今天为大家分享的是由深圳市宝安区沙井人民医院宋同均医师翻译,《神外资讯》常务编辑、海军军医大学附属长征医院神经外科徐涛医师审校的:蝶骨嵴中外侧脑膜瘤手术技巧(Lateral and Middle Sphenoid Wing Meningioma),欢迎观看、阅读。
Lateral sphenoid wing meningioma-1
大约15-20%的脑膜瘤起源于蝶骨嵴,其中一半位于蝶骨的中外侧。蝶骨嵴外侧脑膜瘤起源于翼点,通常沿大脑外侧裂生长。
蝶骨嵴中外侧脑膜瘤没有特殊的病理和基因特征,WHO II级和III级的比例较凸面脑膜瘤更少。
分类
蝶骨嵴脑膜瘤可以分为三类:1)起源于前床突和蝶骨嵴内侧三分之一的脑膜瘤,2)起源于中和外侧蝶骨嵴脑膜瘤,和3) 蝶骨嵴斑块状脑膜瘤或蝶眶(spheno-orbital)脑膜瘤。
在笔者看来,外科分类是为了简化手术目标分层。因此,笔者把蝶骨嵴中外侧脑膜瘤分为两大类:1)球状或传统肿瘤,和2)骨增生斑块状或蝶眶肿瘤。
球状肿瘤相对简单,在切除外侧蝶骨嵴后,可以转化为凸面肿瘤。而蝶眶肿瘤需要更大范围的切除肿瘤浸润的骨质,纠正眼突出,在技术上更有挑战性。
蝶骨棘中外侧脑膜瘤的眶内扩展并不少见。
在本章中笔者将讨论蝶骨嵴中外侧脑膜瘤。累及视器、眶上裂或海绵窦的蝶骨嵴中部大型肿瘤将在《蝶骨嵴内侧脑膜瘤》一章中讨论。累及蝶骨嵴全长及前床突的蝶眶脑膜瘤也在本章讨论。
诊断
当蝶骨嵴中外侧脑膜瘤体积较大时会表现出典型症状。患者可能会出现头痛、对侧轻偏瘫、局灶性运动性癫痫或失语症(优势半球的肿瘤)。蝶骨嵴增生可能导致眼球突出、眼眶痛、视物模糊、复视、或视野障碍。蝶骨嵴外侧或相邻颅盖骨增生也可能导致头部肿块,影响外貌。
大型肿瘤引起颞叶水肿可能导致局灶、复杂部分性、或全身性强直阵挛性癫痫发作,包括味觉和嗅幻觉。当患者及家属回顾病史时,常常发现精神障碍的存在。在对头痛、眩晕或其他不相关的主诉诊断检查过程中,也可能发现肿瘤。
评价
薄层MRI扫描(包括脂肪抑制序列)可用于评估眼眶受累的程度。CT的骨窗和薄层扫描可用于衡量骨浸润或骨增生的程度。与眼整形外科同事讨论有助于评估视觉和眼球突出的基础状态。如果大范围切除受累骨质,可能需要重建眶壁和外侧颅盖骨,术前应准备好个体化定制的植入物。
为识别血管和脑实质水肿,T2加权MR影像也是必须的。外侧蝶骨嵴脑膜瘤,在手术早期即可处理肿瘤血供(主要来自脑膜中动脉),通常无需术前栓塞。

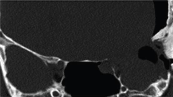
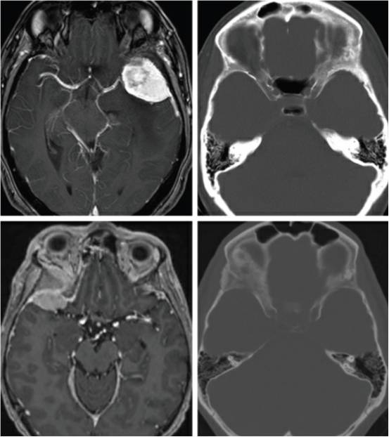
图1. 上图为一个典型的左侧外侧蝶骨嵴脑膜瘤伴骨质增生。下图为右侧蝶眶脑膜瘤伴显著的蝶骨嵴、床突和眶壁增生,导致眼球突出。为长期的控制肿瘤并改善眼球突出,有必要同期切除硬膜内肿瘤和增生的骨质。
手术适应症
蝶骨嵴外侧骨质增生及肿瘤累及眶内均可导致眼球突出和视力下降。出现后一种症状是手术干预的绝对适应症。视神经孔内骨质增生也会压迫视神经。与其他脑膜瘤一样,占位效应、脑水肿、癫痫、认知障碍、言语困难等相关症状也是手术干预的适应症。

图2. 图示右侧外侧蝶骨嵴脑膜瘤及其与周围结构的关系。
术前注意事项
手术切除是治疗蝶骨嵴外侧脑膜瘤的主要手段,手术目标是完整切除肿瘤及广泛受累的骨质和硬脑膜,减少未来肿瘤复发的风险。
大型分叶型肿瘤若累及眶上裂或海绵窦,可能无法完全切除。立体定向放射治疗可用于小的残留或复发生长的肿瘤,尤其是对部分侵入海绵窦的肿瘤。
如前所述,在切除肿瘤累及的大块颅骨和眶壁后,用术前准备好定制的材料修补颅骨能最大程度减少术后畸形的风险。
笔者喜欢用腰大池引流松弛硬脑膜,从而在硬膜外磨除骨质时畅通无阻。脑脊液引流促进硬膜和脑组织离开术区,防止在磨除前床突的过程中损伤。
手术解剖
蝶骨的解剖简要描述如下。


图3. 在冠状面蝶骨嵴和床突的解剖,这与蝶骨嵴中外侧脑膜瘤有关(图片由AL Rhoton Jr 授权)。

图4. 与切除蝶眶脑膜瘤有关的蝶骨周围软组织解剖。注意额神经、上睑提肌、和上直肌的位置。许多蝶骨嵴中外侧脑膜瘤侵犯眶上裂,无法全部切除(图片由AL Rhoton Jr授权)。
蝶骨嵴中外侧脑膜瘤切除
病人取仰卧位,头部向对侧旋转40度并用头架固定。围手术期预防使用抗癫痫药物是有争议的。如果肿瘤显著浸润软膜,笔者倾向于手术之前给予负荷剂量和术后持续药物治疗7天。
如果病人术前或术后有任何癫痫发作,可以增加剂量,并持续时间延长到6个月到1年。肿瘤没有或很少扩展至硬膜内则不需要使用抗癫痫药物。
经翼点开颅切除蝶骨嵴中外侧脑膜瘤。根据肿瘤浸润硬脑膜的程度,用神经导航(MR和CT)指导开颅范围。肿瘤的硬脑膜尾应该积极尝试切除。如果硬脑膜被严重浸润,在开颅时应留取骨膜,手术结束时用来重建缺损的硬脑膜。
术中笔者也使用腰大池引流协助大脑减压和皮质分离。基底池直到手术最后步骤才能到达,因此通过腰大池引流可明显协助松驰脑组织,使处理肿瘤和硬膜外磨除骨质(特别是蝶眶肿瘤病例)更安全,同时避免牵拉额颞叶。


图5. 随着肌皮瓣的翻开,笔者使用一个大的钻头磨除集中覆盖翼点的增生的颅盖骨;不急于形成骨瓣(上图,右侧入路对应于图1中的下图),而是在肿瘤浸润的骨质边缘进行多个钻孔,再用咬骨钳将这些骨孔连接(下图)。增生的骨质富含血管,直接形成骨瓣并抬起它常会导致大出血。此外,肿瘤浸润的骨质和硬脑膜相互粘连,骨瓣抬起时会导致大脑皮层撕裂伤。

图6. 在肿瘤浸润的颅盖骨周围连续钻孔,用骨蜡控制来自厚的松质骨的出血(左图)。用咬骨钳去除翼点和蝶骨嵴外侧面骨质的最厚部分(右图)。电凝供应肿瘤的扩张的脑膜中动脉。


图7. 在翼点和受影响的骨岛磨除后,暴露骨质和硬脑膜的正常边缘。接下来,完成眶颧开颅(上图),并使用1号 Penfield剥离子分离受影响的内侧蝶骨嵴(*)(下图)。这个骨质用小的侧切钻磨开。


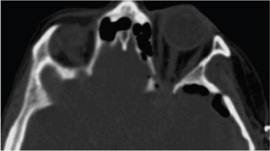
图8. 在直视下完全离端眶顶或外侧蝶骨嵴后,才能抬起眶颧或翼点骨瓣。在图1上图中笔者试图将骨瓣和肿瘤抬起,但无意中导致沿蝶骨嵴到视神经管(上图)和筛窦(下图)的骨折,造成视神经损伤和未能识别的术后脑脊液漏。

图9. 在硬膜外磨除内侧蝶骨嵴和前床突后,辨认眶上裂(SOF)和视神经(ON)。在这个阶段,要用术中CT导航指引切除骨质。如果肿瘤延伸到眶部,进一步切除眶上和外侧壁,并切除扩展入眶内的肿瘤。在手术结束需要一个植入物重建眶壁以避免延迟眼球内陷。
硬膜下操作步骤
切除硬膜下肿瘤与凸面脑膜瘤使用相同的技术。

图10. 术者锐性切开硬膜,保护大脑,用双极电凝电凝硬脑膜边缘。如果肿瘤的硬脑膜尾超出骨窗缘,要扩大开颅,确保受累的硬脑膜完全暴露和切除。MR导航可以引导术者切除受累硬膜的过程。蝶眶脑膜瘤的硬膜内部分位于大脑外侧裂前部。
沿着硬膜内肿瘤的基底离断血供。沿肿瘤周边的脑组织环形分离,在肿瘤周边放置棉片并将减压后的肿瘤边缘向脑组织的方向牵拉。
此时,识别和保护大脑中动脉远端分支(M3、M4)是重要的。这些沿大脑中动脉主干发出的分支,可能包裹在肿瘤内,但通常有完整的蛛网膜分离界面,而动脉壁没有受累。
一旦肿瘤完全分离和切除,任何残余的肿瘤结节或浸润的硬脑膜也应一并切除。但在眶上裂和海绵窦水平受累的硬脑膜应完好保留。
其他注意事项
一些脑膜瘤可能广泛浸润到硬脑膜和颅骨。

图11. 如果肿瘤显著侵入大脑皮层、硬脑膜、和颅骨,后两层可能不得不完整抬起。首先沿骨窗边缘切开硬脑膜,分离下方附着的肿瘤与大脑的粘连,再抬起整块颅骨。这个操作适于小型浅表肿瘤。

图12. 图示术者使用棉片从肿瘤上“将脑组织推开”(插图)。

图13. 将所有肿瘤浸润组织整块抬起,全切肿瘤。
关颅
在手术开始获得的颅骨膜覆盖硬脑膜缺陷并缝合。

图14. 用定制的植入物用于重建眶缘和部分眶壁,注意避免压迫眼肌运动。用钛网修复颅盖骨残余缺损。肿瘤浸润的骨瓣不能回纳。
点睛之笔
对蝶眶脑膜瘤而言,腰大池引流有助于松驰脑组织,有利于在硬膜外处理骨质。对蝶骨嵴外侧脑膜瘤,大部分手术操作都在蛛网膜池外进行。
增生的外侧蝶骨嵴、翼点和颅盖骨血供丰富,处理骨质时可能会遇到大出血。可在受累骨质的边缘连续钻孔并逐步用骨蜡止血以减少失血。
没有在直视下确认完全断开眶顶或外侧蝶骨嵴之前,应避免盲目抬起眶颧或翼点骨瓣。这可能在无意中导致骨折并延伸至筛窦和视神经管,造成术后隐性脑脊液漏或视神经损伤。
合著者:Andrew R. Conger, MD, MS
参考文献
1. Al-Mefty O. Operative Atlas of Meningiomas. Philadelphia: Lippincott-Raven, 1998.
2. Chicoine M, Jost S. Surgical management of meningiomas of the sphenoid wing region: operative approaches to medial and lateral sphenoid wing, spheno-orbital, and cavernous sinus meningiomas, in Benham B (ed): Neurosurgical Operative Atlas: Neuro-oncology, 2nd ed. Rolling Meadows, IL: Thieme Medical Publishers and the American Association of Neurological Surgeons, 161-169.
3. Simon M, Schramm J. Lateral and middle sphenoid wing meningiomas, in DeMonte F, McDermott M, Al-Mefty O (eds): Al-Mefty’s Meningiomas, 2nd ed. New York: Thieme Medical Publishers, 2011, 297-306.
4. Tew JM, van Loveren HR, Keller JT. Atlas of Operative Microneurosurgery. Philadelphia: Saunders, 1994-2001.




