启事
“浙二神外周刊”不定期接收外院投稿,审核后发表。欢迎各专业同道联系我们,分享精彩病例、研究热点或前沿资讯。投稿请联系:shishi74@163.com
病史简介
患者,女性,10岁。因反复头痛伴生长发育迟缓3年, 经CT、MRI等检查后,诊断为“颅咽管瘤”收住我院。
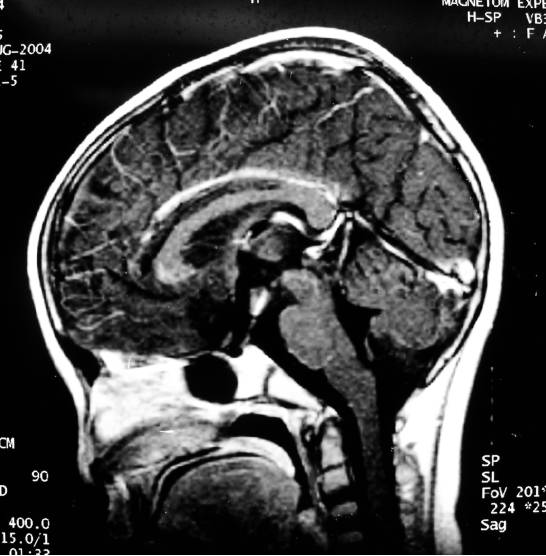
查体:T36.5℃,P102次/分,R24次/分,BP95/65mmHg,身高105 cm,体重18kg。神志清,精神好。颅神经检查未见异常,四肢活动正常,肌张力无增高,无肌震颤。感觉无异常,腱反射正常,病理征阴性。实验室检查:血、尿、便常规及血生化、电解质、肝肾功能均正常。垂体激素正常。头颅MRI检查,提示“鞍上颅咽管瘤”,向上突入第三脑室(图1)。

图1. MRI增强显示鞍上肿瘤,突入三脑室,肿瘤增强明显,部分囊变。
诊疗过程
经术前准备后,全麻下行右翼点入路颅咽管瘤切除术。术中见肿瘤位于鞍上视交叉后,大小约3.5cm×3cm×2cm,大部分为实质性,部分囊性变,灰褐色,质韧,下抵鞍膈孔,向上达三脑室,垂体柄呈薄片状。显微镜下予肿瘤全切,保留垂体柄。病理证实为颅咽管瘤。
术后即清醒,拔除气管插管后回病房。当晚体温38.8℃,24h尿量4050ml。次日查血电解质:K+ 4.41mmol/L,Na+161mmol/L,Cl-122mmol/L。予口服弥凝片,0.025mg,一天两次,并予静脉补液对症处理。复查MRI示肿瘤基本全切(图2)

图2.术后复查MRI示肿瘤基本全切。
术后第3天体温恢复正常,患儿精神良好,24h尿量降至1830ml,复查电解质:K+ 4.32mmol/L, Na+143mmol/L,Cl-103.2mmol/L。
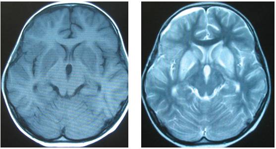
至术后第7天,患儿突发呕吐,抽搐两次,伴意识模糊,体温39.7℃,头颅CT复查未见明显异常。查血电解质:K+ 4.35mmol/L, Na+116mmol/L,Cl-77mmol/L,立即给予静脉补钠144.5mmol,同时给予解痉降温等对症处理,5小时后复查:K+5.09mmol/L,Na +119mmol/L,Cl-85mmol/L,再次予静脉补钠106mmol。第8天复查电解质无明显变化,K+ 3.82 mmol/L ,Na+115mmol/L,Cl-84mmol/L。继续补Na+ 174.25mmol。第9天K+4.13mmol/L,Na+130mmol/L,Cl-99mmol/L,补钠量减为68mmol。第10天,K+3.89mmol/L,Na+165mmol/L,Cl-133mmol/L.即停止补钠,并予补液处理。第11天恢复正常,K+4.17mmol/L ,Na+147mmol/L,Cl-110mmol/L。之后继续监测电解质均维持在正常范围,但体温一直偏高,波动于38.2-39.6℃之间,意识模糊。予鲁米那等对症处理。术后第20天,出现四肢肌肉粗震颤,以左上肢明显,并且反应淡漠。第27天,双下肢和左上肢呈肌强直,复查垂体激素正常。头颅MRI检查提示:双侧尾状核和壳核对称性长T1,长T2信号改变(图3),考虑为脱髓鞘变。

图3. 术后27天,双侧尾状核和壳核在MRIT1加权像上呈低信号,MRIT2加权像上呈高信号。
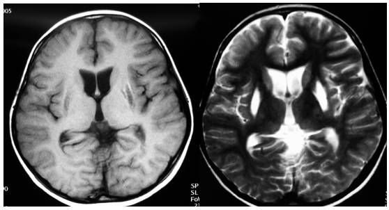
积极对症治疗,加强营养,谨慎地补液以维持电解质平衡,并予琥珀酸氢化考的松静脉滴注治疗,但肌强直及粗震颤无明显改善,仍有不规则高热,意识模糊。出院康复治疗。术后4月余随访症状稍有好转,但仍不能自理。术后1年随访,症状明显好转,可独立行走,生活自理(图4)。内分泌激素检查正常。复查MRI显示双侧尾状核和壳核软化灶(图5)。

图4.一年后随访,症状明显好转,可独立行走,生活自理。

图5.一年后复查MRI显示双侧尾状核和壳核软化灶
讨论
颅咽管瘤占颅内肿瘤的5-6%,约30%左右发生在14岁以下[1],临床上主要表现为视力障碍,发育迟缓及颅高压等症状,是儿童常见的良性颅内肿瘤。若能显微全切肿瘤,效果良好。但手术也有可能带来一系列并发症,尤其是肿瘤较大,侵及下丘脑,第三脑室等重要结构时,全切肿瘤有较高的风险 。常见的术后并发症有:尿崩症、高钠血症或(和)低钠血症、高热、癫痫,严重的甚至昏迷死亡。术后并发尾状核、壳核脱髓鞘变鲜有报道。
尾状核、壳核是纹状体的重要组成部分,它是运动系统中的皮层下调节机构。纹状体与大脑皮层及其他脑区有非常复杂的纤维联系,其中与大脑皮层之间的联系主要和运动控制有关。纹状体发生病理变化时,病人可表现出三种性质的运动障碍:
1,震颤或其他不自主运动;
2,姿势与肌肉张力的变化;
3,运动缺乏或缓慢,但没有瘫痪[2,3]。
本例患儿所表现的四肢肌肉强直,伴不自主震颤与头颅MRI所显示的双侧尾状核和壳核的脱髓鞘病变相吻合。
中枢神经系统的脱髓鞘病变与免疫反应、病毒感染、遗传素质、环境因素有关[4],还可继发于各种疾病引起的代谢紊乱或(和)电解质紊乱[5-7]。已有学者报道[5,6,8]:严重的低钠血症,可引起脑桥中央、脑桥外(尾状核和壳核)的脱髓鞘。这主要和低钠发生后补钠的方式有一定关系,尤其是24h内,钠浓度上升超过12mmol/L,就有可能引起脑神经组织脱髓鞘变[8]。低钠血症时补钠过快引起神经脱髓鞘的可能机理为:
(1)低钠引起脑组织水肿和颅内高压,脑灌注减少,脑组织受压甚至出现脑疝,从而引起脑组织缺氧。而神经细胞对缺氧非常敏感[5]。
(2)渗透压变化引起的血管源性水肿也可以造成神经脱髓鞘。渗透压的急剧升高引起脑血管内皮细胞皱缩,血脑屏障被打开,透过血管壁的物质交换也随之增加,神经细胞呈水肿状态,造成脱髓鞘变[5,9]。
(3)过快纠正低钠引起渗透压大幅度变化,造成少突胶质细胞受损,也是脱髓鞘变的重要原因。血浆大幅度渗透压变化引起脑组织内乳酸,氨基酸,水以及脑内渗透压的改变。中枢神经系统中组成髓鞘的主要成分-少突胶质细胞,对渗透压的变化特别敏感,极易受损伤[9]。而尾状核和壳核特殊的解剖结构,正是脱髓鞘变好发位置之一。该区域有大量神经细胞聚集,同时作为运动控制回路中的重要一个结构,又有大量的神经纤维穿插在尾状核和壳核的神经核团之间。大量神经细胞核团中血管分布非常丰富,很容易在渗透压变化时引起周围结构的血管源性水肿。而在神经核团中穿插分布的神经纤维正是脱髓鞘变的解剖基础。有小鼠动物实验证实[9]:小鼠脑中对钠离子浓度变化敏感的部位就是灰质和白质混杂的区域,包括纹状体(尾状核和壳核),丘脑和脑干等部位。
颅咽管瘤手术可影响到垂体柄、下丘脑,术后易发生尿崩及低钠血症,明显的低钠血症可产生严重的临床症状,甚至危及生命,需及时正确的治疗。低钠血症有两种类型:若由于水、钠均大量排出,同时造成低钠血症和低血容量,称为“脑耗盐综合症”[11]。若由于垂体柄、下丘脑的损伤,导致抗利尿激素从下丘脑不断漏出,使尿量减少,尿渗透压升高,.从而形成高血容量,造成血钠浓度的降低,则称为“抗利尿激素分泌异常综合症”[12]。因此,血容量、血钾及红细胞压积的监测,对两者的鉴别很有意义。低钠血症的治疗原则主要是补钠,但两者在具体治疗方案上还有所不同,脑耗盐综合症主要采取补钠,而抗利尿激素分泌异常综合症除补钠以外,还需限制水的摄入[11]。低钠血症一般经及时对症处理后多可恢复,但若处理不当也可造成严重后遗症。本病例虽然我们积极予对症处理,并最终电解质恢复正常,但仍造成尾状核、壳核脱髓鞘病变,其原因可能予补钠过快有一定关系。我们根据补钠公式,予以静脉补钠,但血钠浓度上升速度仍然超出了文献报道[8]的12mmol/24h,最高达30mmol/24h。为此,对颅咽管瘤及其他鞍区肿瘤手术,术中影响了垂体柄,有可能导致电解质紊乱者均应早期连续检测血电解质,特别是血钠水平,尤其在术后4-8天左右[13,14],抗利尿激素从损伤的下丘脑不断漏出时,易出现低钠血症更应提高警惕严密检测,甚至一天数次。当出现低钠血症,应及时早期补充,若发现已严重低钠,在补钠时应注意使血钠浓度缓缓上升至正常范围,最初24h内血钠浓度增加应小于12mmol/L,接下去的每一个24h单位内血钠浓度上升速度应更慢[8]。若单纯按补钠公式计算进行补钠,有可能会使血钠浓度上升过快,从而导致脱髓鞘变,这尤其值得引起我们重视。
脱髓鞘的治疗主要为:对症支持治疗,如有脑水肿可使用脱水剂如甘露醇,速尿,甘油等。注意加强营养。有报道认为ACTH及肾上腺皮质激素治疗亦有效[15]。脱髓鞘病变进展迅速,多数预后不佳。少数若能在早期即予纠正继发病因,早期对症治疗,也有可能得到良好的治疗效果,说明脱髓鞘改变早期有潜在的可逆性[6]。为此我们应加强检测,早期纠正,积极治疗。
参考文献
1. Samii M, Tatagiba M. Surgical management of craniopharygiomas: a review. Neuro Med Chir (Tokyo), 1991,37: 141-149.
2. André Parent, Lili-Naz Hazrati. Functional anatomy of the basal ganglia. I. The cortico-basal ganglia-thalamo-cortical loop. Brain Res Rev, 1995,20(1):91-127.
3. André Parent, Lili-Naz Hazrati. Functional anatomy of the basal ganglia. II. The place of subthalamic nucleus and external pallidum in basal ganglia circuitry. Brain Res Rev. 1995, 20(1):128-154.
4. Phillip DR Jr, Jill CB, Dana AK. Multiple sclerosis: Etiology, incidence and prevalence. Work, 1996,6(3):141-151.
5. Tien R, Arirff A, Kuchaeczyk W, et al. Hyponatremic encephalopathy: Is central pontine myelinolylsis a component? Am J Med, 1992, 92:513-522.
6. Tosaka M, Kohga H. Extrapontine myelinolysis and behavioral change after transssphenoidal pituitary surgery: case report. Neurosurg, 1998, 43:9330-9336.
7. Waragai M, Satoh T. Serial MRI of extrapontine myelinolysis of the basal ganglia: a case report. J Neurol Sci, Volume: 1998,161(2):173-175
8. Robert L, Barbara K. Pontine and extrapontine myelinolysis following rapid correction of hyponatraemia. The Lancet, 1988, 1:1439-1441.
9. B. K. Kleinschmidt-DeMasters, Michael D. Norenberg. Rapid correction of hyponatremia causes demyelination: relation to central pontine myelinolysis. Science, 1981, 211(6):1068-1070.
10. Wilson JD, Foster DW, Kronenberg HM, et al. Williams textbook of endocrinology. 9th ed USA: Harcout Publishers limited, 1998.
11. Biff F, Palmer. Hyponatremia in patients with central nervous system disease: SIADH versus CSW. Trends in Endocrinology and Metabolism, 2002, 14(4):182-187.
12. Poon WS, Lolin YI, Yeung TF, et al. Water and sodium disorders following surgical excision of pituitary region tumors. Acta Neurochir(Wien), 1996, 138(8): 921-927.
13. Taylor SL, Tyrell,JB, Wilson CB. Delayed-onset of hyponatremia after transsphenoidal surgery for pituitary adenomas. Neurosurgery, 1995, 37:649-653.
14.Kelly DF, Laws ER, Fossett D. Delayed hyponatremia after transsphenoidal surgery for pituitary adenoma. J Neurosurg, 1995, 83:363-367.
15. Nakano H, Ohara Y, Bandoh K, et al. A Case of Central Pontine Myelinolysis After Surgical Removal of a Pituitary Tumor. Surg Neurol, 1996, 46(1):32-36.
(本文由浙二神外周刊原创,浙江大学医学院附属第二医院急诊科李强副主任医生整理,张建民主任审校并终审)
往期回顾
浙二神外周刊(一百二十三)--库欣病合并全身多发占位性病变一例
浙二神外周刊(一百二十二)--经皮脊柱内镜手术切除腰椎巨大滑膜囊肿一例
浙二神外周刊(一百二十一)--孤立性室管膜下巨细胞星形细胞瘤一例
浙二神外周刊(一百二十)--伴有ALK融合基因的颅内转移性肺神经内分泌癌一例
浙二神外周刊(一百一十九)--静脉入路栓塞舌下神经管区硬脑膜动静脉瘘一例
浙二神外周刊(一百一十八)--儿童中央区病灶致顽固性癫痫外科手术一例
浙二神外周刊(一百一十七)--丙戊酸钠相关高血氨脑病一例
浙二神外周刊(一百一十六)--儿童眶尖-海绵窦-颞下窝病变一例
浙二神外周刊(一百一十四)--高血压性脑干出血治疗--浙二的观点
浙二神外周刊(一百一十三)--“复合高压锅技术”治疗横窦区硬脑膜动静脉瘘一例
浙二神外周刊(一百一一十二)--应用新型动脉瘤内栓塞装置(WEB)栓塞前交通未破裂动脉瘤一例
浙二神外周刊(一百一十一)--儿童四脑室室管膜瘤术后并发胃瘫综合征一例
浙二神外周刊(一百零八)--新发现AIP基因突变位点的家族性单纯性GH瘤家系一例
浙二神外周刊(一百零七)--自发性低颅压致双侧硬膜下血肿一例
浙二神外周刊(一百零六)--张建民教授牵头国家重点研发计划:“基于脑机接口的脑血管病主动康复技术研究及应用”正式启动
浙二神外周刊(一百零五)--颅骨板障表皮样囊肿合并慢性硬膜外血肿一例
浙二神外周刊(一百零四)--内镜辅助显微手术半椎板入路切除儿童颈髓腹侧肠源性囊肿一例
浙二神外周刊(一百零三)--颅骨缺损修补术后并发急性脑肿胀一例
浙二神外周刊(一百零一)--胶质瘤的病理特征与位置分布的关系
浙二神外周刊(九十九)--垂体生长激素腺瘤卒中伴发脑梗塞一例
浙二神外周刊(九十六)--桥小脑角脑膜瘤伽马刀后并发PICA血栓性动脉瘤一例
浙二神外周刊(九十四)--颅内表皮样囊肿自发破裂伴血清CA-199显著升高一例
浙二神外周刊(九十二)--鞍上毛细胞黏液样星形细胞瘤伴自发性出血一例
浙二神外周刊(九十一)--2017西湖神经外科论坛成功召开!
浙二神外周刊(九十)--以尿崩症为首发表现的Erdheim-Chester病一例并文献复习
浙二神外周刊(三十七)--垂体瘤伴发鞍结...
浙二神外周刊(三十六)--脑膜血管瘤病...




