【Ref: Kim H,et al. J Korean Neurosurg Soc. 2017 Nov;60(6):730-737. doi: 10.3340/jkns.2017.0210. Epub 2017 Oct 25.】
急性外伤性硬膜下血肿术后往往会发生脑积水,影响治疗效果和预后。众多因素可导致术后脑积水的发生,早期发现和处理可降低术后严重并发症的发生率。韩国明知大学附属医院神经外科的Han Kim等回顾性分析外伤性硬膜下血肿手术患者脑积水发生的危险因素,结果发表在2017年11月的《J Korean Neurosurg Soc》杂志。
该研究纳入63例2005年12月至2016年1月间接受开颅清除血肿和初次接受单侧去骨瓣减压的急性外伤性硬膜下血肿患者。根据是否出现术后急性脑积水分为两组,主要分析下列因素的影响,包括硬膜下血肿厚度,中线偏移程度,是否伴有脑实质内出血、脑室内出血、蛛网膜下腔出血和大脑镰硬膜下血肿,脑水肿的程度以及颅骨切除边缘与中线偏移位置间的平均距离(图1、2、)。

图1. 脑水肿定义为改良前角指数a/b≥33%。

图2. 硬膜下血肿的厚度(a)和中线的偏移程度(b)。

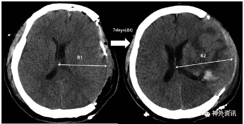
图3. 脑水肿进展速度计算公式(R2-R1)/t。
63例患者中,34例(53%)出现脑积水。单因素分析发现,术前伴有脑室内出血的患者术后易出现脑积水,另外,术前硬膜下血肿体积较大、中线偏移明显者更易发生术后脑积水。多因素分析显示,硬膜下血肿量(p=0.019)、中线偏移程度(p<0.001)、伴有脑室内出血(p=0.012)是术后发生脑积水的独立危险因素(表1)。去除的骨瓣大小、脑水肿的程度和血肿位置等对患者术后发生脑积水的影响较小。
表1. 术后出现脑积水的危险因素。

SDH:硬膜下血肿;ML:中线;CE:颅骨切除;IVH:脑室内出血。
由此可见,急性外伤性硬膜下血肿患者,如果血肿体积较大,或伴有脑室内出血,或中线移位明显者,术后必须密切随访,尽量做到早发现早治疗脑积水。
(浙江大学医学院附属第二医院TMC编译,复旦大学附属华山医院花玮博士审校,《神外资讯》主编、复旦大学附属华山医院陈衔城教授终审)
相关链接




