temporal horns[J]. J Neurosurg Pediatr,2013,11(5):568-574.
(本文由湖北省襄阳市中心医院,湖北文理学院附属医院神经外科彭鹏,王志勇,刘汉东,敖祥生整理,浙江大学医学院附属第二医院神经外科石键审校,张建民主任终审)
往期回顾
浙二神外周刊(一百三十七)--以出血为首发症状的多形性黄色星形细胞瘤一例
浙二神外周刊(一百三十六)--垂体ACTH细胞增生性库欣病一例
浙二神外周刊(一百三十四)--腰髓动静脉畸形出血导致颅内蛛网膜下腔出血一例
浙二神外周刊(一百三十三)--疑似鞍区海绵状血管瘤一例
浙二神外周刊(一百三十一)--以腰椎播散灶为首发症状的颅内室管膜瘤一例
浙二神外周刊(一百三十)--亚裔学生的美国神经外科医师成长之路(来自UCLA华裔学生的经历分享)
浙二神外周刊(一百二十九)--开颅术后继发硬脑膜动静脉瘘一例
浙二神外周刊(一百二十八)--sternberg管未闭脑膜脑膨出致脑脊液鼻漏一例
浙二神外周刊(一百二十七)--中药皂角刺致颅内脊索瘤术后残余肿瘤萎陷?
浙二神外周刊(一百二十六)--利用复合手术室多学科合作处理头部刀刺伤一例
浙二神外周刊(一百二十五)--经静脉入路栓塞深部脑动静脉畸形一例
浙二神外周刊(一百二十四)--颅咽管瘤术后并发尾状核、壳核脱髓鞘1例
浙二神外周刊(一百二十三)--库欣病合并全身多发占位性病变一例
浙二神外周刊(一百二十二)--经皮脊柱内镜手术切除腰椎巨大滑膜囊肿一例
浙二神外周刊(一百二十一)--孤立性室管膜下巨细胞星形细胞瘤一例
浙二神外周刊(一百二十)--伴有ALK融合基因的颅内转移性肺神经内分泌癌一例
浙二神外周刊(一百一十九)--静脉入路栓塞舌下神经管区硬脑膜动静脉瘘一例
浙二神外周刊(一百一十八)--儿童中央区病灶致顽固性癫痫外科手术一例
浙二神外周刊(一百一十七)--丙戊酸钠相关高血氨脑病一例
浙二神外周刊(一百一十六)--儿童眶尖-海绵窦-颞下窝病变一例
浙二神外周刊(一百一十四)--高血压性脑干出血治疗--浙二的观点
浙二神外周刊(一百一十三)--“复合高压锅技术”治疗横窦区硬脑膜动静脉瘘一例
浙二神外周刊(一百一一十二)--应用新型动脉瘤内栓塞装置(WEB)栓塞前交通未破裂动脉瘤一例
浙二神外周刊(一百一十一)--儿童四脑室室管膜瘤术后并发胃瘫综合征一例
浙二神外周刊(一百零八)--新发现AIP基因突变位点的家族性单纯性GH瘤家系一例
浙二神外周刊(一百零七)--自发性低颅压致双侧硬膜下血肿一例
浙二神外周刊(一百零六)--张建民教授牵头国家重点研发计划:“基于脑机接口的脑血管病主动康复技术研究及应用”正式启动
浙二神外周刊(一百零五)--颅骨板障表皮样囊肿合并慢性硬膜外血肿一例
浙二神外周刊(一百零四)--内镜辅助显微手术半椎板入路切除儿童颈髓腹侧肠源性囊肿一例
浙二神外周刊(一百零三)--颅骨缺损修补术后并发急性脑肿胀一例
浙二神外周刊(一百零一)--胶质瘤的病理特征与位置分布的关系
浙二神外周刊(九十九)--垂体生长激素腺瘤卒中伴发脑梗塞一例
浙二神外周刊(九十六)--桥小脑角脑膜瘤伽马刀后并发PICA血栓性动脉瘤一例
浙二神外周刊(九十四)--颅内表皮样囊肿自发破裂伴血清CA-199显著升高一例
浙二神外周刊(九十二)--鞍上毛细胞黏液样星形细胞瘤伴自发性出血一例
浙二神外周刊(九十一)--2017西湖神经外科论坛成功召开!
浙二神外周刊(九十)--以尿崩症为首发表现的Erdheim-Chester病一例并文献复习
浙二神外周刊(三十七)--垂体瘤伴发鞍结...
浙二神外周刊(三十六)--脑膜血管瘤病...




