【Ref: Giese H, et al. J Clin Neurosci. 2018 Apr 2. pii: S0967-5868(17)32260-9. doi: 10.1016/j.jocn.2018.03.008.[Epub ahead of print]】
颅骨缺损区可因脑水肿或脑积水等原因引起脑组织膨出。部分患者并无颅内压增高,仅仅因局部脑脊液积聚,导致颅骨缺损区的硬膜膨出,给颅骨成形术带来困难,需要在术中做脑脊液外引流。侧脑室额角直接插管引流可能发生颅内出血或脑脊液漏等并发症。德国海德堡大学神经外科的Henrik Giese等报告术前腰大池引流有助于解决脑膜脑膨出,完成颅骨成形手术,结果发表在2018年4月的《J Clin Neurosci》在线上。
作者回顾性分析该大学医院14例颅骨成形术前接受腰大池引流患者的临床资料。通常在患者颅骨缺损区发现膨隆但没有脑水肿或脑积水征象时,考虑进行腰大池引流术(图1),维持每小时10毫升的脑脊液引流(图2)。在颅骨成形术后立即拔除腰大池引流管。

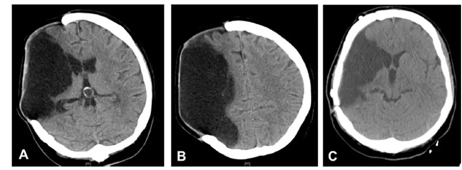
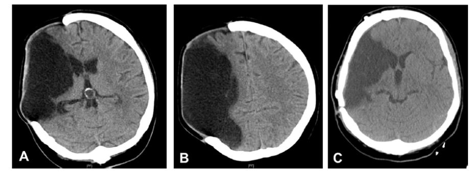
图1. A、B.女性患者,右大脑中动脉区脑梗死作右额颞去骨瓣减压术,术后5个月的CT成像;C.在腰大池脑脊液引流后完成颅骨成形术,术后1天的CT扫描结果。

图2. 腰大池引流前、后的示意图。由于持续的脑脊液引流,颅骨缺损区膨出组织降低到正常位置,有利于进行颅骨成形手术。
14例患者平均年龄46岁。去骨瓣减压的主要病因是急性占位性脑梗死(64.3%)和创伤性脑损伤(14.3%)。93%患者颅骨修补是自体骨移植。在颅骨成形术前均作腰大池引流,没有出现并发症。颅骨修补术中不做硬膜切开放脑脊液和脑室穿刺引流。腰大池引流平均维持在17±15h。术后随访过程中,没有发生与腰大池引流相关的并发症。
作者指出,颅骨缺损患者作颅骨成形术前放置腰大池引流,可以减少颅骨缺损区因脑脊液积聚所致的硬膜膨出,有利于颅骨成形术的顺利完成。腰大池引流可避免术中脑室穿刺,降低颅内出血和脑损伤并发症。
(Xuan编译,复旦大学附属华山医院王知秋教授审校,《神外资讯》主编、复旦大学附属华山医院陈衔城教授终审)
相关链接




