启事
“浙二神外周刊”不定期接收外院投稿,审核后发表。欢迎各专业同道联系我们,分享精彩病例、研究热点或前沿资讯。投稿请联系:shishi74@163.com
病史简介
患者,女,10岁9月,因“头痛1月余,加重伴呕吐5天”入院。
患者于1月前无明显诱因下出现头痛,无其他明显不适,未予重视。5天前患者头痛症状加重并伴有呕吐,呕吐较剧烈,当地医院就诊,头颅增强MRI示:“左侧侧脑室前角占位性病变,双侧侧脑室、第三脑室、第四脑室扩张”,予脱水、补液等对症治疗,患者症状好转。今为求进一步治疗来我院就诊,门诊拟“脑室肿瘤”收住入院。
入院查体:皮肤和粘膜:无殊,神经系统查体无阳性体征。
患者既往体健。
入院后完善头颅增强MRI检查:头颅增强MRI示左侧侧脑室前角占位,考虑脉络丛乳头状瘤。(大体:肿瘤瘤块突入侧脑室,局限性生长,可见钙化)(图1)。

图1. A.增强MRI见左侧侧脑室前角占位,大小30mmX37mmX48mm(左右X前后X上下)B.双侧侧脑室、第三脑室、第四脑室扩张。中线结构居中。C.D.呈多发结节状,边界清晰
科室讨论:根据患者病史、临床表现及影像学检查结果,考虑“左侧侧脑室肿瘤”。手术指征明确,拟行“经胼胝体侧脑室肿瘤切除术”
手术治疗
术中所见:切开胼胝体进入侧脑室,可见肿瘤位于脑室前部,部分较软、色微红、血供丰富,游离于脑室内,另外一部分淡黄色、质地硬、松质骨样、血供不丰富,该部分和脑室前角无明显界限。术中取部分送冰冻切片病理检查,结果提示“(左侧脑室)多形性细胞肿瘤,倾向胶质瘤,高级别”。(左侧脑室肿瘤,第2次)钙化组织,呈砂粒体样,间质少量梭形细胞,无异型性。请结合临床。”。遂予分块切除肿瘤,肿瘤切除完全。标本送常规病理。患者术后恢复良好,无明显不适,顺利出院。
病理结果
(左侧脑室)室管膜下巨细胞星形细胞瘤,伴显著钙化,WHO I 级(图2)。建议检测TSC1和TSC2基因突变以除外结节性硬化症。
免疫组化结果(图3):EMA -,GFAP +,S-100 +,NeuN-,Syn 散在+,CD56 +,CK(AE1/AE3) -,P53 约10%+,Ki-67 <5%+,INI-1 存在,E-Cadherin 部分+,Vimentin +,NF -,CD99 -,NSE +,CD34 示血管,IDH1 R132H -,ATRX 存在,Olig-2 -。

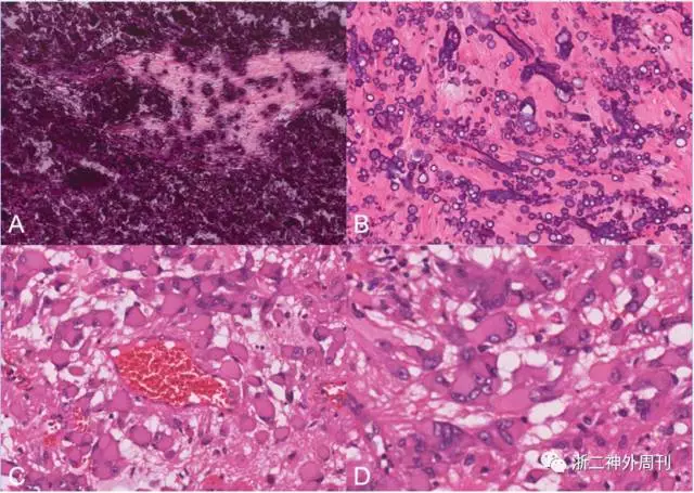
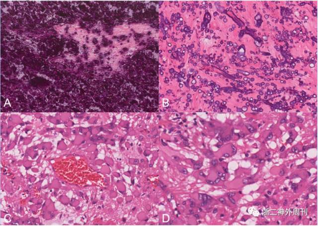
图2. 肿瘤由富于钙化区和富于细胞区组成(HE染色)。A,B:肿瘤富于钙化区见大量砂砾体样钙化及血管壁钙化; C,D:肿瘤富于细胞区呈片状生长,细胞呈圆形、多角形,胞浆丰富,嗜酸性,具有胶质纤维突起,可围绕小血管形成假菊形团;可见明显的核仁,多形性核,及多核巨细胞,未见核分裂像。

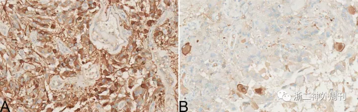
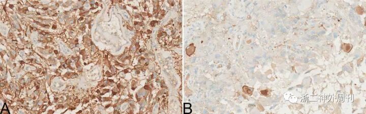
图3. 免疫组织化学示A.GFAP染色阳性;B. Syn散在阳性。
讨论
室管膜下巨细胞星形细胞瘤(Subependymalgiant-cell astrocytoma, SEGA)为少见的颅内肿瘤,属于星形细胞瘤的一种,好发于20岁以下的青少年,常伴发于结节性硬化(Tuberous sclerosis,TSC)的患者,约占TSC的5.0%~14.3%[1, 2]。孤立性SEGA者罕见,仅有约40例的报道[3-5,8]。
临床表现:由于SEGA好发部位通常位于位于侧脑室管膜,亦可位于矢状窦旁及幕上半球脑实质内[1-3], 常合并脑积水,其临床特点是由于脑积水,而引起颅内压升高和癫痫发作,脑积水的发生由于肿瘤突入脑室引起脑脊液通路的阻碍[6]。
TSC经典的Vogt三联征:颜面部纤维血管瘤、癫痫和智力障碍[7]。TSC是一个常染色体显性遗传性疾病,由肿瘤抑制基因(TSC1和TSC2)突变所致,表现为多个器官(心脏,肾脏,皮肤和脑等)的良性肿瘤,皮肤和神经系统最常受累。TSC常伴发颅内多种肿瘤,其中以SECA居首,其次为室管膜下结节、白质错构瘤,大脑皮层结节,血管内皮细胞瘤,胶质母细胞瘤,神经纤维瘤和星形细胞瘤。
本病例主要临床表现为头痛及呕吐,临床查体未发现皮肤改变及明显智力障碍,无家族性遗传病病史,影像学MRI表现左侧侧脑室结节,未见大脑中多发结节及其它合并肿瘤,未发现有TSC相关的系统症状,为一例单发的SEGA。但是由于SEGA和结节性硬化症相关,特别是伴发颅内肿瘤的情况下,与相关的癫痫,智力低下的风险很高,影响患儿童年和青春期[6, 9]。有颅脑特征的此类疾病,必须进行随访与检查。此例也需进一步行TSC1/2突变检测。
在2012年华盛顿共识会议上,专家小组将SEGA定义为在任何方向上超过1厘米大小或在任何位置显示室管膜下病变的憩室沟的病变,不管大小,连续成像、连续增长。对比剂给药后,大部分SEGA显示出强烈的增强作用; 然而,即使在没有增强的情况下,增长的室管膜下病变也应该被认为是SEGA[10]。
由于此类肿瘤临床表现缺乏特异性,肿瘤成分及比例复杂多样,影像表现各不相同,术前常不能得到准确诊断[1-3]。本例患者的症状及影像学表现,我们术前诊断认为脉络丛乳头状瘤,室管膜下巨细胞星形细胞瘤并没有首先考虑。
影像学表现:影像学改变与脑室好发肿瘤相比,缺乏特异性,其诊断需要与病理组织学相结合。
组织学表现:组织结构上,肿瘤成分由瘤细胞,血管,胶质纤维基质及偶尔钙化组成,无明显坏死区域。肿瘤细胞成片状生长,排列紧密,细胞界限清,可呈现三种细胞形态,圆形(肥胖样细胞),多角形(神经节细胞样细胞)及梭形细胞,细胞巨大为其特点,胞浆嗜酸性,玻璃样或均质改变,核偏位,核染色质细颗粒状,泡状核,核仁明显,但核分裂像少见;血管丰富,壁薄,无内皮细胞增生及坏死,肥胖样细胞常散乱围绕扩张的小血管成假菊形团结构,或者这些巨大的瘤细胞被血管分隔为分叶状;间质丰富,由大量胶质纤维或嗜酸性均匀一致的无结构物质组成;偶可见钙化明显。肿瘤细胞出现多形性、核的多形性、多核细胞,或出现核分裂像,并不提示肿瘤间变。本病例主要为肥胖样细胞及节细胞样细胞组成,梭形细胞少见,可见双核细胞及巨核,多核细胞。免疫组化研究表明,SEGA部分肿瘤细胞可表达GFAP、NSE和Syn,证实存在神经元和神经胶质两方面的表型,甚至有神经内分泌的分化[11, 12]。提示其可能起源于具有多向潜能的神经干细胞或不成熟的神经胶质前体细胞。本例肿瘤细胞亦不同程度表达GFAP、NSE和Syn。
治疗原则:SEGA属于颅内良性肿瘤,WHO分级为I级。因此只要I期手术彻底切除,预后非常理想,且手术后不必放疗和化疗。目前仅有个案报导SEGA转移到脊髓及软脑膜,呈现恶性行为[13]。如果瘤中混合有星形细胞瘤II级的成分,则需个性化治疗,术后酌情进行放疗和(或)化疗。
最近的临床研究证实,mTOR制剂能缩小TSC相关的SEGA病变,是一种安全有效的新型治疗方法。 欧洲和美国,依维莫司(mTOR制剂)已被批准用于合并TSC的SEGA治疗[14],但肿瘤停药后几个月会复发,需要持续治疗[15],药物的长期疗效需进一步的研究。
预后:SEGA预后较好,但由于其血供十分丰富,所以术前作出诊断非常必要,有利于临床制定相应的术前计划。肿瘤切除后,脑积水症状明显改善,患者术后15年生存率为80%[16]。
结论:室管膜下巨细胞星形细胞瘤属于颅内良性肿瘤,WHO I级,手术切除是治疗的首选方案,全切患者一般预后良好,由于SEGA常伴发于TSC,在遇到SEGA 患者时要检查中枢神经系统是否有皮质结节、室管膜下结节、白质错构瘤等外,此外,还应检查面部皮肤、肾脏、心脏等多系统器官。
参考文献
1. Cuccia, V., et al., Subependymal giant cellastrocytoma in children with tuberous sclerosis. Childs Nerv Syst, 2003. 19(4): p. 232-43.
2. Nabbout,R., et al., Early diagnosis of subependymal giant cell astrocytoma in childrenwith tuberous sclerosis. J Neurol Neurosurg Psychiatry, 1999. 66(3): p. 370-5.
3. Kumar, R.and V. Singh, Subependymal giant cell astrocytoma: a report of five cases. NeurosurgRev, 2004.27(4): p. 274-80.
4. Sinson, G.,et al., Subependymal giant cell astrocytomas in children. Pediatr Neurosurg,1994. 20(4): p. 233-9.
5. Watanabe,Y., et al., [A case of subependymal giant cell astrocytoma not associated withtuberous sclerosis]. No Shinkei Geka, 2003. 31(5): p. 543-8.
6. Raju, G.P.,D.K. Urion, and M. Sahin, Neonatal subependymal giant cell astrocytoma: newcase and review of literature. Pediatr Neurol, 2007. 36(2): p. 128-31.
7. Jansen,F.E., O. van Nieuwenhuizen, and A.C. van Huffelen, Tuberous sclerosis complexand its founders. J Neurol Neurosurg Psychiatry, 2004. 75(5): p. 770.
8. Kashiwagi,N., et al., Solitary subependymal giant cell astrocytoma: case report. Eur JRadiol, 2000.33(1): p. 55-8.
9. Nishio, S.,et al., Subependymal giant cell astrocytoma: clinical and neuroimaging featuresof four cases. J Clin Neurosci, 2001. 8(1):p. 31-4.
10. Roth, J.,et al., Subependymal giant cell astrocytoma: diagnosis, screening, and treatment.Recommendations from the International Tuberous Sclerosis Complex ConsensusConference 2012. Pediatr Neurol, 2013. 49(6):p. 439-44.
11. Kim, S.K.,et al., Biological behavior and tumorigenesis of subependymal giant cellastrocytomas. J Neurooncol, 2001.52(3):p. 217-25.
12. You, H., etal., Immunohistochemical study of central neurocytoma, subependymoma, andsubependymal giant cell astrocytoma. J Neurooncol, 2005. 74(1): p. 1-8.
13. Telfeian,A.E., et al., Subependymal giant cell astrocytoma with cranial and spinalmetastases in a patient with tuberous sclerosis. Case report. J Neurosurg,2004. 100(5 Suppl Pediatrics): p.498-500.
14. Jozwiak,S., M. Mandera, and W. Mlynarski, Natural History and Current Treatment Optionsfor Subependymal Giant Cell Astrocytoma in Tuberous Sclerosis Complex. SeminPediatr Neurol, 2015. 22(4): p.274-81.
15. Beaumont,T.L., D.D. Limbrick, and M.D. Smyth, Advances in the management of subependymalgiant cell astrocytoma. Childs Nerv Syst, 2012. 28(7): p. 963-8.
16. Turgut, M.,et al., Subependymal giant cell astrocytoma associated with tuberous sclerosis:diagnostic and surgical characteristics of five cases with unusual features.Clin Neurol Neurosurg, 1996. 98(3):p. 217-21.
(本文由浙二神外周刊原创,浙江大学医学院附属第二医院病理科贺晓娟住院医师整理,病理科许晶虹副主任医师提供病理诊断意见及审校,张建民主任终审。)
往期回顾
浙二神外周刊(一百二十)--伴有ALK融合基因的颅内转移性肺神经内分泌癌一例
浙二神外周刊(一百一十九)--静脉入路栓塞舌下神经管区硬脑膜动静脉瘘一例
浙二神外周刊(一百一十八)--儿童中央区病灶致顽固性癫痫外科手术一例
浙二神外周刊(一百一十七)--丙戊酸钠相关高血氨脑病一例
浙二神外周刊(一百一十六)--儿童眶尖-海绵窦-颞下窝病变一例
浙二神外周刊(一百一十四)--高血压性脑干出血治疗--浙二的观点
浙二神外周刊(一百一十三)--“复合高压锅技术”治疗横窦区硬脑膜动静脉瘘一例
浙二神外周刊(一百一一十二)--应用新型动脉瘤内栓塞装置(WEB)栓塞前交通未破裂动脉瘤一例
浙二神外周刊(一百一十一)--儿童四脑室室管膜瘤术后并发胃瘫综合征一例
浙二神外周刊(一百零八)--新发现AIP基因突变位点的家族性单纯性GH瘤家系一例
浙二神外周刊(一百零七)--自发性低颅压致双侧硬膜下血肿一例
浙二神外周刊(一百零六)--张建民教授牵头国家重点研发计划:“基于脑机接口的脑血管病主动康复技术研究及应用”正式启动
浙二神外周刊(一百零五)--颅骨板障表皮样囊肿合并慢性硬膜外血肿一例
浙二神外周刊(一百零四)--内镜辅助显微手术半椎板入路切除儿童颈髓腹侧肠源性囊肿一例
浙二神外周刊(一百零三)--颅骨缺损修补术后并发急性脑肿胀一例
浙二神外周刊(一百零一)--胶质瘤的病理特征与位置分布的关系
浙二神外周刊(九十九)--垂体生长激素腺瘤卒中伴发脑梗塞一例
浙二神外周刊(九十六)--桥小脑角脑膜瘤伽马刀后并发PICA血栓性动脉瘤一例
浙二神外周刊(九十四)--颅内表皮样囊肿自发破裂伴血清CA-199显著升高一例
浙二神外周刊(九十二)--鞍上毛细胞黏液样星形细胞瘤伴自发性出血一例
浙二神外周刊(九十一)--2017西湖神经外科论坛成功召开!
浙二神外周刊(九十)--以尿崩症为首发表现的Erdheim-Chester病一例并文献复习
浙二神外周刊(三十七)--垂体瘤伴发鞍结...
浙二神外周刊(三十六)--脑膜血管瘤病...




