启事
“浙二神外周刊”不定期接收外院投稿,审核后发表。欢迎各专业同道联系我们,分享精彩病例、研究热点或前沿资讯。投稿请联系:shishi74@163.com
病史简介
患者,男性,28岁,因“进行性双眼视力下降14年伴复视1年”,经当地医院MRI检查,诊以“鞍上肿瘤”于2017年12月13日入院。
患者近14年来双侧视力进行性下降,尤以右侧为重,一直未予诊治。近年来出现复视。入院前数日在当地医院检查头颅MRI,提示“蝶鞍及鞍上肿块”。为求进一步诊治来我院。
入院查体:一般情况尚可,精神状态佳,体型偏胖,问答切题。双侧瞳孔等大正圆,直径约3mm,对光反射灵敏,双眼向外斜视,不能辐辏动作,双侧视力下降,视野受损(图1);另外,该患者第二性征明显,无须,阴茎短小,无阴毛。

图1. 视野检查结果,显示左侧颞侧视野缺损,右侧大部分缺失。
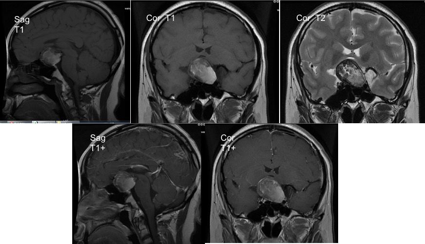
垂体增强MRI:鞍区见巨大类圆形混杂异常信号病灶,界限清,大小约39.7mm*28.4mm*33.2mm,以等短T1、稍长T2信号为主,病灶内信号不均匀,增强扫描病灶边缘局部轻度强化。垂体明显受压变扁,垂体柄及视交叉显示不清。第三脑室前下部受压,且鞍底骨质受压变薄。双侧海绵窦区结构未见异常 (图2)。

图2. 垂体MRI检查,显示鞍内肿瘤向鞍上发展,边界清
鞍区CT:鞍区内见软组织团块灶,平扫中间稍低密度,周边呈稍高密度,未见钙化灶,邻近骨质受压吸收(图3)。

图3. CT检查显示鞍区病变,未见钙化。
术前内分泌学检查:生长激素:<0.03ng/mL;睾酮:0.62nmol/L,其余均正常。
结合病史,术前科内讨论认为:首先考虑颅咽管瘤,垂体瘤不除外。
诊疗经过
2017年12月20日在全麻下行内镜辅助下经鼻鞍区肿物切除术,术中磨除鞍底骨质后,可见肿瘤,肿瘤包膜较厚,剪开包膜后可见黄色胶冻样内容物,质地稀软易碎,刮匙完整刮除内容物,包膜与周围组织粘连紧密,部分剪除(图4)。术中送两次标本冰冻,结果分别是:嗜伊红色变性坏死组织;囊壁样纤维增生组织。术后标本送病理检查。

图4. A.咬除鞍底菲薄骨质,显露肿瘤;B.切开鞍底硬膜,黄变泥沙样内容物涌出;C.切除肿瘤,瘤体色红,稀软易碎;D.进一步刮除残余黄变内容物;E.剥除肿瘤残存包膜;F.肿瘤完整切除,残腔未见明显出血。
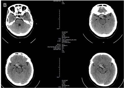
术后第三天复查鞍区CT及MRI,可见鞍内填塞物,未见出血或颅内积气等脑脊液漏等征象(图5)。


图5. A术后垂体增强MRI;B术后鞍区CT
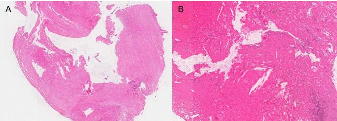
常规病理结果:鞍区胶原纤维囊壁样组织,局部间淋巴浆细胞浸润,未见内衬上皮,并见大量嗜伊红色变性坏死组织,无定形,伴胆固醇结晶,呈黄色肉芽肿样改变。免疫组化结果:EMA-,Vimentin部分+,PR-,S-100-,P53-,Ki67-,SMA-,Desmin-(图6)。

图6. A:H&E染色10X;B:H&E染色 20X 可见并见大量嗜伊红色变性坏死组织
UCLA病理会诊:见纤维组织,伴坏死细胞及丰富的陈旧性血肿,包括纤维素、胆固醇裂隙、巨细胞反应、含铁血黄素巨噬细胞和其他单核炎性细胞。建议需鉴别诊断的疾病为:垂体腺瘤卒中、坏死性/出血性颅咽管瘤、黄色肉芽肿和其他坏死性病变。
讨论
鞍区海绵状血管瘤最早由Sansone等在1980年首次报道[1],他们在一具因乳腺癌去世的女性尸体中行尸检时发现此类病灶。该疾病发病率极低,临床较为罕见,现有的文献报道均为手术或尸体活检时偶然发现[1-6]。
鞍区海绵状血管瘤大多起源于双侧的海绵窦内,在磁共振上可表现为T1低或等信号、T2高信号,且病灶边界清晰,同时病灶内可伴有多发点状信号[7],可与鞍结节脑膜瘤或神经鞘瘤相鉴别;部分病例,由于陈旧性血肿伴随含铁血黄素沉淀,磁共振上也可表现为T1及T2低信号病灶;个别病例磁共振亦可表现为T1和T2混杂信号,并伴增强不均、延迟增强等表现[8]。此外,如怀疑为鞍区海绵状血管瘤,尤其肿瘤偏向一侧海绵窦时,还可行CTA或DSA检查,病灶因富含细小不成熟的血管而表现为微弱的静脉期延迟显像[9,10],以排除动脉瘤等可能。因此,术前诊断鞍区海绵状血管瘤需结合多种影像检查手段,并加以综合分析。
此外,该疾病还需与其他鞍区富血管类疾病鉴别,如鞍区颗粒细胞肿瘤,此类肿瘤起源于垂体细胞,质地偏硬,血管丰富,手术切除困难;另外,还需与垂体腺瘤伴卒中鉴别,镜下除可见出血坏死组织外,还可见遭破坏的排列混乱的肿瘤上皮细胞;而海绵状血管瘤镜下可见大小不一的血管组织,中间夹杂许多红细胞。Al-Sharydah等报道一例鞍区海绵状血管瘤,术前MRI显示病灶为混合信号,增强不均匀(图7);术后病理提示:病灶内可见大量直径大小不一的血管,间质内可见大量红细胞及碎片,高倍镜下显示血管壁菲薄且未见任何胶质样细胞(图8)[8]。针对本病例,其术前MRI显示病灶内信号不均匀,增强扫描病灶边缘局部轻度强化,与该报道病例术前影像有所不同,我们在术前判断可能是颅咽管瘤或巨大垂体腺瘤;但术中,我们也发现病灶中大量黄色泥沙样坏死组织;病灶切除后,周围结构,诸如鞍隔、海绵窦内侧壁等解剖结构显示清楚,故与传统的颅咽管瘤或垂体瘤不一样;术后经病理检测,提示内含大量纤维组织,伴坏死细胞及丰富的陈旧性血肿,尽管未见明确的血管样结构,但亦未见明确的肿瘤上皮细胞,结合患者起病缓、病程长等特点,综合术中镜下及病理所见,我们倾向诊断为鞍内海绵状血管瘤,实属罕见。

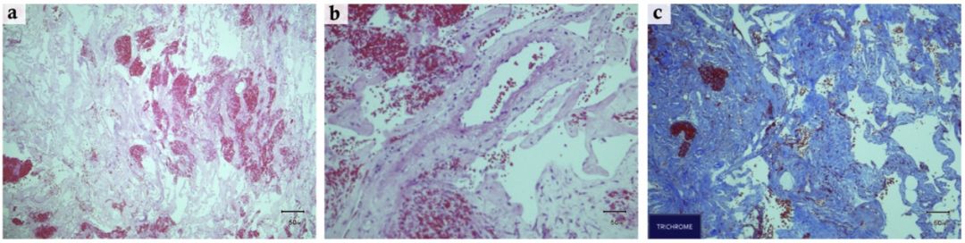
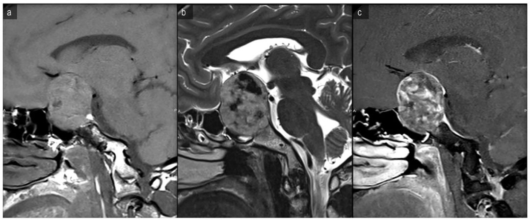
图7. Al-Sharydah报道的鞍区海绵状血管瘤病例术前MRI

图8. Al-Sharydah报道的鞍区海绵状血管瘤病例术后病理结果
鞍区海绵状血管瘤患者症状不尽相同,可表现为头痛、抽搐、局部神经系统功能障碍等,部分患者并无临床症状,而是在体检时偶然发现。本例患者病程相对较长,除有视力进行性下降和眼球活动障碍外,患者第二性征不明显,性激素和生长激素明显偏低,但患者并未在意,直至视力进一步下降才来院就诊。因而提示该病灶内曾有过多次少量的出血,符合海绵状血管瘤的自然病程。
在治疗方面,部分鞍区海绵状血管瘤病灶可随瘤内血肿及坏死组织的吸收而逐渐变小,除对症治疗垂体功能低下外,可随诊观察[2];如果病灶继续扩大,建议需进一步治疗,手术治疗包括常规开颅手术[5,11]及经鼻入路切除[8],但术后往往容易出现出血等相关并发症[4];此外,还可以常规手术结合立体定向放射治疗,一般对该类疾病疗效显著且术后并发症较低[12,13]。
鞍区海绵状血管瘤如发生出血,可继发垂体功能低下,表现为皮质醇功能不全、甲状腺功能低下或中枢性尿崩,往往由出血压迫垂体柄中相关血管而导致。手术或卒中后垂体前叶功能的恢复完全依赖患者术前前叶激素的储备,术后或发病后生理剂量补充糖皮质激素对于恢复此类患者的垂体功能有一定帮助[14]。
总之,由于缺乏大样本长期随访观察数据,鞍区海绵状血管瘤的自然病程史、预后、手术及放疗等治疗手段的疗效目前还十分确定,有待进一步研究。本病例术前MRI、术后病理所见与现有报道的鞍区海绵状血管瘤不完全相同,但与鞍区其他典型病变,诸如:垂体腺瘤、颅咽管瘤、垂体卒中等完全不同,故该病例的最终诊断虽然为海绵状血管瘤,但仍不排除其他病变可能。在此报道该病例,我们也希望各位同道能予帮忙鉴别诊断,并批评指正。
往期回顾
浙二神外周刊(一百三十一)--以腰椎播散灶为首发症状的颅内室管膜瘤一例
浙二神外周刊(一百三十)--亚裔学生的美国神经外科医师成长之路(来自UCLA华裔学生的经历分享)
浙二神外周刊(一百二十九)--开颅术后继发硬脑膜动静脉瘘一例
浙二神外周刊(一百二十八)--sternberg管未闭脑膜脑膨出致脑脊液鼻漏一例
浙二神外周刊(一百二十七)--中药皂角刺致颅内脊索瘤术后残余肿瘤萎陷?
浙二神外周刊(一百二十六)--利用复合手术室多学科合作处理头部刀刺伤一例
浙二神外周刊(一百二十五)--经静脉入路栓塞深部脑动静脉畸形一例
浙二神外周刊(一百二十四)--颅咽管瘤术后并发尾状核、壳核脱髓鞘1例
浙二神外周刊(一百二十三)--库欣病合并全身多发占位性病变一例
浙二神外周刊(一百二十二)--经皮脊柱内镜手术切除腰椎巨大滑膜囊肿一例
浙二神外周刊(一百二十一)--孤立性室管膜下巨细胞星形细胞瘤一例
浙二神外周刊(一百二十)--伴有ALK融合基因的颅内转移性肺神经内分泌癌一例
浙二神外周刊(一百一十九)--静脉入路栓塞舌下神经管区硬脑膜动静脉瘘一例
浙二神外周刊(一百一十八)--儿童中央区病灶致顽固性癫痫外科手术一例
浙二神外周刊(一百一十七)--丙戊酸钠相关高血氨脑病一例
浙二神外周刊(一百一十六)--儿童眶尖-海绵窦-颞下窝病变一例
浙二神外周刊(一百一十四)--高血压性脑干出血治疗--浙二的观点
浙二神外周刊(一百一十三)--“复合高压锅技术”治疗横窦区硬脑膜动静脉瘘一例
浙二神外周刊(一百一一十二)--应用新型动脉瘤内栓塞装置(WEB)栓塞前交通未破裂动脉瘤一例
浙二神外周刊(一百一十一)--儿童四脑室室管膜瘤术后并发胃瘫综合征一例
浙二神外周刊(一百零八)--新发现AIP基因突变位点的家族性单纯性GH瘤家系一例
浙二神外周刊(一百零七)--自发性低颅压致双侧硬膜下血肿一例
浙二神外周刊(一百零六)--张建民教授牵头国家重点研发计划:“基于脑机接口的脑血管病主动康复技术研究及应用”正式启动
浙二神外周刊(一百零五)--颅骨板障表皮样囊肿合并慢性硬膜外血肿一例
浙二神外周刊(一百零四)--内镜辅助显微手术半椎板入路切除儿童颈髓腹侧肠源性囊肿一例
浙二神外周刊(一百零三)--颅骨缺损修补术后并发急性脑肿胀一例
浙二神外周刊(一百零一)--胶质瘤的病理特征与位置分布的关系
浙二神外周刊(九十九)--垂体生长激素腺瘤卒中伴发脑梗塞一例
浙二神外周刊(九十六)--桥小脑角脑膜瘤伽马刀后并发PICA血栓性动脉瘤一例
浙二神外周刊(九十四)--颅内表皮样囊肿自发破裂伴血清CA-199显著升高一例
浙二神外周刊(九十二)--鞍上毛细胞黏液样星形细胞瘤伴自发性出血一例
浙二神外周刊(九十一)--2017西湖神经外科论坛成功召开!
浙二神外周刊(九十)--以尿崩症为首发表现的Erdheim-Chester病一例并文献复习
浙二神外周刊(三十七)--垂体瘤伴发鞍结...
浙二神外周刊(三十六)--脑膜血管瘤病...




