
今日与大家分享的是《正海-妙术视界》第九十一期,由巴洛神经科学研究所(BNI)主席Lawton教授带来的精彩手术讲解:“脑血管手术的精妙细节解析”。欢迎观看、分享。
脑血管手术的精妙细节解析

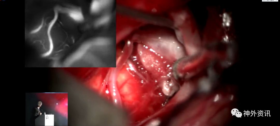
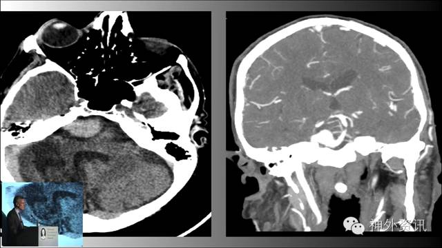
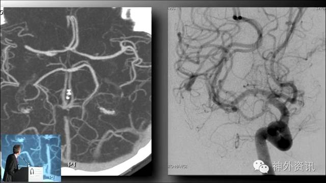
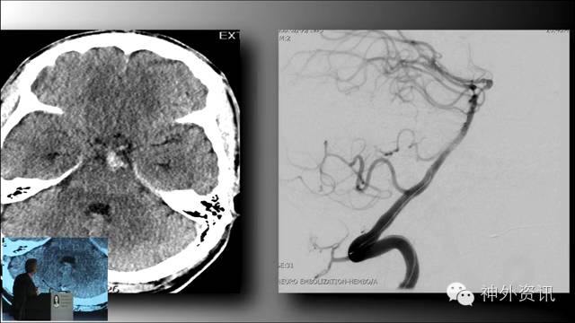
Michael T. Lawton,巴洛神经科学研究所(BNI)主席,精于各种脑血管疾病的治疗,已累及外科治疗4400余例颅内动脉瘤和700余例AVM,发表论文270余篇,参编书籍40余部,著有《Seven Aneurysms: Tenets and Techniques for Clipping》。











Lawton教授:脑血管手术的精妙细节解析

今日与大家分享的是《正海-妙术视界》第九十一期,由巴洛神经科学研究所(BNI)主席Lawton教授带来的精彩手术讲解:“脑血管手术的精妙细节解析”。欢迎观看、分享。
脑血管手术的精妙细节解析

Michael T. Lawton,巴洛神经科学研究所(BNI)主席,精于各种脑血管疾病的治疗,已累及外科治疗4400余例颅内动脉瘤和700余例AVM,发表论文270余篇,参编书籍40余部,著有《Seven Aneurysms: Tenets and Techniques for Clipping》。










