今天为大家分享的是由广西壮族自治区贵港市人民医院神经外科张文佳主治医师翻译,王小峰医师审校:室管膜下巨细胞型星形细胞瘤(SEGA)的影像学特征,欢迎观看、阅读!

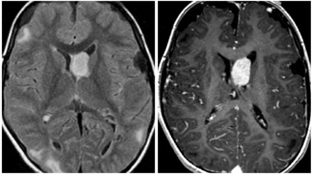
图1. 室管膜下巨细胞型星形细胞瘤(SEGA)的典型好发位置为室间孔附近,在结节性硬化症患者,肿瘤体积大于可见的室管膜下结节。左图:FLAIR相上可见多发的皮层下高信号团块影,位于脑室内室管膜下的肿瘤也呈高信号改变,其余的钙化室管膜下结节不明显;右图:T1增强加权像上可见典型的SEGA强化改变。
基本描述
起源于神经胶质细胞的良性肿瘤,可见于结节性硬化症患者
肿瘤生长缓慢,来源于室管膜深部发育的胚胎生发基质。生长于室间孔附近的肿瘤有时可阻塞脑脊液循环通路而引起急性梗阻性脑积水
病理学
WHOⅠ级
可能起源于生发基质附近的室管膜下结节(SEN)
表现出神经胶质细胞的异常迁移
是好发于结节性硬化症(TSC)患者的常见中枢神经系统肿瘤
非结节性硬化症(TSC)患者不常见
与室管膜下结节组织病理学类似,主要鉴别基于肿瘤大小及生长速度
常染色体显性遗传,或TSC1和TSC2基因的新生突变
临床表现
多见于结节性硬化症的儿童及年轻患者(平均年龄11岁)
主要症状
(1)梗阻性脑积水
(2)由于急性颅内压增高引起的头痛、恶心、呕吐等症状
(3)由于脑室扩张引起的自发性瘤内出血少见
(4)可见逐渐加重的癫痫发作
肿瘤全切后预后良好
治疗方法:雷帕霉素和/或手术切除
影像学特征
一般表现
(1)在结节性硬化症(TSC)患者中,肿瘤好发于侧脑室室间孔附近,表现为生长缓慢的强化团块
(2)肿瘤边界明显,多呈分叶状
(3)体积多变
(4)结节性硬化症(TSC)患者中还可见皮层结节或皮层发育异常、室管膜下结节
CT
(1)相对比于灰质,呈混杂等高密度影
(2)可有钙化,或脑积水改变
(3)CT增强呈明显不均匀强化改变
MRI
(1)T1加权相:相对比于灰质,呈等低信号,钙化部分可能呈高信号
(2)T2加权相:混杂等高信号,钙化部分低信号
(3)FLAIR加权相:混杂高信号,急性脑积水和脑脊液渗入继发的室周高信号
(4)T2*/GRE/SWI:钙化部分呈现黑色的磁敏感改变
(5)T1加权增强相:明显强化
(6)DWI:对比于TSC错构瘤表现为相对低弥散
影像学建议
对于SENs和SEGA患者,建议长期行MRI增强随访
(编译:张文佳;审校:王小峰)
如果想了解更详细的内容,请参阅Radiopaedia(https://radiopaedia.org/articles/low-grade-infiltrative-astrocytoma)的相应章节。
Contributor: Rachel Seltman, MD
DOI: https://doi.org/10.18791/nsatlas.v1.ch02.1.39
相关链接





