今天为大家分享的是由兰州大学第二医院神经外科严贵忠医师翻译,王小峰医师审校:室管膜下瘤的影像学特征,欢迎观看、阅读!

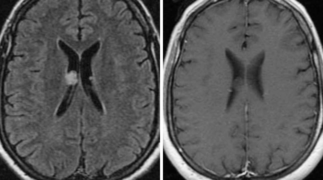
图1. 脑室内小结节状室管膜下瘤,在FLAIR加权相上呈高信号(左),是一种少见的良性肿瘤。增强后有多种表现,这例在T1增强加权相后无明显强化(右)。

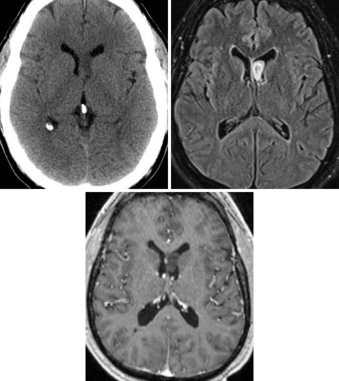
图2. 脑室内室管膜下瘤在CT上不易辨别(左上),而在FLAIR加权相上显示比较清楚(右上)。这例左侧脑室额角室管膜下瘤在T1增强加权相后未见明显强化效应(下)。
基本描述
良性肿瘤,可能起源于室管膜下胶质前体细胞
病理学
WHO I级
分叶状、乏血管的实体肿瘤
巨大的肿瘤可能出现钙化、出血及囊变成分
细胞结构松散
常起源于第四脑室底、透明隔或侧脑室侧壁
临床表现
发病于中老年
好发于男性
常见的症状
(1)大多数无症状
(2)巨大型肿瘤可引起颅内压升高症状:恶心、呕吐、头痛及共济失调
治疗
(1)无症状患者可在影像学的随访下保守治疗
(2)如果有症状:侧脑室内的肿瘤全切,四脑室内的肿瘤次全切,伴有脑积水的有可能需要行脑脊液分流
(3)手术切除后很少复发
幕上室管膜下瘤预后良好
影像学特征
一般表现
(1)边界清楚、分叶状、无强化效应的脑室内肿瘤
(2)四脑室内的肿瘤可以经Magendie孔生长
CT
(1)等低密度
(2)巨大型肿瘤中可伴有钙化和囊变
(3)CT增强后基本无强化效应
MRI
(1)T1加权相:呈均一的等低信号
(2)T2加权相:高信号;在大型肿瘤中由于囊变和出血的存在,呈不均一的信号
(3)FLAIR加权相:高信号,临近的脑实质无水肿
(4)T2*/GRE/SWI:钙化的存在为低信号
(5)T1增强加权相:最常表现为无强化效应
影像学建议
MR增强扫描;CT对于较小钙化的辨认有帮助。
(编译:严贵忠;审校:王小峰)
如果想了解更详细的内容,请参阅Radiopaedia(https://radiopaedia.org/articles/low-grade-infiltrative-astrocytoma)的相应章节。
Contributor: Rachel Seltman, MD
DOI: https://doi.org/10.18791/nsatlas.v1.ch02.1.40
相关链接





