
今天为大家分享的是《贝朗时间》第十期,由苏州大学附属第一医院神经外科主任王中教授带来的:眶上外侧入路在颅内动脉瘤夹闭手术中的应用,欢迎阅读、分享!
病例一
眶上外侧入路在颅内动脉瘤夹闭手术中的应用
病例二
眶上外侧入路在颅内动脉瘤夹闭手术中的应用

王中
王中,苏州大学附属第一医院神经外科主任,脑神经研究室主任,教授,主任医师,博士生导师。
江苏省医学领军人才,江苏省“科教兴卫工程”医学重点人才,江苏省有突出贡献的中青年科学技术专家,江苏省333人才工程人才,姑苏领军人才。中华医学会江苏省神经外科分会副主任委员、脑血管病学组组长,中国研究型医院学会神经外科学专业委员会全国常务委员,中国医师协会神经外科分会全国委员,中华中青年神经外科联合会副会长,中国医师协会微侵袭神经外科专家委员会委员,江苏省中西医结合神经外科分会常委,江苏省神经外科质控中心副主任委员。
近年获国家自然科学基金面上项目3项以及多项省部级科技立项,参与十三五国家重点研发计划、十二五国家科技支撑各1项,在研经费1000余万元。获省部级奖项共7项,其中教育部科学技术进步一等奖1项,江苏省科学技术奖二等奖2项,江苏医学科技奖一等奖1项,省卫生厅新技术引进奖3项。
作为学科带头人,近3年将神经外科建设成为国家临床重点专科、江苏省临床医学中心(均为江苏省唯一),苏州市临床医学中心,首批入围国家神经外科专科医师培训基地的单位之一。
病例一
1. 临床表现
患者男性,51岁。因“剧烈头痛10天余,左眼上睑下垂1周”入院。查体:神志清楚,Hunt-HessⅡ级。颈抵抗明显,左侧眼睑下垂,右侧眼睑正常。左侧瞳孔直径4.5mm,对光反射迟钝;右侧瞳孔直径2mm,对光反射灵敏。
2. 辅助检查
术前外院DSA提示:左侧颈内动脉后交通动脉瘤呈不规则腊肠形,约4*10mm,右侧小脑上动脉瘤呈球形,约3*4mm,胼周动脉瘤,约2*3mm。

图1-1. 外院头颅DSA结果提示颅内多发动脉瘤:分别为左侧颈内后交通动脉瘤、右侧小脑上动脉瘤、胼周动脉瘤。
3. 治疗策略
患者为颅内多发动脉瘤,根据DSA结果,责任动脉瘤为左侧颈内后交通动脉瘤。一期行左侧颈内动脉后交通动脉瘤+右侧小脑上动脉瘤夹闭术,二期处理胼周动脉瘤。
4. 手术过程
取左侧眶上外侧入路,切开头皮和帽状腱膜,按骨瓣形状大小切开骨膜,自额颞角向外切开1cm宽度颞肌(见图1-3),显微镜下打开额底池、视交叉池,释放脑脊液后脑压充分下降,抬起额叶,沿侧裂向内前解剖分离到视交叉、颈内动脉池,然后沿颈内动脉向远端分离探查至颈内动脉分叉部。可见颈内动脉后交通段外侧壁有一动脉瘤,狭长形,大小约4*10mm,指向后外侧直达颅底,挤压动眼神经。分离出后交通动脉,用一740动脉瘤夹夹闭瘤颈。后交通动脉保留完好。再从第二间隙探查基底动脉顶端,在右侧小脑上动脉起始端可见一囊性动脉瘤,大小约3*4mm,瘤颈位于右侧小脑上动脉及大脑后动脉起始部之间,瘤颈约3mm。分离出瘤颈后用一740动脉瘤夹夹闭瘤颈,瘤颈夹闭满意,载瘤动脉及分支血管保留完好。骨瓣复位,结束手术。

图1-2. 手术切口范围
病例一
眶上外侧入路在颅内动脉瘤夹闭手术中的应用
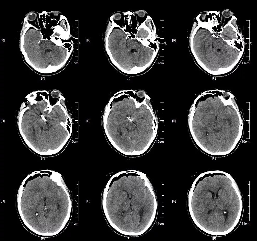
5. 术后复查

图1-4. 术后头颅CTA可见左侧颈内后交通动脉瘤、右侧小脑上动脉瘤夹闭完全。
病例二
1. 临床表现
患者女性,53岁。因“突发头痛1天”入院。既往有高血压史3年,口服络活喜,1片,qd,血压控制可。入院查体:神志清楚,颈抵抗明显,双侧瞳孔等大等圆,直径2mm,对光反应灵敏,四肢肌力、肌张力正常,生理反射存在,病理征阴性。
2. 辅助检查
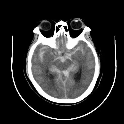
术前CT:脑干周围、双侧侧裂池、后纵裂广泛高密度影,蛛网膜下腔出血。(图2-1)

图2-1. 入院头颅CT检查提示广泛的蛛网膜下腔出血
术前CTA:左侧小脑上动脉瘤,瘤体大小2*6mm,余血管无明显异常。(图2-2)

图2-2. 入院头颅CTA提示左侧小脑上动脉瘤,瘤体大小2*6mm。
3. 手术过程
左侧眶上外侧入路切口分段逐层切开头皮和帽状腱膜,分离翻开皮瓣;按骨瓣形状大小切开骨膜,在额颞角向外1cm范围内剥离颞肌,铣刀铣开大小约3*3*4cm骨窗,显微镜下打开额底池、视交叉池、终板池,释放出血性脑脊液,脑压下降;抬起额叶,充分暴露出第二间隙,可见鞍上池暗红色血肿,吸除血肿,沿第二间隙分离出动脉瘤体,载瘤动脉为小脑上动脉,动脉瘤体大小约2*6mm,在第二间隙使用跨血管动脉瘤夹(644)夹闭动脉瘤,可见瘤体完全夹闭,载瘤动脉通畅,大脑后动脉及小脑上动脉保留完好。硬膜严密缝合修补,骨瓣复位。
病例二
眶上外侧入路在颅内动脉瘤夹闭手术中的应用
4. 术后复查

病例三
1. 临床表现
患者女性,46岁。因“头痛3天”入院。既往有高血压史十余年,口服北京零号1片QD控制情况不详。入院查体:神志嗜睡,颈抵抗明显,双侧瞳孔等大等圆,直径2.5mm,对光反应灵敏,眼球活动可,伸舌居中,四肢肌力正常,肌张力不高,生理反射存在,病理征阴性。
2. 辅助检查
术前CT:鞍上池及双侧外侧裂见高密度影,蛛网膜下腔出血。(图1)
术前CTA:基底动脉顶端见瘤样突起,大小约0.5×0.8cm;余血管无明显异常。(图2)

图3-1. 患者入院后头颅CT提示蛛网膜下腔出血,以脑干前方为主,提示后循环动脉瘤破裂出血可能。

图3-2. 患者入院后头颅CTA提示基底动脉顶端动脉瘤,大小约0.5×0.8cm。余血管未见明显异常。
3. 手术过程
取右侧眶上外侧入路,显微镜下打开额底池、视交叉池、终板池,释放脑脊液满意,沿颈内动脉上间隙分离,在基底动脉顶端分离出动脉瘤体,动脉瘤体大小约4*8mm,在第二间隙使用750、742动脉瘤夹夹闭动脉瘤,夹闭完全,确认载瘤动脉通畅。
术中图片

图3-3. 第二间隙清除部分蛛网膜下腔出血

图3-4. 暴露出动脉瘤体并进行动脉瘤颈暴露

图3-5. 742动脉瘤夹夹闭瘤颈,探查可见部分动脉瘤体残留

图3-6. 750动脉瘤夹夹闭残留瘤体,确认无载瘤动脉及穿支血管误夹
4. 术后复查

图3-7. 术后头颅CT可见术野内无出血

图3-8. 术后头颅CTA复查可见动脉瘤夹闭满意

图3-9. 手术骨窗重建
讨论
2005年芬兰赫尔辛基大学Juha Hernesniemi教授首次报道了眶上外侧入路手术入路,在此之前的十余年间其已开展2000余台该入路手术。本文作者自2010年起在国内首家开展微创的眶上外侧手术入路,累计动脉瘤病例数1200台左右,平均手术时间1.5小时。
在动脉瘤治疗方面,该入路主要应用于大部分前循环动脉瘤(Hunt-Hess 0-III级),其中部分高分叉基底动脉顶端动脉瘤,小脑上动脉动脉瘤亦可尝试该入路。在肿瘤治疗方面,该入路主要应用于鞍区肿瘤、嗅沟脑膜瘤等前颅底肿瘤。
该入路的优点:减少面神经损伤、不咬除蝶骨嵴、脑膜中动脉不切断、减少术中颞叶无效暴露。同时在减少无效暴露的前提下确保充分术野暴露,降低暴露不充分所致的挫伤等风险,易于术中意外情况控制,该手术入路更易于大范围推广。
参考文献
Hernesniemi J, Ishii K, Niemelä M, Smrcka M, Kivipelto L, Fujiki M, Shen H. Lateral supraorbital approach as an alternative to the classical pterional approach. Acta Neurochir Suppl. 2005;94:17-21.
Chen G , Wang Z(王中,通讯作者), Zhou D. Lateral supraorbital approach applied to sellar tumors in 23 consecutive patients: the Suzhou experience from China. World J Surg Oncol. 2013 Feb 21;11:41.
往期回顾




