今天为大家分享的是由四川攀枝花市中心医院鄢克坤医师翻译,《神外资讯》常务编辑、海军军医大学附属长征医院神经外科徐涛医师审校的:颅咽管瘤的经颅入路手术策略与技巧,欢迎观看、阅读。
Craniopharyngioma-Transcranial
颅咽管瘤通常起源于垂体咽管的化生腺垂体细胞巢(Rathke袋)。约5%的颅咽管瘤完全位于脑室内,其余几乎所有颅咽管瘤均位于鞍旁视交叉池内。
肿瘤的早期增殖在视交叉池的蛛网膜下腔空间内,边界外侧是颈动脉池内侧,向后/向上是由Liliequist 膜分隔的脚间池。随着肿块的生长和继发的对视交叉池的挤压,肿瘤逐步浸润并充满周围的脑池。
这些肿瘤因为其惰性和良性生长模式,常常在体积较大时才得到诊断。当大于4cm时定义为巨大型肿瘤,常常表现为在蛛网膜下腔的多个分隔间内增殖。
颅咽管瘤有两种病理亚型:牙釉质型和乳突型。牙釉质型是儿童时期的变体,为不均一的囊实性肿瘤,含有胆固醇结晶和暗棕色囊液。这类肿瘤粘连并包绕下述部分或所有结构:视神经和视交叉,腺垂体和垂体柄,Willis环,脑干,下丘脑,三脑室,以及额颞叶。
乳突型肿瘤在儿童和成年人中都可以看到,常表现为实性。这种亚型一般是局限性生长,缺少牙釉质型肿瘤的粘连特点。
对颅咽管瘤切除的恰当手术入路选择要考虑下述因素:病变位置、病变大小、神经血管结构的包裹、患者的特定解剖、外科医生的经验。
在过去的几年中,笔者已经几乎放弃了颅咽管瘤切除的经颅入路,转而支持经鼻入路。笔者相信切除程度、患者恢复以及术后致残率的结果是支持使用直接而微创的经鼻通道。下面会讨论颅咽管瘤经鼻与经颅入路的相应指征。
临床表现
颅咽管瘤占了所有成人颅内肿瘤的1.2%-4%以及儿童群体肿瘤的6%-10%。肿瘤发生遵循双峰分布,其高峰在5到10岁以及50岁到60岁,没有性别优势。
尽管在多数情况下肿瘤以漏斗部为中心或者在其附近,颅咽管瘤的临床表现依赖于肿瘤的确切位置和对以下周围结构的压迫程度:垂体腺和垂体柄、视通路、三脑室、及其底部(下丘脑)。
在成人中,视觉障碍和头痛是最常表现的神经病学发现。由于浸润到下丘脑造成的神经认知变化也很常见,内分泌异常的临床表现各异,常不明显。行为上的改变可能源于额叶底部的压迫,产生的许多症状包括痴呆、意志力丧失、冷漠、精神运动迟滞。
对相邻脑室系统的压迫会产生梗阻性脑积水和继发的颅压增高。在儿童,颅内压增高更常见,内分泌异常常表现为生长激素不足;潜在的视觉障碍也常常出现在儿童。脑积水发生在1/3的患病人群。
评估
评估颅咽管瘤的主要影像方法是磁共振影像。它能够描述肿瘤特性,一般呈分叶状,信号强度混杂、有大的囊肿。CT有助于了解肿瘤下方的颅底解剖和评估经鼻入路的可行性。此外,牙釉质亚型通常包含钙化区域,然而乳突亚型仅仅见于成人,常缺乏钙化。
考虑到肿瘤患者术前内分泌异常的发生率高,所有的患者应该进行完整的内分泌学评估。这些测试有助于发现和治疗术后激素不足的情况。
从最常见到最少见相关内分泌障碍的顺序如下:生长激素缺乏、卵泡刺激素或黄体生成素不足、促肾上腺皮质激素不足、促甲状腺素不足、高泌乳素血症(由于抑制性多巴胺通路受压)和尿崩症(术前<20% )。然而,在围手术期管理中,肾上腺功能不足和尿崩症是两个最重要的潜在问题。
术前须行正式的视野和散瞳眼底检查,既是为了纪录术前的基线状态也是为将来肿瘤复发监测提供一个参考点。充分了解术前已经出现的任何视野缺损对于充分设计最佳手术计划都是必要的。
血管检查(CT 或MR血管造影)将排除不典型动脉瘤并确定肿瘤周围正常血管结构,其可能包含在向前(包绕大脑前动脉)、向后(包绕基底动脉尖和后交通动脉)、或者向外侧(包绕颈动脉远端及其分枝)扩展的肿瘤中。累及垂体柄相关的钙化囊性病变几乎足以确定颅咽管瘤的病理诊断。
术前影像应该评估垂体柄受累的程度。这个变量有助于判断是否能够为求全切而牺牲垂体柄的风险。

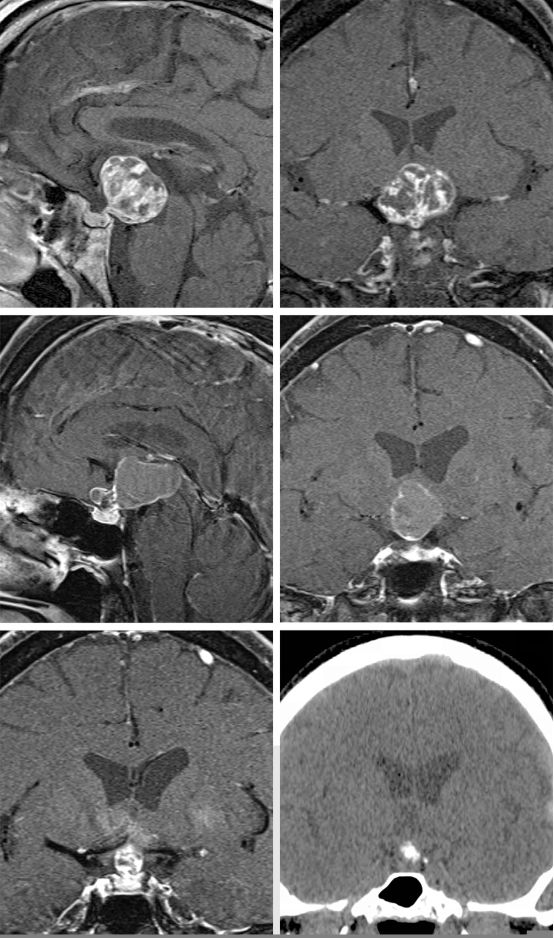
图1. 显示两个不同大小和形态的颅咽管瘤患者的影像。在上排的影像显示一个大的稍微实性的颅咽管瘤,能够经额下入路通过终板暴露。另一方面,在中排和低排的影像显示一个部分囊实性肿瘤,适合经鼻入路。注意右侧下面的影像为CT上发现的结节性钙化。两个肿瘤对垂体柄的明显包绕使得在切除过程中试图保留垂体柄几乎不可能。
手术指征
因为发现肿瘤时总是已经伴随着明显的临床症状,因此对颅咽管瘤进行观察随访的证据很少。如果肿瘤是意外发现,无症状且患者年龄较大,影像学、内分泌和眼科监测随访可能是恰当的。然而,假如颅咽管瘤的诊断可能性大,笔者推荐手术,如果冰冻切片明确了诊断,那么应该施行手术切除和辅助放疗。
手术目的是为了最大安全切除肿瘤。尽管全切肿瘤能够获得手术治愈的效果,但不应该以损害下丘脑为代价,因为这会导致极差的生活质量。放射治疗是主要的辅助治疗模式,放射外科和质子束治疗在保护周围重要结构方面的作用日益增加。
姑息治疗程序,比如囊肿减压/开窗或者脑室分流可能改善症状,但是它们只是拖延形势并没有有效解决问题。其它的治疗方式比如腔内放疗可能只适用于罕见的复发无法手术的病例。
术前准备
关于上述主题和术前准备的详细信息,请参阅垂体和鞍旁肿瘤切除的颅咽管瘤章节。
手术解剖
复杂的鞍上解剖是颅咽管瘤手术难度高的主要原因。术者需要准确定位错综复杂的蛛网膜下腔平面和脑池边界。大型、复杂的颅咽管瘤可以包含多个脑池分隔;在显微分离探查时应对每个分隔和它们相关的紧邻视交叉池的神经血管内容物做到心中有数。

图2. 基底池和介于其中的蛛网膜的解剖如图所示。这些复杂解剖是经颅入路切除鞍旁病变手术难度高的根源(图片由 AL Rhoton 教授提供)。颅咽管瘤位于视交叉池的蛛网膜下腔空间内,外侧界是颈动脉池内侧,向上和后方是脚间池,其为Liliequist膜的间脑叶所分隔。随着肿块的生长和继发的脑池受压,肿瘤浸润并充满周围的脑池。

图3. 经上方暴露(左上图)、前方暴露(右上图)、前外侧暴露(左下图)视交叉池。通过前外侧暴露视交叉池并抬高右侧颈内动脉(右下图)(图片由 AL Rhoton 教授提供)。一些颅咽管瘤包绕垂体柄,若不牺牲垂体柄无法达到全切。肿瘤与神经血管结构的密切粘连,特别是三脑室底,会妨碍全切造成复发风险。
颅咽管瘤的手术入路
切除颅咽管瘤有多种手术入路设计。决定最佳入路需要仔细考虑病变位置和扩展、涉及的周围结构以及外科医生的经验。
对于手术的首要决策是经颅显微手术还是内镜经鼻入路。关于经鼻入路的更多细节,见内镜经鼻切除颅咽管瘤章节。在本章剩余部分将讨论最常用的经颅入路。
表1. 肿瘤位置决定手术入路

如表1所示,只要三脑室底受到影响,经鼻入路是首选。假如三脑室底未受影响,经终板和胼胝体入路较为合理。
视交叉后颅咽管瘤是一种特别的挑战,因无法通过安全和有效的经颅通道到达肿瘤;但是经内镜经鼻入路更容易暴露肿瘤。
额外侧/翼点/眶颧入路
翼点、额外侧或眶上以及眶颧(OZ)开颅术是切除包括颅咽管瘤在内的鞍旁病变的传统额下手术通路。它们提供了重要的多用途和证明其运用合理的有效性。翼点入路提供了一个到鞍旁区域的更短和更直接的入路,然而眶颧入路则提供了一个更下到上的入路到达主要垂直生长入三脑室的病变。
笔者会在下面的段落描述通过这三种额下入路行硬膜内切除颅咽管瘤的技术细节。笔者也将简洁讨论额外侧入路。
上外侧或眶上入路在颅脑手术入路卷中有专门讨论。简要地说,患者取仰卧位,其颈部伸展并向开颅对侧旋转30度。做半冠状皮切口或眉弓切口,其下缘达到眶顶。接着,就在关键孔外侧做一个3-3.5cm ✕ 2-2.5cm的标准额外侧骨瓣,硬膜半圆形切开。

图4. 做一个半冠状切口,在关键孔上方抬高颞肌(左图)以保护额神经和提供美容式闭合。单骨孔开颅技术也可用于眶上眉弓入路(右图)。
硬膜内操作
额下开颅术的硬膜内操作涉及到打开侧裂池和鞍旁池,释放脑脊液以利于肿瘤切除。无张力显微分离侧裂(详见侧裂分离技术)是获得安全暴露的关键一步。接着,切开围绕基底池的蛛网膜带以扩展硬膜内径路暴露同侧颈内动脉和视神经。
在进一步切开周围结构之前,减少因肿瘤占位效应施加在临近结构上的张力是非常重要的。笔者通过刺穿视神经间的囊肿来缩小囊性肿瘤。或者,假如肿瘤主要是实性的,则尽量用超声吸引器在肿瘤中心减少肿瘤体积来减压。

图5. 在特定患者中,如果同侧视神经明显受压,行部分硬膜内前床突切除术有助于缓解神经上的张力,同时切开镰状韧带。这个策略在切除神经周围的实体肿瘤成分期间减少了神经损害的风险。而且,扩展了视神经颈动脉间通道。
当对侧视神经出现在视野中时就确定完成了充分减压,局部鞍旁解剖变得更加熟悉。对周围结构上的肿瘤进一步的外侧切除就在一个无张力环境中完成了。
前置和后置视交叉
下一个手术步骤:环形游离肿瘤包膜和结节取决于前置或后置视交叉。这两种构型由与肿瘤垂直面与视交叉的相对位置关系决定。

图6. 经颅硬膜下处理鞍旁颅咽管瘤的概观如图所示。注意视交叉间、颈动脉旁(包括颈动脉-动眼神经)以及经终板入路。这个前置视交叉且视神经较短的情况限制了视交叉下方分离,只能转经终板入路。然而,后置视交叉则提供了一个在双侧视神经间进行操作的手术角度。
后置视交叉
后置视交叉典型表现为视交叉向后上移位。这个构型通常视神经间隙以及视交叉下方空间相对宽广,利于肿瘤内部减压和分离。
分离应按下列顺序和这些平面进行:同侧视神经的内侧面和下缘,颈内动脉和后交通动脉的内侧面。接着,当肿瘤的鞍后部分从 Liliequist 膜覆盖的基底动脉上分离开后,对侧动眼神经就能被看到。
随后以对侧视神经和颈动脉为目标切除肿瘤。最后,松解肿瘤与下丘脑的粘连部分。
术者可以考虑使用带角度的内镜来确定肿瘤隐蔽的囊壁残留,尤其在粘连的牙釉质亚型颅咽管瘤中。
如果有必要,联合经终板入路可以扩大显露范围,到达并切除肿瘤的脑室内部分。改良上述入路可以切除这些病变的中颅窝扩展部分。为了获得对基底池充足的外侧显露角度,笔者常打开沟回和颈内动脉之间的间隙。若脉络膜前动脉和后交通动脉以及它们的相关穿支血管的密切粘连,则对肿瘤全切除造成限制。

图7. 一个视交叉前方的囊性颅咽管瘤(第一排影像)经翼点入路切除。同侧视神经通过引流囊肿减压,肿瘤囊壁被切除(中排影像)。从下丘脑锐性分离肿瘤结节(左下排影像)。最后切除结果和额下手术路径如图显示。垂体柄(箭头)保持完整(右下排影像)。
前置视交叉
因为前置视交叉的视神经间和视交叉下方空间较后置视交叉明显受限,因而额外侧入路到前置视交叉切除鞍旁颅咽管瘤会面临独特的挑战。视神经较短,视交叉向前、上移位。
前置视交叉病变通常表明三脑室扩大,由于其位于视交叉后位置,经鼻通路能够最有效地切除。如果经额下入路,那么这些用于后置视交叉的手术程序需要做一些修改,比如在暴露 A1和A2段前动脉后就切开终板池达到肿瘤。关于这个入路的细节,请参阅额下经终板入路章节。
下一步涉及探查同侧视神经和A1段,同时保持任何A1段皮质穿通支的完整性。游离A1和A2段和额叶一起被牵开,显露额下通路到达终板。用手持吸引装置动态牵拉对于小而深的通路特别有利;而使用固定牵开器则需要用力的牵拉脑组织。
接着,切开终板检查三脑室前方的内容物。如果颅咽管瘤出现明显的占位效应并使三脑室底变薄或者使脑室扩张,那么经脑室入路到鞍旁区域内的肿瘤后缘是一种合理的策略。这个穿过三脑室底的通路有利于切除鞍后区域周围、对侧视束下段、颈内动脉、后交通动脉以及斜坡后方空间的肿瘤。
手术盲点较宽,围绕上述被提到的同侧结构以及脑室后缘周围。不幸的是,这种肿瘤暴露的限制影响了安全切除的范围。经鼻入路不会受制于这个缺点,它能够提供沿着肿瘤长径的手术角度,这是肿瘤手术中非常重要的公理之一。
最后,打开颈动脉旁池利于视神经下方区域内的肿瘤切除。肿瘤减容到这个点能够使鞍旁肿瘤塌陷。最后,肿瘤向脑室内的扩展能够经上述的经脑室入路切除。
在切除颅咽管瘤期间,当垂体柄与肿瘤粘连紧密时,术者总是面临是否牺牲它的困境。对于那些与垂体柄部分粘连的病变,部分切除垂体柄对于增加全切率是合理的。

图8. 一个左侧眶颧开颅经终板入路切除三脑室颅咽管瘤如图所示。通过这个非常有限的手术角度,有大量的手术盲点限制了肿瘤全切。
经胼胝体入路
这个入路最适合用于切除孤立的三脑室颅咽管瘤并能保护三脑室底。这个入路需要定位视交叉以及和肿瘤相关的脑血管结构的位置。
关于这个入路更进一步的细节请参考经胼胝体扩展经室间孔经静脉入路章节。如果肿瘤粘连紧密,应该次全切除,以保护好三脑室壁。严格保持三脑室底不受损伤。
关颅
一些中心在关颅之前采用术中MRI来确定切除的完全性。证据表明这个程序增加了复杂的多分隔颅咽管瘤患者的全切率。外科医生的经验混淆了这一实践的效果。
不同入路对应的关颅技术详见相应的章节。
术后处理
术后患者在重症监护室观察一晚进行常规的神经评估,控制疼痛和血压。术中进入脑室系统意味着术后脑脊液漏的风险更高。
术后行MRI检查以准确地评估切除范围并计划延迟放疗。要预防性使用抗惊蹶药。
尿崩症是颅咽管瘤术后最常见的并发症之一。这种状况可出现于术前,并在术后恶化。其病因与神经垂体或者垂体柄的扩张或损害有关。在术后有必要即刻仔细监测液体入/出量、尿渗透压以及经常的血清钠评估,防止血清钠能够迅速上升到危险水平(>150 mEq/L)。
与常见的术中液体摄入过多相关的术后早期多尿要与尿崩症鉴别。这可以通过禁水试验达到;早期术后多尿不会影响血浆或血清渗透压。由于尿崩症患者不能浓缩尿液,禁水试验时禁止水摄入6-8小时并检查尿渗透压,其在尿崩症患者不会超过200 mOsm/kg,而血浆渗透压会相应正常升高,以便能上升到320-330 mOsm/kg。
尿崩症的治疗取决于患者的功能状态;一个清醒的有完整自然口渴机制的患者能够维持血浆渗透压。而有严重尿崩的患者或者那些不清醒的患者表现血清钠的显著波动,需要用去氨加压素治疗。
高达80%的患者会经历一过性术后尿崩症,不到20%的患者会持续到永久性尿崩症。垂体前叶激素调节障碍也常见。
摄食过量导致病理性肥胖是接受颅咽管瘤切除术的一个详细描述的并发症,是由于下丘脑损伤所致,特别是在儿童患者。这种损伤导致的记忆障碍也不少见。
点睛之笔
早期肿瘤中心减压为后续包膜外肿瘤切除创造空间。
锐性和轻柔切开蛛网膜平面对于避免损伤供应视交叉的纤细的垂体上动脉分支是很重要的。
小部分脑室底可能明显与肿瘤粘连,应该被考虑为肿瘤包膜的一部分。然而,大部分下丘脑及其相邻神经组织必须被保护好。如果有必要,少量粘连的残余包膜可以留在三脑室的壁或者底上。
Contributor: Benjamin K. Hendricks, BS
DOI: https://doi.org/10.18791/nsatlas.v5.ch09.2
参考文献
Gerganov V, Metwali H, Samii A, Fahlbusch R, Samii M. Microsurgical resection of extensive craniopharyngiomas using a frontolateral approach: operative technique and outcome. J Neurosurg. 2014;120:559-570.
Inoue K, Seker A, Osawa S, Alencastro LF, Matsushima T, Rhoton AL Jr. Microsurgical and endoscopic anatomy of the supratentorial arachnoidal membranes and cisterns. Neurosurgery. 2009;65:644–665.
Jallo G. Craniopharyngiomas, in Connolly ES, McKhann GM, Huang J, Choudhri TF, Komotar RJ, Mocco J (eds): Fundamentals of Operative Techniques in Neurosurgery, 2nd Ed. New York, Stuttgart: Thieme, 2010.
Krisht AF, Ture U. Surgical approaches to craniopharyngiomas, in Badie B (ed): Neurosurgical Operative Atlas: Neuro-Oncology, 2nd ed. New York, Suttgart: Thieme and the American Association of Neurological Surgeon, 2007.
Krisht KM, Gottfried ON, Couldwell WT. Craniopharyngiomas, in Bernstein M, Berger MS (eds): Neuro-oncology: The Essentials 2nd ed. New York, Stuttgart: Thieme, 2008.




