今天为大家分享的是由浙江大学医学院附属第二医院王勇杰博士编译,《神外资讯》常务编辑、海军军医大学附属长征医院神经外科徐涛医师审校的:蝶骨嵴内侧型脑膜瘤手术技巧(Medial Sphenoid Wing Meningioma),欢迎观看、阅读。
Medial sphenoid wing meningioma-Extradural clinoidectomy
Medial sphenoid wing meningioma-Principles
大约15%-20%的脑膜瘤来源于蝶骨嵴,而其中大约一半起源于蝶骨嵴内侧。
蝶骨嵴内侧型脑膜瘤是一组起源自前床突和蝶骨小翼内1/3的异质性肿瘤,包括球形和伴有骨增生的扁平型肿瘤(所谓的蝶骨-眼眶型脑膜瘤)。
蝶骨-眼眶型脑膜瘤将在“蝶骨嵴外侧型脑膜瘤”一章中介绍。对于蝶骨嵴内侧型脑膜瘤,并无特异的病理或遗传学特点,部分肿瘤可因离子辐射所引起。
由于鞍旁有关键的神经血管结构,蝶骨嵴内侧型脑膜瘤的手术极具挑战性。肿瘤可从床突或蝶骨小翼任意部位的硬脑膜上长出,并向内侧生长,其临床表现和手术处理具有很大的差别。
根据起源部位,蝶骨嵴脑膜瘤可分为以下三组:起源自前床突和蝶骨翼内侧1/3;起源自蝶骨翼中和外1/3;蝶骨翼上匍匐状生长的脑膜瘤。在本章节内,笔者将讨论前床突和蝶骨翼内侧球状脑膜瘤的手术切除技巧。
Simpson分级仍然是预测手术后脑膜瘤复发风险最实用的方法。
表1:Simpson分级用于预测术后脑膜瘤复发风险

分类
根据起源于前床突的位置不同,前床突脑膜瘤又被分为3组不同类型。每种类型手术切除难易程度不同,但均累及颈内动脉(internal carotid artery,ICA)和视器,也可能包括动眼神经。
当ICA从前床突下方和内侧穿出海绵窦时,将通过内环和外环(上环和下环)之间的硬膜下腔,这个1-2mm的节段内无蛛网膜覆盖,如脑膜瘤从该节段发出,则归为第一组床突脑膜瘤。

图1. 侧方显示海绵窦和右侧ICA的床突段。注意位于上环和下环之间的一小段ICA,此处为第一组床突脑膜瘤起源的地方(插图引自AL Rhoton,Jr)。
第一组床突脑膜瘤往往会包绕ICA,向ICA分叉部生长并包绕大脑中动脉近端。由于缺乏蛛网膜平面,这类肿瘤与ICA的外膜粘连紧密,导致切除困难,手术治愈率低。第一组肿瘤同时会累及视神经和视交叉,但是该区域肿瘤表面有蛛网膜覆盖,有利于手术分离。该组肿瘤常常会侵犯海绵窦。
第二组床突脑膜瘤起源自前床突上方和外侧的硬脑膜。这类肿瘤常常包绕ICA,但是被颈动脉池的蛛网膜包裹,提供了天然的分离平面。此外,这些肿瘤与视神经和视交叉之间亦存在蛛网膜平面。海绵窦侵犯在这类肿瘤中属于常见现象。与第一组相比,该组脑膜瘤更容易达到积极和安全的切除。
第三组床突脑膜瘤从视神经孔发出,并延伸入视神经管内。鉴于其起源部位和生长方式,该组肿瘤更容易引起临床症状,诊断时体积也更小。这类肿瘤与ICA周围亦存在蛛网膜,但由于其起源处远离视交叉,因而与视器之间无明显的蛛网膜平面。因此,手术治愈的可能性降低,且术后视力减退的风险更高。
由蝶骨翼中部起源的脑膜瘤,在出现临床表现前体积已非常大。压迫颞叶形成显著的占位效应,而且如果向内侧延伸则会导致视觉障碍。对于未向内侧侵犯的小型肿瘤,在切除蝶骨翼后,可以像凸面脑膜瘤一样处理。
诊断
床突和蝶骨嵴内侧型脑膜最常见的临床表现为头痛和视觉障碍,包括视物模糊,视野缺损,或视神经萎缩(由视器受压所致)或复视(由动眼神经扭曲所致)。
侵犯海绵窦或眶上裂的肿瘤可能会导致更多的颅神经病变。向中颅窝延伸的巨大肿瘤会压迫颞叶或脑干,分别导致癫痫发作或偏瘫。这类肿瘤亦可导致认知和记忆障碍,人格改变,失语。
肿瘤导致蝶骨翼和眶外侧壁骨质增厚,可能会引起突眼,复视和眼眶疼痛。蝶骨翼扁平型脑膜瘤,又称为蝶骨-眼眶脑膜瘤,即可出现上述眼眶表现。这些肿瘤侵犯海绵窦外侧壁、眶上裂、中颅窝底和颅外的颞下窝。
评估
对患者进行详细的病史追溯和查体,尤其注意上述症状和体征。薄层或高分辨磁共振(MRI)检查,包括眼眶的脂肪抑制,可用于评估眼眶受累程度。
磁共振血管造影或CT血管造影,可用于评估脑膜瘤与周围血管的关系和包绕的程度。实际情况中很少需要用到以上检查,因为T2相MRI往往足以识别相关的血管结构。CT血管造影的骨窗可以帮助判断肿瘤侵犯所继发的骨质增厚程度。
导管血管造影可由于术前栓塞,或者在ICA包绕、术中损伤风险较大的情况下,通过临时球囊阻断以评估侧枝循环的代偿情况。不过,笔者个人建议,考虑到肿瘤良性生长,可行次全切除以尽量保全ICA。随着放射疗法的普及,不主张冒着缺血性损伤的风险进行更加激进的手术切除。
对于大部分脑膜瘤,笔者并不认为需要进行介入栓塞,因为在暴露的早期,通过切除蝶骨翼和前床突,以及电凝受累的硬脑膜可离断大部分的肿瘤血供。
对于所有症状性的鞍旁占位,包括脑膜瘤,应进行详尽的神经-眼科检查和内分泌系统的评估。

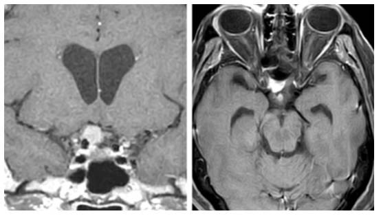
图2. 根据蝶骨嵴内侧型脑膜瘤是否侵犯内侧神经血管和包绕颈动脉穿支血管,可表现出不同的手术难度。上图所示为一例向内侧轻度延伸的脑膜瘤,侧裂大脑中动脉分支覆盖在肿瘤的上极。下图所示为一例真正意义上的蝶骨嵴/床突内侧型脑膜瘤,向内侧显著生长并包绕ICA。

图3. 一例第三组或右侧视神经孔脑膜瘤。肿块所处的关键位置导致相对快速的视力恶化,使得肿瘤在早期得以发现。
手术指征
手术切除仍然是处理蝶骨嵴内侧型脑膜瘤的首选方案。立体定向放射治疗对于无症状的、未产生占位效应的小肿瘤而言是一种可行方案,但是肿瘤附近的视交叉和视神经对放射损伤高度敏感,阻碍了该技术的应用。对于小的、偶然发现的肿瘤,随访观察不失为一种合理的处理方案。

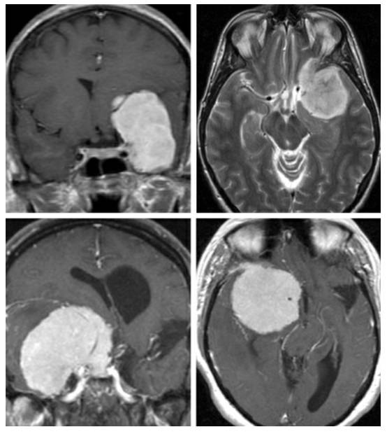
图4. 冠状位和轴位图片显示蝶骨嵴中部/内侧脑膜瘤与周围血管结构之间的典型关系。往往可发现更为明显的视器受压的证据。
术前准备
CT可测量骨质侵犯或骨质增厚的程度,用于术中导航定位,以便全切受累骨质,达到Simpson 1级切除。CT检查还可以评估是否需要在术前准备植入物,以重建切除的骨质。
术前了解肿瘤对正常血管结构的影响,可以有效避免术中灾难性的血管损伤。此外,如果存在严重的颅底血管包绕,则需要做好次全切除的准备,因为在肿瘤切除的过程中,小的ICA穿支动脉及其容易受到损伤。MRI可以为此提供必要的参考。
通过放置腰大池引流,可以在早期降低脑压,以便在硬膜外切除遮挡的前床突,这样在处理肿瘤前即可对受累视神经进行减压。
手术解剖
除了骨性解剖结构,熟悉床突旁血管和视器的解剖,对于处理蝶骨嵴内侧脑膜瘤也是非常重要的。

图5. 前中颅窝底的骨性解剖特点。注意蝶骨小翼,前床突和轴位的骨性结构(插图来自AL Rhoton,Jr)。硬膜外床突切除有助于早期暴露肿瘤基底,方便离断血供。此外,硬膜外视神经减压可以在膜内处理肿瘤前对神经进行保护,以避免受到牵拉损伤。

图6. 从不同的解剖视角看前床突、海绵窦和相关的神经血管结构。移除右侧前床突的硬脑膜(插图来自AL Rhoton,Jr)。由于视神经内侧存在一定的潜在空间,因此大部分脑膜瘤从此处进入视神经管。在切除前床突和肿瘤的过程中,动眼神经容易受到损伤。蝶骨嵴内侧型脑膜瘤可侵犯海绵窦,即便如此,该部分肿瘤应予以残留,以避免海绵窦内操作所带来的风险。
蝶骨嵴内侧脑膜瘤的切除
大部分蝶骨嵴内侧脑膜瘤可通过扩大翼点入路进行手术。如果病灶位于鞍上的成分较大,眶颧入路可以在额叶最小程度的牵拉下提供绝佳的手术视角。对于眶内延伸的肿瘤,也需要眶颧开颅或眶骨切开以暴露眼眶,切除肿瘤,纠正突眼。在>90%的蝶骨嵴内侧型脑膜瘤中,笔者采用扩大翼点入路,并在硬膜外切除前床突。
围手术期预防性使用抗癫痫药物存在争议。笔者个人偏向在手术中给予负荷剂量,术后续用7天。围手术期如未有癫痫发作,术后1周左右就逐步减量。但如果患者期间发生癫痫,则需增加药物剂量,并需用半年至1年。
由于较大的肿瘤会占据视神经颈内动脉池,阻碍早期的脑脊液引流,笔者习惯在麻醉诱导后放置腰大池引流,以降低脑压。这在手术过程中非常重要:1)即便肿瘤位于蝶骨翼内侧,脑组织的松弛使得硬膜外切除床突成为可能;2)在肿瘤分块切除前,即可在硬膜外和硬膜下离断肿瘤血供,将肿瘤从颅底游离出来。
对于伴有严重水肿的占位效应的巨大肿瘤,需谨慎和缓慢地引流脑脊液,最好在打开硬脑膜后进行,以避免天幕疝的发生。在手术开始时就过度引流脑脊液,会导致侧裂分离更加困难。
请阅读“硬膜外前床突切除”章节,以便掌握手术早期开颅后的基本操作细节。过度增生的床突骨质坚硬,极难磨除,如何安全地切除具有一定的挑战性。在使用磨钻时,需骨骼化并仔细保护视神经,并用大量盐水冲洗。
过度增生的床突将影响视神经孔和神经管的正常解剖结构。笔者会在术中CT导航帮助下定位视神经孔/管。一旦切除床突,位于蝶骨翼和床突表面硬膜的肿瘤基底血供,就可在膜外彻底离断。
在完成上述步骤后,笔者会新月形切开硬脑膜,分离前侧裂,以暴露脑膜瘤。
硬膜内操作
通过腰大池缓慢地释放脑脊液,可达到理想的脑组织减压作用。

图7. 左侧扩大翼点开颅,切除床突后暴露肿瘤组织。在该病例中,大肿瘤由侧裂向外侧延伸。通过腰大池缓慢释放约40ml脑脊液后(每次释放10ml),可将肿瘤从蝶骨翼硬脑膜外侧游离出来,并电凝其内侧的硬脑膜附着点。该操作是手术中非常关键的一步,通过彻底阻断肿瘤血供,从而避免频繁的止血操作,加快后续的肿瘤切除过程。

图8. 笔者会沿着前颅窝继续阻断肿瘤血供,同时需注意视神经的大致位置,以避免热损伤的发生。脑脊液引流,侧裂分离和吸引器的合理使用,可避免使用固定脑牵开器。

图9. 对实性肿瘤,用超声吸引器(左图)进行去核和分块减压,而对较软的肿瘤组织,用双极电凝、吸引器和垂体咬钳进行减压。接着,笔者会轻轻地牵拉肿瘤包膜,使得其塌陷入已切除的肿瘤核心处(右图)。保持在肿瘤包膜内操作是非常重要的,否则会使得粘附在肿瘤内侧脆弱的脑血管结构受损风险增加。超声吸引器使用时需远离关键血管结构,否则即便没有直接接触,仍可能导致无法修复的血管损伤。

图10. 此时,在部分肿瘤减压,获得更多的操作空间后,笔者会进一步打开侧裂远端,辨别粘连在肿瘤上极和后极的M2分支血管。笔者还会沿着蝶骨翼,轻柔地向后方牵动肿瘤,以便发现或估计ICA在颅底的位置。这两步可以帮助笔者估计MCA分支,包括M1段,沿着肿瘤内侧包膜的走形,而此处正是笔者的盲点。

图11. 所有MCA血管均锐性方式从肿瘤包膜外游离出来,并用棉片加以保护(上图)。应尽可能避免钝性分离。最重要的是,在处理血管前应清楚地识别肿瘤的供血动脉和过路血管。可用罂粟碱浸泡的明胶海绵处理过路血管,以减轻血管痉挛。高倍放大的术中视野示范如何将M2分支血管从肿瘤(T)表面分离(下图)。
尽管在影像上,肿瘤包绕血管的现象很常见,但是肿瘤与MCA分支之间完整的蛛网膜平面有助于将血管从肿瘤表面游离出去。但是如果肿瘤与血管粘连过于紧密,应遗留一薄层肿瘤组织,以起到保护作用,避免发生血管痉挛。

图12. 仔细地将肿瘤前极游离出来,对于识别位于颅底的视神经和ICA是非常重要的(上图)。沿着蝶骨翼内侧走形,可以大致定位视神经管和ICA。在下方的图片中,术中将肿瘤的前额部切除后,吸引器尖端所对的就是视神经和颈内动脉的位置。电凝后残留的肿瘤组织位于天幕边缘。

图13. 小心松动内侧的包膜,锐性分离可以游离出视神经和近端ICA。切开镰状韧带以松解视神经。可见后交通动脉起源自ICA后壁。该血管可用于指示动眼神经。如果肿瘤与神经或血管粘连紧密,需避免过度的操作和钝性分离,留下一薄层肿瘤组织。即便轻柔地处理动眼神经和天幕周围的肿瘤组织,大多数患者术后仍会出现一过性动眼神经和滑车神经麻痹。应尽量避免在这些血管周围电凝天幕。

图14. 接下来,笔者会将肿瘤后方的包膜与颞叶分开。肿瘤位于中颅底前方的基底已经被离断。需要注意相关的重要神经血管结构,主要是后交通动脉、脉络膜前动脉和动眼神经,受到肿瘤推移后,这些结构很可能出现在无法预料的位置,导致术者判断错误,笔者宁可在探查时不放过每一个可疑的结构,也不愿造成无可挽回的损伤后追悔莫及。在处理出血时,过度的电凝对保留周围的神经血管有害的。肿瘤内侧有蛛网膜覆盖在基底池和脑干表面,予保持完整。

图15. 保留肿瘤包膜周边的蛛网膜平面非常重要。为避免脑梗死的发生,笔者会保留每一根穿支动脉,减少对它们的操作。在全切肿瘤后,蝶骨翼内侧受侵犯的硬脑膜,笔者会电凝烧灼。图示为切除肿瘤后的神经血管解剖结构。
接着,选用精细的、尖端为球形的探针探查视神经管。如果在此处发现肿瘤,应进一步切开镰状韧带,将视神经管去顶,以便在视神经管内拨除肿瘤。强行拖拽与视神经粘连的肿瘤,会破坏神经的血供,导致视觉损伤加重。如果肿瘤无法从神经上分离下来,应在神经表面残留一薄层肿瘤组织,同时行视神经管去顶。在敏感的动眼神经周围,应小心操作,避免神经永久性的麻痹。避免进入海绵窦操作。
脑膜瘤手术中,第一次手术是获得治愈最好的时机。因此,正确的手术哲学应该是在安全的基础上尽可能地切除肿瘤。然而,如果肿瘤与近端ICA粘连,甚至包绕该段血管,应残留一薄层肿瘤组织。强行将粘连的肿瘤组织从该区域分离出去,将无可避免地损伤ICA内侧壁起源的小穿支血管,包括后交通动脉和脉络膜前动脉。
遗憾的是,笔者本人经历过这种并发症的痛苦。笔者的一个患者在切除一个巨大蝶骨嵴内侧脑膜瘤后,出现内囊后肢梗死,导致偏瘫。因此,对包绕血管的颅底肿瘤,笔者不建议进行过度的操作。

图16. 视神经充分减压,但是对于包裹血管的坚硬/钙化肿瘤组织,未予强行切除,以避免穿支动脉的损伤(上图)。下图术中图片所示,为肿瘤包裹了脉络膜前动脉或一根穿支动脉(箭头)。该小部分肿瘤未予处理。
其他思考
纤维样肿瘤的分离切除具有挑战性,需要借助于其他的技术将肿瘤从视神经和颈内动脉上游离出去。

图17. 该蝶骨嵴内侧脑膜瘤的纤维样包膜很难松动,最后将肿瘤沿着ICA的长轴分为两半,才得以切除。首先在颅底识别颈动脉近端和视神经(上图)。然后将肿瘤沿着ICA的长轴切开(下图),这样有利于松动肿瘤,并最终将肿瘤的前后两部分切除。
病例分析
该患者因右侧视力减退就诊,诊断为巨大的蝶骨嵴内侧型脑膜瘤。

图18. 第一行MRI显示肿瘤的位置和眶顶骨质增厚。硬膜外切除床突,早期对视神经进行减压。游离并保护MCA远端分支(第二行)。逐步向颅底解剖,将肿瘤沿着ICA分离出来,这样有助于松动肿瘤组织(最后一行,左图)。在视神经孔远端找到视神经,通过切除管内肿瘤组织,将神经游离出来(最后一行,右图)。
切除视神经管脑膜瘤
视神经管脑膜瘤的切除相对直截了当,这些肿瘤往往在比较小的时候就被发现,且不会包绕血管。但是,肿瘤与视器之间存在粘连。


图19. 图示为位于右侧视神经孔的第三组脑膜瘤(上图)。硬膜外床突切开,打开视神经的顶面(中图),为硬膜内打开镰状韧带、切除视神经管内肿瘤做准备。打开硬脑膜,抬起额叶,即可在神经内侧面看到向视神经管外延伸的肿瘤部分(下图)。

图20. 用Karlin刀片(Symmetric Surgical,Antioch,TN)切开肿瘤表面靠近术者一侧的镰状韧带(上图)。用锐性分离技术将肿瘤位于视神经管外的部分从神经表面解剖出来,并用垂体咬钳将肿瘤剥除。


图21. 保留供应视交叉的小穿支血管(上图),用带角度的剥离子将术野盲区中围绕视神经内侧的管内肿瘤部分分离出来(中图)。用带角度的直剥离子探查视神经管远端,以确保充分的减压,也可以用显微手术镜来加以确认(下图)。
关颅和术后照护
用一小片颞肌填塞硬膜外切除床突的位置,以防止术后脑脊液漏。手术结束时拔除腰大池引流管。术后照护与其他颅底肿瘤类似。
术后MCA分支血管痉挛是严重的并发症。出现迟发性神经功能衰退时,需即使考虑到该并发症的可能。需进一步行CT血管造影检查。
点睛之笔
1. 硬膜外充分切除蝶骨翼和床突,可以在手术早期离断肿瘤血供,并起到视神经减压的作用。
2. 早期离断肿瘤血供可以减少显微手术关键步骤时的出血,保持术野清晰。避免在内侧的神经血管结构周围使用双极电凝。
3. 关键的神经血管结构位于包膜内侧,因此是手术的盲区。瘤内减压,仔细地分离肿瘤包膜,是避免术后并发症的重要手段。
4. 所有血管在处理过程中应最大限度地予以保留,可残留一薄层肿瘤组织。颅底部的ICA穿支血管是非常重要,无可替代的。




