今日与大家分享的是《正海-妙术视界》第八十七期,由首都医科大学宣武医院神经外科颅底组(China-INI 颅底中心)组长鲍遇海教授带来的精彩手术讲解:“前庭神经鞘瘤的膜及包膜的手术 意义”。欢迎观看、分享。
文末附宣武神外颅底组简介及进修招生信息。
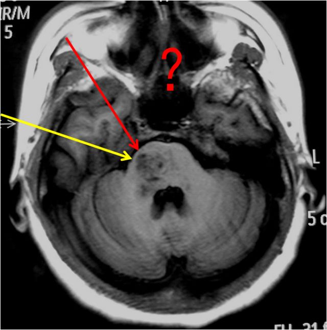
鲍遇海教授:前庭神经鞘瘤的膜及包膜的手术 意义
坐位听神经瘤切除术视频(摘自鲍教授上述讲课)




















鲍遇海教授:坐位听神经瘤切除术


宣武神外颅底组简介&招生

精研前行,以情怀之心去探索、发现...
颅底疾病全覆盖
手术体位及入路
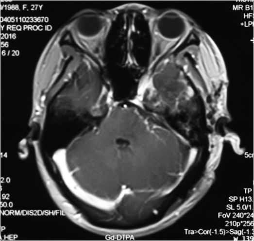
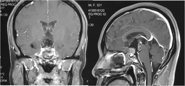
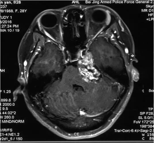
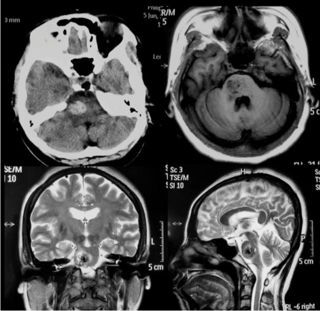
听神经瘤
手术体位个性化选择
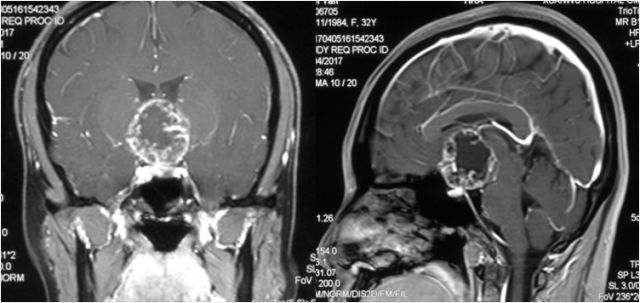
嗅沟脑膜瘤
岩斜脑膜瘤
脑桥海绵状血管瘤
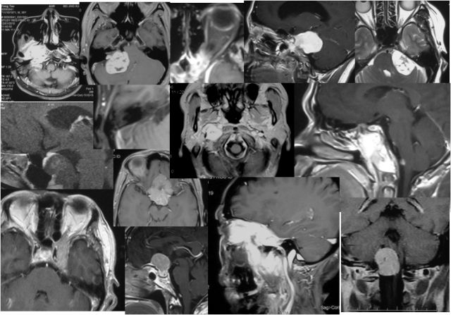
颈静脉孔区肿瘤
颈静脉孔内外沟通型神经鞘瘤
内镜经口+乙状窦后入路显微手术 分期手术
幕上下联合入路
颈静脉球瘤
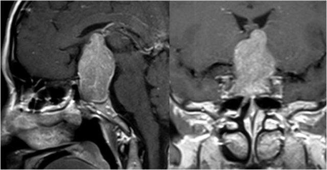
内镜经鼻蝶切除垂体瘤
术前
术后
内镜经鼻蝶切除颅咽管瘤
术前
术后
面神经-舌下神经降支吻合术 修复面瘫
微血管减压术
Samii临床神经解剖实验室
颅颈交界区显微解剖
小脑幕切迹显微解剖
前床突区域显微解剖
眶尖显微解剖
白质纤维解剖
内镜解剖
宣武神外颅底组特色
1. 内镜、显微镜两种技术无缝对接
2. 颅底解剖实验室装备精良为临床提供基础
3. 深入临床一线,手术操作机会多,收获大
4. 宣武神外亚专业齐全,整体优势明显
5. 训练规范,术前有预案,术中讲解,术后回顾
进修医生招生通知:
一、报名条件
1.具有医师资格证书和医师执业证书。
2.在2甲医院以上有神经外科2年以上工作经验
二、学制及招生人数
学制一年或半年,每年3月和9月入学,每期接受3-5人。颅底组进修后,报名参加Samii临床神经解剖学习班有优先权。
三、培训方式
直接管理患者,参加手术,系统学习各种颅底疾病的诊疗,同时学习显微技术和内镜技术,工作之余可随时到颅底解剖实验室观摩学习。
四、联系人及方式
梁建涛医生
电 话:18612776395、13439661708
微信号:liangjt1110864
邮 箱:liangjt0001@163.com
【正海-妙术视界】往期回顾
第二十四期:徐斌教授
第二十三期:朱巍、田彦龙教授
第二十二期:王林教授
第二十一期:洪涛教授团队
第二十期:贺世明教授
第十九期:张晓华教授团队
第十八期:刘振林教授
第十七期:张义教授
第十六期:钟东教授
第十五期:陈菊祥教授
第十四期:吴哲褒教授
第十三期:洪涛教授
第十二期:佟志勇教授
第十一期:王国良教授
第十期:蒋晓帆教授
第九期:骆纯教授
第八期:张俊廷教授
第七期:Hiroyoshi Akutsu教授
第六期:朱巍教授
第五期:于加省教授
第四期:吴劲松教授
第三期:徐斌教授
第二期:贺世明教授
第一期:钟平教授




























































