今天为大家分享的是由空军军医大学唐都医院神经外科张韫泽医师编译,空军军医大学唐都医院神经外科赵天智副主任医师审校的:岩尖脑膜瘤手术策略与技巧,欢迎观看、阅读!
Petrous apex meningioma
CP angle petrous meningioma
岩尖脑膜瘤位于颞骨岩部的前部,起源于内听道或其上方,常侵犯第VII-VIII颅神经及脑干。随着肿瘤的生长,它还会进一步侵犯Meckel’s腔、第V颅神经及颞叶。
依据改良 Desgeorges-Sterkers分类法,颞骨岩部后方的脑膜瘤可分为以下四类:岩骨后部,内听道口及内听道,岩尖但未侵及内听道,桥小脑角区并侵及内听道。大多数岩尖脑膜瘤并不侵犯内听道。
岩尖脑膜瘤多是良性肿瘤,但由于后颅窝空间有限,脑干及颅神经受压使得造成严重后果的几率大大增加。也正是因为肿瘤紧邻这些重要的结构,使得这类肿瘤处理起来颇具挑战性。
岩尖脑膜瘤的概念有时易和岩斜区脑膜瘤及桥小脑角区脑膜瘤混淆。典型的岩斜区脑膜瘤将第V颅神经向外侧推移,而岩尖脑膜瘤则将其向内侧推移。因此,笔者在岩斜区脑膜瘤和桥小脑角区脑膜瘤章节的基础上,增加了本章对岩尖脑膜瘤的讨论。
临床表现
基于岩骨前部毗邻的复杂神经解剖结构,其临床症状及体征是多样的。临床表现包括头痛,第IV-X颅神经麻痹,三叉神经痛,面部感觉减退,听力下降,眩晕,锥体束征。
评价
标准的MR影像可显示肿瘤的大小及部位,并可评估其血供情况。并可评估肿瘤与脑干、颅神经、颞骨、海绵窦及周围血管的关系及侵犯情况。脑干实质的水肿提示肿瘤已侵犯软脑膜,因术中缺乏完整的软脑膜分离界面可能导致术后出现新增神经功能障碍的风险大大增加。在这种情况下,可考虑行肿瘤次全切除减压术。CT扫描可以显示颞骨增生情况。
完整详细的术前神经功能评估(尤其是可能受侵犯的相关颅神经的功能)对于明确患者的术前基线状态是非常必要的。听力图是评估的一部分。这些基线评估的结果,尤其是听力的评估结果可以指导最佳手术入路的选择。
更多岩尖脑膜瘤的评估细节参见岩斜区脑膜瘤章节。

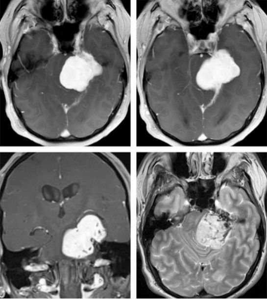
图1. 骑跨岩骨嵴的岩尖脑膜瘤。T2加权序列上大量的流空影提示该肿瘤基底部血供极为丰富(右下图。脑干受压移位明显。
术前注意事项和手术入路的选择
切除轴外岩尖脑膜瘤的手术入路选择取决于肿瘤主体的位置。笔者常规采用包含乙状窦后/侧方小脑上通道的经小脑幕入路。其它可供考虑的选择有颞下入路联合岩尖切除。巨大肿瘤最好采用分期手术显露(先行后颅窝手术,再行颞下手术)。
乙状窦后内听道上入路可以在第V颅神经上方磨除岩尖,以进一步增加手术操作空间。为了避免对颞叶的骚扰,尤其是在优势侧操作时,笔者更喜欢采用向颞下区域改良扩大的经后颅窝手术通道。然而,幕上肿瘤的范围及其破坏和包绕的周围重要结构有时会让术者考虑颞下入路联合岩尖切除术可能是个更合适的选择。
若肿瘤血供极为丰富,术前栓塞肿瘤供血血管是个不错的选择。
术中采用MRI和CT(当可能需要内听道上磨骨时)进行神经导航是有益的。此外,体感诱发电位(SSEPs)和脑干听觉诱发电位(BAERs)监测有助于减少相关术后并发症。
手术解剖
岩骨嵴和小脑幕切迹的解剖在岩斜区脑膜瘤章节已经讨论。对经小脑幕入路增加内听道上方改良将有助于切除被岩骨嵴遮挡的肿瘤部分。
经乙状窦后入路磨除内听道上方的骨质理论上显示有利于显露主体在桥小脑角区并向中颅窝Meckel's腔周围延伸的肿瘤。这一方法可以避免幕上开颅。这里提出磨除内听道上方的骨质仅出于完整性需要,但是笔者很少这样做。

图2. 简要复习一下右侧内听道上入路的显微解剖。内听道上结节位于内听道上方,三叉神经后方。去除内听道上结节表面的硬脑膜并磨除该结节,沿着三叉神经继续显露并保持在三叉神经上方操作是安全的。即便这样做有些帮助,但是这个方法很少用于处理岩尖脑膜瘤和其它相关颅底脑膜瘤(感谢AL Rhoton,Jr供图)

图3. 岩尖和桥小脑角区上面观。三叉神经于内听道上结节内侧进入Meckel's腔,切断岩上窦并磨除内听道上结节以更好的显露三叉神经根的前部(左下图)。侧方显示通过磨除内听道上结节和打开部分Meckel's腔增加的三叉神经根显露范围(右下图)。(感谢AL Rhoton,Jr供图)
切除岩尖脑膜瘤
如前所述,笔者更倾向于采用乙状窦后联合小脑上经小脑幕入路,再根据需要在内听道上磨除岩尖,因为只要肿瘤没有向前延伸到大脑脚附近,这是到达岩尖且破坏最小、最安全的入路。
该入路沿着岩谷嵴向前能达到的范围是有限的并且操作距离很长。笔者们将在下文详细讨论这一技术需求较高的岩尖脑膜瘤手术入路。而更多的细节可参照旁正中小脑上经小脑幕入路章节。

图4. 处理体积较大的岩尖脑膜瘤,联合入路有时是必要的。除了初始针对乙状窦后/小脑上通路的切口设计外,笔者也会考虑到术中需要颞下入路的可能。最开始采用的是切口的垂直部分。
硬脑膜内操作过程
讨论技术原则之前,笔者先展示图1患者术中的一些截图。

图5. 左侧乙状窦后/侧方小脑上入路。注意富血供的岩骨表面硬脑膜(左上图)和小脑幕(右上图),岩上静脉已被切断;三叉神经自肿瘤下极分离(左下图);自小脑幕上肿瘤基底阻断其血供(右下图)。

图6. 典型岩尖脑膜瘤周围相关的神经血管结构示意图,图中展示的包括第V,VII,VIII颅神经。

图7. 处理肿瘤第一个重要步骤是沿着岩骨硬脑膜、岩骨硬脑膜与小脑幕的结合部及小脑幕切断肿瘤血供。在分离肿瘤时岩骨硬脑膜与小脑幕结合处常出血较凶猛(左下图);利用双极电凝耐心止血可以控制出血。第IV颅神经被肿瘤向前推移,需注意保护其不受损伤(右下图)

图8. 分离肿瘤(Dedressing)和阻断肿瘤血供(Devascularization)后需进行肿瘤减压(接下来的"D",Decompression)。可用超声吸引器进行瘤内减压。最初对于肿瘤基底血供的充分阻断有助于此步骤的实施。尽早辨识出肿瘤周围的第V,VII-VIII颅神经有利于更好的保护它们。

图9. 手术的下一步是将肿瘤壁从第V,VII,VIII颅神经和脑干上分离开(Dissection)。用显微镊子分离包绕神经的蛛网膜鞘从而将神经自肿瘤壁上游离(插图),这样做可以避免直接骚扰神经引起的医源性神经损伤。需保留蛛网膜及软脑膜界面。

图10. 沿着小脑幕切迹可以发现牢牢粘在肿瘤前壁上的第IV颅神经。通过小心翼翼且费时的操作,分离出并保留住该细小的神经是可能的,但是很多体积较大的肿瘤已经使得该神经失去功能,即使牺牲掉该神经也不会引起明显的后果。神经的蛛网膜鞘仍可被用于游离该神经(插图)。最下面的照片显示游离出的第IV颅神经走行(左)和分离开的肿瘤壁与脑干(右)

图11. 在肿瘤壁外分离完肿瘤后,切除肿瘤的幕下部分。

图12. 切除肿瘤后可见后颅窝的解剖,如图显示了乙状窦后和小脑上入路的手术通道。

图13. 电凝小脑幕的下表面然后切开一个宽大的硬脑膜窗暴露幕上的肿瘤部分。用Karlin刀片平行于横窦切开小脑幕,外侧沿着岩骨嵴,内侧沿着直窦边缘切开小脑幕,小脑幕游离缘的出血可通过明胶海绵压迫止血。

图14. 幕上部分的肿瘤切除后可以看见最终的瘤腔解剖。如有必要,翻开岩骨嵴上的硬脑膜,切除第V颅神经上方向岩尖方向的骨质,可以将手术通道扩大越过岩骨嵴从而达到中颅窝的外侧部分。
关颅及术后注意事项
小脑幕无需重建,若磨除部分岩尖,需要用骨蜡封闭暴露的岩骨气房。接着进行常规的关颅。
点睛之笔
沿着岩尖和小脑幕阻断肿瘤血供是手术的关键步骤,其有助于减少术野出血,保持术野相对清洁,进而可以更好更快的分块切除肿瘤、更安全的将肿瘤从周围重要的神经血管上分离下来。
(编译:张韫泽;审校:赵天智)
Contributor: Andrew R. Conger, MD, MS
DOI: https://doi.org/10.18791/nsatlas.v5.ch05.9
中文版链接:https://www.medtion.com/atlas/2299.jspx
参考文献
Bogaev C, Sekhar LN. Petrovlical meningiomas, in Atlas of Neurosurgical Techniques: Brain, 1st ed. New York: Thieme Medical Publishers, 2006.
Peyre M, Bozorg-Grayeli A, Rey A, Sterkers O, Kalamarides M. Posterior petrous bone meningiomas: surgical experience in 53 patients and literature review. Neurosurg Rev. 2012;35:53-66.
Samii M, Gerganov VM. Cerebellopontine angle meningiomas, in DeMonte F, McDermott MW, Al-Mefty O. (eds): Al-Mefty’s Meningiomas. 2nd ed. New York: Thieme Medical Publishers, 2011.





