启事
“浙二神外周刊”不定期接收外院投稿,审核后发表。欢迎各专业同道联系我们,分享精彩病例、研究热点或前沿资讯。投稿请联系:shishi74@163.com
病史简介
患者, 女,60岁,因“检查发现左额叶占位性病变1周”入院。患者1周前因头晕于当地医院就诊,呈阵发性,休息后自行缓解,当地医院头部CT平扫提示左额叶出血性病灶,肿瘤可能。门诊拟“左额叶占位性病变”收住入院。既往长期慢性咳嗽病史。
查体:未见神经系统及呼吸系统阳性体征。
术前影像
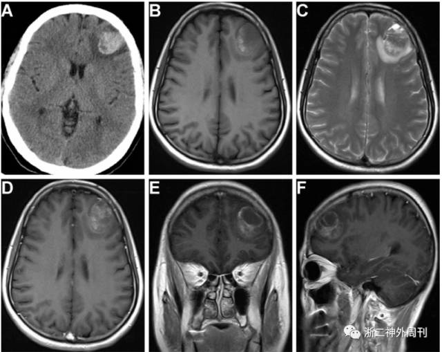
(1) 当地医院头部CT(图1-A):左额叶3.5×2.2cm大小高密度结节影,周围片状水肿带。提示出血性病灶,肿瘤可能。
(2) 我院头部增强磁共振(图1-B~F):左侧额叶见3.6×2.7cm异常信号,T1、T2加权像见高低混杂信号,见多发液平面,增强扫描见不均匀强化,考虑左侧额叶肿瘤伴出血。
(3) 术前常规胸部X片(图2-A)提示右侧肺门增大影。
(4) 胸部高分辨率CT(图2-B)右肺中叶肿块影,右肺门肿大淋巴结

图1. 头颅CT示左额叶高密度异常信号影(A);头颅磁共振平扫T1(B)、T2(C)加权像示左额高低混杂信号;头颅磁共振增强扫描轴位(D)、冠状位(E)、矢状位(F)像提示左额肿瘤伴出血。

图2. 胸部X片提示右侧肺门增大影(A);胸部高分辨CT检查提示:右肺中叶肿块影与淋巴结肿大(B)。
诊疗经过
术前科室讨论:
患者左额叶出血性病灶,无中风危险因素,首先考虑肿瘤性病灶。结合长期咳嗽病史及肺内占位可能,首先考虑肺癌合并颅内单发转移,依据NCCN中枢神经系统肿瘤诊疗指南2017版,首选手术切除加术后辅助治疗。
手术:
2017-11-1于全麻下行左额叶病灶切除术,显微镜下见肿瘤位于左额叶脑实质内,大小约4×3×3cm,色灰黄,质地韧,伴囊变,囊内含陈旧性不凝血,边界欠清,血供较丰富。手术整块切除肿瘤。
术中冰冻:上皮性肿瘤,首先考虑转移瘤。
术后影像(图3):肿瘤全切除

图3. 术后复查头颅磁共振增强扫描轴位(A)、冠状位(B)、矢状位(C)
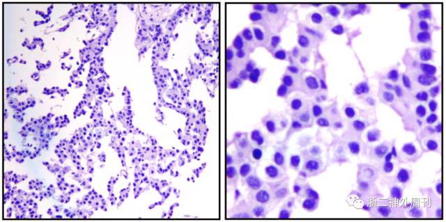
术后病理(图4):

图4.(左额叶)转移瘤,考虑为转移性神经内分泌癌,肺来源。
免疫组化:
CK(AE1/AE3)+, CK 5/6 -, CK7 +, CK 20 +, TTF-1 +, Napsin A -, CDX-2 -, PAX-8 +, CD56 +, GATA-3 -, CgA -, Syn +, NSE +, Ki-67 30%, Thyroglobulin -。
基因检测(ADx-ARMS基因检测试剂盒):
EGFR无突变
ALK融合基因阳性
ROS1无突变
术后多学科讨论及治疗:
参与科室:神经外科、肺癌诊疗中心、放疗科、病理科、放射科。
讨论意见:
(1) 患者颅内肿瘤全切,术后恢复良好,KPS 90分,常规应予辅助治疗
(2) 肺部活检:因肺部与脑部转移病灶可能存在病灶差异,导致对各种治疗敏感性的差异,此例中心性肺癌建议做纤支镜活检。(患者拒绝)
(3) 化疗方案:右肺神经内分泌肿瘤 T2N1M1 Ⅳ期,颅内转移瘤术后。予以EP方案化疗:依托泊苷0.14 g×3 day+ 顺铂35 mg×3 day。
(4) 靶向治疗:患者肿瘤中包含ALK融合基因,ALK融合基因通常见于肺腺癌,首选靶向治疗治疗药物为克唑替尼,效果良好。但因治疗费用昂贵,患者拒绝,并考虑近期此药列入医保范围之后进行治疗。
(5) 放疗方案:虽然NCCN指南建议无论是否全切,都应术后辅助治疗颅内病灶,但对于本病例,颅内病灶非功能区全切,可能具有有效手段治疗,可以考虑观察随访,发现复发病灶再予颅内放疗,避免神经功能受损。对于肺部病灶,最佳选择是放疗之后进行靶向治疗,也可在靶向治疗后辅助放疗。患者选择行克唑替尼治疗后考虑放疗。
讨论后,患者转入我院呼吸科肺癌诊疗中心治疗,于2017-11-20完成EP方案化疗,顺利出院。一月后复诊。
讨论
1. 神经内分泌肿瘤定义
神经内分泌肿瘤是起源于神经内分泌细胞的肿瘤。神经内分泌细胞是指某些特化的神经细胞(而不是内分泌细胞)能分泌一些生物活性物质,可以经血液循环或局部扩散调节其他器官的功能。下丘脑视上核、室旁核细胞是典型的神经内分泌细胞。但是神经内分泌细胞不局限于下丘脑,它们可以分布于全身各处,以胃肠道居多[1]。其中呼吸道神经上皮细胞以散在的形式,分布在从鼻腔至肺泡的呼吸道各处[2,3],一部分肺的神经内分泌细胞可以作为气道感受器,调节肺的免疫功能[4]
2. 肺神经内分泌肿瘤的病理分类
肺神经内分泌肿瘤分为低级别神经内分泌肿瘤(典型类癌),中等级别神经内分泌肿瘤(不典型类癌)和高级别神经内分泌肿瘤[5]。高级别神经内分泌肿瘤有两种典型表现:小细胞肺癌和大细胞神经内分泌癌。各型肺神经内分泌肿瘤具有典型光镜特点的肿瘤,但需要通过免疫组织化学来确诊[6]。
3. 肺神经内分泌肿瘤治疗方案
神经内分泌肿瘤和一般的癌症治疗方法是完全不同的,所以病理科医生的正确诊断对临床医生的治疗非常重要。表1总结了不同级别的肺神经内分泌肿瘤的治疗方案和5年生存率。

4. 关于神经内分泌肿瘤脑转移的临床试验
根据clinicaltrials网站的查询结果,目前还没有专门关于神经内分泌肿瘤脑转移的临床试验,包含此类疾病的临床试验为:
VX-970 and Whole Brain Radiation Therapy in TreatingPatients With Brain Metastases From Non-small Cell Lung Cancer, Small Cell LungCancer, or Neuroendocrine Tumors(NCT02589522)
目前阶段为入组阶段。
5. 关于ALK融合基因及其靶向治疗
其完整表述是:EML4(棘皮动物微管结合蛋白样4)基因-ALK(间变性淋巴瘤激酶)基因的融合基因,常见于肺腺癌,在非小细胞肺癌频率一般为3%-11%,与非吸烟和轻度吸烟者、年轻患者相关[7]。此融合基因可导致ALK的酪氨酸激酶持续高表达。但是ALK融合基因在肺神经内分泌癌中是非常罕见的。
靶向药物克唑替尼对ALK阳性的非小细胞肺癌患者效果显著。临床研究表明,晚期ALK阳性非小细胞肺癌患者中,克唑替尼的客观缓解率可达50~61%[8]。
参考文献
1. Anderson M A, Carpenter S, Thompson N W, et al. Endoscopic ultrasound is highly accurate and directs management in patients with neuroendocrine tumors of the pancreas[J]. The American journal of gastroenterology, 2000, 95(9): 2271-2277.
2. Van Lommel A. Pulmonary neuroendocrine cells (PNEC) and neuroepithelial bodies (NEB): chemoreceptors and regulators of lung development[J]. Paediatric respiratory reviews, 2001, 2(2): 171-176.
3. Van Lommel A. Pulmonary neuroendocrine cells (PNEC) and neuroepithelial bodies (NEB): chemoreceptors and regulators of lung development[J]. Paediatric respiratory reviews, 2001, 2(2): 171-176.
4. Branchfield K, Nantie L, Verheyden J M, et al. Pulmonary neuroendocrine cells function as airway sensors to control lung immune response[J]. Science, 2016, 351(6274): 707-710.
5. Yao J C, Hassan M, Phan A, et al. One hundred years after “carcinoid”: epidemiology of and prognostic factors for neuroendocrine tumors in 35,825 cases in the United States[J]. Journal of clinical oncology, 2008, 26(18): 3063-3072.
6. https://en.wikipedia.org/wiki/Pulmonary_neuroendocrine_tumor
7. Takahashi T, Sonobe M, Kobayashi M, et al. Clinicopathologic features of non-small-cell lung cancer with EML4–ALK fusion gene[J]. Annals of surgical oncology, 2010, 17(3): 889-897.
8. Takahashi T, Sonobe M, Kobayashi M, et al. Clinicopathologic features of non-small-cell lung cancer with EML4–ALK fusion gene[J]. Annals of surgical oncology, 2010, 17(3): 889-897.
感谢浙医二院放疗科魏启春主任提供患者的放疗方案,肺癌诊疗中心王苹莉副主任医师提供患者化疗方案,病理科许晶虹主任,李百周主任,张布衣主治医师提供病理原图及病理解读,放射科蒋飚主任提供影像资料。
(本文由浙二神外周刊原创,浙江大学医学院附属第二医院神经外科严锋、孙崇然总结,孙崇然副主任医师审校,张建民主任终审)
往期回顾
浙二神外周刊(一百一十九)--静脉入路栓塞舌下神经管区硬脑膜动静脉瘘一例
浙二神外周刊(一百一十八)--儿童中央区病灶致顽固性癫痫外科手术一例
浙二神外周刊(一百一十七)--丙戊酸钠相关高血氨脑病一例
浙二神外周刊(一百一十六)--儿童眶尖-海绵窦-颞下窝病变一例
浙二神外周刊(一百一十四)--高血压性脑干出血治疗--浙二的观点
浙二神外周刊(一百一十三)--“复合高压锅技术”治疗横窦区硬脑膜动静脉瘘一例
浙二神外周刊(一百一一十二)--应用新型动脉瘤内栓塞装置(WEB)栓塞前交通未破裂动脉瘤一例
浙二神外周刊(一百一十一)--儿童四脑室室管膜瘤术后并发胃瘫综合征一例
浙二神外周刊(一百零八)--新发现AIP基因突变位点的家族性单纯性GH瘤家系一例
浙二神外周刊(一百零七)--自发性低颅压致双侧硬膜下血肿一例
浙二神外周刊(一百零六)--张建民教授牵头国家重点研发计划:“基于脑机接口的脑血管病主动康复技术研究及应用”正式启动
浙二神外周刊(一百零五)--颅骨板障表皮样囊肿合并慢性硬膜外血肿一例
浙二神外周刊(一百零四)--内镜辅助显微手术半椎板入路切除儿童颈髓腹侧肠源性囊肿一例
浙二神外周刊(一百零三)--颅骨缺损修补术后并发急性脑肿胀一例
浙二神外周刊(一百零一)--胶质瘤的病理特征与位置分布的关系
浙二神外周刊(九十九)--垂体生长激素腺瘤卒中伴发脑梗塞一例
浙二神外周刊(九十六)--桥小脑角脑膜瘤伽马刀后并发PICA血栓性动脉瘤一例
浙二神外周刊(九十四)--颅内表皮样囊肿自发破裂伴血清CA-199显著升高一例
浙二神外周刊(九十二)--鞍上毛细胞黏液样星形细胞瘤伴自发性出血一例
浙二神外周刊(九十一)--2017西湖神经外科论坛成功召开!
浙二神外周刊(九十)--以尿崩症为首发表现的Erdheim-Chester病一例并文献复习
浙二神外周刊(三十七)--垂体瘤伴发鞍结...
浙二神外周刊(三十六)--脑膜血管瘤病...




