
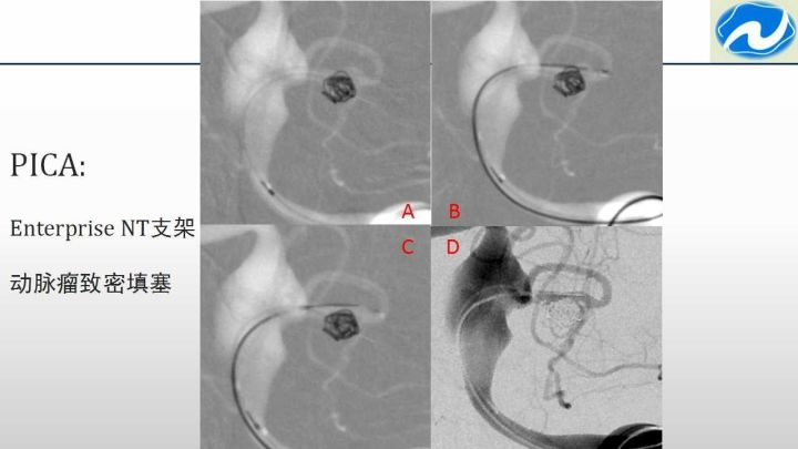
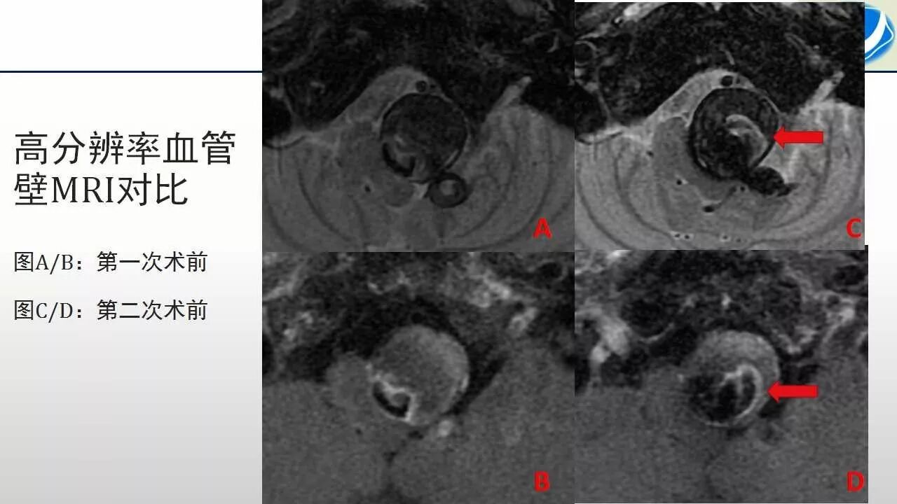
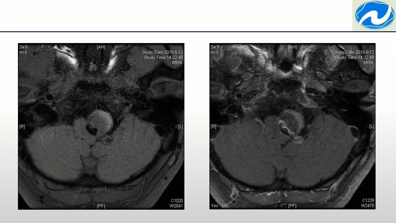
今天为大家分享的是“强生医疗CNV-神经介入专栏”第三十期,由南京军区总院神经外科神经介入中心张鑫教授团队带来的“‘T’型支架技术--椎动脉夹层动脉瘤合并小脑后下动脉夹层动脉瘤的血管重建”精彩讲课PPT,欢迎观看。文章仅代表作者个人观点,如有不同见解,欢迎同道斧正!

张鑫,医学博士,教授,南京军区南京总医院神经外科主任医师,全军神经外科研究所神经介入中心主任,南京大学、南方医科大学博士生导师,博士后合作导师,第二军医大学、南京医科大学、东南大学、江苏大学及南京工业大学硕士研究生导师,现任中国医师协会神经介入专业委员会委员,中国脑防委外科专业委员会常务委员,江苏省医学会神经外科专业委员会委员,江苏省神经外科专业委员会脑血管病组秘书,江苏省介入医学分会神经介入组副组长,中国人民解放军神经外科专业委员会神经介入专业组委员,南京军区介入医学专业委员会委员,中国卒中学会神经介入分会青年委员,中国抗衰老促进会神经系统疾病专业委员会委员,中国研究型医院学会脑血管病学专业委员会委员。《中国脑血管病杂志》编委、《中华实验外科杂志》编委、《微侵袭神经外科杂志》审稿专家。
1999年开始从事神经介入的临床与基础工作,在脑血管疾病介入诊断、治疗方面积累了丰富的经验,对复杂的颅内动脉瘤、脑动静脉畸形及硬膜动静脉瘘等的栓塞治疗有深入的研究。每年完成各类脑血管疾病的介入治疗近600余例,以第一或通讯作者共发表文章50余篇(其中SCI 14篇)。江苏省“科教强卫”重点人才,江苏省六大人才高峰培养对象,作为第一负责人主持国家自然基金等外源性课题5项(经费138万),2014年获江苏省新技术引进奖一等奖。2016年获全军医疗成果三等奖。
南京总医院神经外科研究所神经介入中心(前身南京总院神经外科神经介入组)创立于2006年,是神经外科研究所最强的亚专业之一,该中心每年收治各类脑血管病患者近千名,完成脑血管病介入手术近600例,脑血管造影近千台。
治疗范围涵盖了各类出血及缺血性脑血管疾病(如颅内动脉瘤、动静脉畸形、硬脑膜动静脉瘘、脑血管狭窄、脊髓血管病等),治疗数量和效果均处于国内领先水平。该中心现开展病床20张,固定医护人员7名,其中高级职称人员2名,具有博士学位4名。



























【强生医疗CNV-神经介入专栏】回顾





