【Ref: Yağmurlu K, et al. J Neurosurg. 2017 Jan 13:1-11. doi: 10.3171/2016.9.JNS16279. [Epub ahead of print]】
松果体区肿瘤位于大脑深部,周围环绕重要神经血管(图1、2、3),手术切除难度大。美国亚利桑那州圣约瑟医院巴罗神经科学研究所神经外科的Kaan Yağmurlu等撰文报告Robert F. Spetzler教授对经前纵裂胼胝体压部入路切除松果体区肿瘤的解剖研究和病例展示。文章发表于2017年1月的《J Neurosurg》在线。

图1. 松果体区结构的解剖关系。A.切除右侧大脑半球后,显露大脑镰和小脑幕。大脑镰后部下缘呈斜行向胼胝体压部,于中线处与小脑幕交汇。直窦起源于胼胝体压部下方。B.内侧面观:冠状缝下方的脑表面几乎没有桥静脉,然而在顶叶存在许多桥静脉。C.内侧面观:松果体位于Galen静脉下方。大脑内静脉穿过中间髓帆,与Rosenthal基底静脉在胼胝体压部下方汇合成Galen静脉。D.上面观:切开穹窿体和穹隆连合(海马连合)暴露深部的静脉结构以及中间帆内的脉络膜后内侧动脉。E.后面观:松果体及其与深部静脉结构的关系。

图2. A.另外一具尸头的上面观:分离并切除右侧大脑半球,暴露胼胝体和侧脑室的结构。绿色箭头所指为额部开颅经前纵裂经胼胝体压部入路的手术通道。B.后面观:大脑镰与小脑幕在镰幕交界处汇合,正好位于胼胝体压部后方。松果体区在镰幕交界处下方。C.上面观:切除胼胝体体部暴露部分侧脑室、透明隔、穹窿体和胼胝体压部。D.上面观:胼胝体构成侧脑室顶。扣带定位术中胼胝体显露的外侧界。E.切除胼胝体体部的后部和部分压部显露侧脑室内部结构。

图3. A.切除胼胝体体部暴露侧脑室,左侧扣带保留。B.切除扣带回,切开海马连合,侧脑室底由丘脑和穹窿体组成,而侧脑室外侧壁则由尾状核构成。穹隆脚在中线汇合构成穹窿体。C.切开穹窿体和海马连合暴露第三脑室和松果体区,四叠体池位于胼胝体压部下方。D.上面观:切开穹窿体和海马连合暴露第三脑室和松果体区,在胼胝体压部下方,可见松果体、后连合以及构成三脑室后壁的缰联合,同时也可显示三脑室内的前连合和中间块。
手术时,患者取仰卧位,头部转向一侧,矢状面与地板平行,肿瘤侧在上方,非肿瘤侧在下方;若肿瘤恰好位于中线,则左侧优势半球在上方以减少对优势半球的医源性损伤。头部抬高45°以降低静脉压,并利用自然重力牵开额叶,可避免使用固定牵拉器。
取冠状缝前方直切口,垂直于中线,1/3在中线上方(肿瘤侧),2/3在下方(非肿瘤侧)。切开头皮,向两侧游离帽状腱膜并用头皮拉钩牵开。在矢状窦处钻两个骨孔,另外两个骨孔钻在中线下方3cm。采用止血纱处理矢状窦的静脉渗血,避免使用FloSeal止血剂,以防静脉窦血栓形成。“U”形剪开硬脑膜,翻向上矢状窦。通常,冠状缝附近的桥静脉甚少。该头位可使大脑半球由重力作用与大脑镰分开。锐性分离大脑镰和扣带回之间的少许粘连,可以在不使用固定牵开器的情况下轻松地进入纵裂。在纵裂深部,可观察到下矢状窦、大脑前动脉远端和胼胝体体部。引流入下矢状窦的较小的桥静脉可电凝离断以充分显露胼胝体,然后逐渐向后方探查至胼胝体压部。此处可见胼周动脉和大脑后动脉的压部后段,两根动脉分支在胼胝体压部后端前方形成吻合。如果动脉分支位于胼胝体压部上方,则将其四周游离,并推向任何一侧。若到达胼胝体压部的通道太狭窄,可从大脑镰与胼胝体交汇处至下矢状窦与直窦交汇处纵向切开大脑镰,然后平行切开胼胝体压部,但切口不应超过2cm,以避免发生半球间失连合综合征。向上生长或起源于胼胝体压部的肿瘤将压部挤压变薄,容易切开。
接着采用神经导航,切开肿瘤长轴,作瘤内减压。穹窿体、穹隆脚以及大脑内静脉可覆盖于肿瘤表面,需留心。通常分离大脑内静脉并推向一侧,保护之;如果这些静脉损伤,则立即上临时阻断夹,用9-0尼龙线或7-0聚丙烯缝线修补。一旦牺牲这些静脉,可能导致脑深部结构的严重的迟发性静脉性梗死。肿瘤经瘤内减压后,利用肿瘤与周围结构的界面分离肿瘤,保护重要的神经血管结构。切除肿瘤后小心止血;如术区无渗血,则不必放置脑室外引流管。最后紧密缝合硬脑膜,还纳骨瓣,缝合头皮(图4、5、6、7)。

图4. 手术步骤。

图5. 松果体区肿瘤生长模式图。肿瘤向上生长并挤压胼胝体压部是经前纵裂胼胝体压部入路的最佳适应证。大脑内静脉可被肿瘤推向上方(A)、下方(B)或侧方(C)。

图6. 1例患者术前术后MR影像及术中照片。术前MRI(A.轴位;B.矢状位;C.冠状位)提示肿瘤起源于镰幕交界区,位于大脑内静脉上方,将胼胝体压部推向前下方,呈均匀强化。D.术中在胼胝体压部上方显微分离;E.显露肿瘤;F.瘤内减压并沿肿瘤包膜分离后;G.切除肿瘤。术后MRI(H.轴位;I.矢状位;J.冠状位)提示肿瘤全切除。

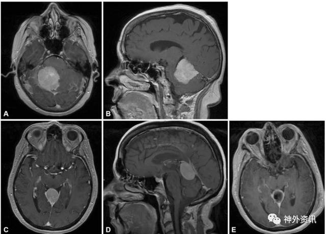
图7. 1例术前MRI(A.轴位;B.矢状位)提示松果体区肿瘤向幕下生长,胼胝体压部未受压移位。该病例采取顶枕开颅后纵裂入路。另1病例,术前MRI(C.轴位;D.矢状位)提示松果体区肿瘤完全位于幕下,采用幕下小脑上入路切除肿瘤;E为术后影像。
经前纵裂胼胝体压部入路的优点包括:1. 冠状缝对应的脑表面附近桥静脉很少或没有;2. 无需牵拉顶叶和枕叶,减少手术入路相关并发症;3. 损伤深部静脉系统的几率小,因为首先到达的肿瘤表面为相对无静脉区;4. 该入路可显露大脑内静脉并将其分离推向一侧,优于后纵裂入路;5. 可显露脉络膜后内侧动脉。因此,该入路是切除幕上生长的松果体区肿瘤的安全有效的手术入路,适用于:1. 向上方生长、与胼胝体压部关系密切和将深部静脉系统推向后上方或前下方的肿瘤;2. 起源于小脑幕的肿瘤,深部静脉系统位于肿瘤下方;3. 肿瘤起源于胼胝体压部。
(湘南学院附属医院神经外科冯梦龙编译,浙江大学医学院附属第二医院王勇杰博士审校,《神外资讯》主编、复旦大学附属华山医院陈衔城教授终审)
相关链接




