今天为大家分享的是《颅脑创伤-神经重症病例周刊》第四十七期,由淄矿集团中心医院神经外科李业生主任带来的:“一例大面积出血性脑梗死合并心肺功能衰竭患者的成功救治”,文末由第四军医大学唐都医院神经外科重症创伤中心主任、“神外资讯中国颅脑创伤-神经重症专家组”委员李立宏教授对病例做出了精彩点评,欢迎阅读。
病例介绍
患者,女,73岁,突发言语及左侧肢体活动障碍1天伴意识不清2小时由外院转入,以往有冠心病、房颤病史多年,长期口服华法林、阿司皮林等抗凝药,查体:昏迷状,右侧瞳孔直径4mm,左侧2mm,左侧肢体瘫,经cT检查诊断为:右侧额颞顶叶大面积脑梗死并出血,右侧颞叶沟回疝,冠心病,心房纤颤。

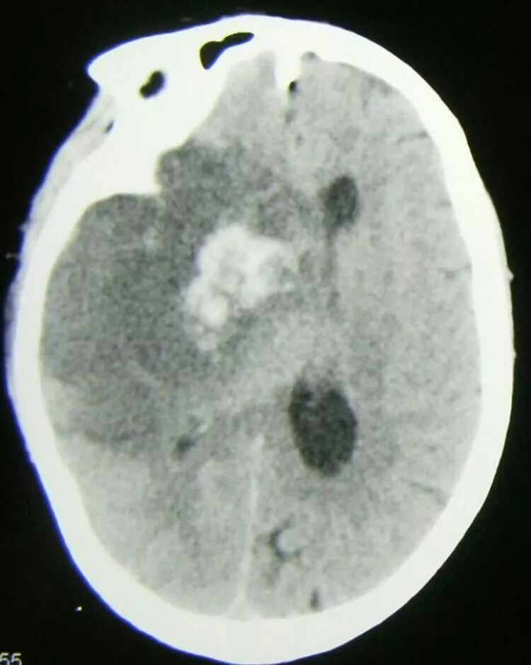
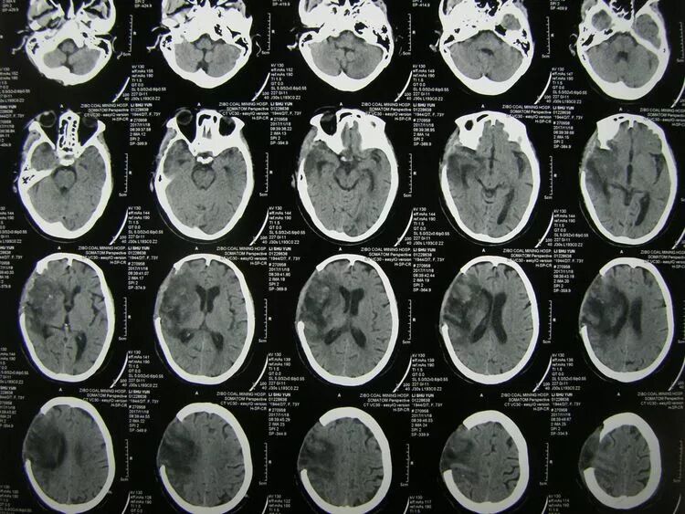
cT显示:右侧半球大面积低密度灶,内部存在高密度出血性,中线明显移位,鞍上池及三脑室消失。
诊疗经过

向家属交代病危,告之术中术后并发再出血及心肺功能衰竭的风险很高,救治效果差,欲后不良,但不手术现己出现导致生命危险的颅内占位,需要急症手术处理。家属慎重商议后表示同意积极手术抢救,有一分希望尽一百分努力,无怨无悔。故急症全麻下行开颅血肿清除去骨瓣减压术,考虑患者术前出现脑疝,为保持呼吸通畅以便必要时行呼吸机辅助呼吸,给予同期气管切开术,术中创面渗血严重止血困难,历时7小时完成手术。

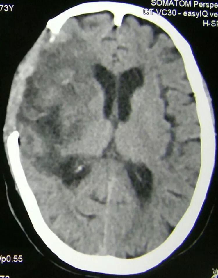
术后患者瞳孔恢复至等大,意识好转,刺激睁眼,cT复查:血肿清除满意,中线复位,三脑室及脑池显示清楚。
但患者术后第3天并发快速性房颤,心率达180次/分,血压下降,呼吸急促,O²饱和度下降,出现呼吸循环功能不全。

心电图示快速房颤,心率179次/分。

心脏超声示左心功能低下,心律紊乱。

B型纳尿肽前体显著增高4847pg/ml。

血气分析明显异常,氧分压59mmHg。

胸部cT示双肺炎症改变,双侧胸腔积液,心脏增大,心包积液,支持心肺功能重度不全的诊断。
再次向家属交代病危,患者现处于脑出血性梗死开颅术后脑水肿高峰期,又并发了严重的心肺功能不全,随时可因呼吸循环功能衰竭导致救治无效临床死亡。家属表示理解,并说:“我们有心理准备,完全想信你们的技术,也敬佩你们的服务,你们放心地尽全力抢救吧,不管什么结果我们都会接受的”。
家属的一席话也使我们信心倍增,给予呼吸机辅助呼吸,西地兰静注强心,地高辛维持,胺碘酮静注后微泵静脉维持以纠正心律,脱水利尿抗感染,防让血管痉挛,改善脑循环,应用脑活化剂,保持水电平衡,加强营养支持,并请呼吸心血管及重症科等相关科室联合会诊协助抢救。患者24小时后,生命体征好转并趋于平稳。

一周后患者意识逐渐恢复,生命体证平稳。


术后2周CT复查,水肿基本消退,中线良好,脑池清晰,脑室无扩张。

心电图复查,仍有房颤但心率正常。
在神经外科抢救治疗1个月,患者神志恢复,可言语,健侧肢体遵嘱活动,经口进流质饮食,出院康复。
体会小结:象这样脑,心,肺等多脏器联合严重功能不全病人的抢救成功是医患互信合作的交响曲,也是多学科相互配合的结晶,团结就是力量,合作就是共赢。
精彩点评
这是一例临床常见的大面积脑梗塞的重症救治病例,患者具有脑梗塞发生的高危因素(房颤、高龄等),病情进展较快,由于术前长期口服抗凝药物增加了手术难度,同时治疗过程中出现心肺等多脏器功能不全,这些都增加了整个疾病的救治难度。好的方面主要体现在:
1、手术指征把控好,术前虽存在相对的手术禁忌(凝血异常),但由于病情进展快,意识评分下降明显,瞳孔散大等情况,选择急诊开颅去骨瓣减压手术指征明确,手术时机把握较好。
2、多学科的通力协作好,及时发现颅脑以外的脏器功能异常,及时纠正处置,最终取得了较好的疗效。
但作为范例临床救治推广尚存在诸多不足:
1、抗凝治疗的停止与恢复指征不清及凝血功能监测存在不足:患者长期口服抗凝药物,术前及术后没有给出任何凝血功能及血小板功能检查结果,这对于术前手术准备及术后针对性处置至关重要。特别是房颤患者术后何时恢复抗凝没有任何描述。(会不会是导致后来出现房颤的原因呢?)
2、手术时间过长(7小时),手术的目的仅仅是去骨瓣减压,而不是清除梗塞后的出血,况且在术前明确存在凝血功能异常的情况下,选择清除血肿既增加了手术难度又完全没必要。同时过长的手术时间增加了患者液体丢失风险和手术与麻醉风险(比如心脏和感染),为后来病情变化埋下了伏笔。
3、围手术期监测不足:此患者存在诸多颅外高危因素,心脏功能、体液丢失、发热、内环境紊乱及高龄等,因此术后的监测与管理存在不足,很多的检查都是在术后第三天出现心肺功能异常的情况下急查的,说明预判不足。这也许也是出现后来房颤及心衰的因素之一。
4、术后出现房颤和呼吸困难,没有原因分析,仅仅给予了对症处理意见。这是不够的,不能起到临床示范作用:是心脏原发的?是由于感染原因诱发的?还是停用抗凝药物诱发的?是液体不足还是输液过多过快诱发的?有没有可能是电解质紊乱诱发的?等等原因皆没有分析。
5、心包积液及胸腔积液原因?心衰造成的?输液过多造成的?还是低蛋白血症造成的?还是有其他原因?等等。
6、脑梗塞合并心功能不全患者,对容量及血压监测要求较高,低血容量及偏低血压不利于脑部恢复,高容量及适当升高血压有会加重心脏风险,因此需要严密监测,这一点需要引起临床医生重视。
补充完善相关资料,并确实针对这个患者给出原因及分析,以及相应的处理办法,才是完整的有指导及推广意义的好病例分享。
李立宏 教授
唐都医院神经外科重症创伤中心主任
【颅脑创伤-神经重症病例周刊】往期回顾




