今天为大家分享的是由上海交通大学医学院附属新华医院神经外科唐寅达医师翻译,《神外资讯》常务编辑、海军军医大学附属长征医院神经外科徐涛医师审校的:硬膜外前床突切除术(Extradural Clinoidectomy),欢迎观看、阅读。
extradural Clinoidectomy-met To Clinoid
Tuberculum sella mening after endoscopic surg-Extradural clinoidectomy
Optic foramen meningioma-Extradural clinoidectomy
概论
前床突切除术是脑血管及颅底外科中的重要技术之一,其最根本的意义在于充分显露近端颈内动脉、视神经、蝶鞍和中央颅底。切除前床突可显露颈内动脉眼动脉段的近端和床突段,并同时轮廓化视神经近端;并可通过安全地部分游离、松解和移位颈内动脉和视神经,扩大视神经-颈内动脉间隙和颈内动脉-动眼神经间隙,进而更好地显露脚间池。
目前的争议主要在于运用该项技术的适应症,以及关于硬膜外或者硬膜内进行操作的利弊。各种改良术式的报道也使得该技术变得“复杂化”,从而消磨了部分神经外科医师对于掌握该技术的热情。本章节的目的就在于阐明上述问题。
硬膜外前床突切除术的适应症和优势有:
1. 在硬膜外间隙对蝶骨嵴内侧部和前床突进行充分骨质磨除,硬脑膜起到了保护硬膜内神经血管结果的作用。
2. 对于有适应症的病变,磨除的技术和范围很少有变异。
3. 该技术尤其适用于蝶骨嵴内侧型脑膜瘤,术中早期即可实现控制肿瘤基底和视神经减压的目的,可切除肿瘤浸润化的前床突,而对视神经的早期减压也可减少在处理肿瘤主体过程中对神经的牵拉损伤。
4. 该技术也是经硬膜外中颅底入路处理海绵窦病变的步骤之一。
硬膜内前床突切除术的适应症和优势有:
1. 该技术需要切除的前床突骨质较少,但磨除骨质时,有损伤周边硬膜内结构的风险。
2. 对于有适应症的病变,磨除的技术和范围有很大的选择性。
3. 该技术适用于眼动脉和床突旁动脉瘤的夹闭,磨除范围可根据实际需要而定。由于直视硬膜内结构,故可避免导致动脉瘤术中破裂的操作。前床突部分切除术在处理近端后交通动脉瘤时也是必须的。
硬膜内前床突切除术引起脑脊液鼻漏的概率较硬膜外操作小,原因一在于,早期即进入硬膜内探明病变解剖,可避免一部分不必要的前床突切除术;原因二在于,根据具体需要来磨除部分前床突,避免了整个前床突的切除。因此,硬膜内操作可避免不必要的骨质磨除,减少破坏蝶窦甚至是筛窦的机会。另外,关于动眼神经损伤的风险,也是硬膜内较硬膜外操作略为安全,其原因可能在于前者能在早期即磨除前床突内侧的骨质。
最终,术者的偏好和熟悉度也是决定硬膜外还是硬膜内进行操作的重要因素。笔者偏向于硬膜外,原因就在于我对这一入路更为熟悉。我也偏向于尽量避免在硬膜内进行磨钻的操作,以减少损伤周围结构的风险。
术前注意事项
建议在硬膜外前床突切除术前行腰椎引流,因为在术中早期,无法通过打开硬脑膜释放脑脊液来降低颅压,而这将妨碍硬脑膜的剥离。术前CT需评估前床突气化程度,这将为术中填塞骨质缺损提供依据,以避免脑脊液漏。
气化是前床突最常见的解剖变异,在拟行床突旁动脉瘤手术夹闭的患者中,气化者可多达28%。气化腔可由鼻旁窦扩展而来,筛窦气房可延续入前床突前根,蝶窦气房可进入视柱,或两种情况同时存在。目前最多见的气化部位是前根。另外,此种变异可见于单侧或双侧。
除了评估前床突气化程度,薄层CT的另一目的是明确有无床突韧带的骨化,尤其是颈内动脉床突韧带和床突间韧带。前者骨化后形成一连于前床突尖端至中床突的骨桥,与前、中床突构成一封闭或不封闭的骨环,即所谓的颈内动脉床突孔(caroticoclinoidal foramen ,CCF)。该结构可见于17%的病例,可以单侧或双侧。
床突间韧带骨化后即形成床突间骨桥(interclinoidosseus bridge,IOB)。该结构是前床突解剖变异中最少见的情况,发生率约为2.8%。这些变异是前床突切除术的绝对指征,而且也需要同时联合硬膜外和硬膜内入路进行操作,以避免颈内动脉或视神经、动眼神经的严重损伤。
动脉瘤顶与前床突硬脑膜相粘连是硬膜外前床突切除术的禁忌症。此外,动脉瘤顶侵蚀床突骨质,以及存在颈内动脉床突孔,均需要使用硬膜内技术。
术前CT血管成像需明确动脉瘤颈是否累及颈内动脉远环的近端侧。尽管通过切除前床突、打开远环,可获得几毫米的额外空间来暴露瘤颈,但对于一些瘤颈显著扩张而深入海绵窦内的情况,开颅显微夹闭还是很难实施的。

图1. 冠状位CT血管成像,可见左侧眼动脉瘤瘤颈而非瘤顶已侵蚀部分前床突,须行前床突切除术来暴露瘤颈。

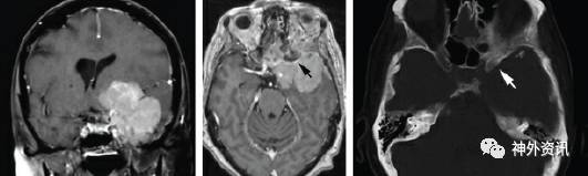
图2. 蝶骨嵴内侧型脑膜瘤,肿瘤浸润引起前床突骨质增生的MR影像(黑色箭头)和CT影像(白色箭头)。
手术解剖
这一区域的界限如下:上界和外侧界为额颞部硬脑膜,前界和下界为眶筋膜和视柱。后界的内下部为颈内动脉床突段。后界的外下部,向前穿行入眶上裂的神经血管结构覆盖于一层膜性结构的深面。
与前床突区域相关的硬脑膜结构包括镰状韧带、远环、颈内动脉动眼神经膜。远环界定了颈内动脉进入硬膜内腔的分界。远环所在平面,从前向后、从外向内,呈现向下倾斜的角度。这一倾斜角度在颈内动脉内侧产生一憩室,即为颈动脉窝。游离视神经和颈内动脉,需分别切开镰状韧带和远环。
动眼神经穿行于海绵窦上外侧壁内,在前床突下方向前进入眶上裂。因此,在切除前床突时,须避免向下方的剧烈操作。

图3. 前床突和鞍区的骨性解剖系列图,可见周边结构与前床突的骨性关系。在D中,上面观显示了左侧的完全性床突间骨桥(Intercl. Bridge),同时合并右侧的完全性颈内动脉床突孔(Caroticoclin. For.)(红色箭头)。Ant.: 前; Car颈内动脉; Clin.:床突; Em. V.: 导静脉; Fiss.: 裂; For孔; Gr.:大; Lac.: 泪腺; Less.: 小; Mid.: 中; Orb.: 眶; Pit.: 垂体; Post.: 后; Sphen.: 蝶; Sulc.: 沟; Sup.: 上; Tuberc.: 鞍结节。(感谢AL Rhoton, Jr教授对图片的授权)

图4. 前床突与床突韧带的详细解剖图。左侧可见一完全性颈内动脉床突孔,同时合并同侧的不完全性床突间骨桥。前床突尖端(红色)有一骨桥(绿色)与中床突(黄色)相连。蓝色标记的骨棘即为指向后床突的不完全性床突间骨桥。Ant.: 前; CCF: 颈内动脉床突孔; Interclin.: 床突间。(感谢AL Rhoton, Jr教授对图片的授权)

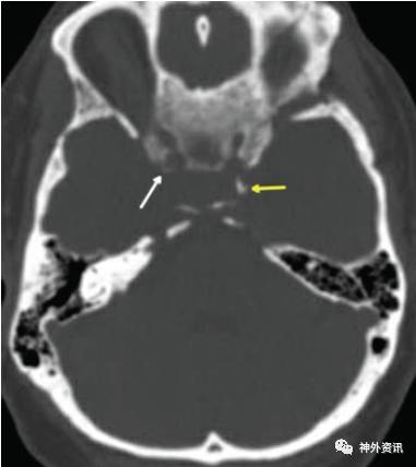
图5. 薄层CT(骨窗)显示一不完全性颈内动脉床突孔(白色箭头)和一完全性床突间骨桥(黄色箭头),该例患者为蝶骨嵴内侧型脑膜瘤。

图6. 前床突切除术后获得的暴露。注意颈内动脉床突段的广泛暴露(左图)。视神经与前床突紧紧相邻,这使得术中磨除前床突时易损伤视神经。床突间隙的上界和外侧界为额颞部硬脑膜。眶筋膜、视柱和蝶骨构成前界和下界。
去除其他骨性及膜性结构后可显露其他相关的重要结构(注意走行于海绵窦外侧壁内的颅神经)(右图)。去除前床突时有损伤这些结构的风险。(感谢AL Rhoton, Jr教授对图片的授权)
由于该区域神经血管结构非常密集,因此通过移位某些神经和关键血管来扩大手术间隙显得尤其重要。对于这些技术的学习,主要的难点在于理解前床突和周围重要结构的三维立体结构。本文将尽力理清这些复杂的解剖关系。
接下来的图片将重点展示离断前床突所必须的三个步骤:
1. 沿蝶骨嵴内侧部磨除,以离断前床突外侧部;
2. 沿眶顶壁磨除,以离断前床突前部和内侧部;
3. 在前床突内部行“蛋壳化”磨除,使其与前下方的视柱相离断。
完成上述三个步骤后,蛋壳化的前床突可移位并从各床突韧带上游离下来。在眶上裂层面,海绵窦外侧壁的外层和内层可被区分,并可小心地将两者钝性分离。内层包含有颅神经,外层即为颞窝硬脑膜的脑膜层。在眶上裂附近,硬脑膜的骨膜层与眶筋膜的骨膜层相延续。因此,眶上裂外侧界的硬脑膜返折实质上由眶筋膜和颞窝硬脑膜融合而成。

图7. 步骤一,沿蝶骨嵴内侧部磨除,以离断前床突外侧部,并轮廓化眶上裂(绿色)。(感谢AL Rhoton, Jr教授对图片的授权)

图8. 步骤二,沿视神经管顶壁及额骨内侧(粉色)磨除,以离断前床突前部和内侧部;视神经减压也可在移位前床突而牵拉神经的过程中起到保护神经的作用。步骤三,在前床突内部行“蛋壳化”磨除,使其与前下方的视柱(绿色)相离断。(感谢AL Rhoton, Jr教授对图片的授权)
硬膜外前床突切除术
硬膜外前床突切除术需行翼点或眶颧开颅。笔者常将其与扩大翼点入路相联合应用。关于该技术在颅底入路中的联合应用的细节,请参阅《眶颧开颅》章节。关于该技术在动脉瘤夹闭中的应用细节,请参阅《床突旁动脉瘤》章节。

图9. 标准扩大翼点开颅已完成。已切除翼点、蝶骨大翼和蝶骨小翼,眶周仅残留少量皮质骨。随后,抬起眶顶后部的硬脑膜,以游离覆盖于前床突的额叶硬脑膜。向前床突方向逐步抬起蝶骨嵴内侧部的硬脑膜。

图10. 扩大翼点开颅及磨除眶顶骨质。切除蝶骨小翼,即可见该患者增生的前床突及蝶骨嵴内侧型脑膜瘤。

图11. 充分抬起蝶骨嵴内侧部硬脑膜之后,进一步分离便受到一膜性结构的限制,该结构即为眶上裂处的外侧额颞硬膜返折(lateral frontotemporal dural fold),也称为眶颞骨膜返折(orbitotemporal periosteal fold),其包含有脑膜眶带(meningoortbital band)(见插图)。笔者切开此带约5mm,随后即在蝶骨嵴附近沿眶上裂将颞窝硬脑膜从海绵窦外侧壁上钝性剥离开。通过这一关键步骤,可进入颞窝硬脑膜和覆盖于眶上裂的结缔薄膜之间的间隙。
切开眶颞骨膜返折,即可显露眶脑膜动脉,将其电凝后切断。泪腺神经位于该间隙内;海绵窦内的其他颅神经都位于泪腺神经内侧。因此,切开眶颞骨膜返折不可超过5mm。腰穿脑脊液引流可避免对额颞叶使用固定牵开器。

图12. 通过钝性剥离,可扩大颞窝硬脑膜和海绵窦外侧壁内层之间的间隙。这一步骤可实现前床突后表面的充分暴露。磨除蝶骨翼内侧部,可离断前床突的外侧部(见插图;红色即为磨除区域)。

图13. 在直接磨除前床突之前,还需用小号金刚钻磨除视神经管的背外侧壁,同时注意持续性冲水以避免神经的热损伤。“蛋壳化”覆盖视神经的皮质骨,随后用一精细刮匙去除该薄层骨质(左侧插图)。禁止直接磨除至神经。这一步骤磨除后(右侧插图,红色),可将前床突从额侧部离断,并可避免之后处理前床突时对视神经造成的压迫和牵拉。吸引器始终起到牵开硬脑膜的作用。

图14. 充分暴露视神经后,笔者使用金刚钻磨除前床突中央的松质骨,而对周边皮质骨行“蛋壳化”。这一步骤离断了前床突与视柱之间的最后联系(插图)。在磨除前外侧部时,需注意对动眼神经的保护。

图15. 用刮匙折断残余的“蛋壳化”的前床突并取出。这一残余部分与床突间韧带和岩前床突韧带之间的粘连需进行仔细的钝性分离。对视神经的直视可避免对其的损伤。用垂体钳取出最后的骨片(左下方插图)。静脉性出血可用凝血酶浸泡后的明胶海绵适量压迫来轻易控制。过量的填塞压迫则可使遮挡切除前床突获得的空间,因此需要避免。

图16. 硬膜外前床突切除术的最终视野,透过硬脑膜可见床突段颈内动脉。硬膜内视角可显示去除的骨质(插图)。随后的硬膜内步骤,将切开镰状韧带和远环,从而在颅底分别对视神经和颈内动脉游离并移位。

图17. 术中照片显示硬膜外前床突切除术后暴露的左侧视神经(上图)。硬膜内切开镰状韧带显露视神经至进入眶内(下图)。镰状韧带压迫并移位神经的区域明显可见(*)。
关颅
若对于前床突气化有所顾虑,可在硬膜缝合后,使用一小片颞肌填补前床突骨质缺损,并用纤维蛋白胶加固。
术后注意事项
监测患者有无脑脊液鼻漏、视力改变及复视。术后鼻漏的处理首选短期腰椎引流,该处理常可有效控制脑脊液漏。如果无效,则需再次行手术填补前床突骨质缺损。
个人意见和注意事项
术前需注意前床突气化和韧带骨化等变异。
笔者切开外侧眶颞骨膜返折约5mm,随后即在蝶骨嵴附近沿眶上裂将颞窝硬脑膜从海绵窦外侧壁上钝性剥离开。这一步骤可充分显露前床突,也是进行前床突切除术的关键。
蛋壳化前床突能保证操作的安全。
严重骨化的肿瘤需要耗费大量冗长的时间和精力进行磨除:笔者建议对这些病例采取硬膜内前床突切除术。
避免整块切除前床突。
(编译:唐寅达;审校:徐涛)
Contributor: Marcus Acioly
DOI: https://doi.org/10.18791/nsatlas.v2.ch09.1
中文版链接:www.medtion.com/atlas/2200.jspx
参考文献
Kattner KA, Fukushima T. Management of vascular invasion during radical resection of medial sphenoid wing meningiomas. Skull Base. 2001;11(2):99-104.
Kulwin C, Tubbs RS, Cohen-Gadol AA. Anterior clinoidectomy:Description of an alternative hybrid method and a review of thecurrent techniques with an emphasis on complicationavoidance. SurgNeurol Int. 2011;2:140.
Lehmberg J, Krieg SM, Meyer B. Anterior clinoidectomy. ActaNeurochir (Wien). 2014 Feb;156(2):415-419.
Ota N, Tanikawa R, Miyazaki T, Miyata S, Oda J, Noda K, Tsuboi T,Takeda R, Kamiyama H, Tokuda S. Surgical microanatomy ofthe anterior clinoid process for paraclinoid aneurysm surgeryand efficient modification of extradural anterior clinoidectomy.World Neurosurg. 2015;83(4):635-643.
AL Rhoton, Jr AL Jr. Aneurysms. Neurosurgery. 2002;51(Suppl 4):1-S121-158.
AL Rhoton, Jr AL Jr. The cavernous sinus, the cavernous venous plexus,and the carotid collar. Neurosurgery. 2002;51(4 Suppl):S375-410.




