今天为大家分享的是由王小峰医师翻译:颞叶前内侧切除手术策略与技巧,欢迎观看、阅读!
Anteromedial temporal lobectomy and amygdalohippocampectomy(1)
Anteromedial temporal lobectomy and amygdalohippocampectomy(2)
Anteromedial Temporal Lobectomy and Selective Amygdalohippocampectomy- Technique
北美地区癫痫疾病的估计患病率为5-10例/1000人,其中约1/3的癫痫患者无法通过药物有效控制发作或无法耐受药物副作用。大量的证据表明,与同龄健康人群相比,无法控制的癫痫发作会使患者认知功能受损、综合生活质量降低及死亡率增加。
药物干预是治疗癫痫的第一步。尽管目前已有多种抗癫痫药物,但对于多达三分之一的患者仍然无法做到完全控制。对于药物治疗效果不佳的患者,应评估是否适合手术。最常见且最具特点的局灶性癫痫是颞叶内侧癫痫(MTLE),对于难治性MTLE患者来说,颞前叶内侧切除术(ATL)能最大可能的控制癫痫不发作以减少对抗癫痫药物的依赖。
由Falconer和Morris在上世纪提出安全有效的ATL已得到I级证据的支持,且这一过程持续地提供了接近70%或更高的MTLE患者完全不发作。这一章将主要讲述颞叶癫痫(TLE)的诊断和评估、笔者的MTLE手术路径及术后效果。
颞叶癫痫的诊断和评估
从电生理和临床角度来看,TLE可分为两种不同的亚型:MTLE和颞叶新皮层癫痫(NTLE)。这些亚型的区别是基于神经电生理学、神经心理学、病理生理学及对手术的反应不同。
TLE最常见的原因是颞叶内侧硬化(MTS),其病理特征是锥体细胞节段性缺失,颗粒细胞分散存在,以及反应性胶质细胞增生;TLE的其他原因包括肿瘤、感染、血管畸形、皮质发育不良及创伤。除MTS外,NTLE的鉴别诊断与MTS相似。
癫痫患者中有近15%与MTS相关,而这些患者都有所谓的双重病理。目前尚不清楚哪些病变(或有时两者兼有)是这些患者真正的责任病灶;只要术前评估显示癫痫发作的病灶定位于两个部位之一或两个部位均有,切除责任病灶后通常就可能达到最好的手术效果。MTS与癫痫患者群体中的“引火物现象”起源密切相关。
尽管切除了颞叶以外癫痫病灶,MTS仍可作为癫痫发作的自主起源。癫痫手术的目的是切除癫痫病灶,若能完全切除,可能会导致癫痫完全不发作。TLE的术前评估就是为了明确这一区域,并确定切除癫痫病灶的手术安全性。在此文中,笔者将回顾与TLE相关的各种明确致痫病灶的诊断方式。
病史及体格检查
术前评估包括详细的病史采集和体格检查。癫痫症状学、既往病史、家族史、既往热性惊厥史/创伤/脑膜脑炎及关于应用抗癫痫药物的细节均应讨论。通常情况下,若有家庭成员或朋友在场目击患者的典型或惯常性发作将有助于诊断。结合病史与完整的神经系统检查,可能有助于评估癫痫发作定位。
TLE患者通常会有特征性电-临床表现,包括腹部异常感觉(发作先兆)、手/口自动症以及可能出现对侧上肢发作性肌张力障碍,发作后言语障碍表明癫痫发作起始于优势半球侧。不幸的是,MTLE和NTLE患者临床表现相似,仅凭临床特征无法区分,但NTLE全面性发作更频繁。
动态及睡眠剥夺脑电图
头皮脑电图(EEG)是初步评估的一个重要组成部分,为门诊病人首选检查。一份30分钟的清醒/睡眠剥夺的脑电分析,联合发作期和发作间期异常放电的脑电表现,可作为病史及影像学检查的补充材料有助于定位致痫病灶。
许多MTLE患者发作间期的头皮脑电上显示一侧前颞叶尖波。此外,一些研究人员报告说,单侧MTLE患者在癫痫发作后的30秒内,会出现同侧颞叶θ节律活动。通过对明确癫痫发作患者于48小时内进行检测,可提高脑电检测的异常灵敏度。
视频脑电监测
手术评估中的关键因素中,尤其要注重持续的头皮EEG和视频监测。将发作期和发作间期的临床表现与异常放电结合起来,有助于确定致痫灶定位。可应用一些诱发癫痫电活动的刺激,如减少药物、睡眠剥夺和过度换气等措施。如果头皮EEG不能明确致痫灶,那么使用颅内电极(一种颅内监测)的侵入性脑电监测可能是必要的检查手段。
侵入性脑电监测
约有1/3的癫痫患者不能通过头皮EEG明确致痫灶,即便应用了其他的非侵入性检测也仅能再提高10%的定位准确性。因此,在不同的术前测试、怀疑多病灶性癫痫、或MRI阴性的TLE需要区别NTLE与MTLE的情况下,应采取侵入性脑电监测(颅内研究)。这种颅内研究将会描绘致痫灶的边界及毗邻的优势皮层。
海马部深部电极记录中可见特征性电活动,主要表现为海马体部周期性尖波,接着是持续约1分钟的高电压节律。当波及邻近嗅皮层和颞新皮层时,可在颞下前头皮EEG中出现同步、规律的5-9 Hz发作性节律。
另一种常见的脑电图模式包括低电压、高频率放电,而没有预先的尖波峰。这一电活动是由海马深部电极和与嗅皮质相关的硬膜下内侧基底部电极记录而来。在NTLE中,最常见猝发表现为特征性低电压、高频率放电,这与背景节律丧失相关。
应用头皮或侵入性视频EEG监测之后,考虑心因性非癫痫发作、多灶性癫痫、全面性癫痫发作或非局灶性发作癫痫发作不适合行手术切除治疗。几乎约半数接受头皮视频脑电监测的患者都能明确的癫痫病灶或经颅内监测能确定手术病灶切除。
影像学检查
磁共振(MR)成像是TLE的首选影像学检查方法。MR扫描模式应该是整个头颅的薄层高分辨率T1和T2加权像,以及应用梯度回波T2序列来明确是否出血。
如果发现肿块或肿瘤,应使用钆对比剂增强成像,以更好地确定病变性质及显示解剖结构。若怀疑MTLE,则需行冠状位T1加权像、液体衰减反转恢复序列(FLAIR),以及经过海马回冠状位T2加权序列。
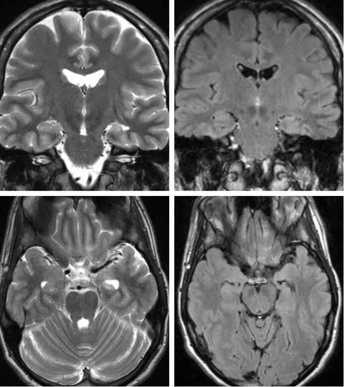
颞叶内侧硬化的典型表现是海马萎缩,在FLAIR和T2像呈颞叶内侧高信号。术前MR成像中若有海马萎缩,则颞叶切除术后能明显控制癫痫发作。磁共振成像与本章所讨论的其他诊断模式相结合,对于定位致痫病灶更精确。

图1. 左侧颞叶内侧硬化。注意T2和FLAIR序列显示左侧海马萎缩和明确的高信号。
神经心理评估
神经心理评估对于TLE患者来说非常重要,可以确定术前功能障碍,并预测术后神经心理预后。拟行手术切除颞叶和海马体时,需要分别对语言和记忆进行评估。优势侧TLE的患者会表现出微妙的言语记忆障碍和找词困难。相反,非优势侧的患者通常表现出视觉空间记忆障碍。
TLE患者最常见的术后功能障碍是记忆力下降。左颞叶手术后更可能常见言语记忆障碍,而右侧的手术则是视觉空间障碍。接受左颞叶切除术的患者,术前其记忆和言语功能适中或较好时,术后更发生功能障碍的风险更好。然而在右颞叶切除术的患者中并没有发现这种关系。与患者进行术前讨论时,必须强调术后可能会发生记忆或言语功能障碍。
Wada试验
在功能性核磁共振成像(fMRI)出现之前,应用Wada试验来评估两侧大脑半球的语言和记忆功能。如今,当fMRI结果出现不确定、不可用或无法实施时,仍然会应用Wada试验。将异戊巴比妥或其他麻醉剂(如美沙酮、异丙胺或异丙酯)注射到颈内动脉中,在语言和记忆测试过程中暂时抑制该侧的功能。基线记忆功能通常选取实际测试前一天的测试结果。
在注射麻醉剂前,要求患者举起双臂大声数数,出现偏瘫时则意味着充分麻醉。此时在偏瘫情况下对语言和记忆进行评估,先进行评估疑似癫痫发作侧,30分钟后进行对侧半球测试。如果在一侧半球进行麻醉注射后出现完全性失语,则认为单侧责任(右或左为优势侧),如果在两侧半球注射之后出现某种程度的语言保护,则认为双侧责任(有或无优势侧)。
在记忆评估中,要求患者在偏身轻瘫阶段中正确识别出所展示的物品。记忆总评分是根据疑似癫痫发作同侧注射麻醉剂来确定对侧记忆评分。总分的50%-67%认为是通过分数。Wada试验测试记忆部分目的是建立术后记忆下降的风险评估。对侧大脑半球的记忆支持越少,术后记忆功能障碍的风险就越大。
尽管Wada试验在决定语言和记忆优势地位方面的准确性很高,但这一测试仍然存在假阳性和假阴性。Wada试验的测试结果可能会受到药物剂量、评估人员破盲以及患者的合作等因素的影响。此外,Wada试验可能会导致癫痫发作、对比剂过敏、注射部位血肿、血管剥离、卒中及感染等风险的发生。据估计,动脉剥离或卒中的风险约为1%。
正电子发射断层成像
正电子发射断层成像(PET)利用放射性同位素代谢活动相关的分子分析身体各部位的代谢功能。在TLE患者检查时,PET试图将发作间期颞叶中低代谢区域进行定位。
EEG记录下的PET非常重要的一点是确保低代谢率在一侧半球,这并不是次要的,而在相反的一侧会导致过度代谢。
脱氧葡萄糖(FDG)是PET中最常用的同位素。FDG-PET对MTLE具有很高的特异性。颞叶内侧硬化与海马体、杏仁核、脑内皮质及颞极的低代谢密切相关。
还有研究表明,FDG-PET识别的低代谢区与深部电极的结果相比具有定侧关联性。当检测颞叶代谢活动时进行双侧对比时,可增加PET的敏感度。
如果在MRI中发现MTS,PET不能提供任何额外信息。因此,PET通常用于MRI及其他术前检查无法定位致痫灶的情况。
单光子发射计算机断层成像
癫痫发作时,脑组织代谢需求的增加,脑血流量随之增加。单光子发射计算机断层成像(SPECT)应用锝-99m六甲基丙烯胺肟或比西算锝(99mTc)检测局部脑灌注。这些化合物在注射几秒钟内可被神经细胞吸收,并在细胞内停留数小时。因此,在癫痫发作后立即注射放射示踪器,可有助于定位发作起始区。
若能将癫痫患者行发作间期与发作期的脑灌注进行比较,SPECT检查的敏感性会大大提高。另外,如果再结合高分辨率MRI,有助于识别致痫灶。在MRI和/或EEG不能定位病灶时,常选用SPECT检查。
功能磁共振成像
功能核磁共振成像(fMRI)通过测量由血氧水平变化引起的MRI信号变化来测定神经细胞活性,主要用于功能区的定位,如运动区和语言区。fMRI可以结合EEG分析来识别癫痫发作区。它拥有几毫米的空间分辨率,可以作为Wada测试的一种非侵入性选择,用于语言优势侧和皮质语言区的定位。
作为一种较新的影像成像方式,只有少数研究将fMRI与手术结果相关联。在执行致痫灶同侧的语言和记忆任务时,信号越明显,切除病灶后神经功能损伤越明显,这一相关性可能比神经心理测试更有预测意义。
手术指征
在两种及以上抗癫痫药物应用不能控制发作的患者认为是难治性癫痫,发生在颞叶内侧区域时即可考虑行颞叶前内侧和海马-杏仁核切除术。
若患者具有以下表现,则可不需颅内监测即可行切除性手术治疗:1)EEG上表现为单侧大脑半球的发作;2)MRI上表现为单侧MTS和/或PET和SPECT上有单侧内侧病变的证据;3)神经心理学和Wada/fMRI检测证实记忆和语言功能障碍与发作同侧;4) Wada试验确认对侧可维持记忆功能。不符合这些标准的患者可能需要在术前应用颅内电极及完成进一步监测。
基于EEG或影像检查的疑似病变则需要行颅内研究,且不仅仅局限于颞叶内侧区域。缺乏海马萎缩和皮质发育不良的结构性病变的影像学检查,同时应用基本的侵入电极记录发作,表明需要更深入地颅内研究行更充分的硬膜下皮质电极定位覆盖和语言映射,在内侧结构中应常规应用深部电极。
右利手者行右颞叶切除术时不需要Wada试验,因为左颞叶可提供很大可能性的言语记忆功能。
术前注意事项
在以上部分笔者详细探讨了TLE术前综合评估的细节。建议初学者外科医生使用术中MRI影像导航引导手术,这些引导工具通过颞中回进入颞角。
围手术期事件和麻醉药物的应用,会导致抗癫痫药物的血清水平下降,从而使患者暴露于术后癫痫发作的风险中。因此,围手术期抗癫痫药物应保持的超治疗剂量水平,因为癫痫发作会眼中影响患者术中恢复。
笔者不使用术中皮层电极指导皮质或海马的切除范围。如果对于确定致痫灶范围有疑义时,颅内监测更能有效指导外科医生。
手术解剖
颞叶内侧的解剖无疑是脑内解剖结构最复杂的部分。

图2. 颞叶的表面解剖图示(上排图)。下脉络点被定义为脉络膜前动脉入颞角接近于脉络丛前缘处。一条连接下脉络点与大脑中动脉分叉处的线,近似于杏仁核与纹状体之间的边界(下排图)(图片由AL Rhoton, Jr提供)。杏仁核与纹状体的界限很明显。

图3. 皮质表面解剖回顾。梭状回或颞枕回被颞叶基底表面的颞枕沟从颞下回向外侧分开,而向内侧被前至嗅脑沟后至侧副沟与海马旁回分开。颞叶内侧的前、中、后边界已用括号标出。前叶部分包括了钩(绿色括号),中间部分以四叠体板(红色括号)结束,而后部则以距状沟(蓝色括号)结束。同时需要注意颞叶内侧的冠状位结构(下排图)(图片由AL Rhoton, Jr提供)。

图4. 颞角解剖的优势视角图。请注意,从这个视角看颞叶内侧的划分为前、中、后三部分(左图),从类似视角来看血管解剖(右图)。注意脉络膜前动脉(AChA)的位置走形,其通过下脉络点进入脑室。

图5. 右侧颞叶前内侧及海马-杏仁核切除术的步骤展示。注意冠状位新皮质白质切除范围(红色箭头),从颞上或颞中回开始至侧副沟。新皮质切除(垂直蓝线)通常会让开颞上回,在手术第二阶段切除杏仁核、钩回、海马和海马旁回(水平蓝线)。切除大脑新皮质从颞极向后3.5cm,包括了颞下回和颞中回(右上图)。打开颞角以暴露脉络丛和海马(左中图)。打开脉络裂,穹窿伞部的脉络脉丛将其分隔,暴露出周围结构包括环池(右中图)。脉络丛仍附着在丘脑上。颞叶内侧的血管解剖沿着颞叶基底面及脑室表面分布(下排图)。大脑后脑动脉(PCA)是颞叶内侧的主要供血动脉。PCA发出颞叶前下动脉,此处也分出海马旁前动脉。脉络膜前动脉在下脉点处进入颞角,出现在钩回后上边缘。一条连接下脉点与中脑动脉分叉点的连线,近似于杏仁核和纹状体之间的界限,此为一合理的手术路径。
颞叶前内侧切除和选择性海马-杏仁核切除术
标准ATL手术技巧细节包括了一组非常明确的手术步骤,防止术中迷失导致丘脑及基底池受损。

图6. 患者取仰卧位,头部转向对侧50°,头架固定。可肩带辅助头向对侧转动。乳突区单钉固定以保证术者手臂的操作空间。

图7. 患者头部应明显与同侧肩部伸展,向外侧延伸,保证海马长轴平直。必须保证此种头部体位,以使术者在脑室解剖和海马分离时,能够获得颞角和海马长轴的直视。暴露出一个反问号切口(蓝线标记)。切口从颧弓处开始,沿乳突前、耳后,然后在颞肌嵌入线(颞上线)上方向前弯曲延伸。笔者通过松解颞肌皮瓣来确定颧弓根。需要重点理解的是此法开颅的主要目的是暴露颞叶并非额叶。术前标记开颅手术切口线。

图8. 翻开皮瓣及肌肉,颧弓根处或颞上线下后外侧钻一孔,之后应用3#Penfield剥离子剥离开硬膜。如图行开颅手术。切除前颞骨暴露出颞叶最前部和下部的颞窝,如此便可使术者在后面的操作中显微镜下视野基本能与海马轴平行。弧形剪开硬膜将其向前翻起,如此可轻易接近颞叶最前部。
关于更多显露和开颅的细节问题将在《翼点入路》章节中总结。
硬膜下操作

图9. 笔者应用1#penfield剥离子来测量确定颞叶切除范围,在剥离子上标出了4.0cm标志(如图),然后从颞中回上方向前滑入,直至剥离子前端碰到蝶骨翼紧下方的颞前窝。颞叶切除范围在皮层标记,避免损伤Labbe静脉。颞叶皮质切除范围优势侧约为3.5cm,非优势侧约为4cm。

图10. 沿颞上沟行皮质切除术。谨慎保留颞上回,因为优势侧颞叶可能支配语言功能。而后,从颞极向后3.5-4cm,垂直于颞中及颞下回长轴切除皮质。切除深度约为2-3cm,包括了梭状回。当术者经验丰富时,切除梭状回时可能会延伸地更靠近内侧至脑室水平,从而简化了颞角的暴露和及颞叶内侧结构的切除。术中导航可引导这一步操作。
笔者认为从外侧裂至蝶窦的桥静脉在颞前叶上,颞叶的回缩可引起这些静脉出血,术中应灼烧止血。

图11. 在颞前叶皮质上部和后部切除后行白质切除,以切断颞叶外侧皮质。中颅窝底往往有一个未名而恒定的骨性突起(黄色箭头),轻轻牵拉颞叶便可显露该解剖结构。此突起是指导白质离断的一个有用标志。颞叶上部、后部皮质切除及白质离断都应该和骨性突起考虑在一起,可确保术者不会贸然侵及颞角或损伤重要结构。

图12. 图示为颞角潜在位置与颞中回深部白质相关。颞角是显露和切除颞叶内侧结构的关键标识。颞角位于之前由颞中回覆盖的白质深处。进入脑室(双极尖端)见脑脊液流出及脉络丛辨识得以证实。确认进入脑室后,笔者切开脑室外侧壁以显露其内侧结构。
此处应该认识到,由于杏仁核占据了颞叶前内侧的空间,则实际脑室比预期更靠后。如果术者在皮质下解剖中迷失方向,可能会继续行内侧白质离断而完全忽略脑室并无意中进入大脑半球中心的脑干、丘脑或其他结构。

图13. 切断脑室外侧壁的枕颞神经纤维束,可扩大暴露海马。平行于海马外侧缘切开。此外,沿枕颞纤维束切开梭状回,直到发现枕颞回内侧的蛛网膜。吸引装置前端(下方术中照片)即脉络丛。
Meyer’s袢沿颞角顶部和外侧面走行。术者可通过保持梭状回内侧平面以内操作以避免颞上象限盲。

图14. 右侧颞叶的底面观(左图),颞角和视辐射下的灰白质已被移除。视辐射从外侧膝状体中发出,并在脑室顶环向前颞角走行。随后在颞角顶和外侧环绕后行,其中包括了杏仁核的一部分(绿色虚线)。蓝线标出了Meyer’s袢和外侧膝状体顶端视束之间的三角区域,通过此区可从外侧裂底进入颞角不损伤视辐射或视神经。右侧颞叶的外侧面观(右图)。(此图由AL Rhoton, Jr提供)

图15. 笔者的同事更喜欢使用两个固定的牵开器,一个用来牵开颞上回,另一个应用于切除后平面的切面。第一个牵开器将颞角顶抬起,易于识别脉络丛和海马结构。第二个牵开器可将余下的皮质向外侧拨开。在颞角和脉络丛前缘放置一小块止血棉片,便很容易地识别出下脉。在颞角尾部再放置一棉片,防止血液进入脑室系统的其余部分。黄色箭头指的是钩束和脉络丛紧下方的海马旁回缘内侧叶。

图16. 将大脑中动脉(MCA)上覆盖的一小部分颞中回内侧部在软膜下分离,以暴露MCA的分岔或远端M1段,其剩余部分是由外侧裂的蛛网膜层所覆盖。MCA到下脉点(脉络膜前动脉进入颞角处)的连线即为杏仁核和苍白球的分界线(绿色平面)。在切除杏仁核过程中,保持在此平面背外侧剥离至关重要,以避免伤及苍白球(顶部示意图)。下方术中照片显示了M1穿过其蛛网膜带(红色箭头)和下脉点(蓝色箭头)。黑色连线标志着杏仁核的切除上界。

图17. 杏仁核的下三分之二和整个钩回(位于海马旁回前部)分别用白色和绿色突显,切除这些中间结构始于软膜下离断。切除杏仁核时应注意前文提到的背外侧平面。

图18. 在杏仁核切除的全过程中维持腹侧平面解剖,同时操作限于覆盖基底池的蛛网膜层。在整个过程中,笔者保持这些蛛网膜层的完整以保护其下的动眼神经、PCA及脑干。通过其相应的蛛网膜膜识别动眼神经和小脑幕游离缘,以确保足够空间向内切除钩回(上图)。向后切除的极限在钩回与海马头连接处(下图)。笔者应用一扁平剥离子剥去钩回余下覆盖于神经上的薄层蛛网膜(术中图片)。

图19. 在切除杏仁核和钩回后进行内侧海马结构的切除,穿过钩束和边缘叶内侧的海马旁回直至整个海马。离断海马内侧部分时注意保留其侧面的脉络丛,避免损伤脉络膜前动脉(ATL手术引起偏瘫的原因之一)。在手术过程中取一小棉片块覆盖海马,应用吸引装置完成切除。

图20. 切断海马旁回下方的蛛网膜带,然后从下脉点附近的海马体与海马足分开,这样便可将软膜下结构、海马足前部及海马旁回作为整体来操作。

图21. 切除海马足后,海马旁回后部将从侧副沟至海马后部/尾部切除,即状如弧形向内侧至禽距。在分离侧副沟和海马体/尾前部时会遇到PCA分出的海马体部动脉。这些小动脉在沟内一旦发现即会被烧灼、锐性切断,以避免撕裂损伤其母血管及这一空间内的其他大血管。海马旁回后部和海马被一同抬起并切除。解剖脑干和脑丘之上的海马裂和蛛网膜带可使海马旁回内侧、海马和海马伞松解(顶部示意图)。中间层的术中照片可见PCA(蓝色箭头)及海马后部(黄色箭头)的穿支动脉。必须注意保护脑干和穿支动脉之上的蛛网膜层不受损,以避免术后神经功能缺损(底部术中照片;红色箭头指向PCA上缘)。

图22. 在转入脑室之前将剩余的海马尾通过手持吸引器提起分离或横切海马体以跨过尾部。笔者应用手持吸引器动态地向外侧分离后部皮质,同时能够探明海马后部的手术操作路径。脑组织上一层薄薄附着物,应该注意保留覆盖在基底池的蛛网膜层之上,以减少其撕裂引起漏的风险。小脑幕缘应加强止血,以尽量减少损伤滑车神经的风险。
海马切除的范围与术后癫痫发作的预后十分有关,建议将海马切除到四叠体板水平。残留颞叶内侧结构是癫痫复发最常见的原因。
附加注意事项
如果有证据表明MTS与颞叶邻近的致痫病变相关,则需考虑双重病理。笔者在切除病变及非优势侧海马时,最大限度地增加术后无发作的机会。然而,如果病变不直接影响优势侧海马,则应尽量保留优势侧海马以减少术后患者记忆功能损伤的风险。
术后注意事项
在围手术期,建议患者超有效剂量服用抗癫痫药物。术后立即发作并不少见,但并不代表患者长期预后不佳。应及时与患者本人及家属交流沟通。
即使没有癫痫发作,术后也应持续使用1-2年抗癫痫药物。之后如果患者仍保持无癫痫发作的状态,那么就可以考虑减停药物治疗。
点睛之笔
关于解剖结构,术者应尽早辨识颞角,谨防误入手术路径。
应沿着海马外侧最小限度的分离枕颞纤维束,以保证最小程度损伤Meyer’s袢引起的视野缺损。
通过对蛛网膜层的细致保护和避免幕缘使用双极灼烧,可以避免III、IV颅神经的短暂性障碍。
尽可能少用应用双极烧灼及脉络丛内的操作,以避免脉络膜前动脉的损伤。取小棉片块覆盖脉络丛,避免直接性操作导致术区渗血。
在海马部位操作时应注意保证PCA安全,仔细烧灼及切断其海马沟内的穿支血管。
(编译:王小峰;审校:徐涛)
Contributor: Stephen Mendenhall, MD
DOI: https://doi.org/10.18791/nsatlas.v7.ch02.1
中文版链接:https://www.medtion.com/atlas/2318.jspx
参考文献
Cendes F, Cook MJ, Watson C, Andermann F, Fish DR, Shorvon SD, et al. Frequency and characteristics of dual pathology in patients with lesional epilepsy. Neurology. 1995;45:2058-2064.
Chelune GJ, Naugle RI, Luders H, Awad IA. Prediction of cognitive change as a function of preoperative ability status among temporal lobectomy patients seen at 6-month follow-up. Neurology. 1991;41:399-404.
Chou CC, Shih YH, Yen DJ, Kwan SY, Yu HY. Long-term health-related quality of life in drug-resistant temporal lobe epilepsy after anterior temporal lobectomy. Epileptic Disord. 2015; 17:177-183.
Cockerell OC, Johnson AL, Sander JW, Hart YM, Shorvon SD. Remission of epilepsy: results from the National General Practice Study of Epilepsy. Lancet. 1995;346:140-144.
Dodrill CB, Ojemann GA. An exploratory comparison of three methods of memory assessment with the intracarotid amobarbital procedure. Brain Cogn. 1997; 33:210-223.
Duncan JS. Imaging and epilepsy. Brain 1997;120(Pt 2):339-377.
Engel J, Jr., Kuhl DE, Phelps ME, Crandall PH. Comparative localization of epileptic foci in partial epilepsy by PCT and EEG. Ann Neurol. 1982;12:529-537.
Engel J, Jr., Wiebe S, French J, Sperling M, Williamson P, Spencer D, et al. Practice parameter: temporal lobe and localized neocortical resections for epilepsy: report of the Quality Standards Subcommittee of the American Academy of Neurology, in association with the American Epilepsy Society and the American Association of Neurological Surgeons. Neurology. 2003;60.538-547.
Falconer MA, Meyer A, Hill D, Mitchell W, Pond DA. Treatment of temporal-lobe epilepsy by temporal lobectomy; a survey of findings and results. Lancet. 1955;268:827-835.
Gaillard WD, Bhatia S, Bookheimer SY, Fazilat S, Sato S, Theodore WH. FDG-PET and volumetric MRI in the evaluation of patients with partial epilepsy. Neurology. 1995; 45:123-126.
Helmstaedter C, Kurthen M, Lux S, Reuber M, Elger CE. Chronic epilepsy and cognition: a longitudinal study in temporal lobe epilepsy. Ann Neurol. 2003;54:425-432.
Hoppe M, Wennberg R, Tai P, Pohlmann-Eden B. Textbook of Stereotactic and Functional Neurosurgery, ed 2nd. Berlin, Germany: Springer, 2009.
Janszky J, Jokeit H, Kontopoulou K, Mertens M, Ebner A, Pohlmann-Eden B, et al. Functional MRI predicts memory performance after right mesiotemporal epilepsy surgery. Epilepsia. 2005; 46:244-250.
Jokeit H, Schacher M. Neuropsychological aspects of type of epilepsy and etiological factors in adults. Epilepsy Behav. 2004(Suppl 1):S14-20.
Jones-Gotman M. Neuropsychological techniques in the identification of epileptic foci. Epilepsy Res. 1992; (Suppl 5):87-94.
Jung WY, Pacia SV, Devinsky R. Neocortical temporal lobe epilepsy: intracranial EEG features and surgical outcome. J Clin Neurophysiol. 1999;16:419-425.
Kwan P, Brodie MJ. Early identification of refractory epilepsy. N Engl J Med. 2000;342:314-319.
Lee SK, Kim JY, Hong KS, Nam HW, Park SH, Chung CK. The clinical usefulness of ictal surface EEG in neocortical epilepsy. Epilepsia. 2000; 41:1450-1455.
Lee TM, Yip JT, Jones-Gotman M. Memory deficits after resection from left or right anterior temporal lobe in humans: a meta-analytic review. Epilepsia. 2002;43:283-291.
Li LM, Cendes F, Andermann F, Watson C, Fish DR, Cook MJ, et al. Surgical outcome in patients with epilepsy and dual pathology. Brain. 1999;122( Pt 5):799-805.
Loddenkemper T, Morris HH, Moddel G. Complications during the Wada test. Epilepsy Behav. 2008;13:551-553.
Malow BA, Blaxton TA, Sato S, Bookheimer SY, Kufta CV, Figlozzi CM, et al. Cortical stimulation elicits regional distinctions in auditory and visual naming. Epilepsia. 1996;37:245-252.
Mansouri A, Fallah A, Valiante TA. Determining surgical candidacy in temporal lobe epilepsy. Epilepsy Res Treat. 2012:706917.
McIntosh AM, Wilson SJ, Berkovic SF. Seizure outcome after temporal lobectomy: current research practice and findings. Epilepsia. 2001;42:1288-1307.
Medina LS, Bernal B, Ruiz J. Role of functional MR in determining language dominance in epilepsy and nonepilepsy populations: a Bayesian analysis. Radiology. 2007;242:94-100.
Mirsattari SM, Ives JR, Leung LS, Menon RS. EEG monitoring during functional MRI in animal models. Epilepsia. 2007;48(Suppl 4):37-46.
Mohanraj R, Brodie MJ. Diagnosing refractory epilepsy: response to sequential treatment schedules. Eur J Neurol. 2006;13:277-282.
Morris AA. Temporal lobectomy with removal of uncus, hippocampus, and amygdala; results for psychomotor epilepsy three to nine years after operation. AMA Arch Neurol Psychiatry. 1956;76:479-496.
O'Brien TJ, So EL, Mullan BP, Hauser MF, Brinkmann BH, Bohnen NI, et al. Subtraction ictal SPECT co-registered to MRI improves clinical usefulness of SPECT in localizing the surgical seizure focus. Neurology. 1998;50:445-454.
Ogawa S, Lee TM, Kay AR, Tank DW. Brain magnetic resonance imaging with contrast dependent on blood oxygenation. Proc Natl Acad Sci USA. 1990;87:9868-9872.
Pacia SV, Ebersole JS. Intracranial EEG in temporal lobe epilepsy. J Clin Neurophysiol. 1999;16:399-407.
Passarelli V, Pinto LF, Jorge CL, Puglia P, Adda CC, Wen HT, et al. The intracarotid etomidate Wada test: a 54-patient series. Epilepsy Behav. 2014;39:73-77.
Rausch R, Babb TL, Engel J Jr, Crandall PH. Memory following intracarotid amobarbital injection contralateral to hippocampal damage. Arch Neurol. 1989;46:783-788.
Roessler K, Sommer B, Grummich P, Coras R, Kasper BS, Hamer HM, et al. Improved resection in lesional temporal lobe epilepsy surgery using neuronavigation and intraoperative MR imaging: favourable long term surgical and seizure outcome in 88 consecutive cases. Seizure. 2014;23:201-207.
Ryvlin P, Bouvard S, Le Bars D, De Lamerie G, Gregoire MC, Kahane P, et al. Clinical utility of flumazenil-PET versus [18F]fluorodeoxyglucose-PET and MRI in refractory partial epilepsy. A prospective study in 100 patients. Brain. 1998; 121 ( Pt 11):2067-2081.
Sabsevitz DS, Swanson SJ, Hammeke TA, Spanaki MV, Possing ET, Morris GL 3rd, et al. Use of preoperative functional neuroimaging to predict language deficits from epilepsy surgery. Neurology. 2003;60:1788-1792.
Simkins-Bullock J. Beyond speech lateralization: a review of the variability, reliability, and validity of the intracarotid amobarbital procedure and its nonlanguage uses in epilepsy surgery candidates. Neuropsychol Rev. 2000;10:41-74.
Spanaki MV, Spencer SS, Corsi M, MacMullan J, Seibyl J, Zubal IG. Sensitivity and specificity of quantitative difference SPECT analysis in seizure localization. J Nucl Med. 1999;40:730-736.
Spencer SS. When should temporal-lobe epilepsy be treated surgically? Lancet Neurol. 2002;1:375-382.
Spencer SS, Williamson PD, Bridgers SL, Mattson RH, Cicchetti DV, Spencer DD. Reliability and accuracy of localization by scalp ictal EEG. Neurology. 1985;35:1567-1575.
Sperling MR, O'Connor MJ, Saykin AJ, Phillips CA, Morrell MJ, Bridgman PA, et al. A noninvasive protocol for anterior temporal lobectomy. Neurology. 1992;42:416-422.
Walczak TS, Leppik IE, D'Amelio M, Rarick J, So E, Ahman P, et al. Incidence and risk factors in sudden unexpected death in epilepsy: a prospective cohort study. Neurology. 2001;56:519-525.
Westerhuis W, Zijlmans M, Fischer K, van Andel J, Leijten FS. Coping style and quality of life in patients with epilepsy: a cross-sectional study. J Neurol. 2011;258:37-43.
Wiebe S, Bellhouse DR, Fallahay C, Eliasziw M. Burden of epilepsy: the Ontario Health Survey. Can J Neurol Sci. 1999;26:263-270.
Wiebe S, Blume WT, Girvin JP, Eliasziw M, Effectiveness, Efficiency of Surgery for Temporal Lobe Epilepsy Study Group. A randomized, controlled trial of surgery for temporal-lobe epilepsy. N Engl J Med. 2001;345:311-318.
Yildirim Capraz I, Kurt G, Akdemir O, Hirfanoglu T, Oner Y, Sengezer T, et al. Surgical outcome in patients with MRI-negative, PET-positive temporal lobe epilepsy. Seizure. 2015;29:63-68.
相关链接




