【Ref: Bette S, et al. Sci Rep. 2017 Jul 17;7(1):5585. doi: 10.1038/s41598-017-05767-2.】
30%-80%脑肿瘤患者发生围手术期脑梗死,导致神经功能缺损。最近的研究认为,术中监测血压和血流动力学参数相当重要性。德国慕尼黑理工大学附属医院神经放射科的Stefanie Bette等研究脑肿瘤患者的围手术期血流动力学变化对发生脑梗死及预后的影响,结果发表在2017年7月的《Scientific Reports》在线。
作者对179例首发或复发恶性胶质瘤手术患者的临床数据、围手术期血流动力学参数、体液平衡检测、术后MRI成像资料以及手术时间等进行回顾性分析。利用半自动分割技术定量评估术后脑梗死体积。
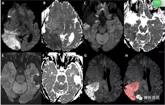
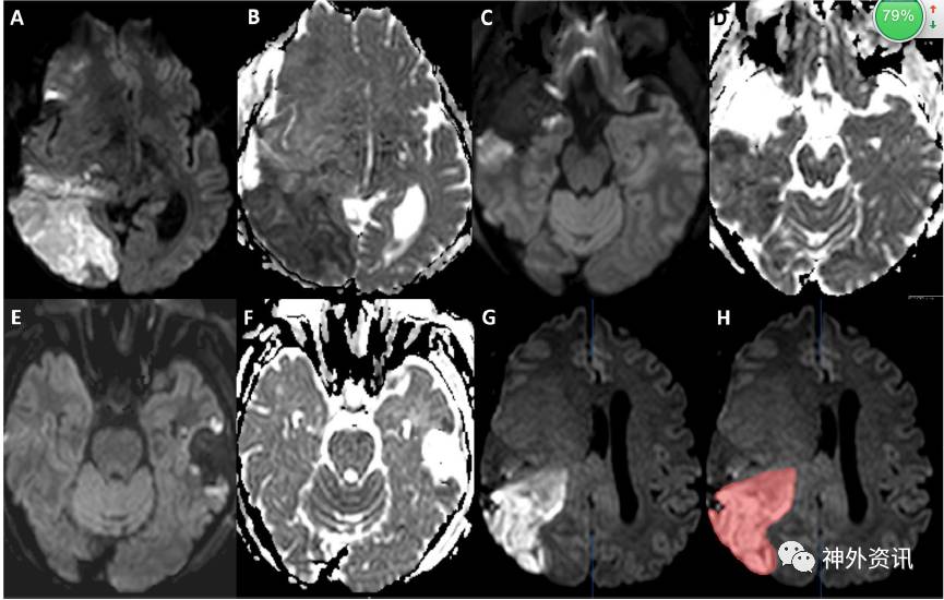
结果显示,179例患者共行201次手术。其中,159例的术后MRI成像显示缺血性脑梗死,脑梗死体积0.5–6.7cm3,平均为2.1cm3(图1)。计算所有参数的spearman相关系数后,发现术中平均舒张压(dBP)(rho -0.239;95% CI -0.11--0.367,p=0.017)、液体平衡状况(rho 0.236;95% CI 0.1-0.373;p=0.017)和术中平均动脉压(MAP)(rho -0.206;95% CI -0.07--0.34;p=0.041)与脑梗死体积呈相关性。采用等级回归模型,排除年龄和复发肿瘤等的混杂因素后,显示术中平均舒张压、液体平衡以及手术的时长是脑梗死体积的独立风险因子。单变量生存分析提示,术中平均舒张压、平均动脉压以及手术时长是脑梗死预后的预测因子。多变量模型表明,手术时长仍为患者预后的预测因子(HR=1.003;95% CI 1.000-1.007;p=0.027)。

图1. 脑肿瘤切除术后患者的MRI成像显示脑梗死体积。
最后作者指出,对脑肿瘤患者围手术期密切监测血压和液体平衡,有助于阻止和减少患者发生脑梗死,延长患者生存期。
(Tim编译,复旦大学附属华山医院陈灵朝博士审校,《神外资讯》主编、复旦大学附属华山医院陈衔城教授终审)
相关链接




