今天为大家分享的是由广西壮族自治区贵港市人民医院神经外科张文佳主治医师翻译,王小峰医师审校:少突胶质细胞瘤的影像学特征,欢迎观看、阅读!

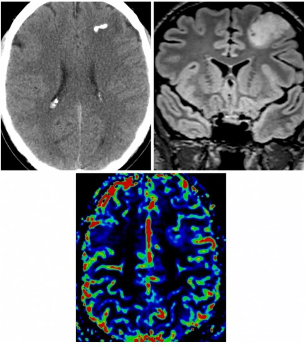
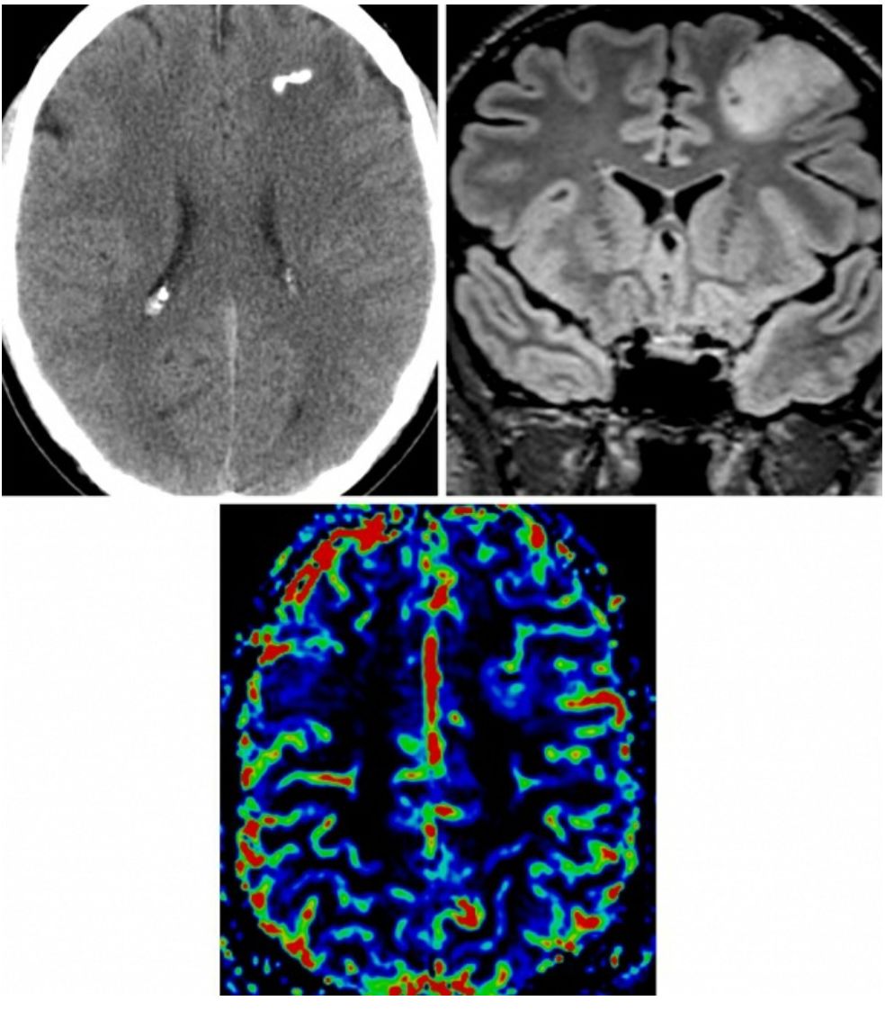
图1. 少突胶质细胞瘤在CT上的特征性改变为肿瘤内部的多发钙化(左上图);在冠状位FLAIR上,肿瘤典型的表现为均匀局限性浸润生长,累积周围的皮层及白质(右上图);在脑血容量灌注图像上,少突胶质细胞瘤表现为轻微低灌注,出现“鸡笼”样血管的病理特征(下图)。
基本描述
生长缓慢,向皮质及皮质下浸润生长的胶质细胞瘤
病理学
WHOⅡ级
间变性少突胶质细胞瘤为WHOⅢ级
起源于成熟少突胶质细胞或胶质前体细胞的恶性转化
常见钙化和囊变
由于肿瘤细胞核圆,胞质边界清、均匀,在光镜下表现为“煎蛋样”表现
与IDH1- 或MGMT阳性遗传学相关
临床表现
一般发病年龄为50-60岁之间【注:参考网站Radiopaedia里面标注的是40-50岁】
男性发病稍多
主要症状:癫痫、头痛和局灶性神经功能缺损
中位生存时间为10年
比同WHO级别的星形细胞瘤预后更好
影像学特征
一般表现
(1)边界清晰,但向皮质及皮质下浸润生长的肿块
(2)大多发生于幕上
a. 额叶远多于颞顶枕叶
(3)肿瘤可呈囊性和实性不同程度的存在
(4)40%-80%的肿瘤有钙化
(5)瘤周脑组织水肿不明显
(6)少突星形细胞瘤少见,但是与少突胶质细胞瘤有相似的影像学表现及WHO分级
CT
(1)发生于幕上的累及皮质及皮质下白质的等低密度团块影
(2)如果有出血或钙化则表现为局灶性高密度影
(3)CT增强表现为多变的强化效应
MRI
(1)T1加权相:相对比于灰质,呈不均匀等低信号;可伴有累及邻近皮质肿胀
(2)T2加权相:由于出血、囊变和钙化可表现为不均匀高信号
(3)FLAIR加权相:不均匀高信号,瘤周轻度水肿
(4)T2*/GRE/SWI:由于钙化和/或者出血后的含铁血黄素沉积,呈现黑色信号改变
(4)DWI:通常不表现处局限性弥散
(5)T1加权增强相:不均匀强化,WHOⅡ级肿瘤出现新的强化提示肿瘤恶变为间变性少突胶质细胞瘤
(6)MR波谱成像/MR灌注成像:胆碱升高,NAA下降,脂质及乳酸峰缺失(不同于间变性少突胶质细胞瘤);具有相对脑血容量(RCBV)升高的独特特征,但是由于出现“鸡笼”样血管的病理特征,RCBV分级较低
影像学建议
建议行MRI增强检查,包括T2*/GRE/SWI;CT检查明确钙化
(编译:张文佳;审校:王小峰)
如果想了解更详细的内容,请参阅Radiopaedia(https://radiopaedia.org/articles/low-grade-infiltrative-astrocytoma)的相应章节。
Contributor: Rachel Seltman, MD
相关链接





