卵圆孔的解剖变异和孔内骨脊的存在,使得在骨孔内放置穿刺针非常具有挑战性。因而,外科医生的经验是成功进行骨孔穿刺的重要因素。
为了成功完成经皮神经根阻断术,需要采用Hartel技术对卵圆孔进行穿刺。所有的(三叉神经痛)经皮治疗方法,包括球囊压迫、射频毁损及甘油注射,均需Hartel技术。以下分别讨论每种神经根阻断术的操作方法。
手术解剖
以下图像显示的是卵圆孔相关解剖结构

图1. 中颅窝底的骨性解剖结构。注意卵圆孔和周围骨孔之间的位置关系,它的上面观(A)和下面观(B)。(图片由AL Rhoton,Jr授权)

图2. 翼上颌裂的斜视图。注意卵圆孔(箭头)与翼突外侧板和下颌窝的位置关系。如果穿刺针不是适当地采用由下往上的方向进针,垂直的卵圆孔后唇会阻碍其穿刺。(图片由AL Rhoton,Jr授权)

图3. 移除硬脑膜的骨膜层后切开右侧的Meckel囊和海绵窦。放置穿刺针或套管至骨孔内侧能够让球囊、电极或甘油溶液充分接触三叉神经根并进入三叉神经池。(本图由J Neurosurg杂志提供:Foramen ovale puncture, lesioning accuracy, and avoiding complications: Microsurgical anatomy study with clinical implications. J Neurosurg 2013;119: 1176-1193. )

图4. 卵圆孔周围的安全区和危险区。绿色区域代表穿刺针可以反复探查颅底寻找骨孔的安全区。橙色区域代表穿刺针有可能损伤颈内动脉或颈内静脉的危险区。最好是瞄准穿刺针进入前方区域然后向后调整针尖直到穿进骨孔。

图5. 左卵圆孔(虚线内)的X线斜视透射图,方向与穿刺针平行。注意颈内静脉(蓝)和颈内动脉(红)与卵圆孔之间大概的相对位置。
手术室布置

图6. 经皮神经根阻断术的手术室布置。医生位于患者患侧(本病例,左侧),助手位于头端以便X线透视时调整患者的头部位置。麻醉医生位于医生对侧。刺激仪放于患者尾侧,电线藏于被单下面。带有图像增强效果的C形臂X线透视仪放于患者头部周围,当穿刺骨孔时,可以通过自由旋转机器来获得侧位片(右下图)和与穿刺针平行的斜位片(左下图)。注意此过程中患者头部的位置,在获取侧方图像时,患者的头部是伸展的。X线图像显示屏放于医生对侧以便主刀和助手可以轻易看得到。
患者体位
患者取仰卧位,颈部旋转15至20度,头部置于空心枕头上(甜甜圈枕)。头颈部伸展过度会使手术医师偏离骨孔穿刺的标志。全身麻醉适用于球囊压迫和甘油溶液阻断神经根,因为这两种阻断方式并不像射频毁损神经根那样需要患者清醒或配合。气管导管需要固定于患侧面部的对侧以保证术者的手在患者口内有足够的活动空间。
对于行神经根射频毁损术的患者,由于需要患者在操作过程中保持清醒状态,只要轻微镇静即可。刺激过程中,为保证穿刺针的正确放置和准确定位局部射频毁损神经根病灶,患者的配合也是至关重要的。由此可见,不合作的、过度焦虑的或认知功能受损的患者并不适合做神经根射频毁损术。

图7. 使用Hartel解剖标志定位皮肤穿刺点和穿刺轨道。局麻后,取嘴角外侧2.5cm处为穿刺点,进针方向对着同侧瞳孔中部与外耳道前方2.5-3cm。或者说,进针方向朝着两个平面相交处:一个为通过同侧瞳孔的矢状面(蓝),另一个为经过外耳道前方3cm的冠状面(绿)。
笔者通过将手指放入口腔以确保进针过程中不会穿破颊粘膜,同时触摸翼突,因为骨孔位于此标志外侧。接着,作者触摸下颌骨然后在其内侧进针。使用牙垫防止手术医生的手指被咬伤。可以通过侧方和斜视方透视图改变进针方向以到达骨孔。
如果穿刺时无意中穿破颊粘膜,笔者会选择更换一个新的穿刺针,并使用不同的粘膜下通道达到骨孔,而不是终止操作。

图8. 通过将颅骨与患者的图片融合可见穿刺骨孔中参考的那些骨性解剖标志。

图9. 穿刺针在侧方X线透视引导下抵到理想位置。注意针尖定位于斜坡和岩骨的交界处。这是X线侧方透视图像中引导术者到达骨孔最重要的标志。针尖抵到交界处,在穿透骨孔时应该停留在蝶骨平台下方5-15mm处。
如果穿刺针没有对准岩骨斜坡交界处,需要重新定位。作者重新穿刺时,先撤出穿刺针到皮肤表面然后重新定位针尖。如果穿刺针没有充分拔出就重新定位穿刺会导致粘膜回缩,导致针尖方向扭曲。这种情况会使骨孔穿刺失败。

图10. 穿刺针的位置和术中侧方X线(透视插图)显示穿刺针在颅底岩斜交界处(箭头)的最终定位。
在穿刺针抵到颅底岩斜交界处的理想位置时,与穿刺针长轴同轴的斜位X线透视可引导针尖最后从外侧向内侧微调至穿透骨孔。在此斜位片下,患者的头部是向对侧旋转45度角的,患者的颈部也是过伸的。

图11. 调整C形臂以提供隧道视角,X线方向与穿刺针平行。该图从斜角方向暴露了骨孔,保证准确地定位穿刺针和骨孔。经常地,可以通过对透视光束进行微调暴露骨孔的”正面”。这种方法有助于识别外侧下颌骨升支和内侧上颌骨之间的骨孔。

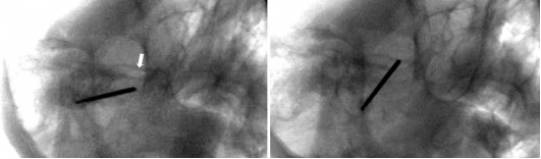
图12. X线斜位图示针尖恰好位于骨孔后方(左图,白箭头);微调后确认穿刺针在骨孔内(右图)。
当穿入卵圆孔时,经常出现三叉神经抑制反应和咬肌、翼状肌收缩。在较难穿刺的骨孔,这种收缩反应可以引导穿刺针沿着颅底安全的区域寻找骨孔。一旦穿刺针进入骨孔,应该将它再穿入最多0.5cm的距离,直到侧面X线确认其位置。
移除探针后如果有脑脊液回流可以确认穿刺针在Meckel囊和半月池内。这种确认方法并非保证探针位置所必需的,除了甘油注射三叉神经池外,术者也不应该坚持每个病例都要看见脑脊液回流。当穿刺针斜面朝内时脑脊液流出可能性最大。
卵圆孔内侧穿刺是最合适的,因为三叉神经的所有分支都可以和针接触得到。外侧穿刺的话V1或V2分支可能与针接触不够充分。穿刺针的最佳位置应该是在球囊或射频电极超出穿刺轨道顶端5-10mm。

图13. 穿刺针稍微向前穿入骨孔。侧方透视图确认穿刺针的最终位置超出颅底(左图)。在球囊压迫神经根阻断病例中,如图所示将球囊在半月神经节池中充气(右图)。球囊的最终位置表明它轻微向圆孔扩展(蓝箭头)。
穿刺困难的骨孔
在作者的经验中,有小部分患者(<5%)的骨孔是很难在X线透视引导下通过粘膜下Hartel法穿刺成功的。对于有严重面部骨折病史或颅面部畸形的患者,主刀医生术前应该使用CT扫描卵圆孔周围的颅底骨性结构以确认骨性标志没有改变。
作者常常发现常规的斜角穿刺骨孔实际上会使针尖触及骨孔后壁。为此,穿刺针应该以更垂直的轨迹进入骨孔。然而,口腔黏膜可能会干扰穿刺针的重新定位导致其偏离正确位置。因此,作者创造了一个不同的黏膜内通道以保证穿刺针按照目标轨迹穿行。
穿刺骨孔首先需要完善术前颅底CT扫描,骨化的翼棘或翼突韧带或其它骨孔内骨脊会妨碍穿刺成功。因此,作者推荐使用术中导航定向准确地引导放置穿刺针。

图14. 注意图中黑色箭头尖端所指的右侧卵圆孔内侧存在一骨脊(左图);该骨脊会使穿刺针难以通过骨孔;术中CT导航下放置穿刺针(右图)。
点睛之笔
由于骨孔复杂的解剖结构,卵圆孔穿刺是困难的。作者通过侧位的和斜位的透视图像引导穿刺针穿刺。
若患者有严重面部骨折病史或颅面部畸形,则需要术前CT扫描评估卵圆孔周围骨性结构以保证骨性标志包括骨孔解剖没有发生改变。
穿刺针不应该用力穿透颅底,因为其将会导致穿刺针位置不当和脑血管损伤。




