
今天为大家分享的是《贝朗时间》第八期,由苏州大学附属儿童医院神经外科王杭州副主任医师带来的:脊柱裂治疗新理念探索,欢迎阅读、分享!
脊柱裂治疗新理念探索

王杭州
苏州大学附属儿童医院神经外科副主任医师,神经外科学博士,中国残联脊柱裂与脑积水专委会顾问,江苏省医学会神经外科分会神经重症学组委员。
研究方向为脊髓脊柱神经外科、脑脊液动力学研究。是国内较早进行椎管脑脊液动力学研究的学者,对于脊柱裂术中的硬膜囊重建的力学和脑脊液动力学有着较深入的认识,对不同神经补片在神经外科的应用策略有着较为深刻的理解。
病史简介
女,2岁3月。
主诉:生后骶尾部包块伴双下肢畸形两年余。
患儿出生后骶尾部包块,中央无皮肤覆盖,神经板外露,有脑脊液漏,当地医院换药后缓慢愈合。
查体:头围48cm,智力发育尚可,可以爬行,不能站立。骶尾部半球型包块,直径8cm,包块顶端有神经板愈合形成的瘢痕,无渗出,双下肢近端肌力5级,远端肌力4级,双侧足踝呈内翻、内收、跖屈表现。
其他检查:泌尿系超声膀胱残余尿测定(-),影像尿流动力学检查(-),双下肢肌电图:双侧胫神经CMAP波幅降低,伴F波及H反射缺失。双侧腓神经F波未引出。
家族史:(-)
诊治经过及技术要点

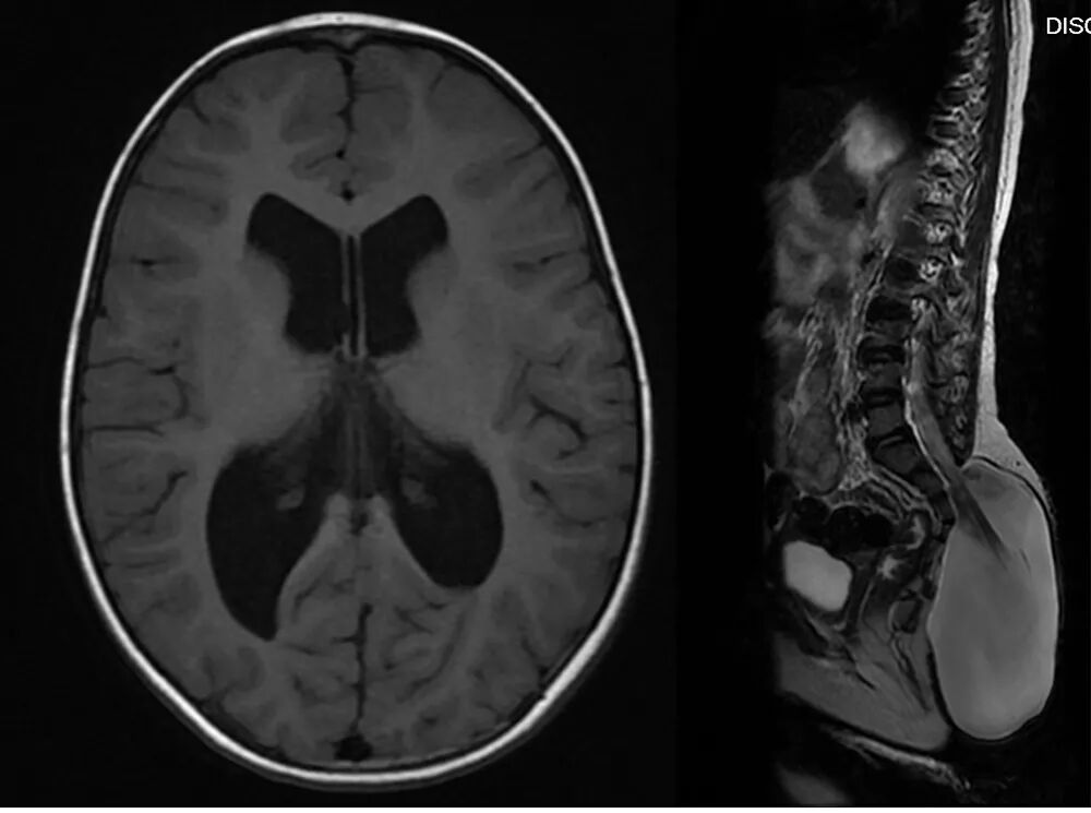
术前影像检查
MR扫描显示骶尾段脊髓脊膜膨出,脑积水,Chiari畸形II型。
术前诊断:骶尾段脊柱裂(脊髓脊膜膨出),Chiari畸形II型,脑积水,双侧神经源性马蹄内翻足。
手术要点:
1. 俯卧位,术中神经电生理监测,术中监测前40分钟停用肌松药物,全静脉麻醉。


2. 设计皮瓣,环绕包块一周的切口,上方暴露至L4棘突上缘。技术要点:去除腰椎生理性前屈的L4、L5椎板棘突。

3. 分离囊颈,打开囊壁。

4. 鉴别并分离神经板、神经根,10-0 prolene线缝合神经板。技术要点:术中电生理监测,锐性分离,少用电凝。


5. 扩大修补硬脊膜。技术要点:扩大并无张力下修补,以6-0prolene线硬脊膜包边Asculap Neuro-Patch补片间断包边严密缝合。


6. 软组织重建及皮瓣缝合。技术要点:逐层缝合,皮瓣无张力。

讨论
脊柱裂是一个古老疾病。但人们真正从现代医学角度论述该病的时间并不长。现在我们知道脊柱裂发病的主要原因是合并脊髓栓系。比较有里程碑式报道如下:1940年,Lichtenstein第一次提出脊髓拴系会导致截瘫以及脑干和小脑通过枕骨大孔疝出。注:从现代医学观点来看,文章描述的是Chiari畸形II型,即脊柱裂继发小脑扁桃体、脑干下疝。1976年,Hoffman等在一项报告中首先使用了脊髓栓系综合征这一术语。报告了31位大小便和双下肢障碍的病例,行手术松解后症状均有所消退。这是第一次比较系统地阐述了脊柱裂的治疗方法。1981年,Yamada等报道了Hoffman等报道的相似病例的脊髓术前氧化代谢损伤和术后损伤的恢复情况。2013年,Dachling Pang系统阐述了复杂脂肪瘤型脊柱裂的外科治疗策略(Childs Nerv Syst(2013)29:1485-1513)。这篇文章非常珍贵,它提出来一个人们在无数惨痛教训后苦苦思索的问题:长期疗效真的没有办法再改进了吗?如何保证大部分脊柱裂患者的长期疗效?
医务工作者对脊柱裂的组织胚胎学分型认识的加深,逐步精细的锐性分离技术以及术中神经电生理监测的应用减少了的术中的脊髓、神经根损伤几率。对于其术后的长期预后,国内很多学者持悲观态度。中国残联肢残人协会脊柱裂与脑积水专门委员会的范肇鹏、白建华两位主任经过三年时间的调研后认为:脊柱裂的诊治效果近30年进步不大,脊柱裂患者,尤其是圆锥位置位于L4以下患者的术后长期预后欠佳。
Dachling Pang对其诊治的脂肪瘤型栓系术后病人的长期术后做了多因素分析后,得出了一个非常有趣的结论:脊髓/硬脊膜囊比值(cord/sac比值)是决定患者术后长期预后的唯一因素。他主张尽可能切除脂肪瘤并将软膜包裹缝合减少重建的脊髓直径,同时扩大修补硬脊膜囊。Pang的经验迄今为止仍然未被其他中心大样本量病例证实。


与此同时国内的史建刚教授对于脊髓栓系综合征的治疗提出了他的理解。他著书倡导脊柱均匀短缩脊髓轴性减压术治疗脊髓栓系综合征。这一术式因为创伤大,内固定材料昂贵,而并未在其他中心广泛开展。但史教授的新技术为我们的脊柱裂治疗提供了新思维。

史建刚.脊柱裂:脊髓栓系综合征诊治新概念【M】,上海科学技术出版社
脊髓栓系发病的原因很多,但其主线是脊髓被缺乏弹性的组织固定并牵拉损伤。脊柱短缩治疗脊髓栓系综合征的的实质是缩短椎管。我们的方法主要是在不需要缩短脊柱的前提下如何缩短椎管。腰椎生理性前屈的主要位置在L4、L5节段。圆椎位置位于L4以下的病人,去掉相应节段的椎板和棘突利于将重建的硬膜囊的后壁取直,“曲线变直线”,事实上缩短了椎管的长度。扩大的椎管有利于脑脊液搏动,避免脊髓神经根被囊壁捕获粘连。术中应该保护好蛛网膜和软脊膜,保持脑脊液清亮,不停地更换蘸水明胶海绵吸收出血,又可以减少脊髓神经根在空气中的暴露。


我们的这一扩大并缩短硬脊膜囊的术式有赖于合适的补片。Neuro-Patch补片是由高纯度的聚氨甲酸乙酯精制的纤维状微孔非编织材料,具有很强的生物稳定性,作为一种永久性替代物,其周围会生长出新的薄膜。这些薄膜始终很薄,不会和大脑或小脑发生粘连。
我们对使用过Neuro-Patch补片修补过硬膜的患者进行二次开颅手术,术中发现该补片确实极少和脑表面发生粘连。这一特点是脊柱裂手术中预防粘连是极为珍贵的。由于该补片的变形适应性一般,其是否适用于脊柱手术呢?我们经过2年多的摸索,实验了包括间断缝合,连续缝合、连续锁边缝合,连续包边缝合,间断包边缝合等方法。最终证实间断包边缝合的方法术后脑脊液漏的发生率最低,补片的塑形效果最好。

历史上,没有哪一个疾病的治疗像脊柱裂治疗那样,结局和医生的初衷差别如此之大。直到今天,它仍然是医学领域里最有争议性的难题之一。治疗理念的创新和修补材料的改进有希望改善患者的长期预后。对于圆锥位置位于L4以下患者的脊柱裂的骨性缺失,治疗的策略不是去修补好这个裂口,而是在补片的帮助下让它变成一个“更大”的脊柱裂!
往期回顾




