今天为大家分享的是由复旦大学附属华山医院神经外科龚秀医师翻译,海军军医大学附属长征医院神经外科徐涛副教授审校的:旁正中小脑上入路开颅手术策略与技巧(Paramedian Supracerebellar Craniotomy),欢迎观看、阅读。
概论
旁正中小脑上入路开颅是小脑上入路开颅的一个变种,和后正中小脑上入路开颅有许多共同点。它们是小脑上入路开颅的两个变种,所以在这两章中有部分内容是重复的。
小脑上入路开颅是神经外科中最未充分利用的入路之一。由于其通路较长,所以在灵活性上尚需探索。
中线两侧枕下小脑上入路传统设计用于暴露松果体区的肿瘤。其局限性包括:侧方或者向下的视野分别受小脑幕角度和小脑山顶尖部的局限;不可避免地会损伤中线部位几乎所有小脑蚓部桥静脉,不无风险。
最近对于大型中线松果体区肿瘤,笔者停用了中线两侧的小脑上入路,而偏好左侧旁正中小脑上入路来弥补上述缺点。小脑外侧或者菱形叶的路径比经过小脑山顶的视野更直接、更平缓,并且旁正中入路可以避开大部分中线区蚓静脉。旁正中入路开颅优于中线枕下开颅术,类似于额外侧或翼点入路优于双额冠开颅术切除嗅沟脑膜瘤。
本章主要讨论旁正中小脑上入路。该入路可显露松果体、中脑后外侧、第三脑室后部和颞叶后部底面。传统的中线小脑上入路会用单独一个章节来讨论。

图1. 旁正中小脑上入路比中线入路有很多优势:①损伤更小,多数不会威胁到右侧优势的横窦和窦汇;②只在一侧小脑半球进行操作;③多能保护小脑蚓部桥静脉;④经小脑外侧的视线倾斜度更低,可为显露肿瘤下极提供更低的视线。再次手术可以通过对侧完整的小脑上入路完成。
入路适应症
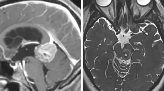
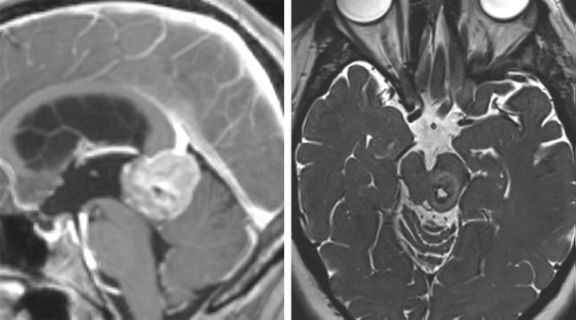
小脑上入路用于暴露松果体区肿瘤,比如生殖细胞瘤、松果体母细胞瘤、星形细胞瘤和其他罕见的病变如脑膜瘤、表皮样瘤、纤维性星形细胞瘤等。重要的是,该入路灵活多变,由于在丘脑枕操作轻柔,病人耐受良好,是笔者行三脑室后部肿瘤切除时的首选。血管性病变如天幕的动静脉漏或动静脉畸形同样可以采用该入路。
其它中脑后外侧的脑实质内病变,如海绵状血管瘤和毛细胞型星形细胞瘤,以及小脑上动脉远端动脉瘤等也可以采用此入路。

图2. 松果体区(左图)及中脑后外侧(右图)大型病变可以很容易通过小脑上入路显露。
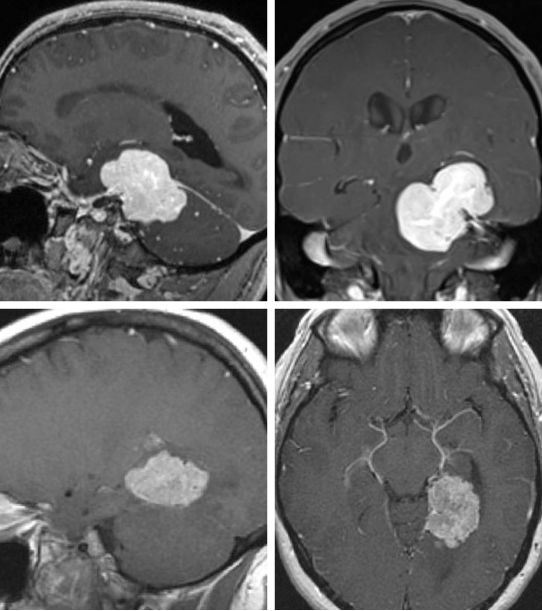
旁正中小脑上入路中的经小脑幕扩展是在经典入路基础上的创新。经过小脑上的空间打开小脑幕,可以让笔者们切除延伸到小脑幕幕上的部分岩尖脑膜瘤,避免了经颞下入路的二次手术。海马后部的海绵状血管瘤、动静脉畸形、星形细胞瘤和转移瘤可以通过这种入路切除。
此入路无需采用颞下入路而牵拉颞叶,是切除中线处天幕脑膜瘤的理想入路。因此,幕下开颅术可以通过牵拉天幕从而完全地切除幕上肿瘤。

图3. 跨天幕的岩尖脑膜瘤(上图)和近中线天幕脑膜瘤(下图)可以通过旁正中小脑上经天幕入路单次手术切除。
术前注意事项
术前MR成像可以显示肿瘤范围,并以此来衡量是否需要联合入路或者需要经天幕入路。梗阻性脑积水需要显露Keen点或者术前行脑室额角穿刺引流。利用旁正中入路的切口可以很容易地显露Keen点的骨孔。生殖细胞肿瘤需要通过血清或者脑脊液进行排除。
在本操作中笔者会将病人调整为改良的公园长椅位。并且会通过腰大池引流脑脊液进一步降低颅内压,为小脑的活动提供更大的空间。
横窦和乙状窦有解剖变异,术前明确其解剖走行可以提高颅骨切开时的安全性。有些因素虽然不是小脑上入路禁忌症,但是可以使操作的难度增加,比如,天幕斜度较大以及肥胖患者的脖子太短等。在上述情况下,使病人屈颈可以改善经小脑上入路导致的手术视角困难,并且建议将病人放置在坐位。
MRI可以明确深静脉结构(Galen静脉、基底静脉、大脑内静脉和直窦) 和手术途径及肿瘤之间的关系。偶尔,后部丘脑和小脑蚓部肿瘤类似松果体区占位,逐渐向后推移间脑引流静脉,这种情况是小脑上入路的潜在禁忌。另外,肿瘤对周围重要神经结构的浸润程度 (如中脑、丘脑) 必须在手术之前明确。
手术解剖

图4. 松果体区入路的相关解剖 注意颞叶底部后方及顶叶和松果体区的关系(A). 经小脑上入路切开天幕后可以显露幕上区域。小脑上表面 (B) 和中脑后部(C and D)。动脉(E)和静脉(F) 解剖 (图片由AL Rhoton, Jr授权).

图5. 经中线小脑上入路显露松果体区的脑血管放大图。胼胝体压部在Galen静脉的前方。当术者视线随着小脑幕的走行进入到松果体区,他已经不自主的在Galen静脉周围操作。 术者必须要认识到这种错误并主动将手术视线向下调整到松果体区。注意通过侧方入路所看到的松果体区概貌(E)(图片由AL Rhoton, Jr授权)

图6. 相对于后正中入路(左图),旁正中小脑上入路(右图)可以避开几乎所有的小脑蚓部桥静脉。

图7. 后正中入路(左图)的显露取决于对山顶的牵拉,而旁正中入路(右图)经过的是较低位的外侧小脑。第IV脑神经位于手术区域的下缘。

图8. 通过旁正中枕下开颅切除部分左侧小脑幕,显露环池,颞叶底面后部及相关动脉的解剖(B,C,D)。。注意通过此入路显示的海马旁回后部和大脑后动脉远端分支(图片由AL Rhoton, Jr授权)
旁正中小脑上入路开颅
如上所述,笔者喜欢将病人摆放为改良的公园长椅位,用旁正中小脑上入路到达松果体、中脑后外侧和第三脑室后部。

图9. 左侧的小脑上入路能保护窦汇以及通常为右侧优势的直窦和横窦。术中使用头颅夹使病人曲颈并使头部向地面弯曲15-20度。上图中肿瘤位置标注了X。
病人一侧肩膀向前远离手术区。术中可能会通过神经导航确定中线以及横窦和乙状窦的位置。旁正中垂直切口位于枕状隆突和乳突连线中点。该切口向横窦上方扩展1/3,向下方扩展2/3,长度大约7-8cm。注意Keen点(左下图剪头所示)在切口上缘。

图10. 在横窦下缘钻一个小孔,距离中线和窦汇大约2cm。在暴露整个横窦的时候掀开一个小骨瓣为之后的操作留下空间。以窦为基础单独打开硬脑膜。在天幕后面放上两根缝线来轻微地拉动横窦对于扩展小脑上入路的空间是极其有益的。
脑脊液通过腰大池或者脑室进行缓慢引流能够使一侧小脑半球松弛。

图11. 传统颅骨和硬脑膜切开方法限制了医生的工作角度,同样限制了小脑上入路的显露空间(上图)。放置固定牵开器切开小脑幕,尽管可以抬起横窦,但是不能明显扩大手术视野,事实上,它可能还会影响到手术的工作角度(中图)。小脑幕上缝线并牵拉、抬起小脑幕,并可以抬起横窦,扩大手术视角(下图)。

图12. 一两条中线旁的中线小脑蚓部桥静脉被牺牲。大的中线旁静脉被保留完好。注意天幕后的缝线。这些缝线能够轻柔地拉动横窦。超声多普勒能够确认窦是否开放并且确认移动静脉窦的安全程度。

图13. 撕开覆盖中中脑背外侧的蛛网膜颗粒能够将小脑向下移动并向中线方向打开脑池。第IV对颅神经是外侧角暴露的证据。

图14. 一旦打开肿瘤表面蛛网膜,就可以进行显微操作切除肿瘤。这种“斜线”入路是有好处的,因为小脑天幕面沿着前内侧角和斜坡向下向外。所以,对于向下扩展的巨大松果体区肿瘤,一侧旁正中入路比中线入路提供更多中线后方和中脑后外侧的视野。
通过吸引器让小脑动态回缩就能够暴露和切除肿瘤下部,而不需要固定牵拉。吸引器能够使扩展的视野可控性更强,同时牵拉的话还可能损伤深部结构。
小脑上经天幕入路
这个入路的改良同样可以在病人公园长椅位置时操作。

图15. 注意该入路对切除天幕内侧肿瘤时的重要性。必须沿着切迹外侧缘保护第IV对颅神经(插图)。沿着红色虚线的切口会破坏该神经,只有沿着黑色虚线的切口才是正确的。或者对于颞叶基底部后部的脑实质内病变,”T”字形的天幕切口也是可以的。

图16. 在分离肿瘤的时候,天幕切口处脑干后部以及周围神经血管的早期暴露可以使它们得到更好的保护,不会受到肿瘤压迫或者手术区出血污染的影响。轴外肿瘤可以在早期就电凝掉天幕下表面的血管。

图17. 在确认和保护滑车神经的时候沿着天幕的前缘从岩骨嵴切到中线。引流枕叶和天幕上面的奇静脉可能会牺牲。内侧天幕切口应该保留直窦。要保留静脉湖,天幕上的静脉出血用凝血明胶海绵按压。双凝电极用于天幕边缘的出血。
上述的天幕切法会进一步使肿瘤去血管化,造成肿瘤相对缺血变小从而在显微操作下将肿瘤从周围皮质中取出。

图18. 切除天幕为枕叶和后/内颞叶创造了比较宽的入路。该区域的轴内肿瘤可用类似方法切除。
总结
硬脑膜必须以水密式缝合的方式的关闭,因为脑脊液漏是后颅窝肿瘤术后的一个严重风险。相对于同种异体移植物,笔者更喜欢使用一块自体骨膜移植重建硬脑膜缺损。
骨质缺损可以使用颅骨板取代。笔者会尽量避免缝合颈深部肌肉时张力过大,以减少肌肉绞窄坏死以及术后不自主的颈部疼痛,因为这个操作会导致肌肉坏死和不受控制的术后疼痛。颈部肌肉的缝合需要轻轻拉拢,而颈部筋膜的缝合需要严密的不透水缝合。
术后注意事项
手术后病人在重症监护室观察1、2天,然后转移到病房。推荐采用类固醇预防无菌性脑膜炎。如果术前发生脑积水并进行了脑室外引流。在手术中应该保留植入的导管,手术后拔管。
暴力牵拉小脑会导致术后水肿。这可以在影像中看到,也会逐渐进展为症状性颅后窝高压并需要手术减压。因此,应该小心谨慎的进行硬脑膜关闭和骨瓣复位。如果出现脑肿胀,硬脑膜应该减张缝合,去除骨瓣。这种脑肿胀可能由于横窦局部血栓形成和小脑蚓部静脉损伤引起。
点睛之笔
与后正中枕下小脑上入路相比,旁正中小脑上入路更微创,并且为松果体区大型肿瘤切除提供足够的显露,同时对于两侧硬膜静脉窦和小脑半球的风险更低。
小脑幕的牵拉、缝合可以抬起横窦,扩大小脑上手术的通道。
(编译:龚秀;审校:徐涛)
DOI: https://doi.org/10.18791/nsatlas.v2.ch13
中文版链接:https://www.medtion.com/atlas/2141.jspx
参考文献
Kulwin C, Matsushima K, Malekpour M, Cohen-Gadol AA. Lateral supracerebellar infratentorial approach for microsurgical resection of large midline pineal region tumors: techniques to expand the operative corridor. J Neurosurg. 2015.




