今天为大家分享的是由南京医科大学附属脑科医院神经外科阚文武医师编译,南京医科大学附属脑科医院神经外科副主任医师杨坤、第二军医大学附属长征医院神经外科徐涛医师审校的:内镜下嗅沟脑膜瘤手术技巧(Olfactory Groove Meningiomas),欢迎观看、阅读。
Endoscopic olfactory groove meningioma
有关嗅沟脑膜瘤的概述、诊断、评估、手术适应症和术前考虑,请参阅探讨经颅手术入路的章节——《开颅嗅沟脑膜瘤切除术》。
神经内镜与经颅手术入路:
嗅沟脑膜瘤(olfactory groove meningiomas,OGM)的特征,包括其大小、伴发脑水肿、钙化程度、血管包裹和前颅底骨质增生,会影响手术入路的选择。轻度的血管包裹或者脑水肿不是经鼻经筛板入路的禁忌症。
笔者认为,肿瘤的大小、位置和患者的嗅觉状态是影响最终手术入路选择的最重要的因素。广泛的血管包裹和跨越冠状面眶顶中线的大嗅沟脑膜瘤最好采用经翼点入路。中小型嗅沟脑膜瘤可通过神经内镜经鼻经筛板手术或经眉弓眶上入路切除,前者提供了最直接的切除肿瘤的路径,并且把涉及神经和血管的操作最小化。
对于嗅沟脑膜瘤,开颅手术可以保护患者的嗅觉功能,而经鼻内镜入路难以做到。所以,如果患者术前嗅觉功能正常,则开颅手术是保存患者味觉及嗅觉的唯一机会,这些细节应该在术前详细告知患者。术者常常低估嗅觉和味觉(味觉功能减弱)缺失对患者生活质量的影响。

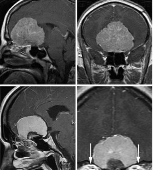
图1. 跨越视神经的(上图)大型的嗅沟脑膜瘤(OGM)最适合开颅手术。如果在冠状位MRI图像上(下图),肿瘤没有明显的超过眼眶的中线(眶中线平面,白色箭头)或者达到视神经外侧,经鼻内镜入路是合适的。
如果肿瘤大部分位于鼻窦内,手术计划应该考虑双侧额叶开颅,或是分期最大限度切除肿瘤。由于嗅沟脑膜瘤是一种生长较慢的良性肿瘤,笔者通常不会激进的去切除位于窦内的少许肿瘤组织。
经鼻切除巨大肿瘤,即使是经验丰富的医生,也需要很长的手术时间,因此需要分期进行。笔者认为这些大的或者巨大的肿瘤经鼻分期切除并不能带给病人最大的利益,经翼点入路一次性切除肿瘤更为合适。
经鼻内镜手术解剖
新鲜出炉-匹兹堡内镜解剖视频 | AANS-Operative Grand Rounds系列讲座
该区域的脑膜瘤,血供主要来源于眼动脉发出的筛前和筛后动脉及起源于脑膜中动脉的蝶窦分支。肿瘤包膜的血供一般是来源大脑前动脉分支。

图2. 前、中颅底骨性解剖如上图所示,橘黄色箭头所指的前颅窝筛板及其后方就是典型的嗅沟脑膜瘤(OGM)的起源(图片来自AL Rhoton,Jr)。2:前、中颅底骨性解剖如上图所示,橘黄色箭头所指的是典型的嗅沟脑膜瘤(OGM)的起源(图片来自AL Rhoton,Jr)。

图3. 嗅沟以及嗅沟与周围结构的解剖关系上面观。注意在轴位沿颅底中线解剖时眶顶的变化。在沿颅底阻断肿瘤血供时,应该记住这些解剖关系。术中主要出血来源于筛前及筛后动脉,经鼻内镜入路,在早期控制肿瘤基底这两组动脉,可以提高手术效率(图片来自AL Rhoton,Jr)。

图4:通过经鼻内镜观察到的嗅沟脑膜瘤的血管解剖,注意筛前和晒后动脉的位置(图片来自AL Rhoton,Jr)。下排图片显示了最终骨性暴露。

图5:通过经鼻入路,前颅底的解剖。矢状位图像显示不同的骨性标志。其他两张图说明了经筛板入路的相关手术解剖。
内镜下切除嗅沟脑膜瘤
显露
留置腰大池引流(一般到术后4-5天),以促进颅底愈合及降低术后脑脊液漏的风险。
在经鼻显微手术中,病人仰卧位,头部抬高15°,利用重力,促进大脑静脉血回流和术野积血清除。
采用颅底和鼻窦的术中CT导航,对于通过前颅底,引导切除增生骨质比较重要。虽然核磁共振显示瘤体更具优势,但是笔者认为对于嗅沟脑膜瘤不是必需的。比较容易通过调节CT扫描的灰度来评估肿瘤的前界。
鼻腔、鼻咽部及中面部按照标准方式做术前准备。若需要大腿阔筋膜进行颅底修补,笔者会准备大腿外侧缘。更多关于经鼻手术的基础,请关注内镜显微手术原则章节。
几乎所有脑膜瘤切除需要遵循以下3D原则:
1. 阻断肿瘤基底血供(Devascularize the base of the tumor);
2. 肿瘤内减压(Debulk the tumor);
3. 分块减压,根据存在的蛛网膜移动肿瘤包膜,以保护邻近的脑血管结构。(Dissect the tumor capsule);
正确的操作顺序是非常重要的。
双侧鼻中隔带蒂血管粘膜瓣常是必需的,在肿瘤切除术后,能够充分覆盖沿筛板形成的较宽的骨质缺损。完成鼻粘膜瓣采取后可暂放在咽后部。为了方便器械的操作,鼻中隔后缘大约1.5到2cm部分可以切除,这种切除向前方的延伸要尽量的小,以避免出现医源性鞍鼻畸形。
首先,使用0°内镜观察鼻腔解剖结构和确认双侧中、下鼻甲。鼻腔粘膜注射1%利多卡因与肾上腺素溶液,麻醉和收缩鼻粘膜血管。向侧方推挤下鼻甲和中鼻甲可以提供更广阔的观察前颅底的空间。经鼻切除较大的肿瘤时,可以通过切除中鼻甲以提供更大的操作空间,当然一般并不需要。
器械的使用:术者右手持分离解剖器械,通过病人的左侧鼻腔操作;左手持吸引器,和内镜一起在右侧鼻腔操作。鼻科医师全程参与手术并导引内镜,通过内镜的动态运动提供模拟的三维视野。经鼻入路时,0°和30°内镜都会用到。当内镜头部移出手术区域时,30°内镜能够提供极好的的观察筛板的视野,从而减少器械之间的干扰。
去除覆盖蝶骨的粘膜后,通过定位蝶窦口和进行广泛的双侧蝶骨切开术来暴露前颅底。这个操作应该充分暴露鞍区、双侧视神经管、鞍结节和蝶骨平台。肿瘤向鼻腔内生长时,在磨除前颅底骨质时需要先用吸切器切除部分肿瘤。
笔者通过视神经颈内动脉凹陷(OCR)的内侧和外侧缘作为标志来定位前颅底解剖。这个凹陷在前床突下方。凹陷的内侧缘是视神经与中床突的连接处,视神经是骨质暴露的后界的标志。
骨质切除应充分切除双侧筛窦,以充分暴露筛骨凹与筛骨眶板连接处。筛骨眶板是骨质暴露的外侧缘。在切除后组筛窦时,术者应该注意Onodi气房(出现在颈内动脉和视神经内侧的骨质气化,是一种解剖变异)。
切除后组筛窦遇到筛后动脉分支时,应仔细电凝,避免过多出血。如果没有电凝充分的动脉缩进眶内,可能造成眶内血肿。筛动脉通常是大多数嗅沟脑膜瘤的主要供血动脉。
接下来,通过切除额窦向前扩大骨窗(改良Lothrop入路)。切除鼻中隔上部,并与筛窦切除时鼻中隔后上部的切口汇合。一般Lothrop腔的开放应该切除额窦内的分隔,直至看到额窦的后壁,它是骨质暴露的前界。这一步完成后,可以看到从蝶窦到额窦水平的前颅底。当然也牺牲了筛前动脉。
骨窗暴露的最后一步是经筛板“锁孔”开颅。这应该用高速磨钻完成。笔者通常是从蝶骨平台向额窦后壁磨除骨质。然后进行广泛的筛板切除,需要大流量水冲洗,避免钻头过热损伤邻近的神经血管结构。骨质切除范围取决于术中CT导引所示的肿瘤大小和位置。
沿筛板前方扩大骨质切除,暴露肿瘤前方包膜,扩大手术器械向上方的操作空间。术者必须确保额窦后壁有一层骨质,以利于封闭额窦。磨钻磨除鸡冠。必须全切除所有的增生骨质,避免肿瘤在筛板或邻近鼻窦处复发(特别是筛窦)。

图6. 本图总结颅骨处理步骤:打开筛窦和蝶窦(绿色)以及筛板切除。切除筛骨眶板便于移动下方眶结构,扩大手术操作角度,也为直视下更积极的切除肿瘤外侧极提供了可能。粗大的筛前和筛后动脉应尽早阻断,以尽量减少失血和阻断肿瘤血供。

图7. 从手术的角度进一步展示骨窗暴露的细节,筛板切除的范围取决于肿瘤在冠状面的宽度。

图8. 必要时,眶顶的内侧部分可以用Kerrison咬骨钳咬除,以向外侧扩大显露宽基肿瘤,可以轻柔的移位眶结构以达到这一目的。
在打开硬脑膜之前,术野应仔细止血。硬膜下的瘤体应该充分的电凝,达到阻断瘤体血供的目的。仔细辨别并电凝阻断大脑镰前部动脉。
硬膜内操作步骤
“十”字切开硬膜,同时避免损伤被遮挡在侧方的血管及神经结构,可以用多普勒超声来定位颈动脉。根据肿瘤的硬度选择合适的器械行肿瘤内减压,笔者更喜欢用超声吸引器。
保留肿瘤在大脑镰前部的附着,避免在进行瘤内减压的时候瘤体活动,使对周围结构的损伤减到最小。瘤体的充分内减压,对于安全有效的经鼻切除肿瘤包膜是必要的。术者必须避免损伤肿瘤包膜上的血管神经。扩大骨质切除以比较容易的分辨肿瘤基底的周围结构,如此就不必在术野盲区强行牵拉肿瘤包膜。
肿瘤切除步骤与经颅入路非常相似。肿瘤囊内切除后,仔细松解周围硬膜附着。分离肿瘤囊外的蛛网膜,可促使肿瘤囊壁容易塌陷,并从前颅底骨窗分块取出。
甚至看起来比前颅底骨窗还大的瘤体,在完全从周围结构上分离后,也可以通过轻柔牵拉切除肿瘤。眶内的软组织也可以适当牵拉,已更好的暴露肿瘤包膜的最外缘。 
图9. 笔者更喜欢从后向前游离瘤体,这样在手术早期可以清楚的看清A1分支。精心处理穿支血管,对于取得理想手术效果至关重要。电凝及切断被包裹的嗅神经理。通常有较厚的蛛网膜包裹保护血管。

图10. 从脑组织上游离肿瘤包膜时,使用小棉片轻柔的擦拭分离脑组织。牺牲嗅球及嗅束。额眶和额极动脉常与肿瘤的上外侧极粘连(手术盲点),在过度牵拉瘤体时通常会不经意的被撕破。

图11. 展示重建前,术腔的视图。笔者通常用45°内镜检查视神经管的内侧,以可靠地排除肿瘤浸润,45°内镜适合这样的目的。

图12. 伴有筛骨骨质增生的巨大嗅沟脑膜瘤(第一排),肿瘤的横向范围没有超过眼眶的中线;部分蝶窦和全部筛窦已切除(第二排);切除筛骨眶板到达瘤体的外侧极。瘤性增生的骨质已被切除(第三排);肿瘤供血血管在镜下离断(第四排);肿瘤内减压后,肿瘤囊壁从受累的软脑膜上分开并垫上棉片(第五排);可见大脑前动脉(红色箭头所指),肿瘤最终被切除(最后一排)。
关颅
切开显露与骨质去除之前就应设计好关颅的计划。脑脊液鼻漏仍是经鼻颅底手术的一个挑战。
切除嗅沟脑膜瘤后,前颅底的缺损很大,因此有必要采用系列不同的措施把脑脊液漏的风险降到最小。由于鼻中隔粘膜没有受到肿瘤的侵犯,且不考虑保护嗅觉,所以完整的鼻中隔粘膜可以向上提起修补颅底缺损。笔者常使用其他填充材料支撑鼻中隔粘膜瓣。
最好使用多重修补技术关闭较大前颅底缺损。这种技术包括:硬膜内放置自体阔筋膜;硬膜与骨缘之间放置异体生物硬膜。游离脂肪用于支撑上述置入物的边缘。在进行重建的下一步骤前,可尝试用屏气(Valsalva动作)检测是否存在高流量脑脊液漏。
最后一步,是在前面多层的封闭之上,旋转、固定放置在后鼻咽部的双侧带蒂鼻中隔粘膜瓣。粘膜瓣瓣应该向前延伸超过额窦后界,这需要在制作粘膜瓣前就考虑好。然后用DuraSeal(Covidien, Dublin, Ireland)或者生物胶把粘膜固定在合适的位置,最终完成多层修补,必须确保没有生物胶流到硬膜与粘膜瓣之间,使粘膜瓣无法附着。
术后注意事项
术后第一天患者需要在ICU观察,以便频繁进行神经系统评估,控制疼痛及血压。根据脑水肿的程度和患者的神经功能,类固醇用量在一周内逐渐减量。监测尿量和血钠值,处理术后一过性尿崩症。告知患者标准的鼻内注意事项,包括避免擤鼻子、用鼻吸气和不必要的增加腹压。
术后腰大池持续引流4-5天,如果有任何可疑的脑脊液漏的证据必须进手术室进行进一步颅底重建。
优点和缺点
经鼻切除中小型的脑膜瘤是非常合理的,但是比翼点入路需要更高的操作和技术要求。脑脊液漏的风险显著,应该采取适当的颅底修补的准备。
DOI: https://doi.org/10.18791/nsatlas.v5.ch06.7
参考文献
1. Evans JJ, Otten M. Olfactory groove and planum sphenoidale meningiomas: endoscopic approach, in Sekhar LN and Fessler RG (eds): Atlas of Neurosurgical Techniques: Brain, Vol 2, New York: Thieme Medical Publishers, 2016.
2. Liu JK, Christiano LD, Patel SK, Tubbs RS, Eloy JA. Surgical nuances for removal of olfactory groove meningiomas using the endoscopic endonasal transcribriform approach. Neurosurg Focus. 2011;30:E3.
相关链接





