今天为大家分享的是《颅脑创伤-神经重症病例周刊》第二十九期,由浙江大学医学院附属第二医院神经外科张建民主任、朱永坚教授、应广宇医师带来的病例分享:眼眶-颅内异物残留致颈内动脉假性动脉瘤出血一例。文末由张建民主任对病例做出了精彩点评,欢迎阅读。
病例介绍
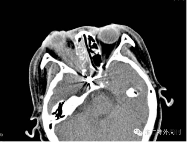
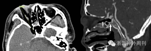
患者,女,60岁。因“外伤致眶内异物刺入,右眼失明1天”辗转多家医院后来我院。查体:意识清,无偏瘫失语及活动性鼻腔出血,右侧下眼睑见竹竿状异物刺入,少量残端外露(图1)。右瞳孔散大,无光感,眼球固定,右侧面颊部感觉障碍,左侧正常。头颅CT及CTA示(图2):右眼眶内低密度异物沿眶壁下缘刺入,长约71mm,触及右颈内动脉。

图1. 右侧下眼睑见竹竿状异物刺入,少量残端外露。

图2. CT、CTA见异物长71mm,触及右颈内动脉。
治疗经过
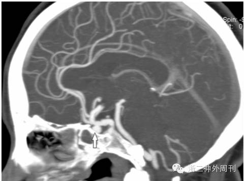
基于上述所见,考虑异物可能伤及颈内动脉,行急诊DSA检查,显示右侧颈内动脉受压变形,动脉壁不光整,未见造影剂外渗(图3)。在导管室临时球囊闭塞颈内动脉下,小心行异物拔除术,撤除临时闭塞球囊后,未见窦道活动性出血。取出的异物为枯竹,测量总长度约为7cm左右,与术前测量长度接近(图4)。将手术情况及还有异物残留可能等告知家属。

图3. DSA检查,显示右侧颈内动脉受压变形,动脉壁不光整。

图4. 取出的异物为枯竹,总长度约7cm。
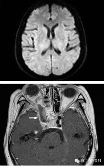
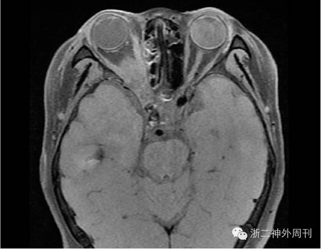
术后头颅MRI检查见右侧眼眶深部混杂信号,放射科报告考虑:1.窦道血肿;2.眶壁肿胀组织;3.不排除少量异物残留可能(图5)。考虑再手术探查的难度及风险,与家属沟通后建议密切随访观察。患者经抗炎治疗,创口愈合可,异物拔除1周后出院。

图5. 术后MRI检查,可疑少量异物残留。
再次入院及处理:
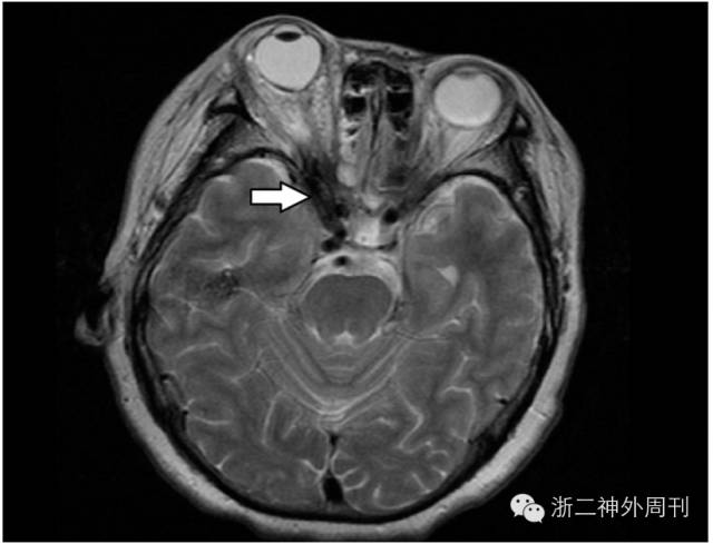
一个月后患者因接连两次突发口鼻大出血(总出血量约达800~1000ml)再次急诊入院。查体示急性休克病容,予抗休克处理后行急诊头颅CT及CTA检查,提示右侧颈内动脉假性动脉瘤伴眼眶内异物残留(图6)。

图6. CT及CTA提示眶后异物残留,右颈内动脉假性动脉瘤。
对此类病例首要的是先要处理假性动脉瘤,然后再处理残存异物。
对假性动脉瘤处理方案有二:
1.带膜支架治疗;
2.若侧枝循环可,行闭塞右侧颈内动脉、孤立假性动脉瘤。前者可保留颈内动脉血供,但费用较高;后者费用较低,但有大脑缺血、相应并发症风险。
与家属沟通后,采取后者方案。BOT及加强试验阴性后,行弹簧圈加球囊将右侧颈内动脉及假性动脉瘤一起闭塞(图7)。


图7. 右颈内动脉及假性动脉瘤闭塞,前交通侧枝循环良好。
术后予抗凝、扩容等处理,患者病情平稳,次日头颅MRI+DWI复查,未见明显梗塞灶,但异物残留明显(图8)。

图8. 闭塞后DWI检查未见缺血梗塞发生,异物残留明显。
残留异物处理方案探讨:
1. 经颅手术;
2. 经眶手术。
因残存异物为植物性,有一定伸缩度,很可能以类似瓶塞状卡压、嵌顿于眶上裂入颅开口处,该部位富集重要神经、血管结构,且因视角所限难以直接显露,上述两种方案均有创伤大,技术难度、风险高,且有较大的邻近血管、神经损伤风险,难以确保彻底清除残留异物等缺点。
经讨论提出可以尝试在脊柱内镜下取异物,因为:
1. 内镜可经窦道顺行伸入,不需要新的切口,创伤小;
2. 假性动脉瘤已填塞、孤立,可确保内镜下拔除异物操作不存在大出血风险;
3. 内镜下术野清晰、视角宽广,可抵近、放大观察,有助清晰辨认异物;
4. 异物为植物性,且已残留体内一月余,很可能变软、变脆,恰好适合内镜通道下分块清除的可能。
上述方案获得大家一致认同,与家属沟通后,行导航引导下经内镜清除残留异物手术(图9、10)。

图9. 内镜下显露的异物。

图10. 异物清除后可见假性动脉瘤内填塞的弹簧圈,及取出的异物。
术后患者恢复顺利,右眼肿胀消退,面颊部麻木感明显缓解,复查眼眶CT及MRI未见异物残留(图11)。于一周后出院。


图11. 术后CT、MRI复查未见残余异物。
精彩点评
眼眶-颅内异物穿通伤极有可能伤及颈内动脉,术前需行CTA或DSA检查,拔除手术应尽可能在杂交手术室或导管室进行,做好拔除后的出血防范及进一步处理准备。
植物性异物的影像学检查缺乏典型特征。采用薄层CT扫描,通过对异物的CT值的比照,将有助于判定异物残留情况。
因眶颅伤道狭窄而深在,此类异物伤的处理较为棘手,通常情况下是采用额眶大范围显露的手术入路来取出异物。曾有采用鼻内镜经鼻腔或窦道摘除眼眶内异物的报道,但眶-颅异物的处理显然更为复杂。
本例眶-颅异物合并颈内动脉假性动脉瘤破裂出血病例的成功救治,突出显示了学科交叉的优势:脊柱内镜原本设计用于脊柱椎间盘突出手术,尚未见有应用于颅眶相关手术的报道。其工作原理是利用持续冲洗的水压环境,减少术区渗血,使视野更清晰,且手术器械操作均经内镜腔道完成,创伤更小。这些特点使得其更适合运用于颅眶深部异物的处理。
本病例手术决策在运用血管内介入技术妥善处理假性动脉瘤、消除出血风险后,创新性的采用脊柱内镜这一跨亚专科领域的设施和技术,利用内镜能够经原伤道抵近观察、无死角清晰显露异物的特点,充分发挥脊柱内镜下器械操作的精准、细致性,大大减轻手术损伤、提高手术安全性,使此例高危、高手术难度患者得以化险为夷,为以后类似异物损伤危急患者的救治提供新的处置方案和手段。
张建民 教授
浙江大学医学院附属第二医院神经外科主任
参考文献
1. 刘浩成,邱锷,张天明。颅眶沟通异物28例的神经外科治疗。中华医学杂志,2008,88(25);1737-1741。
2. 何鹏。人体异物损伤。北京科学技术出版社。2006年7月第1版,58-61。
3. kysoń T, Sieskiewicz A, Rogowski M, Mariak Z. Transnasal endoscopic removal of intraorbital wooden foreign body. J Neurol Surg A Cent Eur Neurosurg. 2013 Dec;74.
4. Feichtinger M, Zemann W, Kärcher H. Removal of a pellet from the left orbital cavity by image-guided endoscopic navigation. Int J Oral Maxillofac Surg. 2007 Apr;36(4):358-61.
【颅脑创伤-神经重症病例周刊】往期回顾
第28期:重型开放性颅脑损伤致脑脓肿一例






