今天为大家分享的是由浙江大学医学院附属第二医院王勇杰医师翻译,《神外资讯》常务编辑、海军军医大学附属长征医院神经外科徐涛医师审校的:脑室内肿瘤手术策略与技巧,欢迎观看、阅读。
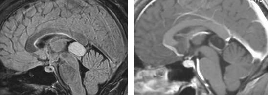
Third ventricle tumor-Chordoid glioma
该章节着重讨论脑室内常见病灶的重要诊断、临床特点,以及术中、术后处理原则。按照发病顺序将这些病变列举在表1中。请参照“脑室内手术原则”一章的表1,了解这些肿瘤的影像学特点。

胶样囊肿
胶样囊肿占颅内病变的0.5%-1%。这些囊肿主要起源于蒙氏孔处的三脑室顶,特征性的含有粘稠的胶状内容物。囊肿可达到较大的体积,并伴有囊内出血。少见的情况下,可突然导致蒙氏孔堵塞,继发危及生命的急性脑积水。
蒙氏孔突然堵塞的机制可能与急性囊内出血、腰穿后肿瘤组织移位或分流管功能障碍有关。
影像学上,胶样囊肿需和三脑室囊性肿瘤、后循环动脉瘤、脑囊虫病、椎基底动脉延长扩张等进行鉴别。虽然胶样囊肿一般不会在短期内体积显著增加,但囊内出血并不少见。
胶样囊肿的处理依赖于患者的临床表现和囊肿的大小。无症状病变可以常规定期影像学复查进行随访。与较大的囊肿不同,小病灶(<10mm)产生临床症状的风险较低。
如果继发症状性脑积水,则需要内镜或显微镜下手术切除病灶。胶样囊肿的切除,可以参考经胼胝体和经皮层入路章节。

图1. 胶样囊肿一般无明显强化,T1相表现为等信号。T2加权图像上,则表现为较白质更强的信号影,外周一圈低信号环。
颅咽管瘤
颅咽管瘤占颅内肿瘤的1.2%到4.6%,一般认为病灶呈缓慢生长的过程,但由于其所处的位置特殊,以及包绕周围神经血管的特性,导致肿瘤容易复发,表现出侵袭性的临床过程。
该病存在两个疾病高发期,好发于在5-10岁和45-60岁的患者中。在儿童中,颅咽管瘤属于最常见的颅内非神经上皮病灶。该肿瘤起源于鞍旁外胚层来源的Rathke囊。
颅咽管瘤的临床表现与其对视觉通路、垂体前叶产生的压迫效应,或者压迫脑室结构产生梗阻性脑积水有关。显微切除手术是治疗这些病灶最主要的手段。
切除颅咽管瘤常用的手术入路包括内镜下经鼻蝶入路,扩大的翼点经侧裂入路,或较少使用的纵裂间经胼胝体入路。除非进行根治性切除,否则会导致术后复发。因此,对残留病灶,放射治疗是重要的辅助治疗手段。

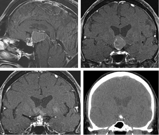
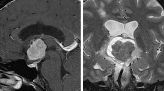
图2. 颅咽管瘤在MR图像上表现为不均匀的囊性和实质性信号(上图)。其囊性成分在T1相上表现为高信号,结节部分则表现为不均匀的显著强化(左下图)。CT上表现为点状钙化(右下图)。
毛细胞星形胶质细胞瘤
毛细胞星形胶质细胞瘤是WHO I级、良性、慢性生长的一类肿瘤。这类肿瘤可能起源于中脑、丘脑或下丘脑,向第三脑室延伸。
这类肿瘤常见于小脑,并向第四脑室延伸,但也可能起源于第四脑室顶,并逐步向外隐窝和桥臂蔓延。常常可见巨大的囊性成分。
对于四脑室的毛细胞星形胶质细胞瘤,其手术入路类似于室管膜瘤和髓母细胞瘤,膜帆入路是最佳选择。对于向上方延伸至顶盖水平,向上髓帆侵袭的巨大肿瘤,可联合膜帆入路和小脑上入路。
为暴露肿瘤上极,需要牵开蚓悬雍垂和结节。该区域可能就是肿瘤的起源部。如果膜帆入路限制术者判断是否达到了手术全切,术者可以考虑采用小脑上入路。
先对肿瘤囊性成分进行引流减压,然后采用标准显微技术分离肿瘤结节。目标是为了达到安全的次全切除。对于大部分该类型的残留肿瘤,复发进展的风险很低。

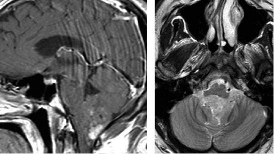
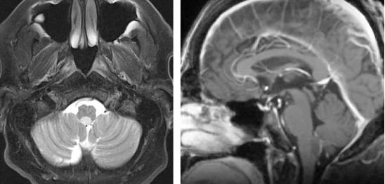
图3. 图示为向四脑室延伸和压迫的蚓部毛细胞星形细胞胶质瘤。肿瘤呈囊性,伴有明显强化的结节。囊壁未见强化,无需手术切除。
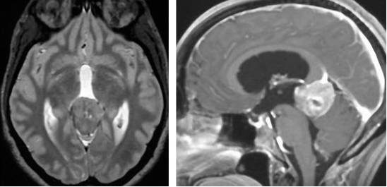
松果体细胞瘤
这类起源于松果体实质的WHO I型病灶,位于松果体区,占颅内肿瘤的1%。大部分为良性、非常缓慢生长的病灶,极少出现恶性进展。
这类肿瘤的临床表现与肿瘤对顶盖产生的占位效应有关,导致Parinaud综合征,颅神经麻痹,内分泌异常,精神状况异常,或梗阻性脑积水。显微或内镜下经小脑上入路开窗术是一个合理的选择。

图4. 松果体细胞瘤在T2相上表现为高信号,伴有周围强化。松果体细胞瘤一般生长缓慢,偶尔需要手术干预。
海绵状血管瘤
关于海绵状血管瘤发病率的数据较少,大约0.1%-0.5%。累及第四脑室者常原发于脑干。脑室周海绵状血管瘤常为无症状性的,但由于其占位效应可导致梗阻性脑积水。在脑室内发生出血转化时可能会导致急性症状,引起神经功能下降。
采用髓帆入路暴露第四脑室海绵状血管瘤。可能需要对菱形窝进行电生理监测,以在沿着四脑室底切开前定位和暴露面丘。
在识别安全进入区后,在脑室底切开一个小口,以促进血肿引流。在海绵状血管瘤内部进行电凝,有助于缩小病灶体积。沿着病灶周围进行分离和分块切除。术者应在病灶全切的同时,小心谨慎地电凝供血动脉,以消除微小病灶,并达到止血的目的。
为获取更多的信息,请参照海绵状血管瘤相关章节,包括“海绵状血管瘤的评估”一章。
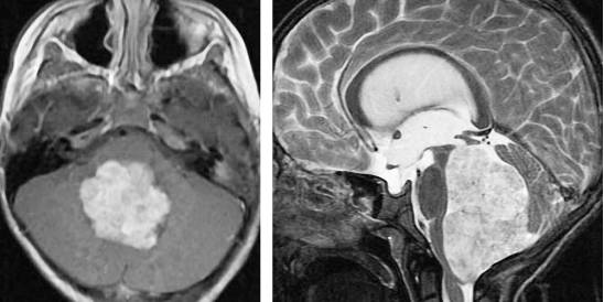
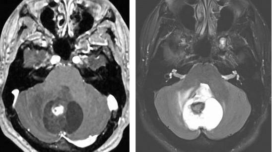
髓母细胞瘤
髓母细胞瘤是小儿四脑室肿瘤中最常见的类型。它可占据整个四脑室,对脑干和小脑产生占位效应。与室管膜瘤不同,这些病灶不会侵犯脑室底部,但是起源于上髓帆。髓母细胞瘤会插入到桥臂和外隐窝。
这类病灶最合适的手术入路为膜帆入路。一开始应对菱形窝上部进行肿瘤减容,以暴露大脑导水管。接着向下方切除。一定要避免对四脑室底的穿透性损伤。往往可以看到髓母细胞瘤向外侧延伸。

图5. 髓母细胞瘤在T1相上相对白质呈低信号,往往呈不均匀强化。在T2相上,由于钙化、坏死和囊性变的存在往往表现为混杂信号。
高级别胶质瘤
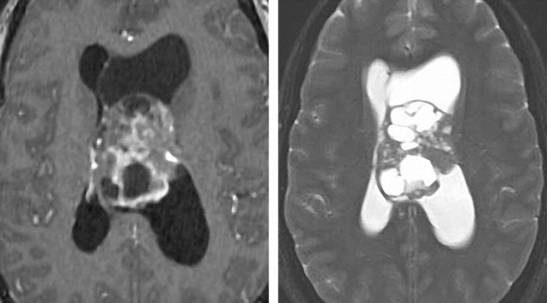
高级别胶质瘤(WHO III级和IV级)最常起源于胼胝体、丘脑或透明隔。这些病灶偏向于侧脑室前角的一侧生长。
这类高度恶性病灶的临床表现与肿瘤向周围脑实质的压迫或浸润有关。鉴于总体预后不加,处理这些病变时,需结合多方面因素来制定治疗策略。需要关注患者的年龄、神经症状、神经精神功能和病灶本身的特点包括大小、浸润深度和部位。
广泛累及穹隆往往导致较差的神经功能状态,与手术切除相比,活检术更加合适。

图6. 高级别胶质瘤具有不规则的边界和结节,呈不均匀的强化表现。在T2相上表现为高信号。位于透明隔的肿瘤与神经细胞瘤相似。
室管膜下瘤
室管膜下瘤占颅内肿瘤的0.2%-0.7%,一般与脑室壁粘连,为一类生长缓慢的良性病灶。这类肿瘤不会侵犯肿瘤周围的脑实质。最常见的发病部位是四脑室,然后是侧脑室。
影像学上这类病灶需要与室管膜瘤、少突胶质细胞瘤和脉络丛乳头状瘤鉴别。根据病灶所处的位置和大小,室管膜下瘤的临床表现常包括梗阻性脑积水。
对偶然发现的侧脑室室管膜下瘤的处理存在争议。常规随访、复查影像学检查评估肿块的变化情况,是可行的处理方式。对于无症状的室管膜下瘤,我个人并不推崇手术切除。

图7. 室管膜下瘤并不会显著增强,在T2相上与邻近白质和灰质相比,表现为高信号。而在T1相上,则表现为等或低信号。上图中病灶位于四脑室底。
纤维型星形细胞胶质瘤
该类肿瘤属于WHO I级星形胶质细胞瘤,当位于脑室内时,主要发生于侧脑室。纤维型星形胶质细胞瘤表现为散在的浸润性生长方式,但是被认为低度恶性倾向、缓慢生长的良性病灶。肿瘤常来自侧脑室壁。
这类病灶的临床表现一般包括梗阻性脑积水。肿瘤存在出血倾向,可导致脑室内出血。
与室管膜下瘤和中枢神经细胞瘤相似,对偶然发现的低级别胶质瘤的最佳处理方式仍然存在争议。对于偶然发现的小体积病灶,无症状的患者,可以采用影像学手段进行监控。
脑膜瘤
脑膜瘤占脑室内肿瘤的1%-5%。当它们发生于侧脑室时,起源于脉络丛和脉络膜基质。常有钙化和囊性变。
由于血供丰富,增加手术切除的难度。大部分的前向供血来源于脉络丛动脉,而回流静脉则汇入深部的脑室静脉。因此,在手术的早期控制供血动脉几乎是不可能的,从而导致在分块切除肿瘤的过程中继发大量的出血。因此需要在每一步都充分止血,在设计手术入路时,尽量在早期暴露肿瘤的血管蒂。
这些病灶的临床表现常包括肿瘤占位效应引起的梗阻性脑积水,其处理方式包括根治性显微切除手术。对于偶然发现的肿瘤,可以选择临床和影像学随访观察,如果肿瘤进展,则可考虑手术切除。

图8. 脑膜瘤表现为显著的均一强化,边界清楚,伴有脑膜尾征。在T2相上典型地表现为高信号。侧脑室脑膜瘤最常见于房部。
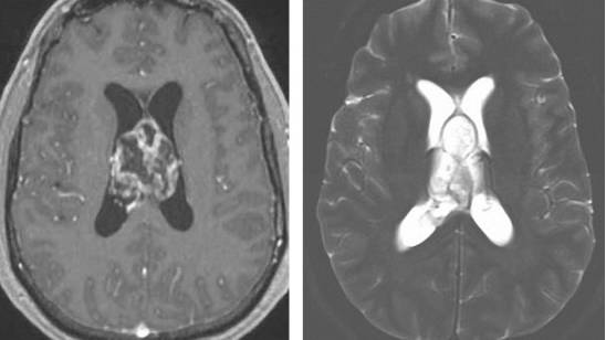
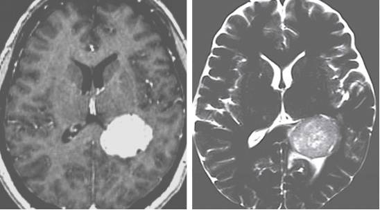
中枢神经细胞瘤
中枢神经细胞瘤占颅内肿瘤的0.1-0.5%,属于WHO II级肿瘤。大部分病灶起源于透明隔,填充于侧脑室,肿瘤偏向生长于左侧额角。
尽管大部分肿瘤呈良性过程,发现肿瘤的恶性特征,并伴有术后残留复发进展,则提示预后不良。如果发现恶性进展,则可考虑辅助治疗(化疗和放疗)。文献报道这两种方式均可缩小肿瘤体积,但是能否改善预后仍不清楚。
这些肿瘤往往血供丰富,因此立体定向活检可能导致危及生命的脑室内出血。在沿着周边进行分离时,应注意进行充分的止血。

图9. 中枢神经细胞瘤表现为不均匀强化,在T2加权影像上表现为等至高信号。常起源于透明隔。
室管膜瘤
室管膜瘤主要发现于儿童患者中,占颅内肿瘤的2-9%。然而,在成年人中,室管膜瘤是四脑室内最常见的肿瘤,起源于脑室底部。
肿瘤与脑室底部通过血管蒂相连,也是两者唯一相连的部位。大部分室管膜瘤都是呈良性、缓慢生长的过程。
切除四脑室室管膜瘤的过程是非常单调的。先对肿瘤进行减压,直到脑室顶的下表面与肿瘤的顶端分离开。这样可以解除受到梗阻的脑脊液通路。肿瘤的上半部分往往会造成脑室内的拥挤,但并未与菱形窝上部粘连 。
接着,将肿瘤的下半部分与闩部的神经实质分离开,并予以切除。使用该技术,可以逐步切除大的病灶,并最终将病灶与下菱形窝分离。超声吸引有助于分块切除肿瘤。在脑干背侧和肿瘤之间不存在明确的分界面,因此用超声刀可削除足够多的肿瘤,而仅仅在脑干表面保留一薄层肿瘤组织。不建议过度切除侵袭生长的肿瘤组织。
向外侧延伸至外侧隐窝或桥小脑角区的四脑室室管膜瘤,并非手术全切的禁忌。可以抬起扁桃体,以暴露出移动肿瘤的空间。
手术切除可以改善预后,因此是室管膜瘤的首选治疗方案。如果病理学提示室管膜瘤具有恶性特征,则需要辅助放疗。

图10. 室管膜瘤在T1相上是等至低信号的。而在T2相上则是高信号,并且有不均匀的强化表现。
表皮样囊肿
表皮样囊肿是少见的脑室内病灶。主要位于四脑室,可延伸至三脑室和外侧隐窝。由于分隔的存在,囊肿可表现为分叶状。囊肿的外表面可能含有软脑膜血管。
轻柔的显微解剖技术,可将囊肿从脑干和小脑上锐性分离出来,并存留肿瘤包膜上的软脑膜血管。接着,用超声刀或吸引器对四脑室内的囊肿进行分块减容。致密的蛛网膜或分隔组织形成了囊肿内腔室的壁。这些分隔可以打开,但是如果与神经血管组织粘连紧密的话,应予以保留。
在切除肿瘤后,需用生理盐水对延髓周围区域和外侧隐窝进行冲洗,以清除残留的微小肿瘤病灶,这些病灶可能是今后复发的根源。

图11. 表皮样囊肿在T2加权相上与脑脊液呈等信号。弥散加权成像有助于鉴别蛛网膜囊肿,由于弥散受限和T2相上的透过性,表皮样囊肿在DWI上表现为高信号。
血管网织母细胞瘤
这些病灶最常见于四脑室内,与室管膜瘤或髓母细胞瘤之间存在本质的差别。其实质部分高度血管化,主要由小脑后下动脉的远端分支、脑干和小脑的终末血管以及脉络膜血管供血。
血管网织母细胞瘤包含静脉结构。由于动脉和静脉的交互参与,因此需要在术前进行血管造影检查,以便发现肿瘤内的主要血管结构,评估介入栓塞的可能性。
与切除其他类型的病灶不同,手术切除血管网织细胞瘤时,不能进行分块切除减容。血管网织母细胞瘤的实质部分与AVM类似,由薄壁的蜂窝样组织构成,因此不适合用双极电凝烧灼。在切除前,最关键的步骤时识别和离断进入病灶的终末供血动脉,但需要保护过路的供血动脉主干。
在成功限制进入肿瘤的动脉血后,肿瘤体积会缩小,从而给出探查肿瘤包膜边界以及四脑室的手术空间。可逐步分段将乏血供的病灶部分从周围的神经血管组织上游离出来,该步骤应围绕肿瘤周边反复进行。
非常重要的一点,是需要保持主要引流静脉通畅,直到肿瘤从小脑和脑干上完全分离出来。
考虑到可能会有丰富的软脑膜供血,以保持病灶的灌注,因此,必须将病灶从脑干和小脑上完全游离出来,以保证切断所有的动脉供血。此后,可以电凝主干引流静脉,以便切除肿瘤。可以参考“血管网织母细胞瘤”一章,获取更加详细的信息。
松果体母细胞瘤
这类少见肿瘤,病理分级归为WHO IV级,占据了近40%的松果体区原发肿瘤。主要发现于儿童人群中,发病不存在性别偏向。文献中有VP分流术后继发肿瘤播散的报道。
治疗方案包括显微手术切除或病理活检明确诊断后联合辅助治疗。建议在安全的情况下全切肿瘤。肿瘤可侵犯顶盖区,但往往能有效地解离出来。需要对整个神经轴进行影像学检查,以排查病灶转移的发生。

图12. 松果体母细胞瘤典型地表现为T2相等信号,注射造影剂后不均匀强化。
脊索样胶质瘤
这类少见的胶质细胞肿瘤属于WHO II级,最常起源于三脑室。最佳的治疗方案是手术全切。如果无法达到手术全切,肿瘤可能会复发。鉴于临床试验中发现各种辅助治疗的效果有限,故目前并未被推荐用于治疗脊索样胶质瘤。
这类肿瘤与三脑室底粘连,因此对该部位不推荐强行切除。最常用的手术入路为经胼胝体扩大的经室间孔入路。

图13. 如图所示为典型的脊索样胶质瘤。
脉络丛乳头状瘤
这类肿瘤占颅内肿瘤的0.5-0.6%,属于WHO I级,最常见于儿童人群。
手术切除时治疗的首选方案。脉络丛乳头状瘤血供丰富。手术要点包括早期处理近端的脉络丛供血动脉,以便能离断肿瘤血供。之后可使用超声吸引进行瘤内减压。
在切除肿瘤后,应切除参与的看似未病变的脉络丛组织,以降低肿瘤复发的风险。

图14. 脉络丛乳头状瘤强化明显,边界及其不规则。在T2加权相上亦表现为高信号。
生殖细胞肿瘤
这类肿瘤占颅内肿瘤的0.4-3.4%,以生殖细胞瘤为主,占65%。接下来的病理类型包括畸胎瘤(18=20%)和混合性的生殖细胞肿瘤(25%)。大部分肿瘤发现于儿童人群(10-21岁)。在超过30岁的年龄段中非常少见。
松果体区和三脑室都是常见的原发部位。因此,临床表现包括占位效应,继发梗阻性脑积水,颅神经麻痹,视路破坏,小脑功能失调,或内分泌异常。
治疗方案包括显微手术切除,内镜下手术切除,诊断性活检和辅助治疗。详细情况可参考“松果体区肿瘤”一章。推荐通过脑脊液化验和内镜下活来评估肿瘤的性质。
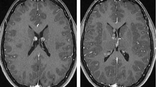
室管膜下巨细胞瘤(SEGA)
SEGAs起源自侧脑室壁,是WHO I级的肿瘤。这类肿瘤特别偏向于结节性硬化的患者,而且它们的存在会提示患者预后不良。相反,在普通人群中,SEGA则是一类生长缓慢的良性病灶,具有很低的恶性倾向。
SEGAs的临床表现包括梗阻性脑积水或脑室内出血。
与其他低级别胶质瘤类似,对于偶然发现的SEGA的最佳治疗策略还存在争议。对于无症状、小的偶发病灶,影像学随访是最合理的治疗手段。

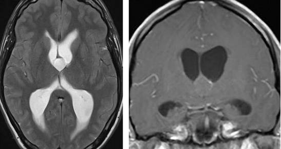
图15. 多发的室管膜下结节,考虑SEGA,偏向于占据蒙氏孔周围区域。
(编译:王勇杰;审校:徐涛)
DOI: https://doi.org/10.18791/nsatlas.v4.ch05.2
中文版链接:https://www.medtion.com/atlas/4357.jspx
参考文献
Bertalanffy H, Krayenbühl N, Wess C, Bozinov. Ventricular tumors (Chapter 138), in Winn HR (ed): Youmans Neurological Surgery, Vol 1, 6th Ed, Philadelphia: Elsevier Saunders, 2011, 1534-1568.




