今天为大家分享的是,由厦门大学附属翔安医院苏燕东医师带来的:腭鞘管的解剖及临床意义Palatovaginal Canal(PVC),欢迎阅读、分享!
一、被忽视的腭鞘管
【Ref:Herzallah et al. J Neurol Surg B Skull Base. 2012 Oct;73(5):352-7. doi: 10.1055/s-0032-1322798】
随着内镜下鼻腔鼻窦及颅底手术的不断发展,翼腭窝及蝶腭神经血管的解剖已被描述得淋漓尽致。腭鞘管同样位于翼腭窝,常与翼管混淆。为此,来自埃及Zagazig大学的Herzallah 等通过尸头解剖及冠状位CT测量参数的方式向我们描述了腭鞘管,结果发表于2012年10月的《 J Neurol Surg B Skull Base》。
研究中纳入10位(20侧)行CT检查患者的影像学资料(均已排除存在感兴趣区域病变),从上颌窦后壁至海绵窦以2mm的层厚行冠状位重建,辨认翼管及其内侧的腭鞘管,测量二者间的距离及后者的直径。结果20侧中可辨认出16个腭鞘管,平均直径为1.7mm(1.4-2.2mm),而其与翼管的平均距离为3.78mm(2.9-4.8mm)。
同时该研究共进行了10例(20侧)成人尸头的内镜解剖。

内镜下显露左侧蝶腭孔和蝶腭动脉(SPA)。a、切口位于中鼻甲(MT)根部前方、上颌窦窦口后囟(PF)后方。NS 鼻中隔,PC 后鼻孔。b、暴露腭骨垂直板(VPP)和其构成蝶腭孔前界的眶突(OP)后,从腭骨筛嵴(EC)上剥离中鼻甲基板(BL)。EC位于SPA前内侧,是定位后者的重要标志。c、显露SPA往鼻中隔和鼻腔外侧壁的分支(分别为s和n)。

内镜下暴露左侧的腭鞘管(或者称为咽管,PC):腭骨眶突及临近的上颌窦后壁骨质已经去除,因此蝶腭孔得以显露并且可以往外侧牵拉蝶腭动脉(SPA)。C 斜坡,FLS 蝶窦底壁,SF 鞍底,pcICA 斜坡旁段颈内动脉。a、该例标本腭骨垂直板(VPP)上的蝶突(SP)菲薄,可被剥离子轻易骨折,其构成PC的下内侧壁。b、该标本SP厚硬,必须由磨钻去除。

内镜下显示左侧的咽动脉(PA):C 斜坡,pcICA 斜坡旁段颈内动脉,PPF 翼腭窝,SF 鞍底。a、去除腭骨垂直板(VPP)上的蝶突后可显示后上方走形于蝶窦底的咽动脉(PA)。b、切断PA并外移PPF内容物可暴露恰好位于腭鞘管外侧的翼管(VC)。c、咽沟(pharyngeal groove,PG)位于蝶骨底的鞘突,去除腭鞘管的内容物后可见。

内镜下观察翼腭窝后壁及相关区域。a、翼腭窝后壁可以辨认出三个开口,从内向外依次为:1)咽管(PC),从翼腭窝后内侧走向蝶窦底;2)翼管(VC),在蝶窦底往后走形并指向颈内动脉;3)圆孔(FR),其内走形有上颌神经(V2),并且可见v2的海绵窦段(V2s)和翼腭窝段(V2p)。FR上方为眶上裂(SOF)的后内部分。ICA 颈内动脉,OT 视神经,PPG 翼腭神经节,pwMS 上颌窦后壁,SP 腭骨蝶突,SPA 蝶腭动脉。b、通过往下外方向牵拉SPA和PPG可以暴露构成翼腭窝后壁的翼突根部(BPP)。IMA 上颌动脉。
最后作者再次强调了了解腭鞘管的重要性,应引起临床医师足够的重视。
二、腭鞘管的内镜下解剖
【Ref:Pinheiro-Neto et al.Laryngoscope. 2012 Jan;122(1):6-12. doi: 10.1002/lary.21808. Epub 2011 Nov 15】
翼管(pterygoid canal,PC)是颅底的一个重要骨性通道,始于破裂孔,走形于蝶窦底壁,喇叭口形开口于翼腭窝后壁,其位置较恒定,常作为经鼻内镜翼突进路时定位破裂孔处颈内动脉的重要标志。传统认为的由腭骨蝶突与蝶骨鞘突围成的腭鞘管(palatovaginal canal,PVC,或者咽管,pharyngeal canal),亦开口于翼腭窝后壁,且位于翼管开口内侧。鉴于二者毗邻密切,充分了解腭鞘管的解剖是术中辨认、保护翼管神经血管的重要前提。美国匹兹堡大学的Carlos D. Pinheiro-Neto等通过影像学分析和解剖学研究清晰展示了腭鞘管,结果发表于2012年1月的《The Laryngoscope》上。
方法:
影像学研究:分析15位于该院行HRCT检查的患者资料(均已排除存在感兴趣区域病变),轴位上测量腭鞘管全长、及其与翼管间的夹角;冠状位上评估两管间的空间位置关系(以平行、垂直或斜向表示)及距离(分别测量翼腭窝后壁及腭鞘管鼻咽顶壁开口层面时两管的距离)。
内镜下观察骨性鼻颅底:以10个骨性颅底标本为对象,于翼腭窝后壁辨认腭鞘管开口,顺管道内插入探针,直至其鼻咽顶壁开口,观察该管与腭骨蝶突、蝶骨鞘突的关系。
内镜下新鲜尸头解剖(8例,16侧):切除中、下鼻甲,完成全组筛窦开放,紧贴蝶腭孔离断蝶腭动脉,去除黏膜暴露骨性蝶腭孔;外推翼腭窝内软组织,辨认腭鞘管开口;骨膜下往后分离后鼻孔黏膜,直至显露咽神经血管,即腭鞘管后开口;随后磨除腭鞘管前壁(即腭骨蝶突),暴露该管全长及其内容物;离断咽神经血管并往外侧推移,继续往外侧骨膜下分离翼腭窝,辨认翼管开口,最后完全磨除腭鞘管,暴露蝶窦底壁的翼管。
结果:

图示。0度镜观察。A、观察腭骨蝶突与蝶骨鞘突的关系;B、探针位于右侧腭鞘管内。注意腭鞘管后开口位于蝶骨鞘突前方;C、腭鞘管的下、内壁由腭骨蝶突构成,而上、外壁由蝶窦底围成;蝶骨鞘突恒定位于其鼻咽开口后方;B、D中蓝色虚线为蝶骨鞘突,红色虚线为腭骨蝶突,黄色虚线为蝶腭孔。Sphenopalat = Sphenopalatine; proc = process; Palatosphenoid = Palatosphenoidal.( 因此,作者认为蝶骨鞘突不参与构成腭鞘管,故更合适的命名应该为"蝶腭管")

图示。0度镜下新鲜尸头标本的左侧鼻腔解剖。A、暴露腭骨垂直板,注意蝶腭孔由腭骨蝶突和眶突围成;B、显露腭鞘管的鼻咽顶壁开口及其内穿行的上颌动脉的咽支。请留意翼腭窝内的腭鞘管开口;C、磨除腭鞘管前内侧壁(即部分腭骨蝶突)暴露管内容物,请留意其与蝶犁缝之间的联系;D、离断咽神经血管束并外推,可显露翼管开口。注意腭鞘管的上、外侧壁为蝶窦底壁,没有蝶骨鞘突的参与。在翼腭窝内,腭鞘管开口于翼管的内侧;E、从后往前磨除腭鞘管,暴露其外侧的翼管神经(F)。

图示。0度镜下右侧翼突进路的术中图片。A、磨除部分腭骨蝶突可见上颌动脉的咽支从翼腭窝向鼻咽顶壁走形;双极烧灼(B)并离断(C)咽神经血管束;D、外推翼腭窝内容物可以辨认翼突根部的翼管。同时可看到腭鞘管嵌入蝶骨。Pterygopalat = Pterygopalatine; Palatosphenoid = Palatosphenoidal.
最后,作者指出:1、腭鞘管由蝶窦底壁与腭骨蝶突围成,并没有蝶骨鞘突的参与,因此,其更合适的命名应该为"蝶腭管";2、充分理解腭鞘管的解剖,明确其与翼管的关系,在经鼻内镜手术中至关重要。
三、轴位CT上辨认腭鞘管
【Ref:Qingguo Meng et al. Surg Radiol Anat. 2016 Feb 1. Epub ahead of print】
腭鞘管在鼻咽顶壁的开口往后延续为一条沟,称为后沟(posterior groove);犁鞘管(vomerovaginal canal,vvc)由犁骨翼与蝶骨鞘突围成,是一个经常与翼管、腭鞘管混淆的结构。山东大学齐鲁医院的Qingguo Meng等今年2月于《Surg Radiol Anat》在线发表文章,介绍了该团队以后沟为标志,在轴位HRCT上识别腭鞘管并区分犁鞘管的研究结果。

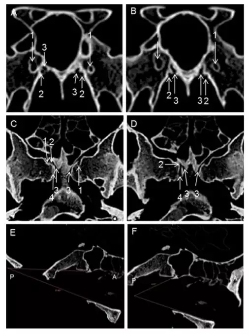
图示:1 翼管,2 腭鞘管,3 犁鞘管,4 后沟,5 蝶骨鞘突,6 犁骨,7 蝶窦开口。冠位CT的左侧2为插入探针后的腭鞘管。
该研究收集了70例(140侧)患者的CT资料,由两位经验丰富的放射科医师以后沟为标志,在轴位上辨认后沟后沿其往前寻找腭鞘管,归为后沟组;另两位医师归为常规组,先于轴位上辨认翼管,然后于其内侧寻找腭鞘管。同时,有另外两位更高级别的放射科医师核对两组结果的准确性。
结果在后沟组中,有99侧(70.7%)的腭鞘管得以辨认,而常规组为69侧(49.3%),并且前组只有1侧将犁鞘管误认为腭鞘管,而后组为40侧。

图示:a、右侧腭鞘管前开口层面的轴位ct。右侧翼管与犁鞘管形成的夹角(黄线)大于翼管与腭鞘管的夹角(绿线)。腭鞘管前开口向前洞口样扩大,如果从此处往后寻找该管,很有可能会将犁鞘管误认为腭鞘管,有许多之前的文献都犯了这种错误。b、右侧腭鞘管后开口层面的轴位ct,刚好位于a图的下两个层面。可以同时看到右侧翼管、腭鞘管与犁鞘管。c、为b图的下两个层面。尽管此时左侧的后沟非典型的管样结构,但其锐利的外侧缘依然有助于定位腭鞘管。而右侧的后沟显示很清晰,平行于正中线。d、另一位患者的斜位重建显示了右侧腭鞘管全长、腭鞘管与犁鞘管间的骨性分隔、后沟。1 翼管,2 腭鞘管,3 犁鞘管,4 后沟。
同时该研究也进行了骨性颅底标本的影像学分析。20例成人标本均通过内镜直视下沿后沟往腭鞘管全长插入探针,行CT检查,然后取出探针,同等条件下再次行CT检查。然后进行影像学分析并测量相关参数。

图示:颅骨标本解剖及ct影像。a、右侧腭鞘管后开口层面的周围ct。右侧后沟呈一个近乎平行矢状面的管样结构。b、另一标本左侧腭鞘管后开口层面。左侧后沟往后洞口样扩大,其外侧缘锐利而清晰,大致平行矢状面。c、颅底的下面观,该标本的双侧后沟均为狭窄的沟状。d、另一例标本的下面观提示其左侧后沟呈椭圆形的窝状。e、内镜下观察左侧颅底标本,腭骨蝶突已被部分磨除,后沟与犁鞘管之间的骨性分隔清晰可见。f、完全去除腭骨蝶突,显示翼腭窝内的犁鞘管与腭鞘管。1 翼管,2 腭鞘管,3 犁鞘管,4 后沟,5 腭骨蝶突。

图示:一例已移除探针的颅骨标本的ct影像。a、腭鞘管前开口层面的冠状位重建。犁鞘管位于腭鞘管上内侧,而翼管位于此两者上方。腭鞘管前份与犁鞘管间的骨性分隔很菲薄。b、腭鞘管后开口层面的冠状位重建。这个层面时腭鞘管与犁鞘管间的骨隔相当厚。犁鞘管往上走形至蝶窦底壁。c、腭鞘管前开口层面的轴位ct。后沟的上壁可以辨认,但不足以用来定位腭鞘管。犁鞘管与腭鞘管呈斜行关系增加了区别两管的难度。可以清楚地看到左侧犁鞘管的全长,但常被误认为腭鞘管。d、腭鞘管后开口层面的的轴位ct,为c图的下两个层面。后沟近乎平行中线、呈长管状,顺其往前上方,很容易辨认出腭鞘管。e、矢状位重建。后沟与硬腭的平均夹角为17.9度,提示在平行硬腭扫描的轴位层面上更容易辨认出后沟。f、腭鞘管与硬腭平均夹角为44.85度,提示在平行硬腭扫描的轴位层面上不好辨认腭鞘管。1 翼管,2 腭鞘管,3 犁鞘管,4 后沟。
最后,作者再次肯定了以后沟为标志在轴位CT上定位腭鞘管、区别犁鞘管的意义;同时指出,后沟在影像学上并非都是典型的管样表现,但在非典型案例里,其外侧缘一般清晰而锐利并且平行中线,依然是非常有用的标志。
四、腭鞘管的临床意义
【Ref:Apostolos Karligkiotis et al.Eur Arch Otorhinolaryngol. 2014 Oct;271(10):2839-43. doi: 10.1007/s00405-014-3111-6. Epub 2014 Jun 6】
腭鞘动脉(palatovaginal artery)或者称为咽动脉(pharyngeal artery),一般是上颌动脉的一支细小的终末分支,于翼腭窝内发出,走形于腭鞘管内。意大利Sassari大学的A. Karligkiotis等在2014年6月的《Eur Arch Otorhinolaryngol 》上通过介绍其诊治一例咽动脉造成的难治性后鼻孔出血的经验,向我们阐述了腭鞘管的临床意义。
一位66岁的男性患者因右侧鼻出血入院,评估情况后暂时予以鼻腔填塞。2天后拔除鼻塞并行鼻内镜检查,可见右侧蝶腭孔区域有持续性出血,遂双极电凝该侧蝶腭动脉,再次填塞鼻腔,效果良好。15天后患者再次因严重的右侧鼻出血入院,此时已有贫血,遂行血管造影,提示出血来自于右侧上颌动脉的一终末分支。尽管术中栓塞了上颌动脉的远端,但术后症状并未得到控制。因此患者接受了二次鼻内镜手术:术中开放蝶窦、筛窦,扩大右侧上颌窦窦口,去除部分腭骨眶突及上颌窦后壁内份骨质充分暴露翼腭窝,仔细探查蝶腭段上颌动脉及其分支,最终磨除腭骨蝶突后发现出血来自于咽动脉,予电凝离断。术后出血控制,随诊3年无复发。

局麻下经股动脉穿刺右侧颈外动脉造影,可见蝶骨体底水平的黏膜有迟发性出血(箭头所示),考虑责任血管为上颌动脉的终末分支。

左图为一例新鲜尸头标本的左侧腭鞘管解剖。右图为该患者二次鼻内镜手术时所见(右侧),磨除腭骨蝶突后见出血来源于咽动脉,予以双极电凝烧灼并离断,同时可见初次手术时烧灼离断的蝶腭动脉。S 鼻中隔,SS 蝶窦,NPh 鼻咽,SPA 蝶腭动脉,PhA 咽动脉,sb-SPA 鼻中隔后动脉,nb-SPA 蝶腭动脉的鼻腔外侧壁分支,VC 翼管。

左侧上颌动脉远端分支的示意图。SS 蝶窦,ET 咽鼓管,ION 眶下神经,ICA 颈内动脉,IMA 上颌动脉,DPA 腭降动脉,VA 翼管动脉,PhA 咽动脉,sb-SPA 鼻中隔后动脉,nb-SPA 蝶腭动脉的鼻腔外侧壁分支。
作者指出,咽动脉作为难治性鼻出血责任血管的案例罕见报道,但应引起足够重视,尤其是偶见咽动脉在咽鼓管区域与咽升动脉、甚至是腭升动脉吻合,增加了诊治的复杂性;同时,腭鞘管在鼻咽部肿瘤的发展侵犯中扮演了重要的角色,仔细处理咽动脉可获得更宽广的黏膜瓣行颅底重建,鼻内镜手术中烧灼咽动脉可获得更好的术野,而区别腭鞘管与翼管以利于寻找、保护翼管神经血管束更是意义重大。




