今天为大家分享的是由苏州九龙医院神经外科沈李奎医师编译,《神外资讯》常务编辑、海军军医大学附属长征医院神经外科徐涛医师审校的:经胼胝体穹窿间入路手术策略与技巧,欢迎观看、阅读。
Transcallosal resection of colloid cyst-Pitfalls
Transcallosal Colloid Cyst
Transcallosal colloid cyst resection-Lateral position
手术入路的选择指证和术前注意事项
穹窿间入路是经胼胝体入路的变化形式之一,即在穹窿柱之间(穹窿间沟内)到达三脑室进行操作。只有因透明隔间隙存在或者因肿瘤扩大了穹窿间沟时,笔者才使用这一入路。切开和分离融合在一起的两侧正常穹窿体会导致明显的相关风险。笔者认为,如果没有其他手术入路可以使用,这些风险是可承受的。

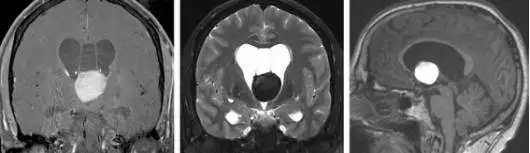
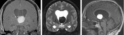
图1. MRI显示一个大的出血性胶样囊肿。透明间腔(第五脑室)的存在创造了穹窿间的潜在空间,这有利于穹窿间入路的使用。
手术解剖
穹窿间入路是通过中线入路显露中线病变,因此术中盲区可达最小化。

图2. 显示经脉络丛和穹窿间的分离(上排)。注意经穹窿间入路广泛打开大脑内静脉和三脑室底后更开阔的显露。下图更进一步说明三脑室底相关的解剖结构。这种广泛的显露可能以双侧穹窿体的潜在损伤为代价。不要过度牵拉非常容易损伤的大脑内静脉。
经胼胝体-穹窿间入路
患者正常头位或者侧位(矢状缝平行于地面)均可进行穹窿间入路。手术开始阶段包括显露、经胼胝体进入,请参考《半球间开颅术》和《侧脑室肿瘤》中相关内容。
硬膜下阶段
经胼胝体切开的角度应该指向穹窿间沟。下面的图例展示患者仰卧位时的手术角度。笔者常常摆放侧卧位以便利用重力牵拉脑组织。

图3. 一旦进入右侧侧脑室,首先,电凝并切除透明隔到达穹窿体的背部水平。然后,笔者沿着穹窿间沟分离穹窿柱;肿瘤常常会即刻显露。常见的是肿瘤在双侧穹窿体间建立了一个自然的分离平面。透明隔与穹窿的连接提供了一个穹窿间沟的解剖标志。

图4. 切除大肿瘤时或许可以联合使用穹窿间入路和经室间孔入路。

图5. 根据肿瘤大小和肿瘤主体定位决定采用单侧或者双侧脑室通道。可以通过一侧或者双侧室间孔切除肿瘤。

图6. 在肿瘤囊壁上方轻柔的移动穹窿体(上)。穹窿间沟的显露从室间孔水平开始向后延伸2cm。接下来,进入肿瘤囊壁开始肿瘤内减压(下)。

图7. 需要用超声刀移除肿瘤,而不能过度牵拉包括三脑室壁在内的重要周边结构(上)。也可以经扩大的室间孔移除肿瘤的前极(下)。

图8. 小心从大脑内静脉上分离肿瘤(上)。迷你的角度镜(齿科镜)能扩大视野角度来显露/检查三脑室后上部(术中盲区)(下)。

图9. 图示切除肿瘤采用小型右额开颅和半球间入路(左)。患者头侧位,使右侧位于下方。新手在侧位时可能会迷失指引手术通道的重要解剖标志。

图10. 切开胼胝体1.5-2.0cm后即可通过透明隔正常间隙和扩大的穹窿间沟显示灰白色的肿瘤包膜。左侧穹窿采用箭头标识。穹窿柱间的自然分离对于安全应用穹窿间入路十分重要。
一旦成功进入右侧脑室,笔者将进入透明隔间腔寻找穹窿间沟。如果双侧透明隔融合在一起,笔者尝试在二者之间寻找潜在的小间隙。如果这样仍然不太容易,笔者用双极电凝切除部分透明隔,直至穹窿体背部,然后用显微器械锐性分开穹窿间沟。

图11. 高倍镜下的术野(与图4相比较):经透明隔间腔显示左侧穹窿(黄色箭头)和经穹窿间沟显示肿瘤包膜(位于双极镊子头处)。

图12. 采用显微剪刀分离双侧大脑内静脉(蓝色箭头)后显露肿瘤包膜后方(上图)。这一分离有助于识别三脑室壁(*)和囊肿后壁(下图)。

图13. 肿瘤前壁小心从穹窿柱(黄色箭头)上分离。
最后,完整取出囊肿。尽可能减少对穹窿的骚扰是成功的关键。
海马联合恰好位于在Monro孔往后1.5-2.0cm之后,应该被识别并加以保护。所以如果尝试积极分离双侧融合的穹窿体,应该在Monro孔后方1.5-2.0cm内进行,这样可尽可能减少对记忆的不利影响。
术后注意事项
短期的记忆障碍在接受这一入路之后并不少见。这一并发症可能在术后3-6个月后消失。建议术后给予一定的神经心理学治疗减少患者不适。
点睛之笔
使用这一手术入路的指证有限。笔者仅当穹窿间沟被透明隔间腔或者肿瘤扩大时采用这一手术入路。
(编译:沈李奎;审校:徐涛)
DOI: https://doi.org/10.18791/nsatlas.v4.ch05.5.3.3
中文版链接:https://www.medtion.com/atlas/4363.jspx




