
今天为大家分享的是《贝朗时间》第五期,由首都医科大学附属北京天坛医院神经外科颅底脑干病区主任吴震教授带来的病例分享:乙状窦前经部分迷路入路切除斜坡脑膜瘤一例,欢迎阅读、分享!
吴震教授:乙状窦前经部分迷路入路切除斜坡脑膜瘤

吴震
博士,主任医师,副教授,硕士生导师。现任首都医科大学附属北京天坛医院神经外科颅底脑干病区主任,北美颅底外科协会会员,亚太颅底外科协会专家委员、医促会颅底外科协会秘书长、常委,中华医学会神经外科学分会神经肿瘤组委员,中国医师协会神经外科医师分会颅底专业组委员,北京医学会神经外科分会常委、秘书。颅底外科多学科协作组常委及秘书长。《中华神经外科杂志》、《中国临床神经外科杂志》审稿专家。
师从王忠诚院士及张俊廷教授,有丰富的临床经验,2014-2015年在美国哈佛大学医学院附属医院交流访问,师从著名颅底外科专家Al-Melfty教授。长期以来从事颅脑肿瘤的基础和临床研究,对于脑膜瘤、垂体瘤、胶质瘤、神经鞘瘤、脊索瘤、海绵状血管瘤、血管母细胞瘤、颈静脉球瘤以及其它颅脑疑难复杂肿瘤,有独到的诊疗经验。年手术量近800台,开展和改进了颅底肿瘤的多种手术入路,提高了颅底肿瘤的治疗水平。发表学术论文二十余篇,主持并参与多项“十二五”、“973”、“863”、“国自然”及省部级课题,多次获得中华医学奖和北京市科技进步奖。在国内颅底外科手术治疗方面,处于领先水平。
病史简介
男性,24岁
主诉:间断性头痛10年,左耳听力丧失3年
神经系统查体:神清语利,双瞳左:右=2.5:2.5mm。面纹对称,伸舌居中。左耳四肢肌力肌张力未见异常,共济(-)病理征(-)
既往史及家族史(-)
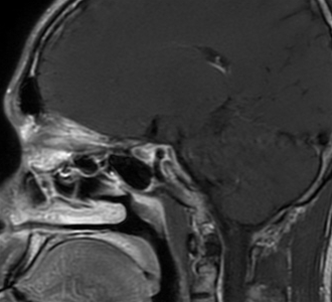
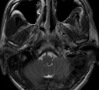
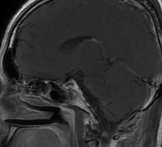
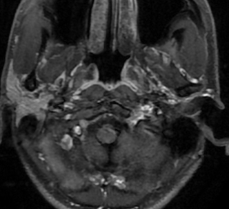
术前影像
入院后行术前检查,核磁共振显示:斜坡偏左占位,脑膜瘤可能性大。




术前诊断
左侧斜坡脑膜瘤
手术经过
患者取右侧卧,头架固定。常规消毒后铺巾,行左侧耳后发髻内半弧形切口切开皮肤、皮下、分离肌肉及骨膜,牵开器牵开,暴露颞骨枕骨及乳突,颞骨钻1孔,铣下幕上下联合骨瓣一枚,充分分离乙状窦后再铣下乳突皮质骨瓣一枚。硬膜张力中等,四周硬脑膜悬吊,显微镜下充分磨除乳突气房及部分骨性迷路,骨蜡严密封闭。幕上及幕下剪开硬膜,结扎岩上窦,剪开小脑幕并翻转悬吊硬膜。
于显微镜下抬起颞叶,放出部分脑脊液后脑压下降。见肿瘤位于左侧斜坡中段,基底位于斜坡,色灰红,质地略韧,供血丰富。肿瘤包绕外展神经、内听动脉、基底动脉及左侧小脑前下动脉。肿瘤与左侧桥脑腹侧粘连紧密。先阻断肿瘤部分基底,肿瘤减压后延肿瘤周边分离,完整保护桥脑腹侧静脉。再阻断其余肿瘤基底,锐性分离外展神经、内听动脉、基底动脉及左侧小脑前下动脉,分块完整切除肿瘤,以上结构给予完好保护。
肿瘤切除后可见左侧滑车神经、三叉神经、外展神经、面听神经、后组神经、小脑前下动脉、基底动脉及双侧椎动脉清晰显示。术腔止血确切,创面贴附速即纱,冲洗清亮,与护士清点棉条纱布等无误后,人工硬脑膜修补缝合硬脑膜,骨瓣以1枚盖孔板及1枚钛片拼接后以3枚钛片固定于颅骨。逐层缝合肌肉,筋膜,皮下及头皮。手术中出血约300ml,术毕安返ICU。

切口及体位

双骨瓣开颅

磨除部分迷路

开颅暴露范围

结扎岩上窦

剪开小脑幕

阻断肿瘤基底

分离脑干腹侧静脉

分离外展神经

分离内听动脉

分离基底动脉

滑车神经 乙状窦

三叉神经

外展神经

面听神经

后组神经

椎动脉

基底动脉

小脑前下动脉

关颅过程
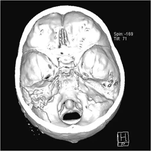
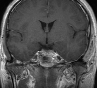
术后影像






术后CT磨除范围

术后颅骨表面重建
讨论
岩斜区脑膜瘤位置深在,暴露相对困难,对显微外科操作基本功要求较高。肿瘤常包裹各颅神经、基底动脉及分支,有时肿瘤与血管神经结构粘连紧密。因此,此类肿瘤处理仍较为棘手。手术治疗的关键为入路的选择、显微操作的技巧及手术策略的制定。
北京天坛医院近25年来收治岩斜区脑膜瘤近900例,随着时代的发展岩斜区脑膜瘤入路也在不断向更个体化及更加微创化演变。但入路选择的原则没有变,即根据肿瘤生长方式及术者经验习惯,最大范围的暴露病灶,变深部肿瘤为浅部肿瘤。
90年代之前以传统颞枕入路为主,90年后我们开展了乙状窦前入路,成为岩斜区脑膜瘤的最常用手术入路。而2000年之后在结合国外文献基础上,我们引入了颞下经岩前入路,并已经成为目前岩斜区脑膜瘤最主要的手术入路。本组岩斜脑膜瘤数据统计,近五年来颞下经岩前入路比例约占82%,乙状窦前经入路比率不足15%。颞下经岩前入路创伤小有特有优势,适用于基底位于斜坡偏上,向中颅窝底方向生长肿瘤。
但对于基底位于全斜坡或肿瘤巨大广泛累及中后颅窝病例,乙状窦前入路仍是目前主要的手术入路。本例肿瘤体积虽然不大,但基底较低,位于中斜坡桥延沟附近,颞下经岩前入路即使磨除岩尖,暴露起来仍相对较为困难。采用乙状窦前经部分迷路入路,磨除部分骨性迷路,可更为充分的暴露肿瘤基底,提供了更为广阔的视野,直视下处理肿瘤与颅神经、基底动脉分支之间的粘连,更为安全。
乙状窦前入路作为颞下经岩前入路的有益补充,仍发挥着不可替代的作用。乙状窦前入路应根据肿瘤位置而个体化设计,本例肿瘤仅局限于斜坡,故仅需暴露后路窝乙状窦前经迷路的空间即可,对中颅窝不必过多暴露。因此切口及骨窗均按肿瘤暴露所需要做相应的调整,做到更微创和个体化。
纯熟的显微外科操作技巧在岩斜区脑膜瘤手术中尤为重要。显微操作的要点为锐性分离。以显微剪刀为主的锐性分离可最大程度保留肿瘤与神经组织之间的蛛网膜界面,可避免盲目牵拉所致的穿支血管断裂或神经功能损伤。辨认并保持肿瘤与脑组织界面可提高分离效率,事半功倍。
本例外展神经被肿瘤包裹其中,先在外展神经进入斜坡硬膜处锐性分离,此处神经位置固定容易辨认,然后顺势分离外展神经脑池段,最后使其完整保留。本例肿瘤与脑干腹侧静脉之间的分离、内听动脉的分离、基底动脉的分离均采用显微剪刀锐性分离,使得创伤尽可能小。岩斜脑膜瘤常包绕基底动脉及桥脑穿支血管,分离至斜坡方向时应格外小心,避免灾难性后果。
推荐的手术操作的策略为阻断肿瘤部分基底-肿瘤部分减压-分离周边结构三者轮替进行。一次性完整全阻断基底会因空间狭小视野不清而极易至血管神经损伤。肿瘤部分减压后可增加暴露空间并使得分离时更为容易。此外,术中可先处理距脑池近的肿瘤以便充分释放的脑脊液,获得更多操作空间。必要时可在剪开硬膜后先行脑室穿刺以减少脑组织的牵拉。
总而言之,合理的入路选择、娴熟的显微外科操作技巧和合理的手术策略是确保岩斜区脑膜瘤手术效果的关键。术者应熟练掌握,以期达到良好的预后。
参考文献
1. Chanda A, Nanda A. Partial labyrinthectomy petrous apicectomy approach to the petroclival region: an anatomic and technical study. Neurosurgery. 2002 Jul;51(1):147-59; discussion 159-60.
2. Sekhar LN, Schessel DA, Bucur SD, Raso JL, Wright DC. Partial labyrinthectomy petrous apicectomy approach to neoplastic and vascular lesions of the petroclival area. Neurosurgery. 1999 Mar;44(3):537-50; discussion 550-2.
3. Fournier HD, Mercier P, Roche PH. Surgical anatomy of the petrous apex and petroclival region. Adv Tech Stand Neurosurg. 2007;32:91-146. Review.
4. Horgan MA, Delashaw JB, Schwartz MS, Kellogg JX, Spektor S, McMenomey SO.Transcrusal approach to the petroclival region with hearing preservation.Technical note and illustrative cases. J Neurosurg. 2001 Apr;94(4):660-6.
5. Morisako H, Goto T, Ohata K. Petroclival meningiomas resected via a combined transpetrosal approach: surgical outcomes in 60 cases and a new scoring system for clinical evaluation. J Neurosurg. 2015 Feb;122(2):373-80.
6.Kusumi M, Fukushima T, Mehta AI, Aliabadi H, Nonaka Y, Friedman AH, Fujii K.Tentorial detachment technique in the combined petrosal approach for petroclival meningiomas. J Neurosurg. 2012 Mar;116(3):566-73.
往期回顾




