浙江大学医学院附属第二医院神经外科与美国UCLA罗纳德里根医学中心神经外科于北京时间2018年3月8日上午7:00-9:00(美国太平洋时间2018年3月7日下午3:00-5:00)再次举行了脑血管专病联合MDT讨论会,这是2018年新年双方的第一次视频会,也是双方合作以来相互间第八次远程MDT讨论会。

会议由浙医二院神经外科主任张建民教授与美国UCLA罗纳德里根医学中心神经外科Marvin Bergsneider教授主持。UCLA提供了3个复杂脑血管病手术和介入的病例,浙二提供了2个病例及来自UCLA神经外科住院医生来浙二培训的Yinn Ooi工作汇报。两科室多位教授及高年资医师参与了本次讨论会。浙医二院远程会诊中心进行了全程直播。
首先,UCLA罗纳德里根医学中心神经外科的Deniel Nagasawa医师汇报了一例中动脉巨大复杂动脉瘤,由于巨大的瘤体累及了M1和两支M2,同时瘤体的占位效应压迫周围脑组织导致了水肿。经过UCLA血管专业组的讨论,由于动脉瘤解剖的复杂性,如果采用介入治疗的方法,需要用支架辅助来保护两支M2,技术难度很大,同时不能消除动脉瘤的占位效应。因此对该病人采取颅内外搭桥手术,结合高流量搭桥和低流量搭桥的方式。双方对治疗方式的选择展开了热烈的讨论,也进一步讨论了术后高流量搭桥不通畅的可能因素。

浙医二院神经外科的虞军副主任医师介绍了一例复合手术室下颈内动脉完全闭塞开通的诊治经验。对于颈内动脉完全闭塞的治疗至今仍然存在争议,浙医二院的血管组团队借鉴文献和国内其他中心的经验,开展复合手术条件下行颈内动脉内膜剥脱术+远端颈内动脉血管成型术。
对于这样的病例,UCLA还没有开展类似的工作,因此他们的血管病专家也非常感兴趣,提出了很多的问题,例如对于病人如何筛选、闭塞病人的颈内动脉斑块和普通的CEA手术的病人的斑块是否有差别、手术中是否使用特殊类型的支撑导管等细节问题进行了讨论。可以看出UCLA对于这样的治疗方式也有很大的兴趣。

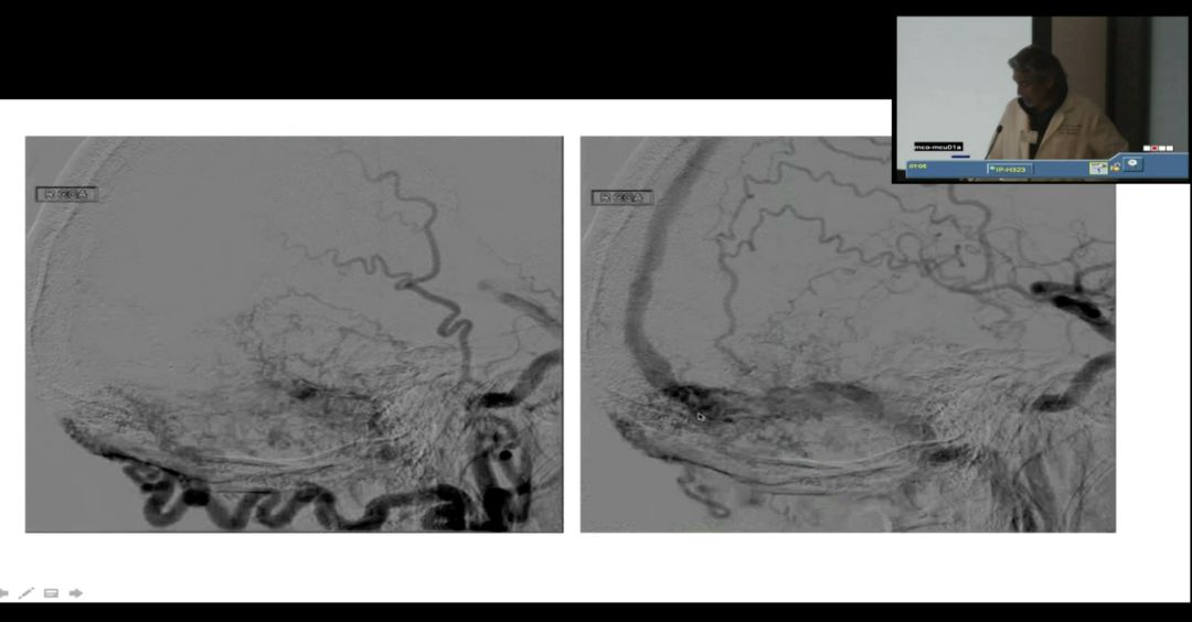
来自UCLA的Deniel Nagasawa医师汇报了一例右侧前动脉A2-A3段巨大型动脉瘤的诊治经过。由于动脉瘤的巨大占位效应,从影像学的初步显示非常类似于前颅窝的肿瘤,其实是由于动脉瘤内的大量血栓形成的占位效应,从术前的DSA检查结果来看,真正的动脉瘤内的血流显影的部分很小,只有瘤颈部位的显影。
为了消除局部的占位效应,UCLA的团队采用了开颅动脉瘤夹闭的治疗方式,术中先对动脉瘤内的血栓采用减压的方式,待到瘤体的占位效应下降后可以暴露到动脉瘤近端的载瘤动脉,控制载瘤动脉后对动脉瘤进行进一步的减压,同时夹闭了瘤颈,将动脉瘤完全切除。双方的医疗团队对于这一类型的动脉瘤是否在目前介入技术迅猛发展的背景下有更好的治疗方案提出了讨论,认为血流导向装置会是这一类型动脉瘤将来的一种很好的治疗方法。

浙医二院的董啸医生代表他们的团队汇报了一例脑干海绵状血管瘤的诊治经过。对于这例年轻的脑干海绵状血管瘤的患者,海绵状血管瘤是出血型的大型血管瘤,由于血管瘤的位置位于脑干非常敏感的部位,他们的团队将计算机多影像融合技术充分的整合入手术的规划设计。
对于脑干、丘脑等部位的海绵状血管瘤,如何在最小化损伤神经功能的前提下设计手术方式显得尤为重要,通过这种技术,可以将血管、神经纤维素融合到肿瘤的周围,从而在选择切除血管瘤的同时避免对这些重要结构的影响。UCLA的神经外科医生也充分肯定了这种计算机技术在神经外科的应用。此外也对脑干海绵状血管瘤的手术时机等作了交流。

来自UCLA介入治疗的主任Gary Duckwiller教授将一例窦汇区复杂硬脑膜动静脉瘘进行了讨论,由于该病人的动静脉瘘位于窦汇横窦区,而且为多瘘口的复杂型瘘,对于这例病人UCLA的介入团队已经进行了两次手术,第一次采用了经动脉入路的治疗方案,术中采用了Scepter C球囊来阻断ONYX胶的反流,将一部分的瘘口闭塞,瘘的血流量得以下降,但是仍然有横窦的逆向引流,二次手术在横窦和乙状窦中置入支架,来缓解静脉窦的逆向血流。
通过二次手术后的影像来看,患者的逆向血流明显的好转,症状也有明显的改善,但是仍有没有闭塞的瘘口,所以该患者还需要进行第三次手术。对于这例复杂的病例,浙医二院的介入团队提出在第一次治疗时是否适合采用经静脉入路,以及如果采用了动脉入路是否再静脉窦中放置球囊更为安全,对于这些治疗的细节双方团队深入交换了彼此的意见。

最后由来自美国UCLA的高年资住院医师Yinn Ooi汇报其在浙医二院神经外科两个月来学习培训的情况。Yinn医师是根据UCLA 神经外科与浙医二院神经外科签署的对UCLA住院医师进行培训的协议, 第二位专程来浙二就脑动脉瘤夹闭等脑血管病手术及颅底外科手术等进行培训的住院医师。浙医二院神经外科将依照美国医学教育认证委员会(ACGME)的各项章程规定,对其进行专科培训,定期进行专项考核,并最终形成培训总结,上报美国医学教育认证委员会。
Yinn医师介绍了他在浙医二院神经外科2个月培训学习的丰硕成果。他既往在UCLA罗纳德里根医学中心的2年住院总医师培训时间里,共参与开颅治疗的颅内动脉瘤18例,其中主刀13例。而在浙医二院神经外科的近2个月时间里,他一共参与开颅治疗颅内动脉瘤53例,其中在带教老师指导下主刀34例。
Yinn医师表示这2个月的学习培训对他的职业生涯影响巨大,极大地提升了他在脑血管疾病外科治疗方面的思维与水平。他非常感激浙医二院神经外科给予他这样宝贵的培训机会,并向美国UCLA罗纳德里根医学中心神经外科的Marvin Bergsneider教授建议,今后每年派遣高年资住院医师来浙二进修学习。
Yinn医师选择了两例在浙二神经外科老师指导下独立完成夹闭的复杂性破裂前交通动脉瘤进行讨论。一例为从供血动脉对侧开颅夹闭的前交通动脉瘤,从该例病人的治疗过程中增加了他对前交通动脉瘤瘤体朝向不同方向的类型的手术方式的理解。另一例他向大家展示了对于前交通动脉瘤手术中对于微小的穿支血管的保护的外科技能。通过这些动脉瘤的手术积累了许多实用经验。

迄今为止,浙医二院神经外科与UCLA神经外科在多个临床领域进行了实质性的合作,已完成垂体瘤、癫痫及脑血管病及神经肿瘤的MDT讨论,实现多人次交流互访。影像及神经病理的远程会诊及MDT讨论已成为临床诊疗常规的内容。尤其是接收美国UCLA罗纳德里根医学中心高年资住院医师进行规培训练,更是代表了浙医二院神经外科在脑血管疾病诊治方面的领先水平,体现了其在国内外的影响力。
UCLA现任主任Linda Liao教授是国际著名的神经肿瘤专家,任《JOURNAL OF NEUROONCOLOGY》杂志主编,在神经肿瘤的基础及临床研究有丰富的经验。接下来浙二神经外科的孙崇然副主任医师也将赴UCLA进行为期3个月的专项有关神经肿瘤基础及临床研究的考察学习。这将进一步推动两科间的交流与合。
(本文由浙二神经外科虞军副主任医师总结,张建民主任终审)




