今天为大家分享的是由山东大学齐鲁医院神经外科郭宇医师编译,山东大学齐鲁医院神经外科马翔宇副主任医师审校的: 垂体大腺瘤手术策略与技巧,欢迎观看、阅读!
Giant pituitary adenoma-Principles for resection

图1. Harvey Cushing在1929年左右使用经颅入路取代经蝶骨入路进行垂体手术,并证明了其安全性。经颅入路能够更彻底地进行视交叉减压。这些照片中显示了Cushing经典经额入路切除垂体腺瘤的刀口。
诊断、手术指征及术前准备
对于考虑患有垂体腺瘤患者的手术适应证和术前考虑的详细讨论,请参阅章节《垂体腺瘤:诊断和手术考虑》。

图2. 垂体大腺瘤为直径大于10mm并对周围结构有占位效应的垂体瘤。临床上最常见的压迫症状为压迫视交叉和/或视神经造成双颞侧偏盲。

图3. 图示典型垂体腺瘤矢状位形态。注意垂体受压至肿瘤上方或后方。
翼点入路切除垂体腺瘤
翼点入路在垂体腺瘤切除中极为少用。使用经翼点入路的患者不超过3%,确切而言,此入路是为切除经蝶骨入路手术无法切除的残余肿瘤。
经颅入路的主要适应症为肿瘤显著超过鞍旁或鞍膈处窄颈哑铃型肿瘤。颈内动脉突向中线为经蝶入路的另一个禁忌症,在此情况下需要使用经颅入路。
经颅入路的主要局限性是对脑组织牵拉较多且较难处理肿瘤的鞍内部分,而经蝶入路则更容易解决此问题。内镜的使用扩展了经蝶入路的手术空间,在多数情况下取代了经颅入路。
本节剩余部分主要讲述经翼点入路切除垂体腺瘤技术的细节。翼点入路的具体细节参见《翼点入路开颅术》章节。
完成开颅后剪开硬膜,解剖侧裂,轻轻牵开额叶。解剖此区域蛛网膜,广泛暴露视交叉旁区域。肿瘤一般被同侧视神经覆盖,鞍膈包被肿瘤上界。从视神经两侧操作进行瘤内减压可以解除肿瘤对视神经的压迫。
外侧入路需解剖分离颈动脉及视神经。视交叉下方及后方的颈内动脉穿支血管及其蛛网膜需小心保护。穿支血管的完好保留可降低出血及周围组织缺血性梗死的风险。这些并发症是该术式病死率的主要来源。
若肿瘤包膜与周围组织有粘连意味着手术具有挑战性。若包膜与颈内动脉穿支血管、后交通动脉或大脑中动脉粘连紧密,次全切除肿瘤为明智之选。为保护大腺瘤周围粘连的重要结构,较为保守的方法为切除大腺瘤核心部分。
粘连的肿瘤包膜常常侵及颅底的中小动脉因而难以完全切除。过于积极地切除肿瘤包膜会造成额外的风险并不明智。在此情况下,术者应着重视神经/视交叉减压,适度的切除肿瘤而不对其他结构造成威胁。肿瘤部分切除后可考虑后续放疗。

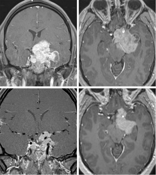
图4. 一位年轻的偏侧非对称垂体大腺瘤患者,曾行扩大经鼻蝶入路垂体瘤切除术(上图)。由于外侧术野盲区及肿瘤质地,蝶鞍后方及外侧部分肿瘤通过经鼻蝶入路难以切除。完成鞍上肿瘤减压后,残余肿瘤仍引起视神经及脑干压迫,限制了术后放疗的效果(下图)。翼点入路适用于此情况下视神经及脑干的进一步减压。二次手术行肿瘤部分切除和视神经减压,但肿瘤包膜与周围组织粘连紧密,未强行切除,残留部分肿瘤组织,保护穿支血管。
经蝶入路切除垂体大腺瘤
经鼻蝶手术开始阶段需使用无腐蚀性消毒剂清理鼻腔、牙龈表面及下半面部。使用浸有稀释可卡因溶液的可吸收棉收缩鼻粘膜。此处理有助于起始阶段粘膜下切除时的止血。
在《颅脑手术入路》一卷中的《显微镜经鼻蝶入路》一章中有显微镜下操作的技术细节。另外在《内镜下扩大经鼻蝶入路》一章中有相关内镜入路的探讨。有关操作的起始阶段,包括显露与关颅,请参考这些章节。
内镜下及显微镜下切除垂体大腺瘤在技术上非常相近,在这里一同探讨。内镜下切除垂体瘤显著增强了术野的直接可视空间,提供了更好的手术角度,因而降低了对周围组织造成意外损伤的风险。
特别要指出的是,内镜下切除垂体大腺瘤更为高效,因其宽阔的视野可增强术者积极处理肿瘤的信心。换言之,在显微镜下风险较高的侧方盲点在角度内镜清晰的视野下得以消除。

图5. 磨除鞍底骨质后,使用双极电凝轻灼包括海绵间窦在内的硬膜。笔者一般使用止血凝胶(FLOSEAL,Baxter, Deerfield, IL)封堵暴露硬膜内海绵窦及其他静脉湖的出血。硬膜过度凝血将导致其收缩并使硬膜外静脉出血加重。
原则上来说,在满足充分病变显露、显微操作及肿瘤切除的基础上,进行最小范围的骨质磨除。肿瘤无法全切最常见的原因为骨质磨除不充分,限制了硬脑膜打开的范围。笔者习惯于沿鞍底磨除包饶双侧颈内动脉的较为宽阔的骨质。
切开硬脑膜之前,为了便于手术结束时重建鞍底,应首先去除周围骨窗边缘的蝶窦粘膜。打开硬脑膜时可用超声引导以避免损伤颈动脉。十字剪开硬膜,并使用圆头剥离子从硬脑膜内面分离肿瘤包膜,手术后期肿瘤减压使肿瘤包膜难以识别,此操作有助于加快辨别肿瘤包膜(引自Tew, van Loveren, Keller*).
硬膜内操作
以下部分描述了显微镜和内镜辅助下的垂体大腺瘤切除术。关于显微镜和内镜辅助下的腺瘤切除术优劣对比详见《垂体腺瘤:诊断及手术注意事项》这一章节。笔者常规使用内镜进行垂体腺瘤的切除,笔者认为此方法可更安全地切除肿瘤。

图6. 垂体大腺瘤切除的第一步为瘤内持续减压。环状刮匙从肿瘤下极刮除并使用吸引器吸除肿瘤。标准化的瘤内减压建议按照下方、侧方、上方的顺序进行。此顺序可避免鞍膈过早塌陷影响后续肿瘤切除。鞍膈过早暴露和塌陷可能阻碍术者视野,影响肿瘤根治性切除,并增加了鞍膈破裂的风险。
肿瘤中央部分在手术前期需避免切除,不当的切除可能使鞍膈塌陷,继而遮挡肿瘤侧方。肿瘤上方部分的操作需小心谨慎,因其有损伤垂体柄的风险。(引自Tew, van Loveren, Keller*,有改动)

图7. 瘤内减压继而从肿瘤侧方进行,最后切除肿瘤上方部分。肿瘤大体减压后,从海绵窦后壁轻轻剥去肿瘤包膜。成角的内镜可扩展手术操作的视野,从而能在直视下从海绵窦侧壁分离肿瘤包膜,而不用环状刮匙盲刮肿瘤侧方。正常垂体在此视野下呈橙色。注意使用双手操作技术。(引自Tew, van Loveren, Keller*).

图8. 需仔细探查海绵窦内侧壁以去除肿瘤残余。此步甚为重要,肿瘤残余将影响鞍膈下降及肿瘤的根治性切除。显微镜的直线术野会影响术者对侧方的观察。盲目切除有损伤颈内动脉的风险。对于颈内动脉损伤的处理参见《垂体瘤:诊断及手术注意事项》章节。
若肿瘤侵及海绵窦侧壁或鞍膈,可进行窦内及鞍上切除,操作时需谨慎。内镜扩展了手术视野,使用成角内镜可在直视下行海绵窦内肿瘤保守切除。(引自Tew, van Loveren, Keller*)

图9. 在切除腺瘤鞍内部分时(特别是侧方部分),质地软的肿瘤鞍上部分会随着瘤内减压逐渐塌陷至鞍内以便于肿瘤的进一步切除。质韧及有分隔的肿瘤(特别是复发肿瘤)不易自行塌陷,造成切除的困难。内镜下直视视野可更安全地锐性分离鞍内分隔。
在这种情况下,自腰穿引流管注射15-20ml林格氏液或空气(巨腺瘤术前置管),压迫双侧颈静脉、给予呼气末正压通气有助于肿瘤的切除。由于肿瘤的渐进性塌陷,此时操作需很有耐心。"切除能看见的肿瘤",而不是盲目地把肿瘤拖出,为最安全的策略。
切除此部分肿瘤后,可见鞍膈下降至鞍内。这是充分切除肿瘤的标志,但仍需进一步探查。若鞍膈塌陷不完全,一般说明侧方有肿瘤残余,阻碍了鞍膈的下降。扩大侧方骨窗可进一步切除此区域残余肿瘤。不推荐盲目探查。(引自Tew, van Loveren, Keller*).

图10. 肿瘤前上部分一般较难切除,因其有损伤毗邻结构特别是鞍膈的风险。这是术后肿瘤残留的另一常见原因;残余的肿瘤将继续导致视神经压迫症状。成角内镜可在这一区域提供良好视野。为暴露肿瘤,可轻轻牵开垂体。为避免肿瘤残余,需磨除足够的骨窗。(引自Tew, van Loveren, Keller*,有改动).

图11. 鞍结节上方(鞍前隐窝)的肿瘤与鞍膈粘连(插入图),若强行盲切,可能导致鞍膈破裂,引起脑脊液漏。辨别鞍膈并在切除肿瘤时保持其完整非常重要。若不慎造成鞍膈破裂,笔者一般使用事先准备的取自患者腹部的自体脂肪准确封堵裂口,避免用力填塞整个蝶鞍,此操作可能导致鞍上占位效应,导致视力障碍。(引自Tew, van Loveren, Keller*).
肿瘤残腔的持续出血意味着存在肿瘤残余。全部切除肿瘤是止血最为恰当的方法。完全切除肿瘤后,出血即自发停止。填充少量明胶海绵可用于静脉止血。
肿瘤全切后,鞍膈塌陷并填充蝶鞍。鞍膈塌陷后会掩盖蝶鞍角落的残余肿瘤。为更好地检查这些角落,笔者一般使用吸引器隔着小的棉片轻抬鞍膈。此操作更容易检查并切除肿瘤残余。同样,塌陷的鞍膈皱着常包绕肿瘤,这些隐藏处同样需要仔细检查,避免肿瘤残余。
垂体腺一般更为质韧,富有血供,不应该过分操作垂体腺组织。
复发肿瘤内瘢痕组织的形成使鞍上肿瘤更难下降进入蝶鞍。内镜下蝶鞍内锐性切除等更为积极且非传统操作常可达到理想切除。此情况下有很高的脑脊液漏风险,但此风险不应该阻止尽可能多的切除肿瘤。术中磁共振对于复发肿瘤手术常有很大帮助。
关颅

图12. 笔者在经蝶窦手术后使用患者腹部脂肪填充蝶鞍。使用速即纱包裹脂肪组织成球状。此方法可处理位置确切的脑脊液漏。若Valsalva动作引起脑脊液漏,笔者仍会填充蝶鞍封堵潜在的漏口。使用骨片或假体重建鞍底并确保脂肪组织不会移位。上图示骨片或假体在硬膜外的位置。
若造成鞍膈巨大缺损,可见鞍上组织,可使用带蒂的鼻中隔粘膜瓣进行修补。具体相关操作见《内镜下扩大经鼻入路》章节。(引自Tew, van Loveren, Keller*).
GH型大腺瘤及ACTH型大腺瘤意味着较大的手术难度。在一些病例中,此两类肿瘤侵及海绵窦及周围硬膜从而阻碍了肿瘤全部切除。此类患者在显微镜手术操作时需更为谨慎尽可能达到治愈。笔者提倡在内镜下进行海绵窦内肿瘤的全切。若肿瘤侵及鞍膈,需锐性分离鞍膈实现肿瘤全切。
术后注意事项
关于具有内分泌功能的肿瘤患者术后注意事项,缓解评价参考指标及相关并发症,参见章节《垂体腺瘤:诊断及手术注意事项》。
点睛之笔
海绵窦内侧面肿瘤切除时可能导致静脉出血,此时不建议电灼,可使用浸有凝血酶的明胶海绵填塞止血。
鞍底骨质磨除不足(特别是前部和侧部)是造成肿瘤切除不完全的最常见原因。
肿瘤切除不完全及残余肿瘤卒中是术后症状性血肿的主要原因。
(编译:郭宇;审校:马翔宇)
Contributor: Benjamin K. Hendricks, BS
DOI: https://doi.org/10.18791/nsatlas.v4.ch04.1.2
中文版链接:https://www.medtion.com/atlas/3069.jspx




