
今天为大家分享的是“景昱—神经科学专栏”第七十二期,由中南大学湘雅二医院周倩主治医师带来的“亨廷顿舞蹈病的DBS治疗及1例案例分析”,内容精彩,欢迎阅读。
周倩,中南大学湘雅二医院神经外科,主治医师,医学博士。曾先后在美国罗兰·里根医院学习,并在欧洲赫尔辛基中心医院实习,现就职于湘雅二医院,主攻功能神经外科,包括:帕金森、肌张力障碍等功能神经外科的治疗。工作期间发表本专业论文30余篇,其中SCI 8篇,主持及参与国家级课题多项,拥有国际发明专利1项,国内发明专利2项,多次获得中南大学医疗新技术成果奖,并获得湖南省科技进步奖二等奖等。
1841年,Charles Oscar Waters首次对一种不协调、不稳定运动的疾病做出描述;但是1872年George Huntington更具体地描述了该病,所以这种疾病被命名为“亨丁顿舞蹈症(Huntington’s disease , HD)”。

HD是一种常染色体显性遗传的进行性神经退行性疾病,成年期发作最常见,通常在30~40岁之间出现症状。罕见的青少年亨廷顿病,一般在20岁前发病,疾病早期即可出现多种症状,而且进展很快。

HD患者会出现不协调肢体运动、认知障碍和精神症状、以及伴发的其他并发症。但是不同的患者首发症状不一定相似,病程进展也有差异。以下分别从运动方面、精神方面、认知方面详述。

一、 运动方面:
患者出现不自觉的肢体抽动或扭动、肌张力障碍、步态和姿势异常、平衡感变差、眼球运动变慢、吞咽和语言障碍;
二、 精神方面:
最常见患者出现抑郁症。患者的精神疾病与脑细胞损伤出现功能改变有关。其他精神表现还包括焦虑症、躁狂症、强迫症、失眠。患者易感到疲倦,会出现自杀想法和尝试,同时伴有社交能力下降;
三、 认知方面:
不能理解对话、缺乏对自己行为的正确认识、难以执行指令、不能控制自己行为、组织语言和安排活动。

对于青少年期或者儿童阶段发病的青少年亨廷顿病患者,疾病发生和发展异于成年患者。部分患者会发生癫痫、肌张力障碍,出现行为问题和学习能力下降的情况,不仅无法跟进教学,还会遗忘学习过的知识,丧失之前获得的技能。
HD会影响患者生活质量和日常活动。疾病进展速度和持续时间各不相同。成年患者,从疾病出现到死亡的时间通常是10到20年,也有30年的。青少年亨廷顿舞蹈病患者通常会在症状出现后的10年内导致死亡。常见的死因包括:
1. 肺炎或者其他感染; 2. 运动过程中跌倒导致的躯体伤害; 3. 吞咽困难及相关并发症; 4. 自杀等。
HD一直尝试保守治疗,缓解患者症状,药物治疗的效果欠佳,目前很多外科中心尝试通过DBS手术治疗HD,取得了一定的效果。和帕金森、肌张力障碍的患者不一样,HD是一种影响寿命的疾病,患者发病后从疾病出现到死亡的时间通常是10到20年。此外,HD对患者的智力也会产生比较严重的影响。
一例亨廷顿舞蹈病患者:
胡某某,女,46岁,10年前无明显诱因出现上、下肢不自主运动,症状逐渐加重,累及头颈、躯干、四肢,表现为舞蹈样的大幅运动,1年前因严重的不自主运动丧失劳动力,智力逐渐减退,现进食也受到影响。曾服用氟哌啶醇、苯海索等多种药物,无明显改善。

患者有家族史,基因检查显示为亨廷顿病。MRI检查显示双侧尾状核、壳核明显明显萎缩。

患者行双侧GPI DBS手术,手术顺利。下图为患者的计划,该患者大脑皮层萎缩明显、对称性尾状核萎缩,侧脑室前脚尾状核区呈球形向外膨起,呈“蝴蝶征”。这类型的患者对靶点的要求十分高,精确的确定靶点,对于术后的效果可以起到更好的作用。

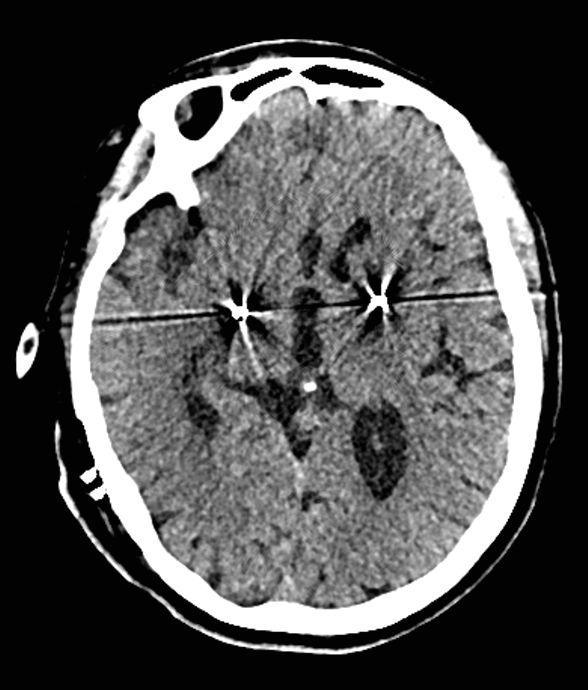
术后复查CT:

开机3天后,患者的UHDRS运动评分改善37%,目前,术后患者的运动功能得到了部分改善,智力等没有进展性的下降,基本可以生活自理。综合近几年的一些相关文献,Gpi DBS能够部分改善亨廷顿病患者的运动症状,对于高级皮层功能受累较轻的患者可以延长患者生活自理的时间,提高生活质量。对于尝试使用DBS治疗亨廷顿舞蹈病的患者,一定要把握好适应症。在临床医生向患者提出DBS治疗HD之前,仍然应该对该技术疗效进行深入探索。
参考文献
1. Velezlago F M, Thompson A, Oyama G, et al. Differential and better response to deep brain stimulation of chorea compared to dystonia in Huntington's disease.[J]. Stereotact Funct Neurosurg, 2013, 91(2):129-133.
2. Huber J T, Gillaspy M L. National Institute of Neurological Disorders and Stroke (NINDS):[J]. Encyclopedic Dictionary of AIDS-Related Terminology, 2000.
【景昱-神经科学专栏】往期回顾




