Top10 一种高位CEA方法
相关链接
简而言之,自己的学习感悟:一个概念、一种方法、一套理念。
其一,一个概念,即高位CEA。
何为高位?
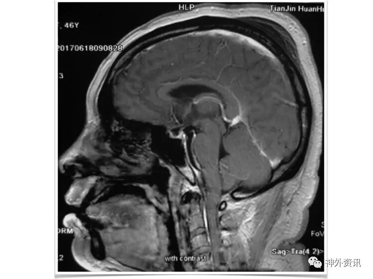
笔者的理解是:颈总动脉分叉部,位于下颌角水平以上(含下颌角水平)。此病例,颈内动脉狭窄部位,位于下颌角水平以上,接近颅底,属于高位CEA。
笔者认为,高位CEA手术的难点是:显露狭窄部位的远侧端(颅底侧方向)。
佟小光教授,在点评中谈及腮腺上翻、部分磨除下颌角、下颌骨上抬等基本方法,这些处处闪烁着“如何更好显露高位病变远端”的智慧。
断想,外科学通识,高位病变的处理,常常具有复杂性、挑战性。如高位胆管癌,病变越靠近肝门,手术也就越具有挑战性。又如,食管上段癌手术(主动脉弓后、弓上水平),吻合口在颈部,此高位病变的处理也极具挑战性。
笔者常理解脑血管外科中的“高位”为“远端”。
前后循环各血管分支远端的动脉瘤,手术容易吗?
远端迂曲,导管到位困难,有时被迫放弃介入手术。那么,远端动脉瘤处理,开颅手术就一定好做吗?其实也不尽然。想想DACA开颅手术,再想想PCA远端动脉瘤手术,这些手术亦是极具挑战性。
其二,一种方法,即腮腺上翻。
由腮腺上翻之“上翻”,念及颅底外科许多近似的词汇如“翻转、移位”等。
上颌骨翻转、椎动脉移位、面神经移位等技术,无一例外均是为更好的显露颅底、显露病变。
腮腺上翻,这四个字的背后,其实有许多丰富的内容。笔者认为,面神经穿茎乳孔出颅后,其面部各分支与腮腺的解剖关系、以及如何保护面神经分支,是术者在腮腺上翻过程中始终需要考虑的问题。
腮腺上翻,也是颌面外科的工作内容。
此病例,采用MDT(多学科协作)了吗?应该不会。
因为佟小光教授,在多年的显微解剖实践过程中,其对颌面部解剖的掌握亦是炉火纯青。
笔者认为,从某种意义上说,你的解剖做到了怎样的程度,你的手术也就能做到怎样的程度。
提高技艺本领,理性看待MDT。
其三,一套理念,即颅底精神、微创理念。
正如佟小光教授在点评中所述:高位CEA的处理可以参照颈静脉孔附近肿瘤的方法,全长的C1应该都可以处理。
笔者想用更通俗的话来理解此句:不怕高位病变,病变越高位、越靠近颅底,我越熟悉。这是颅底外科专家的能力自信、工作自信!
我们丧失了自信吗?这确实是每一个颅底外科医师始终要自我反省的终极之问。
又如点评中所述:颈襻的分支经常需要切断再吻合,增加显露。
笔者的理解是:当断则断,不犹豫;事后,再吻合神经,行走在重建修复之路。这一断一吻,使得手术流畅、完整,处处诠释着微创的精神。
念及,立体定向手术,当穿刺路径无法避开脑室系统,或者避开脑室会造成穿刺靶点欠理想时,那就痛痛快快地让穿刺路径穿行脑室,不犹豫。医生,坦然且勇敢地面对脑室出血的风险。手术步骤不犹豫,这也是能力自信、工作自信!
高位CEA,使用经鼻气管插管,而非经口气管插管,这需要广大中青年神经外科医师注意与重视。




Top9 枕骨大孔区腹侧脑膜瘤切除术
相关链接
运用远外侧入路成功施行枕骨大孔腹侧脑膜瘤切除术,是颅底外科医师走向成熟的标志之一。
此例经髁远外侧入路,一篇读罢,三声赞叹:
其一,切口。
拐杖样切口、类C型切口,是远外侧入路经常使用的切口形式。
此病例,虽依然使用拐杖样切口,但拐口的方向却另有特点:沿向内侧、正中白线。切口这样设计的好处在于:枕部厚厚的肌肉、肌群,向颈部正中、向内下方翻转,没有肌肉的阻挡,显露足够的空间,有利于椎动脉移位、枕髁磨除。
如果拐口方向是沿向外侧、乳突尖,枕部厚厚肌肉则常常需要拉钩或橡皮筋悬吊牵拉,以减少肌肉的阻挡,才便于显露椎动脉、枕髁等。
其二,后组颅神经保护。
正如佟小光教授点评所述:如果围绕椎动脉入颅部分切除肿瘤,所有操作都在后组颅神经下方,可以完整地保留神经。
笔者认为,枕大孔腹侧脑膜瘤切除手术,后组颅神经得到良好保护,减少术后气管切开,是衡量手术质量的重要标准之一。
如何做到后组颅神经保护?让我们回到显微神经解剖的基础认知:颅底动脉血管在颅神经的腹侧、腹内侧或腹下方。血管在神经腹侧,这是一个基本的解剖认知。想想椎动脉入颅后与后组颅神经的解剖关系,再想想后交通动脉在动眼神经腹内侧等等,深化基本认知,圣化为工作能力。
同时,枕大孔腹侧脑膜瘤,病变在后组颅神经的腹侧,这是针对该疾病的一个基本认知。
这样想来,便能理解佟教授以上的点评了。
怎么办?磨除枕髁,充分显露腹侧,便于保护后组颅神经。
青山一发是中原,经髁挺进极外侧!
其三,颅底技术组合。
为了达到硬膜外枕髁磨除,我们走了多少艰险又漫长的路?从切口设计、肌群翻转,到椎动脉移位。
为了达到后组颅神经保护,我们又走了多少艰险又漫长的路?从枕大池耐心放液、耗时的分块切除,再到实时的颅神经监测……,路漫漫兮,求索!
步步推进,步步确实,运用颅底技术组合的思维,看待手术入路,反思我们的行为。
某一颅底手术入路,可能切口很大,是瑕疵之处,但是运用颅底技术组合的思维,整体考量该手术入路,可能切口很大便不是瑕疵了。此时,切口大,就变成了必需。
佟小光教授,在全国讲学时,亦会讲到颅底技术组合,如眶颧入路+Dolenc三角磨除、 颞下入路+Kawase三角磨除等,这需要广大中青年颅底外科医师注意与重视,以便更好地学习与升华。
Last but not least.
此病例的手术切口大吗?是瑕疵吗?当然不是。
请读者留意其手术显露:按解剖层次,层层清晰推进。术毕,再按解剖层次,层层缝合。层次清晰,在筋膜间隙、肌间隙等施展拳脚,这其实是施展的才华!
What is “microneurosurgery”?
What is “minimally invasive”?
让我们带着这些思考,用奋斗的人生,幸福地拥抱新时代!





相关链接




