
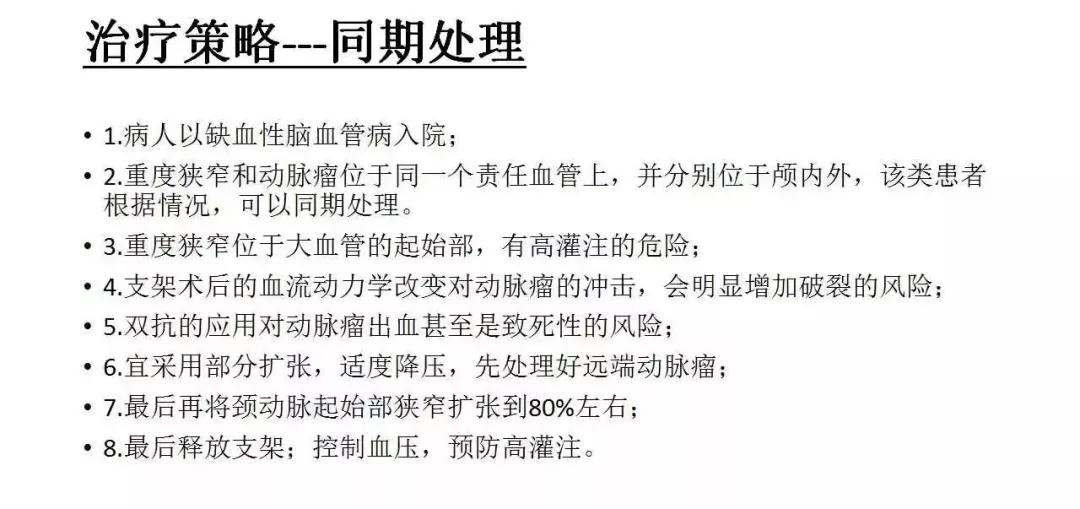
今天为大家分享的是“强生医疗CNV-神经介入专栏”第四十五期,由天津市第一中心医院神经外科常斌鸽教授带来的“重度狭窄合并颅内动脉瘤的介入治疗策略”精彩讲课视频和PPT,欢迎观看!文章仅代表作者个人观点,如有不同见解,欢迎同道斧正!

常斌鸽,天津第一中心医院神经外科主任医师、副教授,脑血管病治疗中心主任。曾于中国人民武装警察部队医学院附属医院脑系科任主任医师,主要研究方向是经血管内治疗脑和脊髓血管性疾病。
擅长神经系统各种血管性疾病的诊断及治疗。尤其是在:
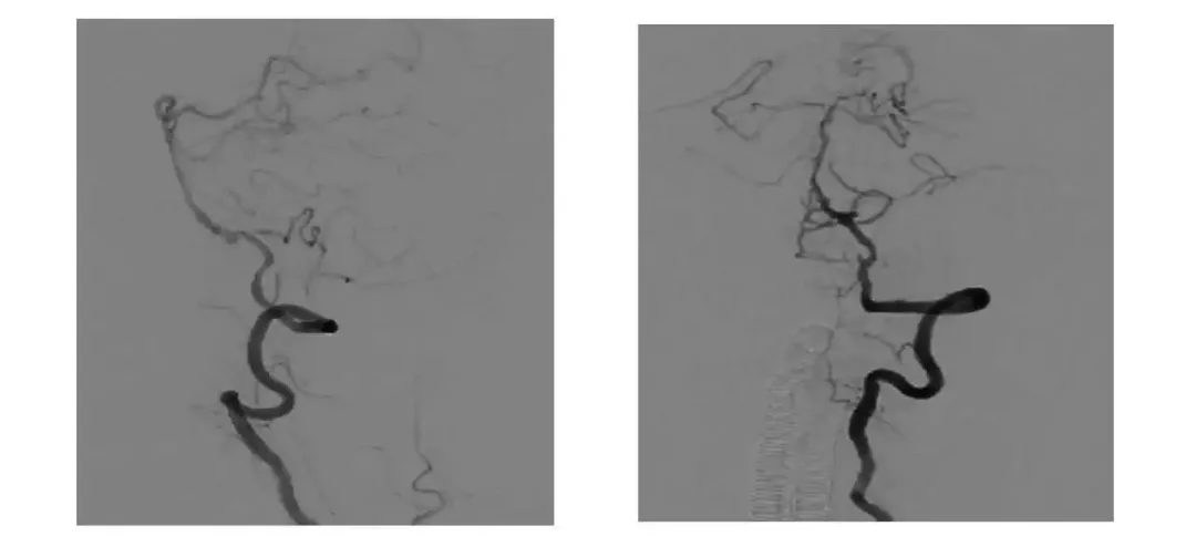
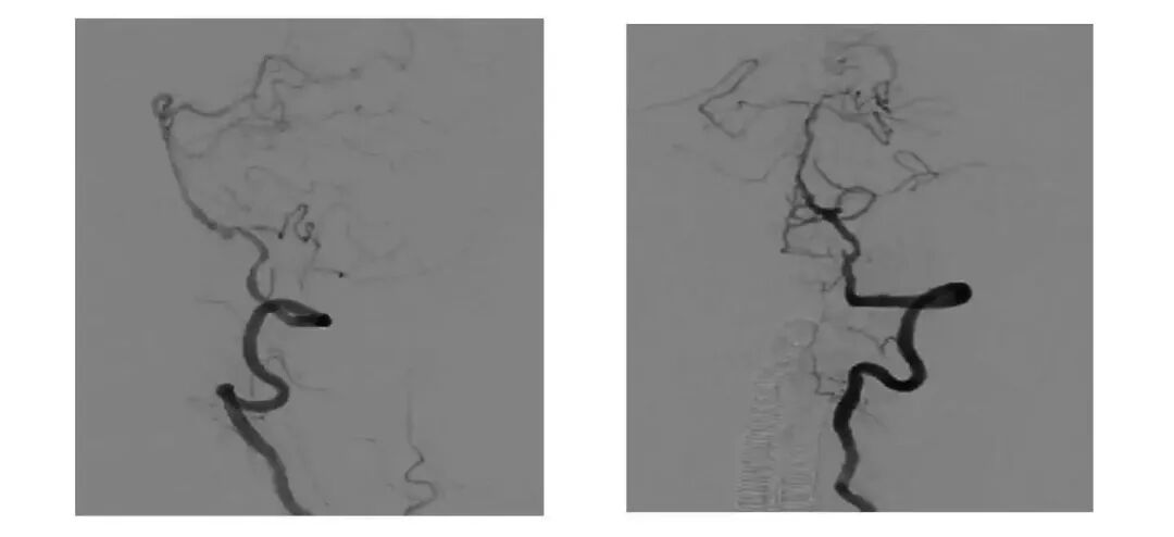
1、脑缺血性疾病:颈动脉狭窄、椎基底动脉及大脑中动脉等颅内动脉狭窄的支架安置和球囊扩张成形;急性脑梗塞的超选择溶栓治疗,脑梗塞、脑供血不足,脑血管狭窄,脑静脉和静脉窦血栓和支架成形,急性突发性失明的溶栓治疗等。
2、脑出血性疾病:脑出血、蛛网膜下腔出血、脑动静脉畸形,脑动静脉瘘,脑动脉瘤,脑膜动静脉瘘,颈动脉瘤,颈动脉海绵窦瘘,颌面部及头皮蔓状血管瘤,海绵状血管瘤,急性鼻腔大出血,各种高血运的肿瘤。
3、脊髓血管病:硬脊膜动静脉瘘,脊髓血管畸形,髓周动静脉瘘,脊髓血管性肿瘤等。
目前累计已完成各种脑及脊髓血管病的诊断及治疗8000余例。近年来,又积极在天津市率先开展各种缺血性脑血管病的介入治疗,已完成各部位脑动脉狭窄支架植入术近400余例,手术成功率在98%以上,并发症为1%~2%,临床上取得了满意的疗效;在急性大面积脑梗塞急症介入溶栓治疗、溶栓同时行闭塞血管球囊扩张术及支架植入术,在成功病例数量上及尖端技术难度上均处于国内领先地位,为该类疾病的急诊介入处理积累了大量的宝贵经验。
多次参加国内外脑血管病会议并进行学术交流,与国内外一流脑血管病专家交流经验。参与武警部队及天津市科研项目8项,在权威杂志上发表学术论文20余篇,参编著作3部,取得武警部队科技进步奖1项。


























































【强生医疗CNV-神经介入专栏】回顾




