启事
“浙二神外周刊”不定期接收外院投稿,审核后发表。欢迎各专业同道联系我们,分享精彩病例、研究热点或前沿资讯。投稿请联系:shishi74@163.com
病史简介
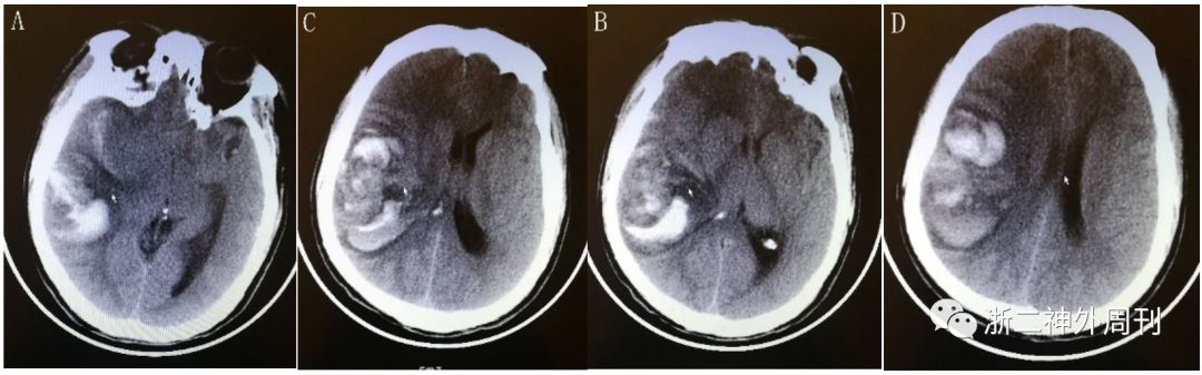
患者,男,39岁。2017.4.26因“突发头痛半天”至当地医院就诊,查头颅CT:右侧颞顶叶出血破入外侧裂,当天转至当地上级医院,拟诊“右侧颞顶叶脑出血破入外侧裂”入院。入院后急诊头颅CT示右侧颞叶血肿,伴蛛网膜下腔出血(图1)。因病情急重,未行MRI检查。

图1.头部CT平扫示右侧颞顶叶出血破入外侧裂。
当时查体:生命体征平稳,神志清,GCS:4+5+6。一般情况尚可。瞳孔等大等圆,光反射灵敏,颅神经无阳性体征。右侧肢体肌力V级,肌张力不高,右膝反射(++),右侧巴氏征阴性,左侧肢体肌力V-级,肌张力不高,左膝反射(+),左侧巴氏征可疑阳性。
诊疗经过
当地医院急诊行开颅探查术。术中见肿瘤样组织,考虑为肿瘤出血,行病灶及血肿清除+去骨瓣减压术。术后情况良好,GCS15分,左侧肢体肌力恢复正常。复查头颅CT示血肿切除术后改变,占位表现好转。
术后病理
当地医院病理报告考虑“多形性黄色星型细胞瘤”。后送至上海华山医院病理会诊,考虑多形性黄色星形细胞瘤WHO II级。免疫组化结果:EMA(-),UMB1(-),PR(-),GFAP(+),Olig2(-),Ki67(2%),IDH(-),P53(-)。特殊染色结果:RF—(部分+)。
术后放疗及随访
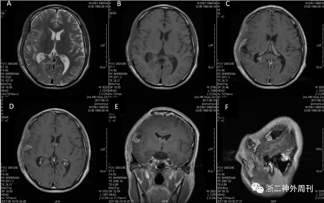
术后2个月当地医院复查MRI,提示右侧肿瘤术后改变,肿瘤部分残留。2017.6来浙医二院神经外科就诊,复查头颅MRI示:“病灶前缘见结节状,环形明显强化”(图2)。

图2.浙医二院头颅MRI示右侧额叶肿瘤术后,残腔边缘见异常强化。
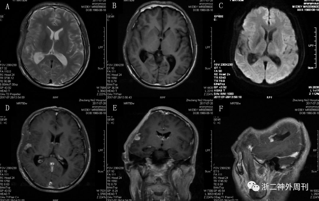
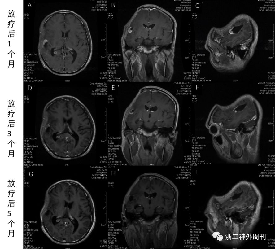
2017-06-20开始行放疗:右颞叶残留灶及周围高危区PTV1 48Gy/24F + PGTV 10Gy/5F,泰道每日75mg/m2 同步化疗。放疗结束后予泰道5/28方案化疗6周期(第1周期150 mg/m2/日,第2-6周期200 mg/m2/日)。放疗结束后头颅MRI复查无明显变化,至放疗后1月开始病灶缩小,放疗后3月明显缩小,放疗后5月可见病灶已消失(图3,4)

图3.放疗结束复查头颅MRI示术后残腔边缘异常强化灶同放疗前无明显变

图4.放疗后1月头颅MRI(A-C);放疗后3月头颅MRI示残留病灶开始缩小(D-F);放疗后5月头颅MRI示残留病灶基本消失(G-I)
2017.9.3开始出现继发性癫痫,口服丙戊酸钠500mg Bid治疗,控制欠佳,并发记忆力减退和头晕,2018年2月予丙戊酸钠联合奥卡西平治疗,目前癫痫控制满意。
讨论
多形性黄色星形细胞瘤(pleomorphic xanthoastrocytoma, PXA)是好发于儿童及青少年的少见颅内肿瘤,占所有星形细胞肿瘤的1%[1]。既往PXA常被归类于儿童及青少年的低级别胶质瘤,WHO II级[2]。2016年中枢神经系统肿瘤WHO分类中增加间变性多形性黄色星形细胞瘤,归类于WHO III级[3]。
近年来,对PXA的认识逐渐深入,它不同于其他低级别儿童胶质瘤,具有相对较高的复发率及不可预测的生物学行为[3]。本病例以出血为首发症状,就诊于急诊,有瞳孔不对称表现,但无明显意识水平下降,为不典型临床表现,需鉴别瞳孔变化的原因。清除血肿并去骨瓣减压后瞳孔恢复正常,考虑术前瞳孔改变为颞叶沟回疝引起,此种意识改变不明显的颞叶沟回疝在临床中并不特别罕见,其预后往往比意识恶化明显的脑疝好,所以及时的手术后减压很关键。
PXA的病理学特点:典型的组织学特点包括多形性、含脂细胞、表达GFAP 并常围绕网状纤维和嗜伊红颗粒小体。典型WHO Ⅱ级PXA 病理表现为,缺乏坏死,核分裂象无或少,细胞增殖指数常低于1%,无血管和血管内皮细胞的增生。WHO Ⅲ级PXA 有较多的核分裂象和较高的细胞增殖指数,可出现灶性坏死,并有血管和血管内皮细胞的增生,还可见肿瘤浸润脑实质和血管周围间隙。PXA 表达CD34,典型PXA CD34 阳性率可高达84%;伴有间变特征的PXA 阳性率仅为44%。PXA患者约50%-60%存在BRAF V600E突变[5],
PXA的影像学特点:PXA常位于脑膜和大脑表面。98%的病例发生在幕上,尤其好发于颞叶(本病例的临床表现虽然不典型,但影像学表现还是很典型的)。影像学典型表现为幕上接触软脑膜的大囊性病灶伴显著强化的壁结节。PXA病灶可分为囊性、囊实性、实性3种形态。囊性部分的囊液信号在T1WI及T2 WI均略高于脑脊液,提示部分病变囊液蛋白质含量高于脑脊液;实性部分多数与脑皮层相近,无明显特异性。囊性为主的病变大部分边缘清楚,实性为主的病变边缘在平扫显示不清,增强扫描则显示清晰。瘤周脑组织多为轻度水肿,提示良性特征。
PXA的治疗与预后:PXA 常位于幕上大脑皮层浅表部位,边界清楚,易于切除干净,因此首次手术的应尽可能全切除。放、化疗对其预后是否有帮助,至今仍有争论[4]。对于病理明确为间变型PXA,需要进行放疗,同时建议替膜唑胺化疗。WHO Ⅱ级PXA,术中有明确肿瘤残留,亦建议放疗。本病例因急诊手术,未能全切,因此术后辅助放疗是必要的,而且影像学随访也证实了放疗和同步/辅助化疗的确使增强的病灶减小并基本消失。
PXA患者超过半数存在BRAF V600E突变[5],针对此类突变的靶向药物在PXA中的应用已有报道[6]。其中达拉菲尼用于BRAF V600E突变的少见肿瘤,包括胶质瘤中的应用已有临床试验(NCT02034110)注册。
PXA具有相对较好的预后,2012年基于SEER数据库的分析报道显示[1],PXA 5年生存率75%,10年生存率67%。手术切除程度是重要的预后因素。
参考文献
[1]Perkins SM, Mitra N, Fei W, Shinohara ET. Patterns of care and outcomes of patients with pleomorphic xanthoastrocytoma: a SEER analysis. J Neurooncol. 2012. 110(1): 99-104.
[2]Rousseau A, Mokhtari K, Duyckaerts C. The 2007 WHO classification of tumors of the central nervous system - what has changed. Curr Opin Neurol. 2008. 21(6): 720-7.
[3]Louis DN, Perry A, Reifenberger G, et al. The 2016 World Health Organization Classification of Tumors of the Central Nervous System: a summary. Acta Neuropathol. 2016. 131(6): 803-20.
[4] Gaba P, Puffer RC, Hoover JM, et al. Perioperative outcomes in intracranial pleomorphic xanthoastrocytoma [J]. Neuro-surgery, 2016. Epub ahead of print
[5]Venneti S, Huse JT. The evolving molecular genetics of low-grade glioma. Adv Anat Pathol. 2015. 22(2): 94-101.
[6]Nicolaides TP, Li H, Solomon DA, et al. Targeted therapy for BRAFV600E malignant astrocytoma. Clin Cancer Res. 2011. 17(24): 7595-604.
(本文由浙二神外周刊原创,浙江大学医学院附属第二医院放疗科水永杰,神经外科孙崇然整理,放疗科魏启春主任审校,张建民主任终审)
往期回顾
浙二神外周刊(一百三十六)--垂体ACTH细胞增生性库欣病一例
浙二神外周刊(一百三十四)--腰髓动静脉畸形出血导致颅内蛛网膜下腔出血一例
浙二神外周刊(一百三十三)--疑似鞍区海绵状血管瘤一例
浙二神外周刊(一百三十一)--以腰椎播散灶为首发症状的颅内室管膜瘤一例
浙二神外周刊(一百三十)--亚裔学生的美国神经外科医师成长之路(来自UCLA华裔学生的经历分享)
浙二神外周刊(一百二十九)--开颅术后继发硬脑膜动静脉瘘一例
浙二神外周刊(一百二十八)--sternberg管未闭脑膜脑膨出致脑脊液鼻漏一例
浙二神外周刊(一百二十七)--中药皂角刺致颅内脊索瘤术后残余肿瘤萎陷?
浙二神外周刊(一百二十六)--利用复合手术室多学科合作处理头部刀刺伤一例
浙二神外周刊(一百二十五)--经静脉入路栓塞深部脑动静脉畸形一例
浙二神外周刊(一百二十四)--颅咽管瘤术后并发尾状核、壳核脱髓鞘1例
浙二神外周刊(一百二十三)--库欣病合并全身多发占位性病变一例
浙二神外周刊(一百二十二)--经皮脊柱内镜手术切除腰椎巨大滑膜囊肿一例
浙二神外周刊(一百二十一)--孤立性室管膜下巨细胞星形细胞瘤一例
浙二神外周刊(一百二十)--伴有ALK融合基因的颅内转移性肺神经内分泌癌一例
浙二神外周刊(一百一十九)--静脉入路栓塞舌下神经管区硬脑膜动静脉瘘一例
浙二神外周刊(一百一十八)--儿童中央区病灶致顽固性癫痫外科手术一例
浙二神外周刊(一百一十七)--丙戊酸钠相关高血氨脑病一例
浙二神外周刊(一百一十六)--儿童眶尖-海绵窦-颞下窝病变一例
浙二神外周刊(一百一十四)--高血压性脑干出血治疗--浙二的观点
浙二神外周刊(一百一十三)--“复合高压锅技术”治疗横窦区硬脑膜动静脉瘘一例
浙二神外周刊(一百一一十二)--应用新型动脉瘤内栓塞装置(WEB)栓塞前交通未破裂动脉瘤一例
浙二神外周刊(一百一十一)--儿童四脑室室管膜瘤术后并发胃瘫综合征一例
浙二神外周刊(一百零八)--新发现AIP基因突变位点的家族性单纯性GH瘤家系一例
浙二神外周刊(一百零七)--自发性低颅压致双侧硬膜下血肿一例
浙二神外周刊(一百零六)--张建民教授牵头国家重点研发计划:“基于脑机接口的脑血管病主动康复技术研究及应用”正式启动
浙二神外周刊(一百零五)--颅骨板障表皮样囊肿合并慢性硬膜外血肿一例
浙二神外周刊(一百零四)--内镜辅助显微手术半椎板入路切除儿童颈髓腹侧肠源性囊肿一例
浙二神外周刊(一百零三)--颅骨缺损修补术后并发急性脑肿胀一例
浙二神外周刊(一百零一)--胶质瘤的病理特征与位置分布的关系
浙二神外周刊(九十九)--垂体生长激素腺瘤卒中伴发脑梗塞一例
浙二神外周刊(九十六)--桥小脑角脑膜瘤伽马刀后并发PICA血栓性动脉瘤一例
浙二神外周刊(九十四)--颅内表皮样囊肿自发破裂伴血清CA-199显著升高一例
浙二神外周刊(九十二)--鞍上毛细胞黏液样星形细胞瘤伴自发性出血一例
浙二神外周刊(九十一)--2017西湖神经外科论坛成功召开!
浙二神外周刊(九十)--以尿崩症为首发表现的Erdheim-Chester病一例并文献复习
浙二神外周刊(三十七)--垂体瘤伴发鞍结...
浙二神外周刊(三十六)--脑膜血管瘤病...




