今天为大家分享的是《颅脑创伤-神经重症病例周刊》第三十七期,由武警浙江省总队杭州医院康复中心带来的病例:自发性低颅压致双侧硬膜下血肿一例,欢迎阅读。
病史简介
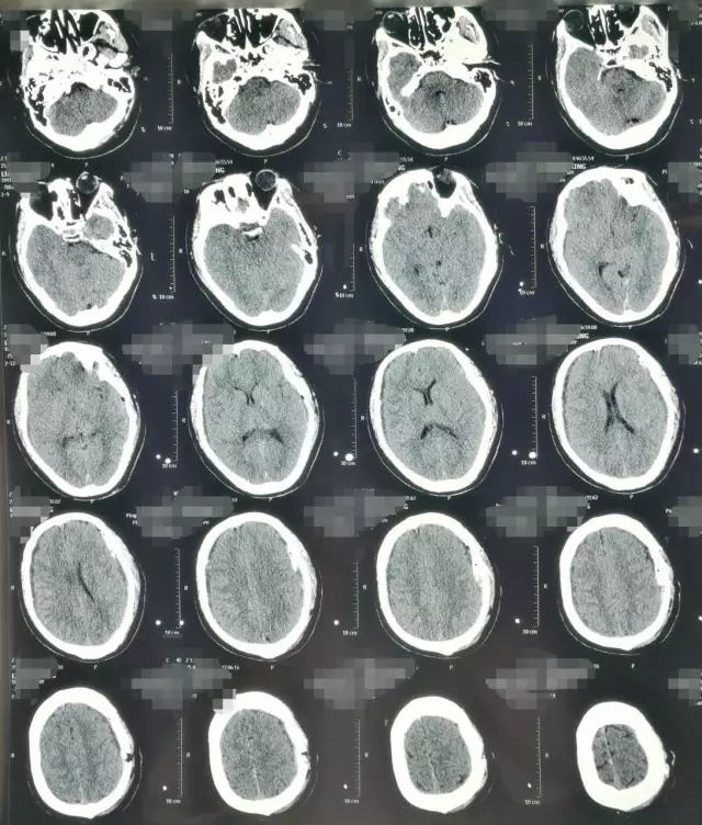
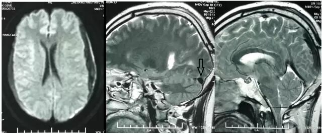
患者,男,40岁;因不明原因反复头痛并加重2月,于2017年4月21日当地医院头颅CT、MRI提示:双侧额颞顶部慢性硬膜下血肿收住院(图1)。并于4月24日行“左侧慢性硬膜下血肿钻孔引流术”。术后患者卧床、静脉补液,头痛症状有所缓解。复查头颅CT显示左侧血肿较前减少,但右侧稍增大(图2)。
但术后2天再次出现头痛,不能缓解,5月2日复查头颅MRI提示硬膜下血肿术后复发,伴小脑下坠,脑沟及小脑上方仍可见较多脑脊液,四脑室变小,颅内静脉系统扩张明显(箭头所示见横窦扩张)(图3)。
于5月7日转上海某医院继续治疗,治疗期间先后三次行“血肿钻孔引流术”,患者颅内硬膜下积液积血无明显改善,并继发脑内血肿,意识不清,脑疝,于5月21日再行“右侧额颞顶部去骨瓣减压术”,术后患者依然睁眼昏迷,并因反复肺部感染,行“气管切开术”。后收住武警浙江省总队杭州医院康复中心。
追问病史患者发病2月前曾有酒后头部轻微外伤史。
入院查体:睁眼昏迷,GCS评分:E4V1M3,CRS-R评分:1+1+2+0+0+2(UWS状态)。右侧大骨瓣减压,脑膜脑膨出明显。双侧瞳孔直径约3mm,对光反射迟钝。气管切开,硅胶套管在位通畅。全身肌张力增高,改良的Ashworth评分3级,双上肢屈曲,双下肢伸直痉挛。双侧肱二、三头肌反射、桡反射、膝反射、跟腱反射活跃。双侧Babinski征(+)。
患者既往体健,无高血压,糖尿病及传染病病史。否认吸烟、饮酒等不良嗜好。


图1. 第一次术前CT及MRI显示双侧慢性硬膜下血肿,中线稍右偏。

图2. 左侧慢性硬膜下血肿钻孔引流术后1天复查头颅CT,显示左侧硬膜下血肿较术前减少。

图3. 术后1周(5月2日)复查头颅MRI显示左侧硬膜下血肿术后复发,伴小脑下坠,脑沟及小脑上方仍可见较多脑脊液,四脑室变小,颅内静脉系统扩张明显(箭头所示见横窦扩张)。
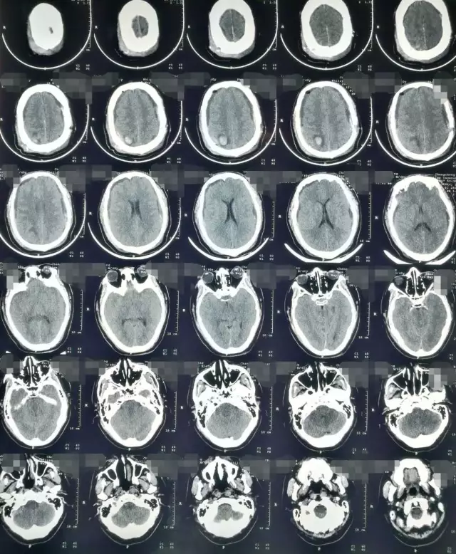
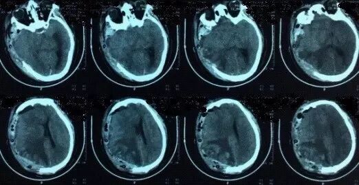
2017年5月7日上海某医院头颅CT提示:颅脑术后,双侧额颞顶部硬膜下积液积血(图4)。于2017年5月9日行双侧钻孔引流术,2017年5月12日头颅CT提示:钻孔术后改变,颅内积气(图5)。患者术后头痛症状持续加重,出现意识不清,5月15日再次复查头颅CT提示脑肿胀明显(图6),于5月17日再次行右侧硬膜下血肿清除+左侧硬膜下血肿钻孔引流术,术后患者出现脑疝,于2017年5月21日行右侧额颞顶扩大去骨瓣减压术+血肿清除术。(图7)

图4. 5月7日头颅CT提示双侧硬膜下积血积液。

图5. 2017年5月12日复查头颅CT提示:钻孔术后改变,颅内积气。

图6. 2017年5月15日头颅CT显示脑沟脑池不清晰,脑肿胀明显。

图7. 2017年5月22日外院头颅CT提示:右侧额颞顶部去骨瓣术后改变。

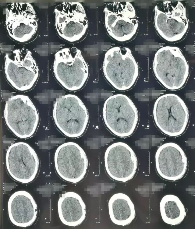
图8. 2017年7月4日本院头颅CT提示:右侧额颞顶部去骨瓣术后改变,脑室扩张。
诊疗经过
入科后讨论:患者病史较长,经历多次手术,意识状态从清醒到无反应觉醒状态,病程复杂,经仔细询问了解病史,查体,结合辅助检查及认真讨论分析,结果如下:
1. 患者目前颅内情况基本稳定,CRS-R评分处于UWS状态,无明确遵嘱运动。主要原因考虑脑疝后广泛的皮层损伤,脑干损伤引起。需要评估脑积水对意识障碍的影响程度以及是否仍存在颅内感染。
2. 患者外院诊治过程中有多次手术病史,术后病情反而一再加重恶化,对于原发病的诊断是否存在方向性的问题?经详细追问病史,家属诉患者头痛跟体位呈明显相关性,卧位时可显著改善,站立位时明显加重。根据该病史及患者术后的种种曲折经历,我们强烈怀疑患者原发病为低颅压所致的自发性硬膜下血肿,需进一步检查寻求确诊依据。
入科后在给予常规的药物护脑,改善循环及传统的康复治疗手段基础上每周两次予行腰椎穿刺术,压力在90-150mmH2O之间,每次放取脑脊液50ml左右,患者骨窗张力明显降低,连续4次脑脊液检查均正常,并且患者出现不稳定的唤名转头动作(意识状态有较明显改善)。
3. 为行脑室腹腔分流术,并进一步检查以是否存在隐性脑脊液漏引起的低颅压综合征可能,与家属沟通后转至浙江大学第二附属医院神经外科脊柱脊髓专业组,进一步行磁共振脊髓造影(腰穿注入钆造影剂后行全脊髓磁共振扫描)显示胸4-10水平硬膜外存在造影剂溢出(图9)。
根据病史及辅助检查考虑患者于胸4-10硬膜外存在脑脊液聚集,考虑瘘口位于胸4-10之间,但患者术前意识不清,无法耐受长时间的磁共振扫描,准确瘘口较难寻找,经浙二医院神经外科科室讨论,于2017年8月4日行“脑室腹腔分流术+胸段硬膜外血贴术(图9)”。现患者意识水平明显改善,存在稳定的遵嘱张嘴伸舌,握手识别物体等动作。GCS评分:E4V1M5.CRS-R评分:4+4+5+1+1+3。拟1个月后复查脊髓MRI明确瘘口有无完全封闭。

图9. 左:浙二医院磁共振脊髓造影提示胸髓硬膜外脑脊液渗漏,红色箭头所指条索线状影为硬脊膜,于左侧硬脊膜外可见造影剂显影。右:胸段硬膜外血贴术:采用硬膜外麻醉穿刺针于T6-7水平硬膜外穿刺后,取自体静脉血8ml(不抗凝)注入硬膜外。(手术医生:朱永坚、应广宇)
讨论
自发性低颅压(spontaneousintracranial hypotension,SIH)是一种临床少见的综合征,因多以头痛起病,通常就诊于神经内科,其发病率约为5/10万,可发生于任何年龄段人群。
目前认为该病最常见是因各种创伤活动,穿刺等引起硬脑膜撕裂继发的脑脊液漏引起。脊膜结构薄弱是发病的基础,临床上常常表现为轻微的外伤导致椎管内隐匿的脑脊液漏,因脑脊液未漏出体外,且该疾病多于神经内科就诊,神经外科医生容易忽视。
而SIH临床表现各异,复杂多变,但体位性头痛为其核心的特征性表现。国际头痛协会将此类头痛定义为:直立后15min内出现或加重,恢复卧位后30min内消失或减轻的头痛。同时还常伴随其他症状如:恶心呕吐,颈项强直(脑膜刺激征);头晕眩晕(内耳迷路压力改变);复视,听觉过敏,面部麻木或疼痛,面瘫等(相应颅神经受牵拉)。极少数病例可出现帕金森综合症(中脑受压),痴呆(额颞叶皮层累及),垂体功能减退症(垂体充血),意识水平下降甚至昏迷(间脑受压)等。
除了临床特异性的表现外,在影像学方面,SIH患者的颅脑MRI有5个典型特征(SEEPS):
(1)Subduralfluid collections硬膜下积液;
(2)Enhancement of the pachymeninges硬脑膜强化;
(3)Engorgement of venous structures静脉结构充盈 ;
(4)Pituitaryhyperemia垂体充血;
(5)Sagging of the brain脑组织下沉。其中又以硬脑膜强化及硬膜下积液最为常见。

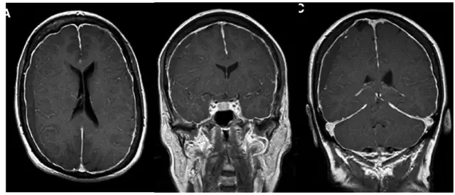
图10. 典型病例增强MRI:硬脑膜强化合并双侧硬膜下积液。

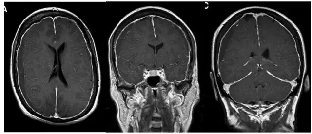
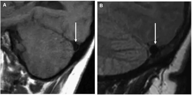
图11. A为正常的横窦,B为扩张的横窦。

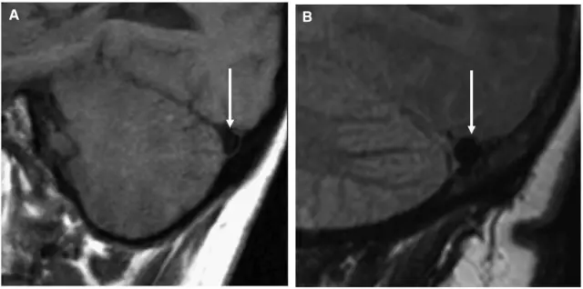
图12. A为正常脑组织矢状位,B可见脑组织下坠。
腰穿检查可以明确低颅压诊断,有时因颅内压力过低,可导致腰穿失败。为寻找瘘口,通常采用CT全脊髓造影(图13)或MRI全脊髓造影,当腰穿失败时,可采用磁共振脊髓水成像替代。硬膜外血贴治疗目前被认为是治疗自发性低颅压最有效的方法。

图13. CT脊髓造影能够明确脑脊液漏的部位和漏点数量。
慢性硬膜下血肿(CSH)是临床上神经科的常见病,通常有明确的外伤病史,手术常常预后良好。但对于自发性低颅压引起的慢性硬膜下血肿而言,常常较为复杂,但临床表现和辅助检查又常与CSH相互重叠,因此极易造成误诊。
而因为其引起血肿的机制完全不同,所以在治疗上与CSH大相径庭。SIH通过严格的卧床补液等内科保守治疗常可有良好的预后,而部分反复的隐性脑脊液漏病人可通过脊髓造影明确漏口位置后行硬膜外血贴术同样预后良好。
针对本例患者,临床治疗中从一开始就忽视了体位性头痛这一核心症状,误以为是单纯的慢性硬膜下血肿;该患者最初的头颅MRI检查可以发现硬膜下血肿量较少,占位效应不明显,血肿与症状不符,在第一次钻孔引流术后复查的头颅磁共振可见硬脑膜静脉窦扩张、双侧硬膜下积液、脑室缩小、小脑结构移位下沉等特征性影像学表现,高度提示了自发性低颅压的可能;但因该疾病在神经外科相对少见,临床医生认识不足,最终未能及时诊断及治疗。
通过本例患者的惨痛教训,可见对于一部分原因不明,头痛较严重,占位效应不明显的慢性硬膜下血肿患者而言,需与自发性低颅压鉴别,必须要有详细的病史询问,因自发性低颅压患者多合并有轻微外伤史,在询问病史时一定要重点询问头痛与体位改变的关系,增强MRI扫描有助于鉴别低颅压引起的慢性硬膜下血肿,尽可能避免误诊误治的情况再次发生。
传统的康复医疗流程常包括康复评估,康复问题,康复目标以及康复治疗。但对于重症颅脑损伤的早期康复患者而言,因为其病情的严重性及不可预见性,我们觉得在传统的康复流程基础上,首要的任务是应对患者进行客观准确的临床评估,包括对原发病诊断治疗评估,对全身内科情况的评估以及对意识障碍的评估,这些也是重症早期康复的基础,只有完善了这些,才能使得整个重症康复医疗行为得到安全有效的开展。
参考文献
1 Mea E,Chiapparini,Savoiardo M,et al.Headacheattributed to spontaneous intracranial hypotension.NeurolSci,2008,29(Suppl1):S164-165.
2 Grimaldi D,Mea E,Chiapparini,etal.Spontaneous low cerebrospinal pressure:a mini review.NeurolSci,2004,25(Suppl3):S135-137.
3 Haritanti A,Karacostas D,Drevelengas A,etal.Spontaneous intracranial hypotension:clinical and neuroimaging findings insix cases with literature review.Eur J Radiol,2009,69(2):253-259.
4 Seiler R,Hamann GF.Sinus venous thrombosis ascomplication of a Spontaneous intracranialhypotension.Nervenarzt,2009,80(8):963-966.
5 Vaghela V,Hingwala DR,Kapilamoorthy TR,etal.Spontaneous intracranial hypotension:an imaging review[J].NeurolIndia,2011,59(4):506-512.
6 Farb RI,Forghani R,Lee SK,et al.The venousdistension sign:a diagnostic sign of intracranial hypotension at MR imaging ofthe brain[J].Am J Neuroradiol,2001,28(8):1489-1493.
7 Tsai PH,Fuh JL,Lirng JF,et al.HeavilyT2-weighted MR myelography in patients with Spontaneous intracranialhypotension:a case control study[J].Cephalalgia,2007,27(8):929-934.
8 Wang YF,Lirng JF,Fuh JL,et al.HeavilyT2-weighted MR myelography vs CT myelography in Spontaneous intracranialhypotension[J].Neurology,2009,73(22):1892-1898.
9 Gordon N.Spontaneous intracranialhypotension.Dev Med Child Neurol,2009,36(3):345-348.
【颅脑创伤-神经重症病例周刊】往期回顾






