【Ref: Alan N, et al. World Neurosurg. 2017 Sep 14. pii: S1878-8750(17)31533-4. doi: 10.1016/j.wneu.2017.09.027. [Epub ahead of print]】
美国每年有12万例自发性脑内出血(spontaneous intraparenchymal hemorrhage,IPH)患者,死亡率高或神经功能预后差。早期手术清除血肿可改善部分患者的预后,目前通常采用血肿腔内放置导管注入溶纤剂,有助于溶化血凝块和引流。立体定向技术可使置入导管更为精确。近期,美国匹兹堡大学医学中心神经外科的Nima Alan等报道1例机器人立体定向(ROSA)技术辅助治疗脑内血肿和脑室内置引流管的成功案例,发表在2017年9月的《World Neurosurgery》在线。
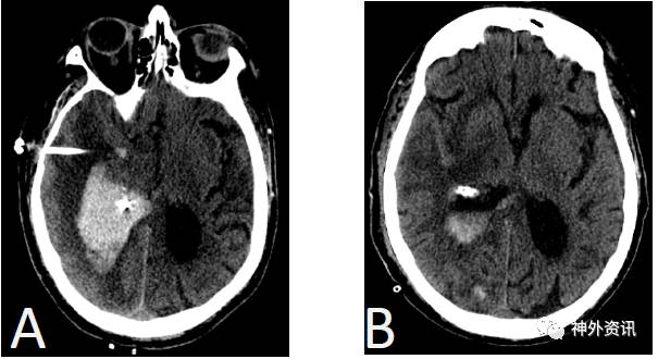
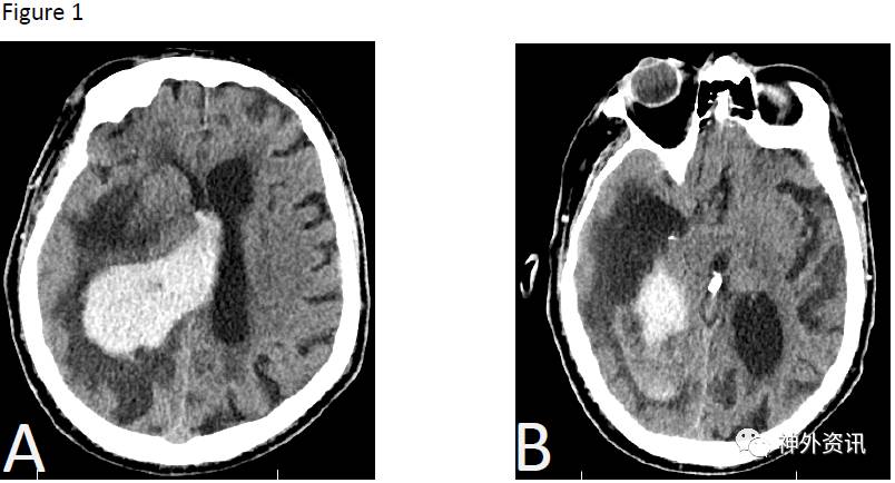
76岁男性患者,以精神状态改变和左侧肢体无力收治入院。头颅CT平扫显示右侧基底节区脑出血,血肿量达48ml,伴周围水肿和脑室内积血(图1)。术前将头颅CT扫描资料上传至ROSA系统,确定安全的穿刺轨迹与目标区域。患者全麻后,取仰卧位,头向左转45°。在ROSA系统帮助下,确定皮肤切口;颅骨钻孔后利用ROSA系统的peel-away鞘通过钻孔沿已定方向穿刺,按预先明确的深度达血肿腔。随后,置入引流管到血肿腔内进行引流(图2)。接着,采用同样方式将脑室外引流管放入右侧侧脑室颞角(图3)。术后头颅CT显示置管满意,颞角缩小。在术后48h内,通过导管向血肿腔注射2mg阿普替酶。经多次头颅CT扫描显示,血肿量逐渐减少到14.7ml、10.1ml,最终小于1ml。术后第三天将两根引流管拔除。

图1. 头颅CT平扫显示右侧基底节区脑内出血,伴周围明显脑水肿以及脑室内积血。

图2. 利用ROSA系统放置引流管。A.ROSA系统辅助确定头皮切口;B.颅骨钻孔位置;C.钻直径1cm颅骨孔;D.将ROSA系统的peel-away鞘插入钻孔,推进到靶区;E.把引流管置入血肿腔;F.血肿内液体从引流管流出。

图3. 术后基底节区血肿吸收,颞角缩小。A.术后立即行CT平扫证实引流管置入脑内血肿,位置准确;另外一根引流管置于颞角,获得满意的减压效果;B.48小时后,CT平扫证实血肿明显吸收。
最后作者指出,ROSA系统机器人可以精确地将导管置入脑内血肿腔内进行引流,同时把脑室引流管置入侧脑室进行外引流,有助于患者恢复。
(Tim编译,复旦大学附属华山医院花玮博士审校,《神外资讯》主编、复旦大学附属华山医院陈衔城教授终审)
相关链接




