启事
“浙二神外周刊”不定期接收外院投稿,审核后发表。欢迎各专业同道联系我们,分享精彩病例、研究热点或前沿资讯。投稿请联系:shishi74@163.com
病史简介
患者,女,30岁,因“头晕伴行走不稳2周余,头痛2天”入院。患者2周余前无明显诱因下出现头晕,伴行走不稳,余无明显不适。2天前患者感右额颞部持续胀痛,不剧可忍。遂于当地医院就诊,行头颅CT示“小脑占位,脑室系统扩张,建议行增强检查”。为行进一步诊治,于我院就诊。门诊拟“小脑肿瘤,脑积水”收住入院。入院神经系统查体提示闭目难立征阳性,余无阳性体征。
诊疗经过
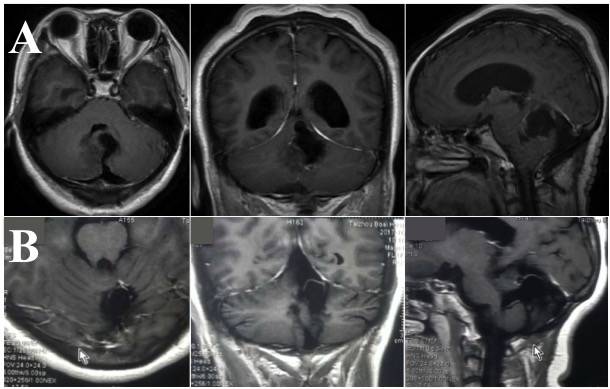
入院后完善头颅增强MRI检查:小脑蚓部囊实性占位,胶质瘤考虑;脑室系统扩张(图1)。

图1. A.增强MRI见小脑蚓部约44mmx48mm囊状影,其内可见分层,囊壁边缘不光整,病灶囊壁局部明显强化;B. 白色箭头处示第四脑室受压变小,另见三脑室及侧脑室扩张。
科室讨论:根据患者病史、临床表现及影像学检查结果,考虑为“小脑蚓部胶质瘤可能,脑积水”。手术指征明确,拟行“小脑蚓部病损切除术”。
手术治疗
于全麻下取后正中入路行肿瘤切除术。显微镜下见肿瘤位于小脑蚓部,大小约4x5x3cm, 色灰白,质地韧,部分囊变,边界欠清,血供较为丰富,部分肿瘤呈鱼肉样改变。术中取部分标本送冰冻切片病理检查,结果提示“胶质瘤考虑,类型待常规”。遂予分块全切肿瘤,标本送常规病理。患者术后恢复良好,无明显不适,顺利出院。
病理结果
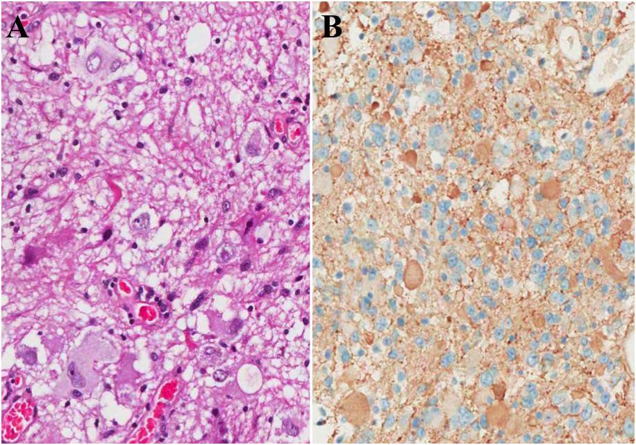
术后病理回报,根据镜下所见及免疫组化结果(GFAP +,Syn +,NF +,Ki67 5-10%,CD68 -,IDH1 -,P53 -),诊断为“小脑蚓部节细胞胶质瘤,WHO II级”(图2)。同时请美国UCLA远程会诊,以进一步确认。UCLA会诊意见“小脑蚓部节细胞胶质瘤,WHO I级”。

图2. A. HE染色示节细胞较大、不典型,呈无方向散在排列,混有肿瘤性、轻度多形性的星形胶质成分;B. 免疫组化示突触素(Syn)染色阳性,提示肿瘤的节细胞分化。
随访
现患者术后4年余,门诊随访中,出院至今mRS评分0分。最近MRI增强复查,未见肿瘤复发(图3)。

图3. A. 术后5日头颅增强MRI;B. 术后4年余头颅增强MRI未见肿瘤复发。
讨论
节细胞胶质瘤作为低级别胶质瘤的一种,总体发病率较低,约占神经系统肿瘤的0.4%-4.0%,且多见于儿童及青壮年[1, 2]。节细胞胶质瘤可发生于颅内各个部位,以发生于额叶居多。发生于小脑、脑干及颈髓等小脑幕以下部位的节细胞胶质瘤较为罕见,其总量少于全部节细胞胶质瘤的15%[3]。故目前关于幕下节细胞胶质瘤的临床认识仍不够充分。
在临床症状方面,幕上的节细胞胶质瘤患者的临床症状通常为癫痫,发生于幕下的节细胞胶质瘤患者则常表现为颅压增高所致的头痛,共济失调或颅神经功能缺损(如面神经麻木、听力丧失)等。癫痫症状在幕下患者中较为少见。但在影像学表现上,幕下节细胞胶质瘤与幕上节细胞胶质瘤基本相似。病灶在MRI上通常为较局限的囊实性占位,在T2相表现为高信号,T1相表现为等或低信号,且无明显瘤周水肿,病灶可伴有囊性改变以及钙化。有研究认为,相比于幕上节细胞胶质瘤,幕下的节细胞胶质瘤中的囊性改变更为多见[4]。肿瘤囊内的信号可因瘤内出血、裹挟脑脊液等而出现不同的表现。半数以上的患者在行增强扫描时,瘤体会呈现出不同程度的强化。病灶同侧的小脑皮层萎缩是小脑节细胞胶质瘤相较于幕上节细胞胶质瘤较为特异的影像学改变[4, 5]。
由于这些影像学改变与其他颅内肿瘤相比缺乏特异性,节细胞胶质瘤的诊断仍主要依靠组织病理学检查。形态学上,由分化良好的节细胞和肿瘤性胶质成分组成。分化良好的节细胞呈圆形,空泡状核,核仁明显,双染性或嗜酸性胞浆,周边尼氏物质。可见双核。一般神经元成分易见,散在或聚集分布。肿瘤性胶质成分呈星形分化,类似包括毛细胞星形细胞瘤的低级别星形细胞瘤。免疫组化可见神经节样细胞SYN/CGA/NSE的高表达,NF/S-100不同程度的阳性。在病理学分级上,大部分幕上和幕下的节细胞胶质瘤均为低级别病变。小脑节细胞胶质瘤多为WHO I级或II级,WHO III或IV级罕见,但也见于个案报道[6, 7]。
手术全切是所有节细胞胶质瘤的首选治疗方案。成功全切的幕下节细胞胶质瘤患者一般预后良好,因此应尽量争取全切。据有限的文献报道,包括本例患者在内的小脑节细胞胶质瘤患者在全切术后均呈现良好的临床结局[2, 3, 8, 9]。但当肿瘤粘附于脑干或位于颈髓等重要结构时,术者常被迫选择行次全切除术以保全重要的神经功能。另有报道称,生长于重要结构及其附近(如脑干或颈髓等非典型部位)的幕下节细胞胶质瘤,在影像学及病理学方面表现得更具侵袭性,此类节细胞胶质瘤患者预后较差,有文献报道其3年随访死亡率高达31%[10, 11]。故使用次全切除术治疗累及脑干或颈髓的节细胞胶质瘤的临床效果尚有待进一步的探究。由于节细胞胶质瘤对放射线不敏感,且有报道指出放射治疗可导致节细胞胶质瘤的恶性进展,故对节细胞胶质瘤患者不推荐使用任何形式的放射治疗[12]。
结论
小脑的囊实性占位病变需考虑到节细胞胶质瘤的可能。手术全切是治疗小脑节细胞胶质瘤的首选治疗方案,且全切患者一般预后良好。
参考文献
[1] Kalyan-Raman UP, Olivero WC. Ganglioglioma: a correlative clinicopathological and radiological study of ten surgically treated cases with follow-up. Neurosurgery. 1987;20(3):428-33.
[2] Fedoul B, Souirti Z. Cerebellar ganglioglioma. The Pan African medical journal. 2012;12:12.
[3] Milligan BD, Giannini C, Link MJ. Ganglioglioma in the cerebellopontine angle in a child. Case report and review of the literature. Journal of neurosurgery. 2007;107(4 Suppl):292-6.
[4] Zhang S, Ai L, Chen XZ, Wang K. Radiological Evaluation of Infratentorial Gangliogliomas in Various Anatomic Locations of the Cerebellum and Brainstem. Clinical neuroradiology. 2016.
[5] Lou X, Gui QP, Sun L, Wu NZ, Lyu JH, Ma L. Comparisons of MR Findings Between Supratentorial and Infratentorial Gangliogliomas. Clinical neuroradiology. 2016;26(1):65-71.
[6] Rousseau A, Mokhtari K, Duyckaerts C. The 2007 WHO classification of tumors of the central nervous system - what has changed? Current opinion in neurology. 2008;21(6):720-7.
[7] Sasaki A, Hirato J, Nakazato Y, Tamura M, Kadowaki H. Recurrent anaplastic ganglioglioma: pathological characterization of tumor cells. Case report. Journal of neurosurgery. 1996;84(6):1055-9.
[8] Liu B, Arakawa Y, Murata D, Mineharu Y, Yokogawa R, Tanji M, et al. Clinicopathological, Radiological, and Genetic Analyses of Cerebellar Gangliogliomas with Long-Term Survival. World neurosurgery. 2016;94:521-8.
[9] Safavi-Abbasi S, Di Rocco F, Chantra K, Feigl GC, El-Shawarby A, Samii A, et al. Posterior cranial fossa gangliogliomas. Skull base : official journal of North American Skull Base Society [et al]. 2007;17(4):253-64.
[10] Patibandla MR, Ridder T, Dorris K, Torok MR, Liu AK, Handler MH, et al. Atypical pediatric ganglioglioma is common and associated with a less favorable clinical course. Journal of neurosurgery Pediatrics. 2016;17(1):41-8.
[11] Puget S, Alshehri A, Beccaria K, Blauwblomme T, Paternoster G, James S, et al. Pediatric infratentorial ganglioglioma. Child's nervous system : ChNS : official journal of the International Society for Pediatric Neurosurgery. 2015;31(10):1707-16.
[12] Rumana CS, Valadka AB. Radiation therapy and malignant degeneration of benign supratentorial gangliogliomas. Neurosurgery. 1998;42(5):1038-43.
(本文由浙二神外周刊原创,浙江大学医学院附属第二医院神经外科孙泽宇博士整理,病理科许晶虹副主任医师提供病理诊断意见,张建民主任审校并终审。)
往期回顾
浙二神外周刊(一百一十四)--高血压性脑干出血治疗--浙二的观点
浙二神外周刊(一百一十三)--“复合高压锅技术”治疗横窦区硬脑膜动静脉瘘一例
浙二神外周刊(一百一一十二)--应用新型动脉瘤内栓塞装置(WEB)栓塞前交通未破裂动脉瘤一例
浙二神外周刊(一百一十一)--儿童四脑室室管膜瘤术后并发胃瘫综合征一例
浙二神外周刊(一百零八)--新发现AIP基因突变位点的家族性单纯性GH瘤家系一例
浙二神外周刊(一百零七)--自发性低颅压致双侧硬膜下血肿一例
浙二神外周刊(一百零六)--张建民教授牵头国家重点研发计划:“基于脑机接口的脑血管病主动康复技术研究及应用”正式启动
浙二神外周刊(一百零五)--颅骨板障表皮样囊肿合并慢性硬膜外血肿一例
浙二神外周刊(一百零四)--内镜辅助显微手术半椎板入路切除儿童颈髓腹侧肠源性囊肿一例
浙二神外周刊(一百零三)--颅骨缺损修补术后并发急性脑肿胀一例
浙二神外周刊(一百零一)--胶质瘤的病理特征与位置分布的关系
浙二神外周刊(九十九)--垂体生长激素腺瘤卒中伴发脑梗塞一例
浙二神外周刊(九十六)--桥小脑角脑膜瘤伽马刀后并发PICA血栓性动脉瘤一例
浙二神外周刊(九十四)--颅内表皮样囊肿自发破裂伴血清CA-199显著升高一例
浙二神外周刊(九十二)--鞍上毛细胞黏液样星形细胞瘤伴自发性出血一例
浙二神外周刊(九十一)--2017西湖神经外科论坛成功召开!
浙二神外周刊(九十)--以尿崩症为首发表现的Erdheim-Chester病一例并文献复习
浙二神外周刊(三十七)--垂体瘤伴发鞍结...
浙二神外周刊(三十六)--脑膜血管瘤病...




