启事
“浙二神外周刊”不定期接收外院投稿,审核后发表。欢迎各专业同道联系我们,分享精彩病例、研究热点或前沿资讯。投稿请联系:shishi74@163.com
病史简介
患者,男,49岁,因眼眶肿胀10年,视力下降1年入院。
患者10年前渐感双侧眶周肌肉及眼睑肿大,左侧为重,无触痛,逐渐加重,经检查考虑为眶内肿物。曾于外院行经鼻内镜手术,诊断结果为“炎性假瘤”。 1年来症状进一步加重伴双眼视物模糊,来我院就诊。门诊以“眶内肿瘤待诊”收住入院。
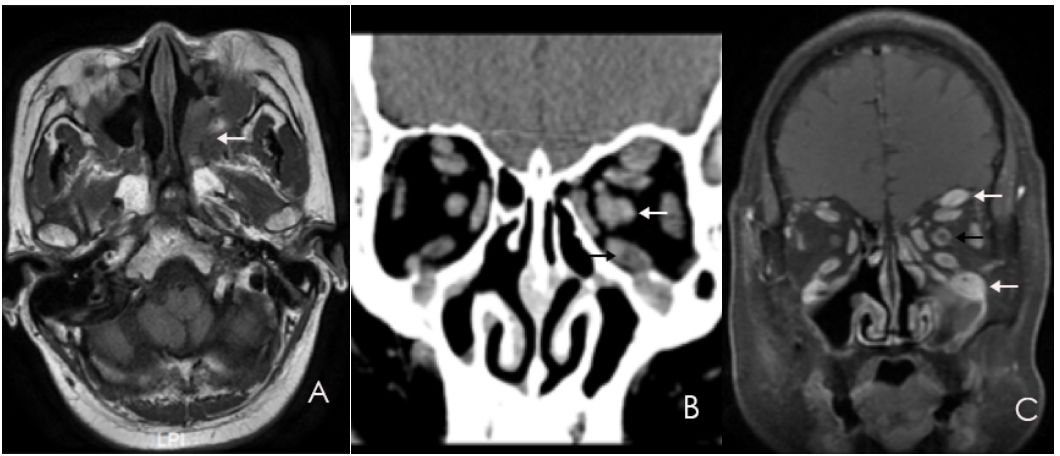
入院查体:双侧瞳孔等大等圆,对光反射灵敏,动眼自主,双眼视力轻度受损,双眼眶肿胀,左眼较重,左侧突眼。余颅神未见明显异常。辅助检查提示:免疫球蛋白G4:26.1g/L(0.03g/L~2.01g/),免疫球蛋白G:31.22g/L(7.00g/L~16.00g/L)。甲状腺功能均在正常范围,风湿免疫、血清肿瘤标志物结果均为阴性。影像学提示:眼外肌增粗,眶下裂增大,病变累及翼腭窝,三叉神经各分支明显增粗(图1A,B,C)。
图1. A:左侧眶下裂增大,病变累及翼腭窝(白剪头),局部软组织肿块。B:左侧眼外肌较右侧稍增粗(下黑剪头),左侧视神经增粗(上白剪头)。C: 左侧眶下神经(下白剪头)和额神经(上白剪头)明显增粗,左侧视神经鞘增厚且强化(黑剪头)。
诊疗经过
根据病史、临床表现及查体情况,初诊考虑为甲状腺相关性眼病,及炎性假瘤、肿瘤、免疫相关性疾病等可能。入院后完善相关化验及影像学检查,排查甲状腺相关性眼病,同时考虑到患者血清IgG4水平升高,影像学可见三叉神经分支增粗明显,符合IgG4相关性眼病临床可疑诊断标准,但IgG4介导的黏膜相关淋巴组织淋巴瘤尚不能排除。为明确肿物性质,需活检病理诊断。科室讨论,建议内镜辅助下经鼻经翼腭窝入路活检。完善术前准备,包括导航MRI等。在内镜下取翼腭窝肿物一小块,活检病理证实:小唾液腺组织,伴明显淋巴浆细胞浸润,纤维增生,免疫组化IgG4>10个/HPF,首先考虑IgG4相关性疾病(图2)。

图2. D:病理诊断:小唾液腺组织,伴明显淋巴浆细胞浸润,纤维增生。E:免疫组化:高倍镜下浆细胞胞浆呈IgG4阳性,>20个/HPF,首先考虑IgG4相关硬化性疾病。
术后患者恢复可,根据病理结果予甲泼尼龙40mg Bid治疗。三月后复诊,眼眶肿胀较前明显减小,视力较前恢复,目前继续随诊中。
讨论
IgG4相关疾病(IgG4-Related Disease,IgG4-RD) 是一种以血清IgG4水平升高和IgG4 阳性细胞浸润多种器官和组织为特征,累及全身的纤维炎症疾病,常见的受累器官包括胰腺、泪腺及腮腺、胆管、肾脏、肺部等 。但并非所有患者的血清IgG4水平都升高,约有30%到40%的患者的血清IgG4滴度正常,这也排除了该指标作为诊断的标准或是用来衡量治疗效果的指标[1]。对该疾病的认识不是很充分,直到2001年才被日本学者从一组自身免疫性胰腺炎的患者中认识到[2]。随后的病例报道表明该疾病可表现于全身各器官中,包括眼的各个附属器[3]。IgG4-RD的病理共识直到2011年才确立。关于IgG4-RD的报道多来自亚洲,日本学者统计的IgG4-RD年发病率约为100000分之0.28~1.08[4]。
IgG4相关性眼病(IgG4-related ophthalmic disease,IgG4-ROD)是IgG4-RD中的一特殊亚型,多发生于中老年,但儿童青年案例也可见报道,男女患病率接近1~1.3:1[5,6]。由于缺乏对IgG4-ROD的认识,IgG4-ROD常被误诊为眼眶炎性假瘤、甲状腺性凸眼或被定义为特发性眼眶炎症和反应性淋巴样增生。在一项回顾1014例眼眶淋巴组织增生疾病的研究中[5],发现404(39.8%)为黏膜相关淋巴组织淋巴瘤,219(21.4%)为IgG4相关的眼眶炎症,44(4.3%)为IgG4+的黏膜相关淋巴组织淋巴瘤。在另一项回顾研究中[7],发现原先被诊断为眼眶炎性假瘤和慢性泪腺炎的病例(n=38)中有15例与IgG4相关性疾病有关。 可见,在诊治眼眶肿胀、眼眶相关的淋巴患者中,应该想到IgG4-ROD的可能,这对减少误诊,改善患者预后,显得尤为重要。
对于该病的发病机制仍尚未明确.有多个报道[8-10]称 IgG4-RD 的发病与机体的体液和细胞免疫调节有关,Th2细胞在此过程中发挥着重要作用。有报道称部分患者在IgG4-RD进展时有过敏、外周血嗜酸性粒细胞增多、血清IgE增高的病史[11]。但是近年来对于免疫应答极化、Th1和Th2通路认识的提高,Mahajan等提出IgG4-RD可能是一种T细胞介导的自身免疫疾病,而自身免疫抗体在该疾病的机制中并非处于关键位置[9]。某些免疫因子如IL-5, IL-13, TGF-β,γ干扰素可通过激活成纤维细胞促进纤维化炎症的进展。同时Treg细胞可能参与抑制该疾病免疫炎症纤维[9]。一些IgG4抗体可以对自身抗原存在交叉反应,而这些抗原可以被提呈给自身免疫T细胞,但该模型尚未有证据直接证明[9]。
IgG4-ROD常隐匿起病,表现为双侧或单侧的突眼或眼睑肿胀,并常以此为主诉就诊。泪腺肿大是IgG4-ROD最常见的表现,可为为双侧或单侧泪腺的肿大。这也是最早报道的IgG4-RD在胰腺外的位置之一,当时该病被命名为Mikulicz病[12]。
IgG4-ROD另一常见的表现是三叉神经的一条或多条分支的增粗,最常见的是眶下神经的增粗,其次是额神经的增粗,且尚无患者因其肿大而出现感觉障碍[3]。多项研究[3,13]分析IgG4-ROD和非IgG4相关的眼眶肿胀的病例,发现眶下神经的肿大是鉴别IgG4-ROD与非IgG4相关的眼眶肿胀的鉴别要点,在非IgG4组,均未发现眶下神经的肿胀。眼外肌的病变多是伴随于眶神经病变[3,6],多为多块眼外肌的受累,少数也可为单块眼外肌的受累。其频率依次为前直肌、上睑提肌、外直肌、内直肌、上斜肌[6]。有报道称眼外肌增大患者相较于非增大患者提示多器官累及的可能性更大[14]。同时还可伴有视力的下降。可能原因为眶下神经增粗后在眶尖处压迫视神经、周围肿块压迫视神经等[15,16]。
IgG4-ROD目前的诊断标准仍存在争议,日本IgG4-ROD研究小组最新提倡的诊断标准[17]为:
(1)影像学可见增大的泪腺,增粗的三叉神经、眼外肌或是周围组织的增生;
(2) 组织病理学的表现:明显的淋巴细胞、浆细胞浸润和纤维化,生发中常可见到。IgG4+/IgG+>40%,每高倍镜下IgG4+浆细胞大于50个;
(3)血清IgG4浓度高于135mg/dl。同时需要排除相似的疾病如(干燥综合征、淋巴瘤、结节病、Wegener肉芽肿、甲状腺相关性眼病、特发性眼眶炎症、细菌及真菌引起的泪腺炎和眼眶蜂窝织炎和IgG4相关的黏膜相关性淋巴组织淋巴瘤等)。
因此,组织病理学的检查很有必要。这其中最重要的组织病理学特征是致密的淋巴浆细胞浸润、席纹状的纤维化(胶状的纤维化)和阻塞性静脉炎[18]。上述组织病理诊断标准为针对泪腺组织,对于IgG4-RD通用的诊断标准为每高倍镜视野IgG4+浆细胞大于10个,本例为取翼腭窝组织活检,符合以上标准。
对于IgG4-ROD,早期治疗尤为很重要的。随着病情的进展,泪腺可发生不可逆的损伤导致持续性的干眼症状。而对于表现为视力受损的患者,可由于肿物的占位压迫效应,导致视力的永久减退或丧失[6]。至今,糖皮质激素治疗被认为是IgG4-ROD的一线用药,但是复发也是常见的[19]。由于类固醇激素的不耐受或是减量导致复发,利妥昔单抗在二线用药中也受到关注[20],也有研究使用眶下注射低剂量利妥昔单抗[21]。放射治疗普遍在眼科疾病中使用,尽管少有报道放射治疗的副作用,但是眼部放射治疗常与干眼综合征、白内障形成等相关[20]。
有回顾性研究表明双侧的IgG4-ROD与患者有眼部之外的IgG4相关疾病紧密相关,这其中最常见累及的器官或组织为唾液腺和淋巴结[22]。而另一项回顾分析IgG4-ROD患者累及眼外时,发现该组患者存在较高的累及双侧眼部比例、较长的症状持续时间、较高的血清IgG4滴度,且该组在单纯激素治疗后存在较高复发比例,而在糖皮质激素与一种免疫抑制剂合用时复发率显著降低[23]。
结论
IgG4-ROD的诊断较困难,由于该病的发病率较低,临床医师对于该病的认识不足,漏诊和误诊较高,诊断需要临床表现、影像、病理、血清学检查的结合。眼科医师报道的IgG4-ROD的病理活检多取泪腺和唾液腺等腺体组织进行活检。而本例最突出的症状为三叉神经分支眶下神经、翼腭窝神经节及额神经的肿大,泪腺的肿大尚不明显,对眶下神经翼腭窝神经节组织的活检更为准确直接。我们应用神经内镜下经鼻经翼腭窝入路行活检,直视下活检,准确率高且对患者损伤小。通过对于本例的报道及文献复习,体现神经外科、眼科、内分泌多学科的交叉,另一方面可以提高临床医师对于IgG4-ROD的认识,减少误诊漏诊。
参考文献
[1]MULAY K, HONAVAR S G. Orbital Immunoglobulin G4-Related Disease: A Systematic Review [J]. Asia Pac J Ophthalmol (Phila), 2014, 3(5): 322-5.
[2]HAMANO H, KAWA S, HORIUCHI A, et al. High serum IgG4 concentrations in patients with sclerosing pancreatitis [J]. N Engl J Med, 2001, 344(10): 732-8.
[3]SOGABE Y, OHSHIMA K, AZUMI A, et al. Location and frequency of lesions in patients with IgG4-related ophthalmic diseases [J]. Graefes Arch Clin Exp Ophthalmol, 2014, 252(3): 531-8.
[4]UMEHARA H, OKAZAKI K, MASAKI Y, et al. A novel clinical entity, IgG4-related disease (IgG4RD): general concept and details [J]. Mod Rheumatol, 2012, 22(1): 1-14.
[5]JAPANESE STUDY GROUP OF IG G R O D. A prevalence study of IgG4-related ophthalmic disease in Japan [J]. Jpn J Ophthalmol, 2013, 57(6): 573-9.
[6]WALLACE Z S, DESHPANDE V, STONE J H. Ophthalmic manifestations of IgG4-related disease: single-center experience and literature review [J]. Semin Arthritis Rheum, 2014, 43(6): 806-17.
[7]FERRY J A, KLEPEIS V, SOHANI A R, et al. IgG4-related Orbital Disease and Its Mimics in a Western Population [J]. Am J Surg Pathol, 2015, 39(12): 1688-700.
[8]TANAKA A, MORIYAMA M, NAKASHIMA H, et al. Th2 and regulatory immune reactions contribute to IgG4 production and the initiation of Mikulicz disease [J]. Arthritis Rheum, 2012, 64(1): 254-63.
[9]MAHAJAN V S, MATTOO H, DESHPANDE V, et al. IgG4-related disease [J]. Annu Rev Pathol, 2014, 9(315-47.
[10]YAMAMOTO M, TAKAHASHI H, SHINOMURA Y. Mechanisms and assessment of IgG4-related disease: lessons for the rheumatologist [J]. Nat Rev Rheumatol, 2014, 10(3): 148-59.
[11]DELLA TORRE E, MATTOO H, MAHAJAN V S, et al. Prevalence of atopy, eosinophilia, and IgE elevation in IgG4-related disease [J]. Allergy, 2014, 69(2): 269-72.
[12]LEE S, TSIRBAS A, MCCANN J D, et al. Mikulicz's disease: a new perspective and literature review [J]. Eur J Ophthalmol, 2006, 16(2): 199-203.
[13]KATSURA M, MORITA A, HORIUCHI H, et al. IgG4-related inflammatory pseudotumor of the trigeminal nerve: another component of IgG4-related sclerosing disease? [J]. AJNR Am J Neuroradiol, 2011, 32(8): E150-2.
[14]TAKANO K, YAJIMA R, SEKI N, et al. A study of infraorbital nerve swelling associated with immunoglobulin G4 Mikulicz's disease [J]. Mod Rheumatol, 2014, 24(5): 798-801.
[15]CHEUK W, YUEN H K, CHAN J K. Chronic sclerosing dacryoadenitis: part of the spectrum of IgG4-related Sclerosing disease? [J]. Am J Surg Pathol, 2007, 31(4): 643-5.
[16]PLAZA J A, GARRITY J A, DOGAN A, et al. Orbital inflammation with IgG4-positive plasma cells: manifestation of IgG4 systemic disease [J]. Arch Ophthalmol, 2011, 129(4): 421-8.
[17]GOTO H, TAKAHIRA M, AZUMI A, et al. Diagnostic criteria for IgG4-related ophthalmic disease [J]. Jpn J Ophthalmol, 2015, 59(1): 1-7.
[18]DESHPANDE V, ZEN Y, CHAN J K, et al. Consensus statement on the pathology of IgG4-related disease [J]. Mod Pathol, 2012, 25(9): 1181-92.
[19]KHOSROSHAHI A, STONE J H. Treatment approaches to IgG4-related systemic disease [J]. Curr Opin Rheumatol, 2011, 23(1): 67-71.
[20]GLASS L R, FREITAG S K. Management of orbital IgG4-related disease [J]. Curr Opin Ophthalmol, 2015, 26(6): 491-7.
[21]SAVINO G, BATTENDIERI R, SINISCALCO A, et al. Intraorbital injection of Rituximab in idiopathic orbital inflammatory syndrome: case reports [J]. Rheumatol Int, 2015, 35(1): 183-8.
[22]WU A, ANDREW N H, MCNAB A A, et al. Bilateral IgG4-related ophthalmic disease: a strong indication for systemic imaging [J]. Br J Ophthalmol, 2016, 100(10): 1409-11.
[23]PARK J, LEE M J, KIM N, et al. Risk factors for extraophthalmic involvement and treatment outcomes in patients with IgG4-related ophthalmic disease [J]. Br J Ophthalmol, 2017.
(本文由浙二神外周刊原创,浙江大学医学院附属第二医院神经外科郭晓明研究生整理,洪远副主任医师审校,张建民主任终审)
往期回顾
浙二神外周刊(一百三十四)--腰髓动静脉畸形出血导致颅内蛛网膜下腔出血一例
浙二神外周刊(一百三十三)--疑似鞍区海绵状血管瘤一例
浙二神外周刊(一百三十一)--以腰椎播散灶为首发症状的颅内室管膜瘤一例
浙二神外周刊(一百三十)--亚裔学生的美国神经外科医师成长之路(来自UCLA华裔学生的经历分享)
浙二神外周刊(一百二十九)--开颅术后继发硬脑膜动静脉瘘一例
浙二神外周刊(一百二十八)--sternberg管未闭脑膜脑膨出致脑脊液鼻漏一例
浙二神外周刊(一百二十七)--中药皂角刺致颅内脊索瘤术后残余肿瘤萎陷?
浙二神外周刊(一百二十六)--利用复合手术室多学科合作处理头部刀刺伤一例
浙二神外周刊(一百二十五)--经静脉入路栓塞深部脑动静脉畸形一例
浙二神外周刊(一百二十四)--颅咽管瘤术后并发尾状核、壳核脱髓鞘1例
浙二神外周刊(一百二十三)--库欣病合并全身多发占位性病变一例
浙二神外周刊(一百二十二)--经皮脊柱内镜手术切除腰椎巨大滑膜囊肿一例
浙二神外周刊(一百二十一)--孤立性室管膜下巨细胞星形细胞瘤一例
浙二神外周刊(一百二十)--伴有ALK融合基因的颅内转移性肺神经内分泌癌一例
浙二神外周刊(一百一十九)--静脉入路栓塞舌下神经管区硬脑膜动静脉瘘一例
浙二神外周刊(一百一十八)--儿童中央区病灶致顽固性癫痫外科手术一例
浙二神外周刊(一百一十七)--丙戊酸钠相关高血氨脑病一例
浙二神外周刊(一百一十六)--儿童眶尖-海绵窦-颞下窝病变一例
浙二神外周刊(一百一十四)--高血压性脑干出血治疗--浙二的观点
浙二神外周刊(一百一十三)--“复合高压锅技术”治疗横窦区硬脑膜动静脉瘘一例
浙二神外周刊(一百一一十二)--应用新型动脉瘤内栓塞装置(WEB)栓塞前交通未破裂动脉瘤一例
浙二神外周刊(一百一十一)--儿童四脑室室管膜瘤术后并发胃瘫综合征一例
浙二神外周刊(一百零八)--新发现AIP基因突变位点的家族性单纯性GH瘤家系一例
浙二神外周刊(一百零七)--自发性低颅压致双侧硬膜下血肿一例
浙二神外周刊(一百零六)--张建民教授牵头国家重点研发计划:“基于脑机接口的脑血管病主动康复技术研究及应用”正式启动
浙二神外周刊(一百零五)--颅骨板障表皮样囊肿合并慢性硬膜外血肿一例
浙二神外周刊(一百零四)--内镜辅助显微手术半椎板入路切除儿童颈髓腹侧肠源性囊肿一例
浙二神外周刊(一百零三)--颅骨缺损修补术后并发急性脑肿胀一例
浙二神外周刊(一百零一)--胶质瘤的病理特征与位置分布的关系
浙二神外周刊(九十九)--垂体生长激素腺瘤卒中伴发脑梗塞一例
浙二神外周刊(九十六)--桥小脑角脑膜瘤伽马刀后并发PICA血栓性动脉瘤一例
浙二神外周刊(九十四)--颅内表皮样囊肿自发破裂伴血清CA-199显著升高一例
浙二神外周刊(九十二)--鞍上毛细胞黏液样星形细胞瘤伴自发性出血一例
浙二神外周刊(九十一)--2017西湖神经外科论坛成功召开!
浙二神外周刊(九十)--以尿崩症为首发表现的Erdheim-Chester病一例并文献复习
浙二神外周刊(三十七)--垂体瘤伴发鞍结...
浙二神外周刊(三十六)--脑膜血管瘤病...




