历史
球囊压迫治疗三叉神经痛的想法源于两位试图减压半月神经节的外科医生。
早在1952年,Taarnhöj通过颞下入路分离硬脑膜对10位患者的三叉神经节后根进行减压。
后来,Shelden和他的同事在更远处,即圆孔与卵圆孔处对神经进行减压,他们由此也得出一个猜想,认为疼痛缓解的主要原因是手术对神经节的损伤,而非减压。为了验证这个猜想,Shelden和他的同事率先开展半月神经节后根切断术,取得了理想的临床结果。
1983年,Mullan与Lichtor将这种开放式手术改进为经皮入路手术,在1996年,Brown将其进一步改进。通过人工或球囊压迫神经,损伤与疼痛相关的中等和粗大的有髓神经纤维,可保留小而细的有髓及无髓纤维。由于经皮球囊压迫术式可保留角膜反射,因此特别适用于三叉神经V1支疼痛。
由于该手术可导致暂时性甚至永久性(少见)的咬肌无力,对侧咬肌无力(Contralateral master weakness)也成为手术相对禁忌症。而对于双侧翼状肌或咬肌无力的患者则非禁用,因手术仅可能造成中度咀嚼功能障碍。
更多关于手术的指征、禁忌症以及不同经皮术式效果的细节,可以查阅三叉神经痛治疗总则一章。
手术过程
更多穿刺的细节请查阅卵圆孔穿刺一章。
球囊压迫是笔者个人比较钟爱的经皮术式,不仅因为其在技术上的有效性,更因为无需患者的配合,可以将其麻醉,操作更为舒适。在插管之后,经皮或经食道的心脏起搏器或复律器可用于应对可能发生的强烈的三叉神经抑制反应。
采用市面上常见的Mullan经皮穿刺微球囊压迫三叉神经节装置(Cook Medical, Bloomington)。这套装置由穿刺针和套管、钝性针芯及微球囊导管组成。另外,也可用包含套管的13或14号钝针并通过Hartel入路穿刺卵圆孔。

图1. Mullan经皮穿刺微球囊压迫三叉神经节装置包括内套管穿刺针、钝性与锐性针芯、微球囊导管。做皮肤穿刺切口的手术刀片未在图中展示。由于钝针的口径较大,不建议直接用针尖穿入皮肤。

图2. 装置展示(上图)。标记在球囊导管上的远端与近端的黑线分别提示针尖处球囊的位置以及球囊最后的位置。
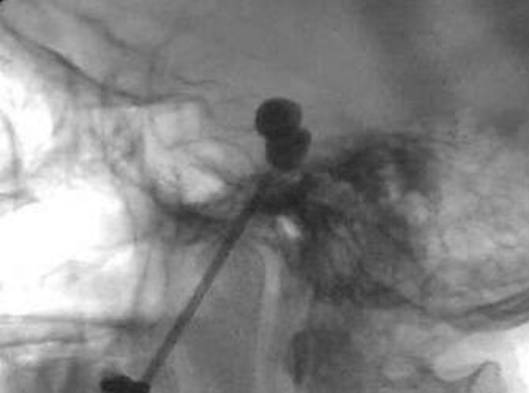
X线引导下,穿刺针进入卵圆孔后,准备4号Fogarty球囊导管,用造影剂检查球囊密封性是否完好并排除囊内空气。拔出穿刺针针芯,将球囊导管沿穿刺针管心插入,通过标记线可判断导管相对于针尖的进入深度,通常插入的导管比针尖深约17mm。由于球囊沿着Meckel’s腔上方充盈常导致其越过岩骨嵴而移位至后颅窝,故应尽可能地将球囊放在靠近颅底的位置。

图3. 针尖靠近颅底但未穿出卵圆孔(上图),碘海醇造影剂0.5ml缓慢充盈球囊,在X线引导下,观察球囊的充盈情况。球囊位置向圆孔轻微扩展(下图蓝色箭头)。特征性的梨状外观表明球囊进入Meckel’s腔,其下方由岩骨围成,上方为硬脑膜缘。

图4. 针尖抵达颅底卵圆孔(左图);微球囊向三叉神经分支走向的眶上裂、圆孔和卵圆孔轻微扩张(右图箭头)。
最理想的球囊形状应为梨形外观。梨状球囊的囊内压力约为1000-1200mmHg,持续压迫约60-180s。通常不必测囊内压,可通过注射器注入造影剂时阻力变化来大致判断囊内压(0.75-1ml)。一旦阻力大到无法继续注射就应停止,强行注射会导致球囊爆裂。对再次手术患者,球囊压迫时间为120-180s。

图5. 上方过度充盈的球囊会压迫海绵窦内外展神经导致神经麻痹。若球囊形态不佳,可能是因为导管尖端移位至Meckel’s 腔外侧而进入中颅窝,此时应抽掉造影剂并重新调整导管位置。
球囊压迫完成后,回抽造影剂排空球囊,并与穿刺针一并撤出,压迫穿刺点。拔管后,一些病人可能会有剧烈的烧灼痛,这种症状常在几个小时后自行缓解。术后病人可在院观察24小时或当天出院回家。
点睛之笔
穿刺卵圆孔时,针尖穿刺Meckel’s腔不宜过深,以免球囊过度充盈越过岩骨嵴进入后颅窝。
用于球囊压迫的穿刺针粗于射频和甘油注射治疗用针,穿刺造成的血管损伤风险较高。




