【Ref: Alabaster K, et al. J Neurosurg. 2018 Jan;128(1):165-173. doi: 10.3171/2016.10.JNS162161. Epub 2017 Apr 14.】
有一纤维状结构位于硬膜背侧、横向延伸在颅颈交界处双侧枕髁与C1寰椎上缘之间、而且部分覆盖枕骨常在后颅窝手术入路时连带枕骨大孔边缘被切除,该纤维结构称为枕下韧带(suboccipital ligament)(图1、2)。此结构外科医生虽然熟知,但其细节描述尚缺乏报道。美国田纳西大学健康科学中心医学院的Kelsey Alabaster等通过解剖和临床研究,对该结构进行详细阐述,结果发表于2018年1月的《J Neurosurg》上。

图1. 1例 Chiari畸形Ⅰ型患者,术中手术照片。A.黑色箭头所指为枕下韧带;B.切除枕骨后,枕下韧带完全暴露,箭头所示;C.枕下韧带放大观。

图2. 枕下韧带示意图。A.切除枕骨前;B.切除枕骨后;C.矢状位观。
该研究解剖10例尸头的枕下韧带;并对39例手术患者的枕下韧带进行观察。39例中,31例为Chiari畸形Ⅰ型(CM-Ⅰ),8例为非CM-Ⅰ的后颅窝病变。分析枕下韧带的空间结构、功能、大小、组织学及毗邻结构。组织病理学结果显示,枕下韧带水平方向由透明纤维组成,平均长、宽和厚度分别为35mm、10mm和0.5mm(图3)。CM-Ⅰ型组与非CM-Ⅰ型组的枕下韧带在空间结构上无显著差异。

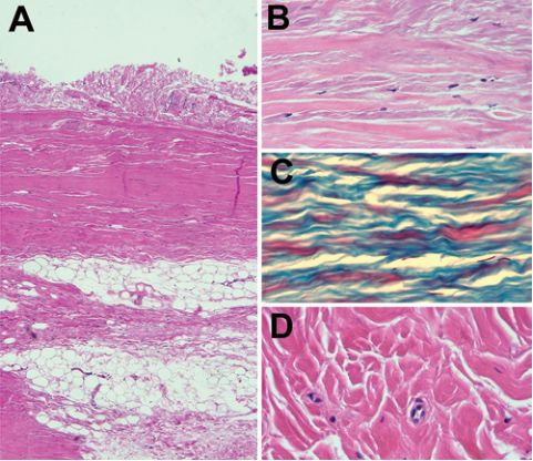
图3. 非CM-Ⅰ型的后颅窝脑膜瘤患者。A.HE染色,40×倍镜显示枕下韧带的结缔组织;B.HE染色,200×倍镜显示枕下韧带的结缔组织;C.Masson三色染色,200×倍镜显示纤维排列相互平行;D.HE染色,400×倍镜显示含毛细血管的结缔组织。
39例患者平均年龄43岁;CM-Ⅰ型组平均年龄35岁,非CM-Ⅰ型组平均年龄57岁。各组患者的体重、身高和体重指数无显著性差异,体重指数或身高与枕下韧带的宽度无相关性。CM-Ⅰ型患者枕下韧带纤维组织排列紊乱伴散在脂肪组织,多有玻璃样变和玻璃样结节(图4)。CM-Ⅰ型与非CM-Ⅰ型患者枕下韧带的最显著差异是存在玻璃样结节。

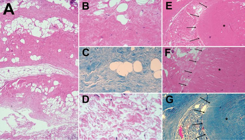
图4. CM-Ⅰ型患者枕下韧带的组织病理学切片图。A.HE染色,40×倍镜显示枕下韧带的结缔组织;B.HE染色,200×倍镜显示枕下韧带的结缔组织;C.Masson三色染色,200×倍镜显示结缔组织纤维走向变化;D.HE染色,400×倍镜显示结缔组织;E.HE染色,40×倍镜显示,星号表示玻璃样结节,箭头表示结节界面;F.HE染色,100×倍镜显示,星号表示玻璃样结节,箭头表示结节界面;G.Masson三色染色,40×倍镜显示玻璃样结节。
研究结果显示,枕下韧带是为于枕髁与C1寰椎上缘之间的、连接两侧边缘的纤维结构,如同一个真正的韧带发挥作用。枕下韧带大约2/3延伸到枕骨腹侧,疏松地附着于硬膜,并与周围结构紧密连接。由于枕下韧带独特的解剖、形态特征及功能,应该赋予属于它自己的名称。
(宁夏医科大学总医院李信晓编译,《神外资讯》主编、复旦大学附属华山医院陈衔城教授审校)
相关链接




