今天为大家分享的是《颅脑创伤-神经重症病例周刊》第四十二期,由“神外资讯中国颅脑创伤-神经重症专家组”副组长、海军军医大学附属长征医院神经外科侯立军主任团队带来的:“左侧额颞顶大骨瓣硬膜下血肿清除术一例”,文末由中华医学会创伤学分会主任委员、“神外资讯中国颅脑创伤-神经重症专家组”组长江基尧教授对病例做出了精彩点评,欢迎阅读。
大骨瓣开颅是神经外科一项基本手术技术,被广泛应用于颅脑创伤、缺血性卒中、颅内肿瘤等手术中,是神经外科医生成长的必由之路;然而因为大骨瓣开颅手术范围较大、解剖层次较多,年轻医生在进行该项手术时往往不得要领,可能出现解剖层次混乱、手术时间长、出血多的情况。
今天,介绍侯立军主任团队完成的一例左侧额颞顶大骨瓣硬膜下血肿清除术,该手术时间短,解剖层次清晰,出血少,手术过程不需要输血,患者恢复良好!本文希望通过图文并茂的教学形式,给年轻医生一个清晰、直观的认识。不足之处,请批评指正!
患者信息
林xx,男性,28岁。
现病史:患者2017-10-10酒后不慎摔伤,后枕部着地,当时感着地部位疼痛,无头痛、头晕,无恶心、呕吐,未予重视。1天后出现头痛,言语含糊,右侧上肢无力,伴恶心、呕吐,呕吐物为为内容物,急送某医院就诊,头颅CT提示:左侧额颞顶硬膜下血肿,层厚约1.5cm,予以保守治疗;患者症状未见明显好转,失语、右侧肢体无力,于2017-10-23行左侧颞部钻孔硬膜下血肿引流术,术后语言功能和肢体运动略改善。2017-10-27为求进一步诊疗转入我科治疗。
查体:嗜睡,言语含糊,GCS14分(E4V4M6),双侧瞳孔约3mm,光反射存在,右上肢肌力4级+,余肢体肌力正常,肌张力正常。
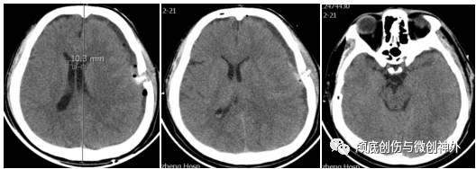
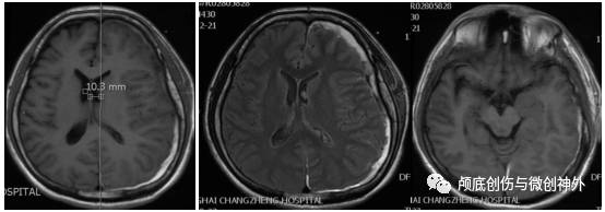
影像资料
头颅CT:

头颅MRI平扫:


诊断:
创伤性闭合型颅脑损伤:
1.左侧额颞颞亚急性硬膜下血肿;
2.颅内高压。
手术指征:
1. 年轻男性,既往体健,酒后头部外伤病史,左侧额颞顶硬膜下血肿14天;
2. 左侧颞部钻孔硬膜下血肿引流术术后4天,引流管不通畅,引流液少;
3. 影像学提示:中线移位大于1cm,左侧颞叶沟回压迫脑干,左侧顶部皮层脑沟变窄,脑回增宽,回流静脉曲张。
4. 患者有语言、肢体功能障碍;
限期手术:
完善术前检查,2017-10-28急诊在全麻下行左侧额颞顶大骨瓣开颅血肿清除术;
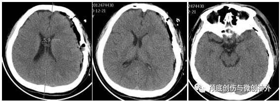
术后复查CT:

手术操作步骤
1. 体位设计:病人取仰卧位,全麻完成后,左侧肩部下垫长条形肩垫,头部向右侧偏转约90度,头托固定头部(不建议用头圈),上半身抬高约15度。

2. 根据术前CT所示血肿范围设计皮瓣切口,为问号切口;该血肿位置偏上,切口下缘未到耳屏前,减少不必要操作,保护颞浅动脉主干;切口后缘包绕顶结节;切口上缘距中线大于3cm,有利于保护矢状窦,远离静脉湖,减少出血;

3. 消毒、铺单、贴膜,取掉原手术引流管;
4. 分段切开皮肤(5-7cm)至帽状腱膜下层,助手压迫切缘,边切开边上头皮夹。动脉性出血予以双极电凝烧灼止血,其余出血点先上头皮夹,关颅时再处理。
5. 在颞部切开颞肌浅筋膜、顶部骨膜,在颞肌筋膜和颅骨表面逆向分离皮瓣,直至暴露角突,干湿薄垫包裹皮瓣,两把:Allis钳固定,鱼钩牵开皮瓣。

6. 在颞肌附着点留取宽约1cm颞肌肌肉桥,切开颞肌,骨膜下逆向剥离颞肌,减少颞肌表面出血。颞肌牵开方向与皮瓣牵开方向成一定角度。
7. 20%甘露醇脱水200ml(根据患者体重计算,0.5g/kg),在顶枕部和关键孔处钻孔两枚,铣刀形成游离骨瓣。掀开骨瓣时,柳叶剥离子先探查一下脑膜中动脉附着情况,必要时先烧灼脑膜中动脉后剪断,再取下骨瓣。主刀医生用双极电凝脑膜表面动脉性出血(建议调低电凝参数,减少不必要的的硬脑膜挛缩),助手骨瓣缘涂抹骨蜡,注意控制板障出血;整块明胶海绵对剪成长条状,填入骨缘下,细丝线分段悬吊硬脑膜(注意小圆针不要穿透硬脑膜,而是穿行在硬膜夹层内);

8. 以脑膜中动脉为中心,弧形剪开硬脑膜,再扇形剪开硬脑膜至骨缘,可见硬膜下血肿,局部形成假包膜。

9. 脑压板轻柔剥离脑表面血肿,棉片保护脑组织,显微吸引器吸除骨缘外方残存血肿。注意保护大脑皮层血管,尤其注意保护上吻合静脉(Trolard静脉)和下吻合静脉(Labbe静脉)。 血肿清除后可以见到Trolard静脉和Labbe静脉及皮层静脉明显增粗。

10. 严密缝合硬脑膜,取骨膜修补硬膜缺损;

11. 人工硬脑膜贴覆在硬膜外,减少脑脊液漏的风险。

12. 乳胶管头端剪开,分别留置在硬膜外和皮下。回纳骨瓣,可吸颅骨固定钉固定骨瓣,骨孔用钛帽、钛钉覆盖。

13. 逐层缝合颞肌、颞肌筋膜。

14. 缝合切口: 间断拆除头皮夹,彻底止血,间断缝合帽状腱膜层(线结位于帽状腱膜下层);分段拆头皮夹,每次拆2-3个,彻底止血,再全层缝合皮肤,缝合顺序由高位向低位缝合。手术结束。历时两个半小时,出血约150ml,未输血。


15. 术后第1天,病人反应良好,语言功能、肢体功能均明显改善。眼部、面部无明显肿胀。

1. 分段切开皮肤(5-7cm),动脉出血电凝外,边切开边上头皮夹,缩短开颅时间和减少出血。
2. 在颞肌筋膜表面和骨膜下分离皮瓣,保护面神经、眶上神经,减少出血。
3. 在颞肌附做点处留取宽约1cm颞肌桥,便于关颅时颞肌缝合固定。
4. 骨膜逆向下剥离颞肌,减少颞肌表面出血;
5. 甘露醇脱水后再用铣刀形成游离骨瓣,掀开骨瓣时注意保护脑膜中动脉,无法保留时,先 双极烧灼、剪断,再掀开骨瓣。注意骨蜡涂抹骨缘,减少板障出血;
6. 间断拆除头皮夹,彻底止血,间断缝合帽状腱膜层(线结位于帽状腱膜下层);分段拆除头皮夹,每次拆2-3个,彻底止血,再缝合皮肤,缝合顺序由高位向低位缝合。
精彩点评
这是海军军医大学附属长征医院侯立军主任领导的团队采用标准大骨瓣手术,成功救治一例左侧亚急性硬膜下血肿导致偏瘫失语的病人,值得全国同行学习和借鉴。
1. 正确掌握手术指证是关键,侯主任领导在团队根据当地医院钻孔引流术后病情未好转、CT和MRI显示占位效应明显,再次采取开颅手术,手术指证正确;
2. 正确手术方法是取得良好效果的保证,当地医院在伤后2周行颅骨钻孔引流术,显然无法取得满意疗效,而侯主任的团队釆用大骨瓣开颅手术是正确的;
3. 由于开颅清除血肿充分减压后,脑组织张力恢复正常,术者回纳骨瓣,避免再次颅骨成形手术,减轻了再次手术和病人负担;
4. 手术技巧娴熟,手术全过程出血量仅150ml。
再次强调:临床医生要根据每个病人的临床症状和体征、CT影像学和ICP(有条件)的动态变化,采取个体化精准治疗,才能取得满意疗效。
江基尧 教授
上海市颅脑创伤研究所所长
中华医学会创伤学分会主任委员
上海交通大学医学院附属仁济医院首席专家





