2018年02月03日发布 | 1727阅读

小脑上经脑室入路手术策略与技巧 | The Neurosurgical Atlas全文翻译

王小峰

渭南市中心医院

达人收藏

The Neurosurgical Atlas凝聚了Aaron教授的思想精华,以文字、插图、视频授课结合手术录像的多媒体形式,将神经外科相关知识进行横向与纵向的串联总结,是十分有价值的学习资料。Aaron教授期待通过The Neurosurgical Atlas将他在临床实践中积累的心得、经验与教训传递给更多的神经外科医生,所有内容均为免费提供并将持续更新,Aaron教授诚邀大家登陆官网(http://www.neurosurgicalatlas.com),注册使用并给出宝贵意见。由于国内打开网站较慢,神外资讯获独家授权在国内转载相关文字内容与视频,方便大家观看、阅读。


今天为大家分享的是由王小峰医师编译,神外资讯》常务编辑、海军军医大学附属长征医院神经外科徐涛医师审校的小脑上经脑室入路手术策略与技巧,欢迎观看、阅读!


一般注意事项


对于三脑室后部小肿瘤(如海绵状血管畸形),手术切除时存在巨大的技术挑战。由于体积小、肿瘤的占位效应往往不明显,深部正常结构不发生移位,致使在幕上不易找到合适的手术入路。


在这种情况下,笔者尝试应用小脑上经脑室入路。这些小肿瘤可能向外生长并影响顶盖区,笔者仅能通过受压变薄的神经纤维组织之间的有限空间来操作。这种操作可能引起凝视障碍的风险,但多数情况下为暂时性。


三脑室后端是个特定的区域,以中脑导水管和松果体隐窝划分界线。

图1. 三脑室最后端小肿瘤沿着松果体及顶盖生长使三脑室后部扩大,因此可以通过小脑上经脑室入路显露术区。


诊断及评估


有关脑室肿瘤的诊断与评估内容参见《脑室内手术原则》章节。


由于临近三脑室及中脑导水管,此区域肿瘤患者常引起梗阻性脑积水。瘤内出血(松果体卒中)的患者可出现Parinaud综合征。尽管体积小,但位于此区域的许多病变仍需手术治疗,包括海绵状血管瘤、松果体母细胞瘤以及中等分化的松果体实质肿瘤。


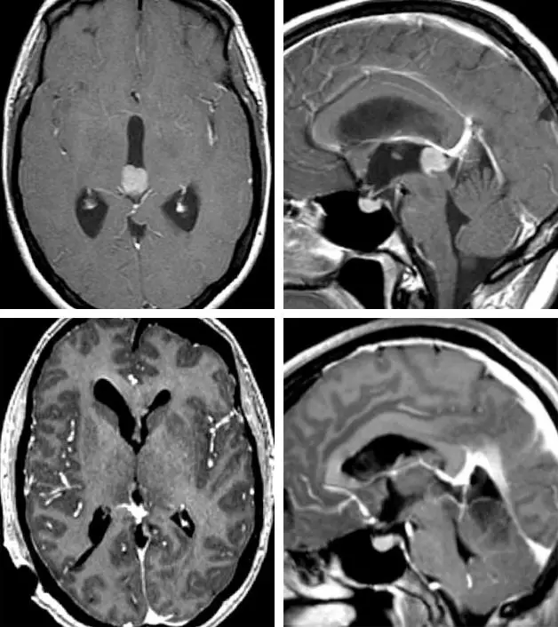
图2. 图为三脑室后部一中等分化松果体实质肿瘤(上排图)通过小脑上经脑室入路已切除该肿瘤(下排图)。(请参看图8)


手术指征


由于经松果体或顶盖手术路径的显露空间非常有限,对于大型尤其是血管类肿瘤,此入路不适选用。诊断不明确和引发脑积水的患者可行手术治疗。已经造成反复症状性出血的海绵状血管瘤也需手术切除。


术前注意事项


仔细研究术前影像资料,必须确定与肿瘤相关的脑内静脉、Rosenthal静脉和Galen静脉的定位。如果这些静脉被推移至肿瘤的前后侧而并非上方,则禁忌应用小脑上经脑室入路。


存在脑积水时建议行脑室外引流。


手术解剖


相关解剖在《后正中小脑上入路》《脑室系统解剖》章节进行讨论。

 

图3. 绿色箭头示小脑上经脑室入路手术路径(上图)。经松果体上通道显露脑室(下图)。当三脑室后部病变侵及后壁,无论是在松果体上方,或更常见于下方且侵及顶盖区时均适于此入路(图由Rhoton, AL授权)。


图4. 正中(左图)和左侧旁正中(右图)小脑上入路可以通过肿瘤形成的路径进入三脑室。注意静脉的解剖定位限制了此入路的通用(图由Rhoton,AL授权)。


小脑上经脑室入路


幕下小脑上入路适合于三脑室后方的小病变(如海绵状血管瘤),即使病变主体不在松果体区。此入路的优势十分明了,可最小程度损伤邻近组织结构,且避免暴露幕上内容物(包括胼胝体的保护)。笔者个人经验:轻柔操作丘脑后部可避免发生严重的危险事件。


此入路的缺点是容易损伤松果体缰核、Galen静脉、四叠体板。但对肿瘤侵及顶盖操作时所引起的许多功能障碍往往是暂时的。


后正中旁正中小脑上入路的技术要点在本书的其他地方进行讨论。尽管使用一侧旁正中开颅已经足够暴露,但大多数神经外科医师更倾向于应用后正中小脑上入路去切除这种深部的中线病变。因此,以下将讨论此入路的具体相关问题。


硬膜下操作


已经完成标准后正中枕下小脑上的开颅手术。

图5. 后正中小脑上入路常被用于暴露顶盖区。三脑室后部肿瘤经常影响顶盖上方并使丘脑枕后部移位。笔者首先要确定间脑静脉的位置(包括Galen静脉),若其向后移位(使静脉处在术者和肿瘤之间)则不利于建立手术通道。肿瘤也可能包绕这些静脉,在手术早期阶段可能会不小心损伤。


图6. 经顶盖区暴露范围有限。在这些病例中,可用环形刮匙从脑室内刮除肿瘤。


图7. 肿瘤切除结束时,可清晰看到脑内静脉和三脑室前部结构。手术盲点很多,包括顶盖前缘,刚好位于术腔“唇部”的前方。强烈推荐使用成角内镜或反光镜。盲目牵拉肿瘤可能会损伤脑室壁或相关的静脉。


图8. 患者取坐位,通过后正中小脑上入路显露图2显示的肿瘤。注意左侧顶盖的颜色差异(左图,吸引器顶端)。切除侵及顶盖部分后才可进入脑室并全切除肿瘤(右图)。


关颅及术后注意事项


有关脑室肿瘤患者的关颅及术后注意事项的详细内容,请参见《脑室内手术原则》章节。


点睛之笔



  • 本手术入路仅适用于部分病例。间脑的静脉及完整的顶盖区结构明显地限制了其普遍通用性。确定应用此入路时需考虑其特定的解剖结构。


(编译:王小峰;审校:徐涛)


DOI: https://doi.org/10.18791/nsatlas.v4.ch05.5.4.2

中文版链接:https://www.medtion.com/atlas/4365.jspx

最新评论
发表你的评论
发表你的评论
来自于专栏
关键词搜索