
今天为大家分享的是“景昱—神经科学专栏”第七十期,由中南大学湘雅二医院周倩主治医师带来的“多图详解美国的DBS脑深部电刺激术治疗帕金森”,内容精彩,欢迎阅读。
周倩,中南大学湘雅二医院神经外科,主治医师,医学博士。曾先后在美国罗兰·里根医院学习,并在欧洲赫尔辛基中心医院实习,现就职于湘雅二医院,主攻功能神经外科,包括:帕金森、肌张力障碍等功能神经外科的治疗。工作期间发表本专业论文30余篇,其中SCI 8篇,主持及参与国家级课题多项,拥有国际发明专利1项,国内发明专利2项,多次获得中南大学医疗新技术成果奖,并获得湖南省科技进步奖二等奖等。
帕金森最痛苦的地方就是患者大脑是清楚的,但是身体不受自己控制,这些患者往往还会伴有抑郁、失眠、焦虑等一些症状。患者初期服用美多芭等药物效果不错,可是过了5年、10年以后,药物需要的剂量越来越大,起效时间越来越短,如果有条件的话,早期接受手术的评估,仍不失为一个比较好的选择。
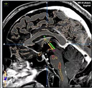
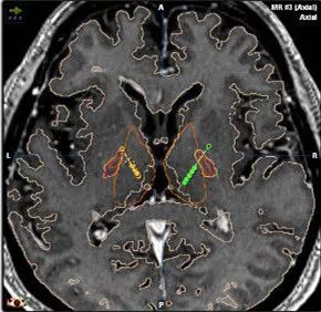
DBS手术是一个要求非常精准的手术,术中需要正好定位到相对应的大脑核团。在美国的时候美国的医师更多的选择GPI核团,国内选择STN核团的更多。


患者入院后,需要做相应的术前检查和术前各项评估。在手术前一天需要做头颅磁共振检查,以便根据影像学检查结果制定相应的手术导航计划。



手术当天给患者安装好头架后做CT检查。
患者进入手术室后,消毒铺单,并安装立体定向Leksell头架。通过头架可以精确的把电极植入大脑的靶点位置。



切开头皮、钻一个硬币大小的孔。术中使用微电极记录系统,记录不同核团的放电情况。



在此手术过程中患者是清醒的,神经电生理及神经内科大夫会配合,观察病人上肢下肢震颤、肌张力及运动的灵活性的改善情况,嘱患者做“对指”“蹬车”等动作,并询问患者是否出现肢体麻木,复视等副反应。
整个手术,我们通过术前计划系统、术中微电极记录、患者术中的症状缓解和植入后复查的影像学资料,4个方面保证电极精确的植入在相应的核团上。

同样过程再植入对侧的电极,这样大脑部分的手术就完成了。
接下来是建立皮下隧道、连接延长线及安置脉冲刺激器IPG,IPG可以发出不同电压、脉宽、频率的电刺激,通过导线传到大脑的核团,改善患者的运动功能。每个患者都会有自己个体化的参数。

完成了DBS手术对帕金森患者的治疗来说只是完成了第一步,后期的程控、随访也是很重要的步骤。是否能够达到良好的效果需要多方面综合治疗,患者术后的康复运动也是其中一个因素。
【景昱-神经科学专栏】往期回顾




