CP angle, tentorial meningioma
Medial tentorial meningioma-Transtentorial approach
Medial tentorial meningioma
今天为大家分享的是由上海交通大学医学院附属新华医院神经外科窦宁宁医师翻译,《神外资讯》常务编辑、海军军医大学附属长征医院神经外科徐涛医师审校的:天幕脑膜瘤手术策略与技巧,欢迎观看、阅读。
起源于天幕的脑膜瘤约占所有颅内脑膜瘤的3%-6%,其中30%的天幕脑膜瘤位于后颅窝。像其它部位的颅内脑膜瘤一样,天幕脑膜瘤主要发生于中年女性。
天幕脑膜瘤可起源于天幕的任何部位,约一半左右起源于横窦区域,1/4起源于天幕游离缘,另外1/4起源于天幕和大脑镰交汇区域并对两者都有侵犯。有很少一部分肿瘤起源于窦汇附近,并同时压迫包绕窦汇。
很多学者按照不同的原则将天幕脑膜瘤分为不同类型。但与手术关联最密切的分类方法是由著名神经外科医生Yasargil提出。这种分类方法主要依据于脑膜瘤在天幕上的位置而进行分类。Yasargil将天幕分为“三环”。 “内环”指的是天幕游离缘,“外环”指环绕横窦的天幕区域,在这两环之间的是“中环”区域。天幕脑膜瘤还可根据肿瘤凸向幕上,幕下抑或同时侵及幕上下而进一步分类。这一章主要涉及天幕游离缘的脑膜瘤。
临床表现
由于天幕脑膜瘤生长缓慢,患者常没有任何症状以至于肿瘤体积很大时才被发现。天幕脑膜瘤可出现多种不同的临床表现,不同的临床表现主要取决于肿瘤的大小、位置、水肿范围以及肿瘤凸向幕上还是幕下区域。
天幕肿瘤可对脑干、颅神经(常见III, VI, V)、颞叶内侧或小脑产生压迫效应。最常见的临床症状是头痛、行走不稳和视力障碍(包括视野缺损和复视),精神状态改变和癫痫也非常常见。其他症状包括偏瘫、三叉神经痛及吞咽困难也曾有作者报道。
评估
磁共振可以清楚地显示肿瘤的大小、形状、幕上下的累及范围、天幕的肿瘤基底范围以及与周围神经和血管组织的关系。T2序列上的血管流空影可以显示出肿瘤与后循环动脉的关系。
脑实质水肿高度提示肿瘤已经突破软脑膜,磁共振的动脉和静脉显影会显示出血管的分布和走行。磁共振静脉显影可以显示出Galen静脉、直窦和相关的基底静脉。横窦和乙状窦的走行及与肿瘤的关系对于“外环”区域肿瘤非常重要。已经被肿瘤完全侵蚀的静脉窦腔由于无血流通过可以直接切除而不会造成大量出血,但若静脉窦腔尚未被肿瘤完全侵蚀,则只能保留静脉窦而对肿瘤进行部分切除。
目前介入导管造影已经被CTA等无创的血管造影成像技术所代替。对于天幕脑膜瘤一般不需要术前栓塞,因为肿瘤的血供来源于脑膜垂体干的天幕支(Bernasconi-Cassinari动脉),下外侧干的幕缘动脉分支,小脑上动脉的天幕分支和大脑后动脉的部分分支,这些血管由于血管纤细且走行弯曲使得造影的导管非常难于进入。即时栓塞成功,益处也不大。因为天幕肿瘤很少引起骨质侵蚀或增生,所以一般也不需要进行术前颅骨CT扫描。
在术前的影像上要彻底区分中线区域天幕脑膜瘤和岩斜区脑膜瘤非常困难。岩斜区脑膜瘤起源于三叉神经内侧的基底池内,而中线的天幕脑膜瘤一般位于三叉神经外侧并与周围神经血管结构通过一层蛛网膜相互分开。全切岩斜区脑膜瘤的可能性远低于中线天幕脑膜瘤。术前如果可以准确判断肿瘤类型且明白这些原则对于手术计划的制定非常重要。

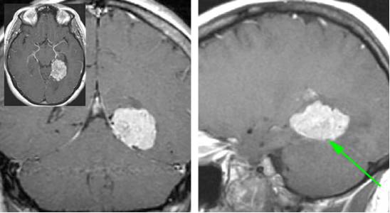
图1. 图示天幕脑膜瘤。术者通过经天幕小脑上入路来避免术中由于暴露不够而对颞叶的切除。

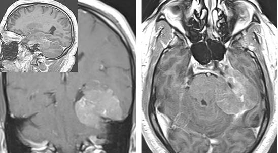
图2. 天幕脑膜瘤。如上图所示病例,肿瘤可以沿天幕表面扩展。在此患者中,后颅窝的占位压迫导致相应症状。此病例分期分别通过乳突后和颞下入路两步来切除。
手术指证
如肿瘤体积小且无症状、或者症状轻微但手术风险高的肿瘤都可以影像学随访观察。在出现症状的肿瘤患者或随访发现肿瘤体积明显增大时需要手术治疗。尽管第一次手术是最好的全切肿瘤的机会,但要注意的是手术应尽可能保留术前正常功能、改善占位造成的症状,在此基础上再争取尽量切除肿瘤且不造成副损伤。
术前准备
如果肿瘤对幕上脑组织有占位效应或侵蚀软脑膜造成脑白质组织水肿,术者推荐进行预防性抗癫痫治疗。
术前放置腰大池引流有利于术中脑组织塌陷。尤其在年轻患者中,这一操作可以明显增加暴露空间。部分患者可用术中CT血管造影来定位有可能造成天幕切开困难的粗大天幕引流静脉。
如果采用颞下入路处理天幕外侧脑膜瘤时,Labbe静脉的位置非常重要。同样地,腰大池引流对松弛颞叶也非常重要。
手术解剖
天幕的游离缘(天幕 “内环”)围绕脑干,并且与动眼神经、滑车神经、深部的静脉系统以及后循环血管关系都非常密切。

图3. 天幕结构上面观,左侧天幕被切除以显示幕下结构(上排),天幕侧面观以及其浅部的解剖标志在图中被标识出(下排)。注意天幕在侧面的陡峭角度,颞下入路时需显著牵拉颞叶才能暴露达到天幕游离缘(图片引用自AL Rhoton, Jr)。

图4. 因为抬高颞叶会导致Labbe静脉和其余颞部回流静脉受损,因此通过颞下入路进入天幕游离缘有风险(上排)。天幕游离缘的神经血管结构已在图中标出(下排)(图片引用自AL Rhoton, Jr)。
天幕的血供主要来源于脑膜垂体干的天幕支(Bernasconi-Cassinari动脉),颈内动脉海绵窦段下外侧干的幕缘动脉以及小脑上动脉和小脑后动脉的天幕分支。这些血管都是天幕肿瘤血液供应的主要来源。
天幕拥有数目多变的静脉湖和走行各异的静脉窦,由于天幕脑膜瘤压迫横窦和乙状窦,造成引流不畅,这些静脉窦和静脉湖可变得异常发达。在经天幕入路切开天幕过程中,可能会发生汹涌的静脉出血,此时的静脉出血可以通过明胶海绵压迫来控制。如果采用双极电凝反而会导致裂口增大,无法达到止血效果。至今为止,笔者从来没有遇到由于阻断天幕静脉湖血流而产生并发症的情况。
切除天幕肿瘤
天幕肿瘤的采用何种手术入路取决于肿瘤的位置、尺寸、血供情况以及肿瘤凸向幕上、幕下还是两者皆有。患者本身的神经血管解剖结构也会影响手术入路。
对于局限于中线部位且凸向后颅窝的天幕脑膜瘤,经中线幕下小脑上入路可以切除病变。天幕内环(游离缘)、中环和外环的脑膜瘤一般都可通过颞下入路来进行切除,而肿瘤的幕下部分可以通过乙状窦后入路来处理。
一些非传统的手术入路也经常会用于天幕脑膜瘤的处理。对于幕上的肿瘤,可采用经枕半球间入路。跨幕上下的肿瘤可以通过经枕经天幕入路或幕上下联合入路来切除,而体积巨大的跨天幕肿瘤幕上和幕下部分采用分期处理也是合理的。
不管肿瘤凸向幕上、幕下还是均有涉及,笔者都更倾向于采用微创的中线旁幕下小脑上经天幕入路来切除绝大多数中线部位的天幕脑膜瘤。如果操作合适,这个入路可以看到肿瘤的全貌,甚至可以看到向对侧生长的肿瘤。下面将详细描述这一入路。
对于手术的暴露开颅等颅外操作部分,请参考《经天幕入路切除海马旁肿瘤》章节。
硬膜内步骤
经天幕入路切除中线部位起源于天幕的幕上脑膜瘤的硬膜内操作部分详述如下。

图5. 在小脑上入路的手术中,为了增加暴露有可能要切断中线旁引流静脉(上排)。图中展示的是肿瘤浸润的天幕(箭头)(下排)。

图6. 在切开天幕接近肿瘤的过程中,可通过锐性分离蛛网膜来充分暴露天幕游离缘的神经血管结构,早期的充分暴露能够避免在肿瘤切除过程中受到损伤。
充分锐性分离瘤旁的蛛网膜带会避免损伤滑车神经。

图7. 识别天幕游离缘旁的滑车神经。将位于天幕缘旁的滑车神经及周围血管结构充分游离并保护起来,如果可行,先将这部分肿瘤减容。天幕游离缘附近的脑干背外侧神经神经血管结构要在大规模切除肿瘤之前充分暴露,以免切除过程中由于视野不清误伤。

图8. 天幕表面可用双极电凝进行处理,这一操作可阻断肿瘤血供,减少肿瘤切除过程中的出血。

图9. 在切除天幕游离缘的时候要注意保护滑车神经(上方插图)。若要沿着红色虚线切除将会损伤神经,而沿着黑色虚线则利于神经保护。另外,颞叶后方基底部的脑实质肿瘤需要T形切口切开天幕。切除左侧岩骨天幕区域脑膜瘤的术中图片证实了滑车神经在肿瘤和天幕前缘进入硬模(下图)。

图10. 在充分保护滑车神经的情况下,天幕切口可从岩骨边缘延伸直到中线以包含肿瘤基底区域。在少数情况下,如术中发现汇入天幕的枕叶引流静脉阻挡视野,可将其牺牲。沿中线切开天幕时必须注意保护直窦以及其分支。天幕有可能存在静脉湖,而天幕的静脉出血可以通过浸泡凝血脢的明胶海绵压迫止血,而双极电凝则会皱缩天幕,扩大裂口而加重出血。
像上图所示的方式靠近肿瘤并切开天幕将会有助于减少肿瘤血供,并提供一个相对无血的区域来切除和分离肿瘤。

图11. 在切开天幕暴露肿瘤后,可通过吸引器和双极电凝来对质软肿瘤行内减压,而对纤维性质地坚硬的肿瘤则可通过吸引器和CUSA(超声吸引器)配合来进行切除。但在内减压肿瘤过程中不应在视线不及的瘤壁外侧操作。

图12. 在对肿瘤进行足够的内减压后,再分离瘤壁与周围如枕叶底部和颞叶后部等神经血管组织,在这分离过程中注意保护大脑后动脉。

图13. 小块的脑棉垫片用来逐渐垫开肿瘤与瘤周组织。这一操作与处理凸面脑膜瘤类似。经天幕入路本质上是将一个中线区域的天幕脑膜瘤变为凸面脑膜瘤。

图14. 经天幕入路创造了一条直接到达枕叶底部和颞叶后方的通道。如果切除肿瘤和侵蚀的天幕可以达到Simpson I级切除,这会使得肿瘤复发率很低。在这一区域的轴内肿瘤(intraaxial tumor)也可通过这一入路切除。

图15. 内镜可以在切除肿瘤时显微镜视线不及的地方进一步探查和继续切除,尤其是大脑镰后方和直窦附近的区域。岩尖部也可以通过有角度的内镜来进一步探查。
关颅
切开的天幕不需要重建,但硬膜要水密缝合。术中腰椎穿刺脑脊液引流在手术结束后可拔除。
术后注意事项
术后患者要送入重症监护室严密观察。术后一周内逐渐减少类固醇剂量,减少的速度及剂量取决于脑组织的肿胀程度和患者的神经功能状态。
术后48小时内复查磁共振以观察肿瘤切除程度,并作为今后随访比较的依据。术后影像资料可以指导术者回顾手术过程,在以后对此类肿瘤做到更完善的切除。
点睛之笔
相比于其他应用更广泛的手术入路,经天幕小脑上入路具有多个优点,但是入路深在和工作区域窄小是这一入路的缺点。
在深在而窄小的区域切除血管型的天幕脑膜瘤时术者的经验和专业素养显得尤其重要。
(编译:窦宁宁;审校:徐涛)
Contributor: Andrew R. Conger, MD, MS
DOI: https://doi.org/10.18791/nsatlas.v5.ch05.6
中文版链接:www.medtion.com/atlas/5233.jspx
参考文献
Aguiar PH, Tahara A, de Almelda AN, Kuriau K.. Microsurgical treatment of tentorial meningiomas: Report of 30 patients. Surg Neurol Int. 2010;1:36.
Al-Mefty O. Operative Atlas of Meningiomas. Philadelphia: Lippincott-Raven, 1998.
Bassiouni H. Asgari S. Tentorial meningiomas, in DeMonte F, McDermott M, Al-Mefty O (eds): Al-Mefty’s Meningiomas, 2nd ed. New York: Thieme Medical Publishers, 2011.
Bassiouni, H. Hunold A, Asgan S, Stolke D.. Tentorial meningiomas: Clinical results in 81 patients treated microsurgically. Neurosurgery. 2004; 55: 108-118.
Rhoton AL Jr. The tentorial incisura. Neurosurgery. 2000;47: S131–S153.
Tew JM, van Loveren, HR, Keller JT. Atlas of Operative Microneurosurgery. Philadelphia: Saunders, 1994-2001.
Pieper D. Surgical management of tentorial meningiomas, in Badie B (ed): Neurosurgical Operative Atlas: Neuro-oncology, 2nd ed. Rolling Meadows, IL: Thieme Medical Publishers and the American Association of Neurological Surgeons, 2007.




