今天为大家分享的是《颅脑创伤-神经重症病例周刊》第五十六期,由辽宁省血栓病医院神经外科张旭医生带来的:基底节区高血压脑出血内镜血肿清除2例,文末由中国人民解放军总医院神经外科陈晓雷教授对病例做出了精彩点评,欢迎阅读、分享。
病例一
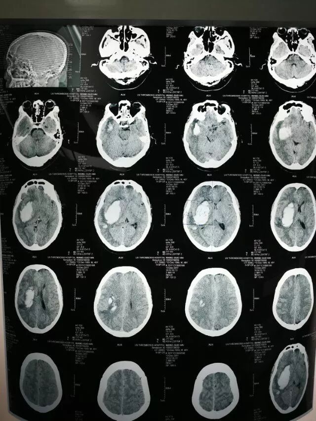
患者男性,48岁,脑出血发病2小时入院。神志模糊,继发脑疝,头CT:右侧基底节出血量约60毫升。


全麻下行内镜下血肿清除术,术前定位,经额入路。

马蹄型瓣,骨膜保留。

打开硬膜,穿刺血肿腔。

放置套筒(北京301亿元陈晓雷主任专利)

放置到血肿腔

内镜下清血

硬膜修补

骨瓣大小

骨瓣还纳

皮瓣缝合

术后第一天复查
病例二
患者男性,53岁,以右侧基底节出血为诊断入院,量约50毫升。


术前片子








术中定位



术后第一天复查,患者清醒,言语正常。
精彩点评
高血压脑出血是常见病,多发病之一。距统计,我国出血性卒中的发病率居全球前列[1],同时也是全球卒中负担最重的国家之一[2],这其中,高血压脑出血占的比例相当高。因此,高血压脑出血的防治应引起大家的足够重视。
近年来,随着内镜设备和技术的进步,也伴随着新型的内镜辅助器械的出现,内镜导引器(通道)辅助高血压脑出血的内镜治疗逐渐成熟。该方法有如下优点:
1. 切口,骨瓣,脑皮层切口均明显小于传统开颅术,创伤较小。
2. 因切口及骨瓣较小,因此,可以在较短时间内(通常15-20分钟)即可到达血肿腔,并开始吸除血肿进行脑实质减压,这对减少颅内高压和脑疝的时间是非常有帮助的。
3. 手术通道是通过穿刺血肿腔后扩张穿刺通道形成,而不需要吸除通道上的脑组织,对手术通道周边的脑组织的损伤较少。
4. 在手术过程中,通道可以保护周边脑组织,避免了手术器械进出时对手术通路周边脑组织的误伤。
此外,还有一些未发表的研究数据提示使用内镜导引器辅助的内镜血肿清除术有可能对血肿腔周边的重要白质纤维束损伤较小,从而能降低患者的术后致残率。
上面两个病例较好的使用了内镜导引器辅助,进行内镜血肿清除。
优点如下:
1. 病例选择较好。这两个病例是较典型的基底节区脑出血,量约50-60ml,且CT影像上血肿边缘较锐利,这类病例是很适合进行内镜治疗的。相反,如出血部位不典型,则需考虑其它脑血管病(如动脉瘤)导致脑出血,需要进行CTA或DSA进一步确认出血原因。如血肿量过大,已是脑疝晚期,则手术价值不大。如血肿边缘毛糙,或有多个散在的小卫星出血灶,则因考虑患者有无凝血功能障碍(病理性或药理性),需谨慎手术。因此,进行内镜血肿清除术,需严格掌握手术适应症。
2. 手术的开关颅过程较规范。此类手术,因骨瓣较小,硬膜缝合是比较困难的。但是硬膜的水密缝合非常重要,对于减少术后皮下积液和降低感染率都有很大作用,需要仔细耐心进行。而且缝合硬膜时,已经是血肿清除完毕,脑组织获得减压之后,不再需要分秒必争,完全可以从容进行。硬膜缝合完毕后,我们建议尽量将骨瓣复位并固定,除美容的考虑外,还可以提供硬膜外的支撑力,对减少局部皮下积液有帮助。
3. 手术过程的主要步骤均有图片和说明,资料留存较齐全,对教学和交流有帮助。两例术后的CT影像都很满意,估计患者的恢复也会较好。
说完优点,再谈一下不足之处:
1. 第二例选取了额部的小弧形切口,这种方式,虽然在骨瓣成形时,稍稍方便操作,但在后期,如果患者需要进行二期去骨瓣减压,则不便延长成标准额颞大骨瓣切口。须知,“伤疤是外科医生留给患者的终生纪念。”。一个形似“金拱门”的“M”形切口实在有失美观。因此,我们推荐,做额部纵行直切口(长约4cm),这样,即使需要二期手术去骨瓣减压,也很方便向后延长并向耳前弯曲延伸,成为一个额颞问号形切口。
2. 一些展示方面的细节注意不够,例如,在展示切口,骨瓣等需要有长度,大小信息的图片时,应附有准确标注的尺子,而不能拿脑穿针,注射器等物品代替。
3. 血肿的大小,应尽量使用更准确的方法进行计算,以便后续的数据统计和科学研究。这方面,我们已经开发了使用免费开源软件进行血肿精确定量分析的方法[3],各位读者可以参考。这种血肿精确量化方法不仅有利于准确评估血肿体积,还对在不同中心之间统一标准和对比疗效有很大帮助。
综上所述,这两例病例较好地展示了基底节区高血压脑出血内镜血肿清除的技术路线和主要手术步骤,病例选择得当,手术效果良好,值得鼓励。
作为一种新兴的外科治疗方法,我们还需要进行更多的研究工作去客观评估内镜血肿清除的临床疗效和长期预后,为此,在张亚卓所长的倡议和扶持下,我们已经开始了一个多中心的前瞻随机研究[4],希望能最终提供高级别的循证医学证据,为科学推广内镜技术做出更大贡献。
陈晓雷 教授
中国人民解放军总医院神经外科
参考文献
[1]Krishnamurthi RV, Moran AE, Feigin VL, et al. Stroke Prevalence, Mortality and Disability-Adjusted Life Years in Adults Aged 20-64 Years in 1990-2013: Data from the Global Burden of Disease 2013 Study[J]. Neuroepidemiology, 2015,45(3):190-202. DOI: 10.1159/000441098.
[2]Wang W, Jiang B, Sun H, et al. Prevalence, Incidence, and Mortality of Stroke in China: Results from a Nationwide Population-Based Survey of 480 687 Adults[J].Circulation,2017,135(8):759-771. DOI: 10.1161/CIRCULATIONAHA.116.025250.
2017,135(8):759-771. DOI: 10.1161/CIRCULATIONAHA.116.025250.
[3]Xu X, Chen X, Zhang J, et al. Comparison of the tada formula with software slicer: precise and low-cost method for volume assessment of intracerebral hematoma[J]. Stroke, 2014,45(11):3433-3435. DOI: 10.1161/STROKEAHA.114.007095.
[4]Xu X, Zheng Y, Chen X, et al. Comparison of endoscopic evacuation, stereotactic aspiration and craniotomy for the treatment of supratentorial hypertensive intracerebral haemorrhage: study protocol for a randomised controlled trial[J]. Trials, 2017,18(1):296. DOI: 10.1186/s13063-017-2041-1.
【颅脑创伤-神经重症病例周刊】往期回顾




