【Ref: Manet R, et al. Acta Neurochir (Wien). 2017 Oct;159(10):2003-2009. doi: 10.1007/s00701-017-3290-1. Epub 2017 Aug 8.】
控制颅内压(ICP)增高已有较多的方法。交通性外部脑积水(communicating external hydrocephalus)可以导致ICP增高,腰穿脑脊液外引流(ELD)是其治疗手段。近期,法国里昂大学医学中心神经外科的Romain Manet等评估ELD治疗创伤性或非创伤性脑损伤后交通性外部脑积水的有效性和安全性,结果发表在2017年8月的《Acta Neurochir (Wien)》在线。
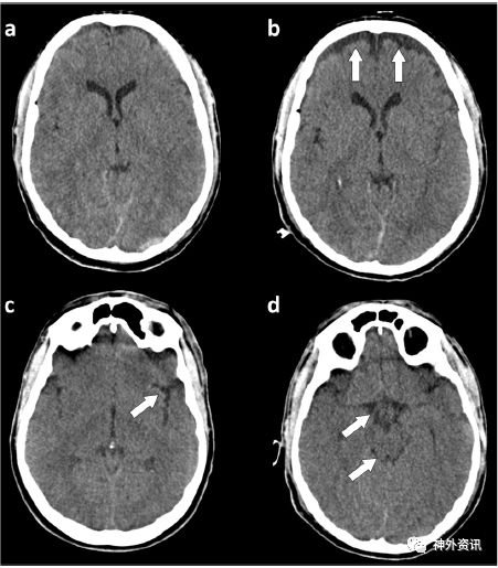
该项多中心回顾性研究纳入33例创伤性和非创伤性颅脑损伤后或药物治疗效果差,出现迟发性ICP增高的患者。通过影像学检查诊断为交通性外部脑积水(图1),对患者进行腰穿外引流治疗。记录患者ICP值的变化以及腰穿外引流后的并发症。

图1. CT显示典型的交通性外部脑积水。a.入院时头颅CT扫描;b.腰穿外引流前脑CT扫描,显示额部液体潴留(白色箭头);c.非正常的大脑外侧裂;d.基底池。药物治疗后ICP仍高于30mmHg时需要进行腰穿外引流。
结果显示,33例患者年龄34-61岁,平均51岁;创伤性颅脑损伤22例,其余11例为非创伤性。患者初始GCS评分4-11分,平均8分。8例患者在ELD之前进行过脑室外引流。腰穿外引流持续时间4-8天,平均5天。所有患者在腰穿外引流后ICP明显下降(图2);引流前:ICP 20-31mmHg,平均25mmHg;引流后:ICP 3-10mmHg,平均7mmHg;ELD前后的ICP差异有显著意义(p<0.001)。无患者在ELD后出现瞳孔变化或颅内出血并发症,仅有1例发生与ELD相关的感染。患者离开ICU时的mRS评分3-5,平均4分。10例患者神经功能预后较好,19例预后较差,4例死亡。

图2. ELD前与后1h的ICP改变。箱形图显示25-75th百分位范围的ICP数值。
最后作者指出,对于创伤性或非创伤性脑损伤后发生的交通性外部脑积水患者,腰穿外引流是控制颅内压的安全有效手段。
(Tim编译,《神外资讯》主编、复旦大学附属华山医院陈衔城教授审校)
相关链接




